Sabe como tratar a gengivite crônica infantil? Sei que ver seu pequeno sofrendo com essa inflamação pode ser angustiante. Essa condição, muitas vezes subestimada, exige atenção especial. Fique tranquila, neste post eu te mostro os passos essenciais para cuidar da saúde bucal do seu filho com clareza e segurança. Vamos resolver isso juntos!
Gengivite Crônica Infantil: O Que Toda Mãe Precisa Saber
A gengivite crônica infantil é uma inflamação persistente da gengiva, causada principalmente pelo acúmulo de placa bacteriana nos dentes. Sem tratamento, pode levar a problemas mais sérios. Cuidar da saúde bucal dos pequenos desde cedo é fundamental. Isso garante sorrisos saudáveis e previne desconfortos.
O tratamento foca em remover a placa e ensinar a higiene correta. Escovação diária e uso do fio dental são essenciais. Visitas regulares ao dentista infantil são cruciais para monitorar e intervir precocemente. Seu filho merece um futuro com saúde bucal impecável.
Confira este vídeo relacionado para mais detalhes:
Guia Prático para Combater a Gengivite do Seu Filho

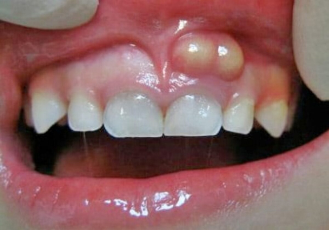
Identificando os Primeiros Sinais: Não Deixe a Gengivite Passar Batida
Sabe quando a gengiva do seu filho fica meio vermelhinha, inchada ou sangra um pouquinho na hora de escovar? Pois é, esses são os alertas clássicos da gengivite. Muitas vezes a gente pensa que é normal, que passou sem querer a escova mais forte. Mas, atenção: isso pode ser o começo de um problema. Ignorar esses sinais pode fazer a situação piorar.

A gengivite crônica infantil, quando não tratada, pode evoluir e trazer outros incômodos. A causa mais comum é o acúmulo de placa bacteriana, que se forma por restos de comida e falta de higiene adequada. É por isso que a escovação correta, desde cedo, é fundamental. Vamos combinar, um sorriso saudável é a melhor herança que podemos deixar.
Se você notar qualquer alteração na gengiva, o primeiro passo é marcar uma consulta com o dentista. Ele é o profissional que vai te orientar sobre como tratar a gengivite infantil, indicando a melhor forma de higienização e, se necessário, algum tratamento específico. Não se assuste, o acompanhamento profissional faz toda a diferença.
Dica Prática: Crie o hábito de escovar os dentes do seu filho junto com ele, mostrando a forma correta de limpar todas as superfícies, inclusive a linha da gengiva. Use um espelho para que ele veja você e aprenda!

Higiene Bucal Rigorosa: A Primeira Linha de Defesa
Sabe aquela dorzinha chata na gengiva que parece que nunca some? Pois é, em crianças, isso pode ser um sinal de gengivite crônica. E a gente sabe que a saúde bucal é tipo a porta de entrada pra um monte de coisa boa no corpo, né? Cuidar bem dos dentinhos e da gengiva desde cedo é fundamental. Se a gengivite se instala e fica ali, é um sinal que precisamos dar atenção máxima à higiene.

A gengivite crônica em crianças, geralmente, vem de uma higiene bucal que não está sendo suficiente para remover a placa bacteriana. Essa placa é a grande vilã que causa inflamação. Então, a primeira coisa é garantir que a escovação esteja sendo feita de forma correta e completa, em todas as superfícies dos dentes, e não esquecer da linha da gengiva. Um fio dental diário também faz toda a diferença para remover o que a escova não alcança.
Quando a gengivite já está instalada e se torna crônica, o tratamento envolve não só a melhora na higiene diária em casa, mas também pode precisar de uma limpeza profissional no dentista. O profissional vai remover o tártaro que se forma e te orientar sobre a melhor forma de escovar e usar o fio dental. Fica tranquila, com acompanhamento e cuidado, a gengiva do seu filho volta a ficar saudável.
Dica Prática: Use uma escova de dentes com cerdas macias e troque-a a cada três meses, ou antes, se as cerdas estiverem abertas. Isso garante uma limpeza eficaz sem machucar a gengiva sensível.

Escovação Correta: Técnica e Ferramentas Certas para Crianças
A escovação correta nos pequenos é fundamental, viu? A gente vê muita coisa por aí, mas o jeito certo faz toda a diferença. Para as crianças, a escova tem que ser macia, com cerdas finas. Imagina, a boca delas é delicada. E a pasta? Pouquinho mesmo, tamanho de um grão de arroz. Nada de exageros. A gengivite crônica infantil pode aparecer se a higiene não for caprichada. E acredite, a gente nota o resultado rapidinho quando acerta.

Quando for escovar os dentes do seu filho, faça movimentos circulares e suaves. Pense em “massagem” nas gengivas, não em esfregar com força. Dê atenção a todas as superfícies: a parte de fora, a de dentro e a de mastigar. E não esqueça da língua! Uma boa escova infantil é aquela que cabe direitinho na mãozinha deles, incentivando a autonomia depois. As crianças aprendem brincando, então, transforme o momento num ritual divertido.
É comum a gente se preocupar com a saúde bucal das crianças. A prevenção é o melhor caminho para evitar a gengivite crônica infantil e outros problemas. Se notar vermelhidão, inchaço ou sangramento nas gengivas, observe a escovação. Às vezes, é só ajustar a técnica ou a ferramenta. Mantenha a rotina, com pelo menos duas escovações diárias, e a visita ao dentista em dia. Vai dar tudo certo!
Dica Prática: Use um fio dental infantil com cabo divertido para ajudar a remover restos de comida entre os dentes, onde a escova não alcança.

O Poder do Fio Dental: Essencial para Remover o Que a Escova Não Alcança
Você sabia que o fio dental é um super-herói da higiene bucal, especialmente para a criançada? A escova de dentes faz um ótimo trabalho, mas não consegue chegar em todos os cantinhos. É aí que o fio dental entra, removendo restos de comida e placa bacteriana que a escova deixa para trás. E para quem se preocupa com a gengivite crônica infantil, essa é uma etapa que não pode faltar, viu?

Quando a gengivite se torna crônica, ela precisa de atenção redobrada. O uso diário do fio dental ajuda a evitar o acúmulo de bactérias que causam a inflamação. Além disso, ensinando a criança desde cedo a usar o fio dental corretamente, você está criando um hábito que vai durar a vida toda. É um cuidado que parece simples, mas faz uma diferença enorme na saúde bucal a longo prazo.
O mais legal é que não precisa ser complicado. Existem fio dentais infantis com sabores e personagens que podem deixar esse momento mais divertido. O importante é a constância. Se você notar qualquer sinal de gengiva inchada ou que sangra com facilidade, o fio dental, junto com a escovação, é seu grande aliado. Fica tranquila, com a prática, vira rotina.
Dica Prática: Para crianças pequenas que ainda têm dificuldade com o fio dental comum, experimente os passadores de fio dental. Eles facilitam muito o manuseio e tornam a limpeza mais eficiente.

Alimentação Saudável: Aliada Poderosa na Prevenção da Gengivite
Sabia que o que a gente come faz uma diferença enorme na saúde da nossa gengiva? Para a gengivite crônica infantil, a alimentação entra como uma super aliada, e não é papo furado. Uma dieta rica em nutrientes fortalece o sistema imunológico, que é quem luta contra as inflamações. Pense em vitaminas, minerais… tudo isso ajuda a manter a boca mais resistente.

Quando falamos de “como tratar a gengivite crônica infantil” com a alimentação, a gente pensa em dar adeus ao excesso de açúcar e alimentos processados. Eles são os vilões que alimentam as bactérias ruins. Em vez disso, vamos investir em frutas, verduras, legumes, grãos integrais. Esses alimentos ajudam a limpar a boca naturalmente e ainda trazem os antioxidantes que combatem a inflamação.
É fundamental entender que a escovação e o uso do fio dental são os primeiros passos, mas a alimentação complementa esse cuidado. Dar preferência a alimentos que estimulam a salivação também é uma ótima sacada, pois a saliva ajuda a limpar a boca. Fica tranquila, não é sobre fazer uma dieta radical, mas sim sobre escolhas inteligentes no dia a dia.
Dica Prática: Ofereça frutas crocantes como maçã e pera nos lanches. Elas ajudam a massagear a gengiva e estimulam a produção de saliva.

O Papel do Dentista: Consultas Regulares são Cruciais
Quando a gengivite crônica aparece nos pequenos, o papel do dentista vai muito além de só tratar o problema na hora. As consultas regulares são a base para prevenir que isso volte e até para evitar que se agrave. É na cadeira do dentista que a gente entende o que está acontecendo de verdade, sabe? Eles são os experts que vão guiar você e seu filho nesse processo. Confia em mim, essa parceria é fundamental.

Eu vejo muita gente achando que gengivite é só um “dodói” na gengiva que some sozinho. Mas quando ela se torna crônica na infância, a coisa muda de figura. Pode ter uma inflamação que dura mais tempo, o que pode afetar o desenvolvimento dos dentes e até a saúde geral da criança. Por isso, não dá pra deixar para depois. O dentista vai avaliar a extensão, identificar as causas e traçar o melhor caminho para o tratamento.
O tratamento foca em controlar a inflamação e, principalmente, em ensinar as melhores práticas de higiene bucal para evitar que o problema retorne. Pode envolver limpezas mais profundas e orientações sobre como escovar e usar o fio dental corretamente, adaptado para a idade e a necessidade do seu filho. A consistência nessa rotina de cuidados é o que faz a diferença a longo prazo.
Dica Prática: Leve seu filho ao dentista a cada seis meses, mesmo que pareça tudo bem. É a melhor forma de pegar qualquer problema no comecinho e garantir um sorriso saudável para ele.

Tratamentos Caseiros Seguros: O Que Pode e o Que Não Pode Fazer
Quando falamos de gengivite crônica em crianças, a primeira coisa que precisamos ter em mente é que o tratamento caseiro foca em higiene e cuidado. A chave aqui é a consistência. Muita gente pensa em receitas mirabolantes, mas a verdade é que a base de tudo é a escovação correta e o uso de fio dental. Isso ajuda a remover a placa bacteriana, que é a principal causa do problema. Fica tranquila, não é nenhum bicho de sete cabeças, é mais sobre criar o hábito certo.

É fundamental entender o que pode e o que não pode ser feito em casa. O que você PODE fazer é manter uma rotina de higiene bucal impecável. Escovar os dentes da criança pelo menos duas vezes ao dia, e usar fio dental diariamente, faz toda a diferença. O dentista pode recomendar um enxaguante bucal específico para crianças, se necessário, mas nunca use por conta própria sem orientação. O que você NÃO PODE fazer é administrar medicamentos sem prescrição médica ou tentar tratamentos com substâncias que não são seguras para uso infantil. A gengiva inflamada é sensível, e forçar a barra pode piorar tudo.
Lembre-se que a gengivite crônica infantil precisa de acompanhamento profissional. O dentista é quem vai diagnosticar corretamente e indicar o melhor caminho. Ele pode sugerir uma limpeza profissional e orientar sobre as melhores técnicas de escovação e o uso do fio dental para o seu pequeno. Em casa, o foco é manter a boca limpa e oferecer uma alimentação equilibrada, que também contribui para a saúde bucal. Consultas regulares são sua melhor aliada para evitar que a gengivite se agrave.
Dica Prática: Deixe a escovação ser um momento divertido! Use escovas com personagens que a criança gosta e uma pasta de dente com um sabor que ela aprove, sempre em quantidade adequada para a idade.

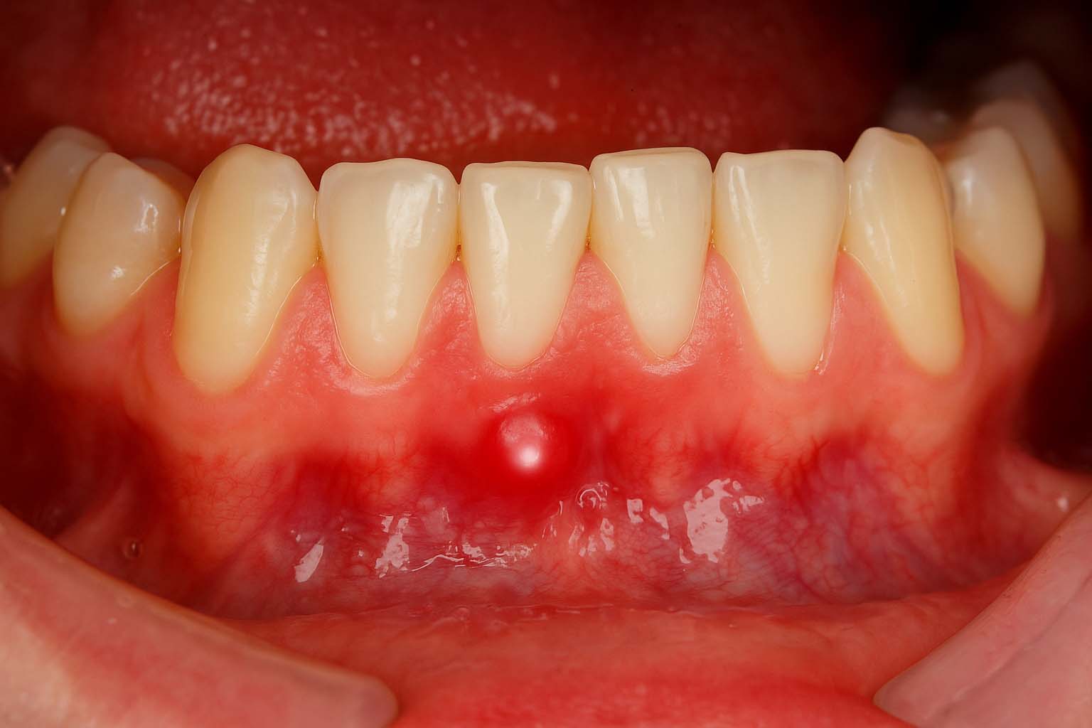
Atenção aos Sinais de Piora: Quando Procurar Ajuda Imediatamente
Sei que a gente se preocupa muito com a saúde dos pequenos, né? Com a gengivite crônica infantil não é diferente. É aquela inflamação que não some, sabe? Pode demorar pra aparecer, mas quando aparece, precisamos ficar atentas. É um sinal de que algo não está legal ali na boca da criança. Por isso, não dá pra ignorar os sintomas!

Quando a gengivite fica crônica, os sinais de piora podem ser mais sutis no começo. Você pode notar que a gengiva do seu filho está sempre um pouco vermelha, inchada e, às vezes, sangra fácil, mesmo sem uma escovação muito forte. Outro ponto é o mau hálito persistente, mesmo depois de escovar os dentes. Fica tranquila, o dentista infantil é quem vai te orientar certinho sobre como tratar a gengivite crônica infantil.
Agora, se você notar que a gengiva está muito inchada, com pus visível, ou se a criança começa a sentir dor ao comer, aí é hora de procurar um dentista *imediatamente*. Esses são sinais de que a infecção pode estar piorando e precisa de atenção profissional. Não espere!
Dica Prática: Crie uma rotina de higiene bucal consistente com seu filho, desde cedo. Escovar os dentes duas vezes ao dia e usar fio dental ajuda muito a prevenir que a gengivite piore.

Prevenindo Recaídas: Mantendo a Boca do Seu Filho Saudável a Longo Prazo
Sabe quando você acha que a gengivite do seu pequeno já foi embora, mas ela volta com tudo? É frustrante, né? Mas fica tranquila, a gente pode, sim, prevenir essas recaídas e garantir que a boca dele fique saudável por muito tempo. O segredo está em entender o que causa essa inflamação persistente e como combatê-la de verdade.

A gengivite crônica infantil, na maioria das vezes, é resultado de uma higiene bucal que não tá dando conta do recado. As bactérias se acumulam, criam aquela plaquinha chata, e pronto, a gengiva fica vermelha, inchada e pode até sangrar. Não adianta só escovar rápido. É preciso usar a técnica certa, o fio dental todo dia e, se o dentista recomendar, um enxaguante específico.
Manter a boca do seu filho saudável a longo prazo exige constância. Criar uma rotina de higiene que ele goste é fundamental. Pense em escovas coloridas, pastas com sabores divertidos e tornar esse momento uma brincadeira. E lembre-se: visitas regulares ao odontopediatra são sua melhor aliada. Ele vai acompanhar de perto e indicar os melhores caminhos para evitar que a gengivite volte a incomodar.
Dica Prática: Faça da escovação um momento divertido, use músicas e recompense a disciplina do seu filho.

Mitos e Verdades Sobre a Gengivite Infantil: Desmistificando para Cuidar Melhor
É fácil cair em confusão quando o assunto é gengivite em crianças. Muita gente pensa que é só porque a criança comeu algo doce demais, mas a verdade é que a higiene bucal é o ponto principal. A gengivite infantil acontece quando a gengiva fica inflamada, avermelhada e até sangra. Isso geralmente é causado pelo acúmulo de placa bacteriana, que se forma quando não escovamos os dentes direitinho. Fica tranquila, não é nenhum bicho de sete cabeças, mas exige atenção.

Vamos desmistificar algumas ideias. Um mito comum é que gengivite em criança é raro. Pois é, não é bem assim! Bebês e crianças pequenas também podem ter. Outra coisa: às vezes, os pais acham que é só uma fase passageira. Mas se a gengivite não for tratada, ela pode evoluir. Uma gengivite crônica infantil, por exemplo, pode afetar a saúde bucal a longo prazo. A boa notícia é que com cuidados simples, dá para reverter essa situação.
O tratamento foca em eliminar a causa: a placa bacteriana. Isso significa reforçar a escovação e o uso do fio dental, sempre com a supervisão de um adulto. É importante usar uma escova de dentes macia e um creme dental adequado para a idade. Se a gengivite estiver mais avançada, o dentista pode indicar um tratamento específico. O acompanhamento com o profissional é fundamental para garantir que tudo está sob controle.
Dica Prática: Crie uma rotina de higiene bucal lúdica. Use músicas, jogos e até aplicativos para tornar a escovação um momento divertido e não uma obrigação para a criança.
A gengivite crônica em crianças é algo que a gente precisa ficar de olho, viu? Ela pode parecer só um probleminha na boca, mas o impacto na saúde geral delas é maior do que a gente imagina.
Impacto da Gengivite Crônica na Saúde Geral da Criança
| Item | Características e Importância | Dicas Práticas |
|---|---|---|
| Identificando os Primeiros Sinais: Não Deixe a Gengivite Passar Batida | Gengivas vermelhas, inchadas, sangrando fácil (ao escovar ou usar fio dental), mau hálito persistente. Ignorar esses sinais pode levar a problemas maiores. | Observe a boca do seu filho diariamente. Ensine-o a avisar se sentir dor ou desconforto. Verifique se o sangramento é frequente. |
| Higiene Bucal Rigorosa: A Primeira Linha de Defesa | Remover a placa bacteriana é fundamental. A falta de higiene leva ao acúmulo de bactérias que causam a inflamação. | Estabeleça uma rotina clara de escovação e uso do fio dental, duas vezes ao dia. Torne o momento divertido para a criança. |
| Escovação Correta: Técnica e Ferramentas Certas para Crianças | Uma escovação ineficaz não remove a placa. Usar a escova errada ou a técnica incorreta piora a situação. | Use escova de dentes com cerdas macias e cabeça pequena. Ensine a técnica correta: movimentos suaves em 45 graus nos dentes e na linha da gengiva. Acompanhe a escovação até os 8 anos, mais ou menos. |
| O Poder do Fio Dental: Essencial para Remover o Que a Escova Não Alcança | As escovas não chegam entre os dentes. O acúmulo de restos de comida e placa ali é um prato cheio para a gengivite. | Comece a usar fio dental assim que os dentes da criança começarem a se tocar. Mostre como fazer, com calma. Existem fios dentais infantis, mais fáceis de usar. |
| Alimentação Saudável: Aliada Poderosa na Prevenção da Gengivite | Açúcar e alimentos pegajosos alimentam as bactérias. Uma dieta equilibrada fortalece o sistema imunológico e a saúde bucal. | Reduza o consumo de doces e sucos industrializados. Incentive o consumo de frutas, verduras e água. Evite lanches açucarados antes de dormir. |
| O Papel do Dentista: Consultas Regulares são Cruciais | O dentista pode identificar a gengivite precocemente, fazer limpezas profissionais e orientar sobre higiene. A ausência de acompanhamento profissional pode agravar o quadro. | Leve seu filho ao dentista a cada seis meses, ou conforme a recomendação dele. Converse abertamente sobre suas preocupações. |
| Tratamentos Caseiros Seguros: O Que Pode e o Que Não Pode Fazer | Alguns tratamentos caseiros são perigosos e ineficazes. O foco deve ser sempre na remoção da placa e na orientação profissional. |
Confira este vídeo relacionado para mais detalhes:
Cuidando do Sorriso do Seu Filho: Dicas de Ouro para o Futuro
Pois é, a gengivite crônica em crianças pode dar um susto na gente, mas com atenção e cuidados certos, dá pra resolver. Eu já passei por isso com o meu pequeno e aprendi algumas coisas que fazem toda a diferença. Fica tranquila, não é um bicho de sete cabeças!
Aqui estão minhas dicas práticas para ajudar você a cuidar do sorriso do seu filho e acabar com essa gengivite:
- Escovação caprichada: Use uma escova de dentes macia, própria para a idade, e uma pasta de dente com flúor. Escove os dentes do seu filho pelo menos duas vezes ao dia, com calma, prestando atenção na linha da gengiva. Não adianta ter pressa, o importante é fazer bem feito.
- Fio dental é amigo: Sei que pode parecer chato, mas o fio dental é essencial para remover os restos de comida que a escova não alcança. Faça disso um hábito diário, mesmo que seja só uma vez por dia.
- Visitas regulares ao dentista: Essa é a dica de ouro! Leve seu filho ao odontopediatra a cada seis meses, ou conforme a recomendação dele. O profissional vai avaliar a saúde bucal, fazer a limpeza adequada e dar orientações personalizadas. Ele que vai dar o diagnóstico certo e o melhor tratamento.
- Alimentação de olho: Evite o excesso de doces e alimentos pegajosos entre as refeições. Isso diminui a quantidade de “comida” para as bactérias se proliferarem e atacarem a gengiva.
Vamos combinar, ter paciência e constância nesses cuidados é o que traz o resultado. Com essas dicas, você vai ver a diferença e o sorriso do seu filho ficar mais saudável e bonito.
Dúvidas das Leitoras
A gengivite crônica infantil pode ter consequências mais sérias se não tratada?
Sim, pode sim. Se a gengivite crônica não for tratada, ela pode evoluir para problemas mais sérios como a periodontite, que afeta os ossos que sustentam os dentes e pode levar à perda dental no futuro.
Quais os principais erros que os pais cometem ao tentar tratar a gengivite em casa?
O erro mais comum é não escovar os dentes da criança adequadamente por medo de machucar. Outro equívoco é usar remédios caseiros sem orientação profissional. A higiene bucal correta e a visita ao dentista são os caminhos certos.
Meu filho sente dor ao escovar os dentes. Isso é sinal de gengivite?
Pode ser um sinal, sim. A dor ao escovar os dentes em crianças é um alerta de que algo não vai bem na gengiva. A gengiva inflamada e sensível causa esse desconforto.
Existe alguma idade específica em que a gengivite crônica é mais comum em crianças?
A gengivite pode aparecer em qualquer idade, mas é mais comum durante a fase de erupção dos dentes, tanto os de leite quanto os permanentes. Entre 6 e 12 anos, com a troca dentária, a atenção deve ser redobrada.
Qual a diferença entre gengivite e periodontite em crianças?
A gengivite é a inflamação superficial da gengiva, reversível com boa higiene. Já a periodontite é mais grave, pois afeta os tecidos profundos que dão suporte ao dente, podendo causar danos permanentes.
Cuidar da gengivite crônica infantil exige atenção e constância. Lembre-se da escovação correta e do uso do fio dental diariamente. Visitas regulares ao dentista são cruciais para monitorar a saúde bucal do seu pequeno. Se você se preocupa com a higiene bucal infantil, explorar como prevenir cáries também pode te interessar.

