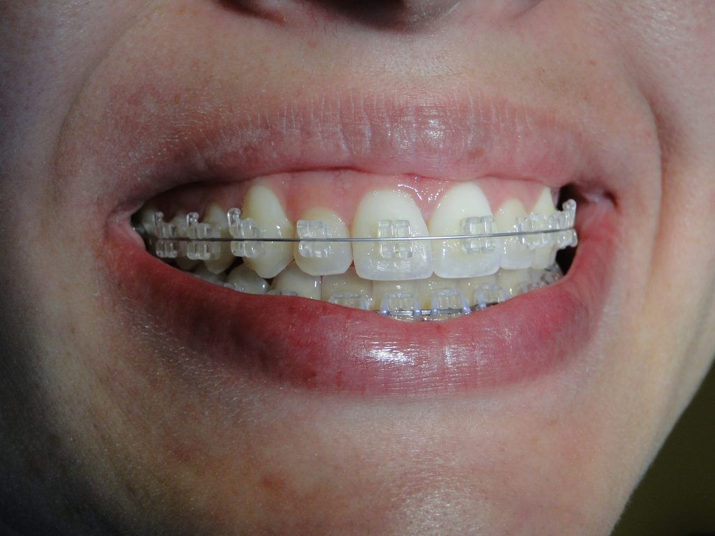
Como clarear os dentes com aparelho pode parecer um desafio, né? Muitas vezes, a gente fica receosa de que as manchas apareçam ou que o tratamento prejudique o resultado final do sorriso. Mas fique tranquila! Vou te mostrar caminhos seguros e eficazes para conquistar dentes mais brancos durante todo o processo ortodôntico, sem comprometer a sua saúde bucal.
Sorriso Radiante em Cada Etapa: Clareando os Dentes com Aparelho
Fica tranquila! Clarear os dentes enquanto usa aparelho é totalmente possível e faz uma diferença enorme no resultado final. O aparelho corrige o alinhamento, mas a cor dos dentes é outro capítulo. Imagina ter dentes retinhos e branquinhos? É o combo perfeito para um sorriso que ilumina!
Existem métodos seguros que podem ser usados. O importante é conversar com seu dentista. Ele vai te orientar sobre as melhores opções, considerando seu caso específico e o tipo de aparelho. Assim, você garante um clareamento eficaz e sem prejudicar o tratamento ortodôntico. Vamos combinar, um sorriso lindo é um superpoder!
Confira este vídeo relacionado para mais detalhes:
Seu Guia Completo para um Sorriso Mais Claro Durante o Tratamento Ortodôntico

A Importância da Higiene Bucal Reforçada com Aparelho
Usar aparelho muda tudo na rotina de higiene, né? E quando o assunto é clarear os dentes, o desafio pode parecer ainda maior. Fica tranquila, porque é totalmente possível ter um sorriso mais branco mesmo com os braquinhos. A chave está em redobrar os cuidados e usar as ferramentas certas.

Com o aparelho, a limpeza precisa ser super minuciosa. Restos de comida ficam mais fáceis de se acumular, o que pode manchar o esmalte dos dentes. Por isso, escovação após cada refeição é fundamental. Use escovas interdentais ou fio dental específico para aparelhos para alcançar todos os cantinhos.
Produtos clareadores precisam ser usados com atenção especial. Muitos deles são abrasivos e podem danificar o esmalte, especialmente em áreas onde o dente não está totalmente protegido pelo aparelho. Converse sempre com seu dentista antes de usar qualquer produto clareador. Ele vai indicar o melhor caminho para você, garantindo segurança e eficácia.
Dica Prática: Para clarear os dentes com aparelho, opte por pastas de dente com flúor e faça bochechos com antissépticos sem álcool diariamente. Isso ajuda a manter a saúde bucal em dia e previne manchas.

Alimentos e Bebidas Aliados (e Inimigos) do Clareamento
Quando você usa aparelho, a limpeza já exige mais atenção, né? E para clarear os dentes, a alimentação tem um papel crucial. Alguns alimentos podem manchar o esmalte, especialmente em volta dos braquetes. Café, vinho tinto, refrigerantes escuros, molhos como shoyu e até mesmo frutas como amora e mirtilo são vilões que adoram se agarrar ao seu sorriso. Eles pigmantam o esmalte, e com o aparelho, a limpeza fica mais difícil, potencializando essas manchas. Vamos combinar, ninguém quer um sorriso manchado, ainda mais depois de todo o cuidado com o aparelho.

Por outro lado, existem alimentos que podem te ajudar nessa missão. Laticínios, como queijo e iogurte, por exemplo, são ricos em cálcio, que fortalece o esmalte. Maçãs e cenouras, por serem crocantes, ajudam a limpar os dentes naturalmente enquanto você mastiga, removendo resíduos. A água é sua maior aliada. Beber bastante água ajuda a lavar a boca, diluir ácidos e prevenir manchas. E claro, se você gosta de um cafezinho ou um vinho, tente intercalar com água ou escovar os dentes logo depois. Parece simples, mas faz uma diferença e tanto no seu resultado final.
A questão é o equilíbrio e a atenção. Evitar o consumo excessivo desses alimentos que mancham é fundamental. Mas se você vai consumir, tente diluir o efeito. Por exemplo, ao beber um café forte, intercale com goles de água. Se comer uma fruta que mancha, escove os dentes depois. Pequenos hábitos mudam o jogo. Fica tranquila que não é nenhum bicho de sete cabeças, é só uma questão de se adaptar um pouquinho durante o tratamento.
Dica Prática: Se você bebe refrigerante ou suco, use um canudinho para diminuir o contato direto do líquido com os dentes e evitar manchas.

Produtos de Higiene Bucal Específicos para Pacientes Ortodônticos
Se você usa aparelho, sabe que cuidar da higiene bucal ganha um capítulo à parte, né? A gente quer sim ter dentes branquinhos, mesmo com os braquetes. A boa notícia é que existem produtos feitos pensando exatamente nisso. Eles te ajudam a limpar onde a escova comum não chega direito e ainda cuidam da saúde da sua boca durante o tratamento. É um super aliado para o seu sorriso.

Para quem usa aparelho, a limpeza extra é fundamental. Fios dentais específicos, com ponta rígida, são ótimos para passar por baixo do fio ortodôntico. Escovas interdentais entram para limpar os cantinhos entre o braquete e o dente. E não esqueça do limpador de aparelho! Ele é perfeito para tirar aqueles restinhos de comida que insistem em ficar presos. Tudo isso faz uma diferença enorme.
Muitas pessoas me perguntam sobre como clarear os dentes com aparelho, e a verdade é que o foco principal deve ser a higiene impecável. Quando a boca está limpa, sem placa e tártaro, os dentes ficam mais bonitos. Fique tranquila, após a remoção do aparelho, seu sorriso estará em dia. Manter uma rotina rigorosa com esses produtos específicos garante que tudo corra bem.
Dica Prática: Use um enxaguante bucal sem álcool após a escovação para uma proteção extra e um hálito fresco.

A Função das Escovas Interdentais e Fio Dental no Dia a Dia
Muita gente acha que só a escova de dente comum resolve, mas com aparelho, a história muda um pouquinho. A escova interdental e o fio dental não são mais opcionais, são seus melhores amigos na limpeza. Eles alcançam aqueles cantinhos que a escova não chega, onde a comida e a placa bacteriana adoram se esconder. Sem eles, o aparelho pode até atrapalhar um pouco a limpeza geral, e aí a gente não quer isso, né?

A escova interdental tem um formato especial, mais fina, que desliza entre os braquinhos do aparelho e os dentes. Ela remove os restos de comida e a placa de um jeito que a escova comum não consegue. Já o fio dental, apesar de dar um pouquinho mais de trabalho com os fios do aparelho, é essencial para limpar a linha da gengiva e a parte de baixo dos dentes. Tenha paciência, o resultado vale cada segundo. Isso ajuda a prevenir manchas e inflamações que podem surgir durante o tratamento.
Usar a escova interdental e o fio dental diariamente garante que seu sorriso fique limpo de verdade, sem deixar espaços para problemas. Isso não só contribui para a saúde da sua boca, mas também é fundamental para que, ao final do tratamento com aparelho, você tenha um sorriso uniforme e sem aquelas manchinhas que podem aparecer se a limpeza não for caprichada. Afinal, o objetivo é um sorriso perfeito, certo?
Dica Prática: Experimente usar o fio dental com um passador (ou “fio dental com passa-fio”). Ele tem uma pontinha rígida que ajuda a passar o fio por baixo dos arcos do aparelho com muito mais facilidade. Você encontra em farmácias e drogarias.

Mitos e Verdades sobre Clareamento Caseiro com Aparelho
Muita gente me pergunta: “Dá pra clarear os dentes com aparelho?” A resposta direta é: sim, mas com cuidado. A principal preocupação é que os elásticos e braquetes podem criar áreas difíceis de limpar. Se a higiene não for impecável, o clareamento pode ficar desigual. Pense bem, você quer um sorriso branquinho por igual, né?

Quando se fala em clareamento caseiro com aparelho, geralmente as pessoas pensam em kits de farmácia ou receitas “milagrosas”. Minha experiência é que os produtos mais eficazes exigem supervisão profissional. Fazer algo por conta própria pode comprometer seus dentes e o aparelho. O ideal é sempre conversar com seu ortodontista antes de pensar em qualquer tratamento clareador.
O mais importante é focar na higiene. Escovar os dentes após cada refeição, usar fio dental (com cuidado!) e, se possível, um passa-fio ou escovinhas interdentais faz TODA a diferença. Isso evita manchas e garante que, quando o aparelho sair, seu sorriso esteja uniforme e mais brilhante.
Dica Prática: Mantenha uma rotina rigorosa de higiene oral durante o tratamento ortodôntico. Se quiser acelerar o clareamento, espere o aparelho ser removido para um tratamento mais seguro e eficaz.

O Papel do Ortodontista no Seu Processo de Clareamento
Se você está pensando em clarear os dentes e usa aparelho, é super normal ter essa dúvida. Muita gente pensa que não dá, mas eu te garanto que dá sim! O ortodontista é fundamental nesse processo. Ele é o profissional que vai te guiar para que tudo aconteça de forma segura e eficaz, protegendo a saúde dos seus dentes e gengivas.

O aparelho, seja ele fixo ou alinhador, cobre parte da superfície dos dentes. Isso significa que o clareamento pode não ser uniforme se feito de qualquer jeito. Seu ortodontista vai avaliar o tipo de aparelho que você usa e a condição geral da sua boca. Ele pode indicar clareamentos em consultório, onde o controle é total, ou kits caseiros supervisionados, explicando exatamente onde e como aplicar o produto para evitar manchas.
Vamos combinar, ninguém quer um sorriso manchado, né? Por isso, a comunicação com seu ortodontista é a chave. Ele pode recomendar esperarmos um pouco após a colocação do aparelho ou ajustar o plano de clareamento conforme o tratamento ortodôntico avança. Fica tranquila, o objetivo é sempre o mesmo: um sorriso lindo e saudável.
Dica Prática: Converse abertamente com seu ortodontista sobre seu desejo de clarear os dentes. Ele saberá indicar o melhor momento e o método mais seguro para o seu caso específico.

Alternativas Seguras para Clarear Dentes com Aparelho Fixo
Se você usa aparelho fixo e pensa em clarear os dentes, é bom saber que existem caminhos seguros. A tentação de ter um sorriso mais branco é grande, e com os cuidados certos, dá pra conseguir. Muita gente acha que o aparelho impede qualquer procedimento, mas não é bem assim. A ideia é sempre proteger seu esmalte e suas gengivas. Por isso, conversar com seu dentista antes de tudo é o passo mais importante. Ele vai saber indicar o melhor pra você.

Existem algumas alternativas que você pode considerar, sempre com orientação profissional. Kits clareadores caseiros com baixa concentração de peróxido podem ser uma opção, mas é fundamental usar sob supervisão. O risco de manchar o esmalte de forma irregular, especialmente com os braquetes, é real. Outra saída é focar na limpeza impecável. Manter o aparelho e os dentes super limpos já faz uma diferença enorme na aparência. Uma boa higiene bucal previne o acúmulo de placa, que pode deixar os dentes amarelados.
Vamos combinar, ter aparelho e querer clarear os dentes exige paciência. Procedimentos feitos no consultório com seu dentista são sempre mais seguros e eficazes, pois ele tem controle total sobre a aplicação e o tempo. Ele pode adaptar o tratamento à sua situação específica. Lembre-se que o aparelho pode dificultar a distribuição uniforme do agente clareador, então o cuidado é redobrado. O resultado final compensa quando feito com responsabilidade.
Dica Prática: Use uma escova interdental todos os dias. Ela alcança as áreas difíceis ao redor dos braquetes, removendo resíduos que podem escurecer os dentes e prevenindo manchas.

Cuidados Essenciais Após Cada Refeição para Evitar Manchas
Quando você está usando aparelho, a limpeza dos dentes precisa de um carinho extra, principalmente depois de comer. Sabe por quê? Os cantinhos e frestas do aparelho são os lugares preferidos da comida e das bactérias para se instalarem. E o resultado, muitas vezes, são aquelas marquinhas brancas ou até amareladas que aparecem depois que o aparelho sai. É como deixar um pigmento agir no dente por mais tempo do que deveria.

Para quem quer saber como clarear os dentes com aparelho, o segredo não está em milagres, mas sim em prevenção e higiene rigorosa. Cada vez que você come algo mais pigmentado, como café, vinho, ou até mesmo molho de tomate, essas partículas podem grudar nos braços e elásticos do seu aparelho. Se não forem removidas logo, a chance de manchar é grande. Vamos combinar, ninguém quer ter esse trabalho todo e ainda sair com os dentes manchados no final, né?
O ideal é que, após cada refeição, você faça uma escovação caprichada e use o fio dental. Se não for possível escovar, ao menos enxaguar bem a boca com água já ajuda a tirar o excesso de comida. Para complementar, um bom enxaguante bucal pode ser um aliado poderoso. Lembre-se, a consistência é o que faz a diferença para manter seu sorriso bonito e sem manchas.
Dica Prática: Tenha sempre com você um kit de higiene bucal compacto, com escova, pasta e fio dental, para usar sempre que precisar após comer fora de casa.

Frequência Ideal de Consultas Odontológicas Durante o Tratamento
Muita gente me pergunta sobre a frequência das visitas ao dentista quando se está usando aparelho. Pois é, manter o sorriso bonito e saudável durante o tratamento ortodôntico é super importante, e isso inclui um acompanhamento regular. A ideia é que seu ortodontista consiga acompanhar de perto como seus dentes estão se movendo e, claro, garantir que tudo esteja correndo bem.

Geralmente, o retorno ao ortodontista para ajustes e verificações acontece a cada 20 a 30 dias. Essa frequência permite que ele avalie o progresso, faça as correções necessárias e oriente você sobre os cuidados. É nessa hora que ele também confere a higiene bucal, que, com aparelho, exige um pouco mais de atenção, mas é totalmente factível.
Manter essa rotina de consultas é o que vai garantir que seu tratamento seja eficaz e, ao final, você conquiste o sorriso que sempre quis. Não pule as consultas de manutenção, elas são essenciais para o sucesso do processo. Sei que às vezes a correria aperta, mas priorizar seu sorriso vale cada ida ao consultório.
Dica Prática: Anote as datas das próximas consultas no seu celular assim que sair do consultório. Assim, você não esquece e mantém o acompanhamento em dia!

Como Manter o Sorriso Claro Mesmo Após a Retirada do Aparelho
Pois é, a gente se dedica tanto ao tratamento com aparelho, sonhando com o sorriso perfeito, que às vezes esquece do “depois”. E o objetivo é justamente manter esse resultado incrível, né? Logo que tira o aparelho, os dentes podem estar um pouco mais sensíveis a manchas. Isso acontece porque a limpeza em algumas áreas pode ter sido mais difícil durante o uso.

Manter os dentes claros depois de tirar o aparelho é mais sobre uma boa rotina de higiene e alguns cuidados estratégicos. Não é um bicho de sete cabeças, viu? O segredo é constância e atenção aos detalhes. A gente quer esse sorriso brilhando por muito tempo, concorda?
A alimentação tem um papel importante aqui. Aquela cafezinha de todo dia, o vinho tinto, ou até mesmo o refrigerante podem amarelar os dentes mais rápido. Para ajudar a manter a cor, beber água logo após consumir essas bebidas faz uma diferença danada. E, claro, não pule a escovação e o uso do fio dental.
Dica Prática: Considere um clareamento dental supervisionado pelo seu dentista para um resultado ainda mais potente e seguro após o uso do aparelho.
Claro, vamos organizar essas informações valiosas em uma tabela explicativa para você!
A Ciência por Trás do Clareamento Dental: O Que Você Precisa Saber
| Item Essencial | O Que Significa Para Você | Minha Dica de Ouro |
|---|---|---|
| Higiene Bucal Reforçada com Aparelho | Com o aparelho, a limpeza fica mais difícil. Uma boa higiene evita acúmulo de placa e manchas, fundamentais para um clareamento eficaz. | Dedique tempo extra à escovação e ao fio dental. Pequenos cuidados agora fazem toda a diferença depois. |
| Alimentos e Bebidas Aliados (e Inimigos) do Clareamento | Certos alimentos (como café, vinho tinto, açaí) mancham os dentes. Outros, como frutas com boa acidez, podem ajudar na limpeza. | Se for consumir algo que mancha, tente escovar os dentes logo depois. Beba água para diluir. |
| Produtos de Higiene Bucal Específicos para Pacientes Ortodônticos | Existem escovas e cremes dentais pensados para alcançar todas as áreas com o aparelho. Eles facilitam a limpeza. | Pergunte ao seu dentista quais produtos ele recomenda. Eles conhecem seu caso. |
| A Função das Escovas Interdentais e Fio Dental no Dia a Dia | Com o aparelho, o fio dental e as escovas interdentais são seus melhores amigos para tirar restos de comida e placa entre os dentes e os braquinhos. | Use essas ferramentas diariamente. Não tem como ter um sorriso branco sem uma limpeza impecável. |
| Mitos e Verdades sobre Clareamento Caseiro com Aparelho | Muita coisa que a gente ouve por aí não é segura. Clarear com aparelho exige cuidado extra para não danificar o esmalte ou o próprio aparelho. | Desconfie de receitas caseiras milagrosas. O que funciona para uns pode estragar tudo para você. |
| O Papel do Ortodontista no Seu Processo de Clareamento | Seu ortodontista é quem acompanha tudo. Ele pode indicar o melhor momento e método para clarear seus dentes junto com o aparelho. | Mantenha seu ortodontista informado sobre seu desejo de clarear. Ele é seu guia principal. |
| Alternativas Seguras para Clarear Dentes com Aparelho Fixo | Existem tratamentos feitos em consultório ou kits supervisionados que podem ser usados com segurança, mesmo com o aparelho. | Sempre converse com seu ortodontista sobre opções. Ele saberá o que é adequado para você. |
| Cuidados Essenciais Após Cada Refeição para Evitar Manchas | Beber água, usar o fio dental e, se possível, dar uma escovada rápida após comer ajuda muito a prevenir que as manchas se fixem. | Tenha sempre um kit de higiene bucal compacto na bolsa. É um hábito que vale ouro. |
| Frequência Ideal de Consultas Odontológicas Durante o Tratamento | Visitas regulares ao dentista garantem que tudo está indo bem |
Confira este vídeo relacionado para mais detalhes:
Dicas de Ouro para Manter a Brancura do Seu Sorriso no Cotidiano
Pois é, manter os dentes branquinhos com aparelho pode parecer um desafio, mas eu te garanto que é super possível com um pouquinho de atenção extra. Eu mesma já passei por isso e aprendi algumas manhas que fazem toda a diferença no dia a dia.
- Capriche na Higiene: Essa é a base de tudo. Escove os dentes com calma após cada refeição. Use um kit específico para quem usa aparelho, com escovas interdentais e, se possível, um irrigador oral. Limpar bem evita que a comida se acumule e manche o esmalte, principalmente em volta dos bráquetes.
- Cuidado com os Vilões de Cor: Alguns alimentos e bebidas adoram deixar suas marcas. Café, vinho tinto, açaí, molho de tomate e até refrigerantes escuros podem escurecer seus dentes. Tente consumir esses itens com moderação ou, se puder, escove os dentes logo depois.
- A Hidratação é Sua Aliada: Beber bastante água ajuda a lavar a boca, removendo resíduos de comida e saliva, o que contribui para um sorriso mais limpo e claro.
- Pastas de Dente Clareadoras (com moderação!): Existem pastas com efeito clareador que podem ser usadas, mas não se empolgue. Use-as uma ou duas vezes por semana, alternando com sua pasta de uso diário. O uso excessivo pode sensibilizar seus dentes, e a gente não quer isso, né?
- Visitas Regulares ao Dentista: Não pule as consultas de manutenção do aparelho e as limpezas profissionais. Seu ortodontista e o higienista vão te ajudar a remover tártaros e manchas que a escovação diária não consegue alcançar.
Vamos combinar, um sorriso bonito é um sorriso saudável. Com essas dicas, você vai ver como é fácil manter seus d
Dúvidas das Leitoras
Clarear os dentes com aparelho pode danificar o esmalte?
Fica tranquila, clarear os dentes com aparelho não danifica o esmalte se for feito corretamente. O aparelho cobre apenas uma parte dos dentes, então o clareamento será desigual. O ideal é esperar o tratamento ortodôntico terminar.
Quais são os riscos de usar produtos clareadores sem orientação?
Produtos sem orientação podem causar sensibilidade excessiva, irritação nas gengivas e até danos permanentes ao esmalte. Cada boca é um caso único, por isso, um profissional é essencial.
É possível clarear os dentes usando bicarbonato de sódio com aparelho?
Pois é, o bicarbonato pode ser abrasivo e arranhar o esmalte, especialmente com o aparelho. Ele também não age de forma uniforme, deixando manchas. Não recomendo essa prática.
Quanto tempo leva para ver resultados no clareamento com aparelho?
O clareamento só pode ser feito após a remoção do aparelho. Assim, os resultados dependem do método escolhido pelo dentista e da sua resposta individual ao tratamento.
Clarear os dentes com aparelho é totalmente possível e traz um resultado incrível para seu sorriso. Lembre-se da higiene impecável e da orientação do seu dentista. Um sorriso mais branco realça ainda mais o efeito do seu tratamento ortodôntico. Fica a dica!

