Seus dentes amarelos te incomodam? Muita gente passa por isso e, pois é, a gente sabe como isso afeta a autoestima. Mas fica tranquila, porque neste post eu vou te contar exatamente como clarear os dentes amarelos de um jeito que funciona de verdade. Vamos desmistificar isso juntas e conquistar o sorriso que você merece!
Desvendando o Amarelado: Por Que Nossos Dentes Mudam de Cor?
Seus dentes podem ficar amarelados por vários motivos, e é super normal isso acontecer. Com o tempo, a camada mais externa do dente, o esmalte, vai afinando. Por baixo dele, tem a dentina, que é naturalmente mais amarelada. Então, quando o esmalte fica mais fino, o amarelado da dentina aparece mais. É um processo natural, viu?
Além disso, o que a gente come e bebe tem um grande papel. Café, vinho tinto, refrigerantes escuros, e até mesmo o cigarro, deixam pigmentos que se agarram ao esmalte. Essa mudança de cor não afeta a saúde bucal, mas pode impactar sua autoestima. Entender isso é o primeiro passo para buscar a melhor solução para você.
Confira este vídeo relacionado para mais detalhes:
O Guia Completo para um Sorriso Mais Branco em Casa

A Alimentação Diária e Suas Marcas
Você já reparou como a nossa alimentação deixa marcas, inclusive nos nossos dentes? Pois é, o cafezinho de todo dia, aquele vinho especial no fim de semana ou até mesmo alguns alimentos mais pigmentados podem, com o tempo, dar aquela tonalidade amarelada que a gente não curte tanto.

Não é algo da noite para o dia, mas a constância faz toda a diferença. São os pigmentos desses alimentos que se aderem à superfície do esmalte. Algumas bebidas, como refrigerantes de cola, também podem contribuir para o amarelamento, e acredite, elas estão no nosso dia a dia.
Manter a saúde bucal em dia é o primeiro passo. Escovar os dentes logo após as refeições ajuda a remover esses pigmentos antes que eles se fixem. E se você quer dar um up no sorriso, alguns métodos podem ser aliados.
Dica Prática: Chupar uma fruta cítrica logo após o consumo de alimentos que mancham (como café ou vinho) pode ajudar a neutralizar os ácidos e remover pigmentos superficiais.

Higiene Bucal: O Pilar Fundamental
Se você se olha no espelho e acha que seus dentes perderam o branco, calma! Essa é uma queixa bem comum. Muita coisa influencia a cor do nosso esmalte, desde o que a gente come e bebe até hábitos que às vezes nem percebemos. O mais importante é saber que existem formas eficazes de reverter isso, sem precisar de procedimentos caros ou complicados.

Vamos combinar, ninguém quer ter que esconder o sorriso. Os dentes amarelos podem surgir por conta do consumo frequente de café, vinho tinto, refrigerantes escuros ou até mesmo pelo tabagismo. Alguns medicamentos e o próprio envelhecimento natural também podem alterar a tonalidade do esmalte. O segredo está em entender as causas para combatê-las de forma inteligente.
Para ter dentes mais brancos, a escovação diária e o uso do fio dental são indispensáveis. Eles removem a placa bacteriana e os resíduos de alimentos que causam manchas. Se você quer um reforço, existem produtos que podem ajudar bastante no clareamento, sempre com moderação e seguindo as orientações corretas. A consulta com seu dentista é fundamental para indicar o melhor caminho para você.
Dica Prática: Uma pasta de dente clareadora de qualidade, usada corretamente e associada a uma boa escovação, pode fazer uma diferença visível em poucas semanas.

Remédios Caseiros: Mitos e Verdades
Seus dentes amarelos te incomodam? Pois é, muita gente busca um sorriso mais branco em casa. Na hora de clarear os dentes amarelos, a gente se depara com tanta coisa na internet, né? Tem gente que jura que bicarbonato resolve, outros falam de limão. Mas será que tudo isso funciona mesmo? E o mais importante: será que é seguro?

Vamos combinar, a gente quer um resultado visível, mas sem estragar o esmalte dos dentes. O bicarbonato de sódio, por exemplo, tem um poder abrasivo que pode remover manchas superficiais. Ele pode ajudar a dar uma clareada, mas usado em excesso ou com muita força, pode desgastar o esmalte com o tempo. Já o limão, por ser ácido, é ainda mais arriscado. O ácido pode corroer o esmalte, deixando os dentes mais sensíveis e, ironicamente, mais suscetíveis a ficarem amarelos no futuro. Então, na dúvida, melhor ter cautela.
Para quem busca clarear os dentes amarelos de forma mais segura em casa, existem algumas alternativas que eu gosto bastante. Kits clareadores vendidos em farmácia, com orientações claras, costumam ser uma boa pedida. Eles vêm com géis e moldeiras que se adaptam aos seus dentes, liberando o agente clareador de forma controlada. Outra opção são as pastas de dente branqueadoras. Elas usam ingredientes que ajudam a remover manchas superficiais, mas sem agredir tanto. Fica tranquila, o segredo é não exagerar e sempre seguir as instruções do produto.
Dica Prática: Para manter o branco conquistado, evite consumir em excesso alimentos e bebidas que mancham os dentes, como café, vinho tinto e molho de tomate. E claro, não se esqueça da escovação regular!

O Poder dos Clareadores Orais Profissionais (e como usá-los)
Sabe aqueles sorrisos que brilham de longe? Pois é, muitas vezes são resultado de clareadores orais profissionais. Eu já vi muita gente com receio de usar, achando que é algo agressivo, mas quando feito com orientação, o resultado é incrível. Esses produtos são formulados para remover manchas e trazer de volta a cor natural dos seus dentes. Pensa em dar um up no seu sorriso, sabe?

A ação desses clareadores é focada em quebrar as moléculas de pigmento que se acumulam no esmalte. Diferente do que muita gente pensa, o processo não danifica o dente quando as instruções são seguidas à risca. Eu gosto de pensar que é como dar uma boa limpeza e polimento no seu sorriso. Existem diferentes concentrações e métodos, e o profissional vai saber indicar o melhor para o seu caso específico.
Usar clareadores orais profissionais é um caminho seguro e eficaz para quem busca dentes mais brancos. A chave é sempre procurar um dentista. Ele vai avaliar sua saúde bucal e indicar o tratamento ideal, seja em consultório ou um kit para usar em casa sob supervisão. Isso garante que você terá o melhor resultado sem nenhum risco para a saúde dos seus dentes e gengivas.
Dica Prática: Converse com seu dentista sobre clareadores orais. Ele é a pessoa certa para te orientar sobre o melhor método e produto para o seu sorriso.

Evitando Manchas Futuras: Um Hábito Saudável
Você já parou para pensar por que os dentes ficam amarelos? Pois é, não é só a falta de escovação. Muitos alimentos e bebidas que amamos no dia a dia contribuem para isso. Cafés, chás escuros, vinho tinto, refrigerantes… até mesmo alguns molhos, como o de soja, podem manchar o esmalte com o tempo. É como se a gente fosse pintando o dente de pouquinho em pouquinho, sabe?

Mas a boa notícia é que dá para reverter e prevenir. Para clarear os dentes amarelos, o primeiro passo é observar seus hábitos. Se você é fã de um cafezinho todo dia, tenta intercalar com água ou escovar os dentes logo depois. Não precisa radicalizar, mas ter essa atenção já faz uma diferença enorme. E claro, uma boa higiene bucal é fundamental. Escovar bem os dentes e usar fio dental diariamente remove a placa bacteriana e resíduos que causam o amarelamento.
Manter os dentes brancos não é um bicho de sete cabeças. É mais sobre consistência e cuidado diário. Beber água depois de consumir alimentos que mancham é um truque simples e eficaz. Reduzir o consumo de bebidas e alimentos muito pigmentados também ajuda a manter o esmalte mais saudável e claro. Se o amarelamento for mais acentuado, vale a pena conversar com seu dentista. Ele pode te indicar o melhor tratamento para o seu caso específico.
Dica Prática: Se você não pode escovar os dentes logo após comer ou beber algo que manche, experimente enxaguar a boca com água pura. Isso ajuda a remover boa parte dos resíduos.

Gel Clareador: O Que Você Precisa Saber Antes de Comprar
Seus dentes amarelos te incomodam? A gente sabe como isso pode afetar a autoestima. Por isso, o gel clareador surge como uma opção prática para buscar um sorriso mais branco em casa. Mas antes de sair comprando, é bom entender como ele funciona e o que esperar. Afinal, ninguém quer gastar dinheiro à toa, né?

Esses géis geralmente contêm peróxidos, que são os responsáveis por quebrar as moléculas que causam o amarelado nos dentes. A concentração varia bastante entre os produtos. Alguns usam peróxido de carbamida, outros peróxido de hidrogênio. O importante é que a aplicação seja feita de forma correta, seguindo as instruções do fabricante. Não pense que quanto mais usar, mais rápido verá resultado. Excesso pode ser prejudicial.
A escolha do gel clareador ideal passa por alguns pontos. Veja a composição, se ela é adequada para você e, se possível, converse com seu dentista. Ele pode te orientar sobre as opções mais seguras e eficazes para o seu caso específico. Lembre-se que o resultado pode variar de pessoa para pessoa e dependendo da causa do amarelamento. Paciência é fundamental para ter um bom resultado.
Dica Prática: Antes de iniciar o uso de qualquer gel clareador, procure escovar bem os dentes e passar fio dental. Uma boca limpa potencializa a ação do produto e minimiza riscos.

Pastas de Dente Clareadoras: Mais que Marketing?
Olha, vamos combinar: ninguém gosta de ter os dentes amarelados, né? Isso afeta nossa autoestima e até a forma como a gente sorri. As pastas de dente clareadoras prometem dar um jeito nisso. Elas geralmente contêm agentes abrasivos mais finos ou compostos químicos que ajudam a remover manchas superficiais. É importante entender que o resultado varia muito de pessoa para pessoa e depende da causa do amarelamento. Não espere uma transformação radical como a de um clareamento a laser, ok? Mas para um efeito gradual e sutil, elas podem dar uma ajuda.

A maioria dessas pastas funciona retirando aquelas manchinhas que aparecem com o tempo por causa do café, vinho, cigarro ou até mesmo certos alimentos. Elas não alteram a cor natural do seu dente por dentro. O segredo está na ação física ou química que remove o que está por fora. Algumas contêm peróxido de hidrogênio em baixíssima concentração, mas o efeito é mais leve do que em tratamentos profissionais. Se o seu dente é naturalmente mais escuro ou o amarelamento é interno, a pasta sozinha não vai resolver.
Para quem busca um sorriso mais branco de forma prática e acessível no dia a dia, essas pastas são uma boa pedida. Elas são parte de um cuidado contínuo. Fica tranquila, o uso diário, conforme as instruções do fabricante, costuma ser seguro para o esmalte dos dentes. Se você quer um resultado mais visível, talvez seja bom combinar o uso da pasta com outros hábitos, como diminuir o consumo de bebidas que mancham. Mas o principal é a consistência.
Dica Prática: Se o seu objetivo é clarear os dentes amarelos, intercale o uso da pasta clareadora com a sua pasta de dente habitual. Assim, você aproveita o efeito clareador sem sobrecarregar o esmalte com o uso diário constante.

Bicarbonato de Sódio: Um Aliado ou Vilão?
Sabe quando a gente se olha no espelho e acha que os dentes poderiam estar um pouco mais branquinhos? Pois é, a vontade de ter um sorriso mais iluminado é super comum. E aí, sempre surge aquela dúvida: será que o bom e velho bicarbonato de sódio é a solução? Muita gente fala que sim, que é um truque caseiro infalível para clarear os dentes amarelos. Mas será que é tão simples assim?

O bicarbonato de sódio tem uma textura levemente abrasiva. Essa característica ajuda a remover manchas superficiais dos dentes, aquelas causadas pelo café, vinho ou cigarro, sabe? Por isso, ele pode dar a sensação de dentes mais claros. Ele age como um esfoliante suave para o esmalte dental. Mas a gente tem que ficar de olho, porque o uso em excesso ou com muita força pode acabar prejudicando o esmalte.
A chave é a moderação e a técnica correta. Se você decidir testar, faça poucas vezes na semana e use uma escova de dentes bem macia, com movimentos delicados. Não dá para sair escovando com força, senão o tiro pode sair pela culatra. É sempre bom lembrar que ele não muda a cor natural do seu dente, ele apenas ajuda a remover as manchas externas. Para um clareamento mais profundo, o ideal é sempre conversar com um dentista.
Dica Prática: Misture uma pequena quantidade de bicarbonato de sódio com água até formar uma pasta. Use essa pasta uma vez por semana, com escovação suave, e enxágue bem depois. Fique atenta a qualquer sensibilidade.

A Importância do Esmalte Dental no Clareamento
Você já se perguntou por que seus dentes, com o tempo, perdem aquele branco que você adora? A resposta está em uma camada super fina que fica na superfície dos dentes: o esmalte. Ele é o escudo natural, sabe? Só que ele é poroso. Imagem assim: um tecido clarinho que, com o uso diário de cafezinho, vinho, ou até um simples molho de tomate, vai absorvendo os pigmentos. É ele o grande vilão do tom amarelado que aparece. Por isso, quando falamos em como clarear os dentes amarelos, entender o papel do esmalte é o primeiro passo para saber o que funciona de verdade.

Pois é, esse esmalte não só protege a dentina (que é a camada mais interna e naturalmente mais amarelada), como também é a “tela” onde a mágica do clareamento acontece. Quando os pigmentos se depositam nele, eles deixam os dentes com aquela aparência mais escura ou amarelada. Tratamentos clareadores atuam justamente para remover esses pigmentos ou até mesmo clarear o esmalte em si. Fica tranquila, porque com os cuidados certos e os métodos adequados, dá para reverter isso e dar um up no seu sorriso.
Vamos combinar, ninguém quer ter que se preocupar demais com isso. O importante é saber que o esmalte dental influencia diretamente no resultado do clareamento. Ele pode até ser um guia para entender a eficácia de certos produtos. Alguns que prometem milagres, na verdade, podem agredir o esmalte, deixando-o mais fino e sensível. O ideal é buscar soluções que respeitem essa camada protetora.
Dica Prática: Converse com seu dentista sobre sua alimentação e hábitos. Ele poderá te orientar sobre quais alimentos ou bebidas mais contribuem para o amarelamento do seu esmalte e indicar os melhores caminhos para um clareamento seguro e eficaz para o seu caso.

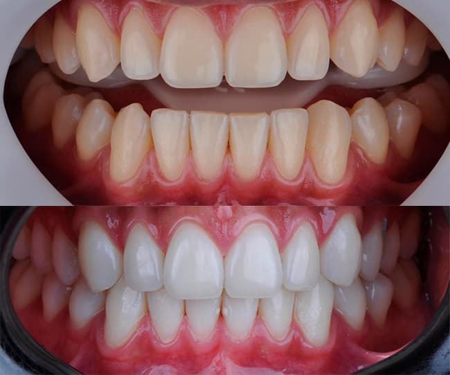
Quando Procurar um Dentista: Clareamento Profissional
Se você já tentou de tudo em casa e aqueles tons amarelados nos seus dentes não vão embora, a hora de procurar um dentista para um clareamento profissional pode ter chegado. Sabe por quê? O clareamento feito no consultório usa substâncias mais concentradas, e o dentista sabe exatamente como aplicá-las para proteger suas gengivas e obter o melhor resultado. É um procedimento seguro e, sinceramente, faz uma diferença que você percebe na hora.

O processo profissional geralmente envolve o uso de géis clareadores potentes. O dentista pode usar uma luz especial para acelerar a ação do produto, ou aplicar o gel e cobrir seus dentes por um tempo determinado. Eles tomam todo o cuidado para que o produto não entre em contato com a gengiva, evitando sensibilidade. É um tratamento que age de forma mais profunda no esmalte do dente, removendo manchas que os produtos caseiros não conseguem alcançar.
Fica tranquila, o clareamento profissional é bem mais seguro do que parece. O dentista vai te acompanhar de perto, ajustando o tratamento se necessário. Para manter o sorriso branco por mais tempo, a alimentação tem um papel grande. Evite consumir alimentos e bebidas que mancham os dentes, como café, vinho tinto e refrigerantes escuros, logo após o procedimento e, sempre que possível, no dia a dia.
Dica Prática: Para potencializar os resultados e sentir a diferença, procure um dentista logo após identificar que os métodos caseiros não estão mais funcionando para você.
O Que o Dentista Pode Fazer Por Você?
| Item | Características | Dicas da Autora |
|---|---|---|
| A Alimentação Diária e Suas Marcas | Certos alimentos e bebidas (café, vinho tinto, açaí) podem pigmentar o esmalte com o tempo. | Pois é, o que a gente ama comer e beber pode, sim, deixar os dentes mais amarelados. Beber água depois de consumir esses itens ajuda a minimizar o dano. E a escovação logo em seguida faz maravilhas! |
| Higiene Bucal: O Pilar Fundamental | Escovação correta e uso diário do fio dental removem placa e resíduos que causam amarelamento. | Não tem mistério aqui: capriche na escovação pelo menos duas vezes ao dia e use fio dental todo dia. Essa é a base para tudo, viu? Mantenha seus dentes sempre limpos. |
| Remédios Caseiros: Mitos e Verdades | Muitas receitas caseiras prometem clareamento, mas podem danificar o esmalte. | Olha, muita coisa que a gente vê por aí pode mais prejudicar do que ajudar. Cuidado com o que você aplica nos dentes sem orientação. A saúde do seu esmalte vem primeiro. |
| O Poder dos Clareadores Orais Profissionais (e como usá-los) | São produtos à base de peróxido, aplicados em consultório ou em casa, sob supervisão do dentista. | Esses sim fazem a diferença de verdade! O profissional vai te indicar o melhor para o seu caso e garantir que tudo seja feito com segurança. O resultado é muito mais visível. |
| Evitando Manchas Futuras: Um Hábito Saudável | Reduzir o consumo de alimentos pigmentantes e manter uma boa higiene previne o reamarelamento. | É como cuidar da pele, sabe? Uma vez que você alcança o tom desejado, é manter os cuidados. Pequenas mudanças no dia a dia evitam que o amarelado volte rápido. |
| Gel Clareador: O Que Você Precisa Saber Antes de Comprar | Géis com peróxido de hidrogênio ou carbamida são usados em moldeiras. A concentração varia. | Se for usar em casa, é essencial que seja indicado pelo seu dentista. Ele vai te falar a concentração certa para você e como usar as moldeiras direitinho, sem exagerar. |
| Pastas de Dente Clareadoras: Mais que Marketing? | Geralmente contêm abrasivos leves ou agentes químicos para remover manchas superficiais. | Elas ajudam a manter o clareamento e a remover algumas manchinhas do dia a dia. Mas não espere um efeito drástico como os tratamentos profissionais. São um bom complemento. |
| Bicarbonato de Sódio: Um Aliado ou Vilão? | Tem efeito abrasivo. Pode remover manchas superficiais, mas o uso frequente pode desgastar o esmalte. | É um clássico, né? Sim, ele pode dar uma clareada superficial, mas use com muita moderação. Eu prefiro |
Confira este vídeo relacionado para mais detalhes:
Manutenção e Cuidados Pós-Clareamento: Preserve seu Sorriso Radiante
Conseguiu clarear os dentes? Que maravilha! Mas agora vem a parte crucial: manter esse sorriso brilhante. Fica tranquila, não é nenhum bicho de sete cabeças. Com alguns cuidados simples, você prolonga o efeito e evita que voltem a amarelar.
Minhas Dicas Especiais para Manter o Clareamento:
- Evite o que Mancha: Sabe aquele cafezinho de toda hora? O vinho tinto do fim de semana? E o cigarro, então… essas coisas grudam nos dentes e vão escurecendo o esmalte. Tente reduzir o consumo ou, na hora de tomar, use um canudinho. Depois, dê uma escovada ou, no mínimo, enxágue a boca com água.
- Higiene Rigorosa: Escove os dentes pelo menos duas vezes ao dia, com capricho. Use fio dental todos os dias. Isso remove os restos de comida e placa bacteriana, que podem causar manchas e mau hálito.
- Visitas Regulares ao Dentista: A cada seis meses, mais ou menos, faça uma limpeza profissional. O dentista remove tártaro e outras sujeirinhas que em casa a gente não consegue tirar. Além disso, ele pode avaliar como estão seus dentes e te dar dicas personalizadas.
- Cuidado com Produtos Abrasivos: Pastas de dente muito abrasivas podem desgastar o esmalte e, paradoxalmente, fazer com que os dentes pareçam mais amarelados com o tempo. Converse com seu dentista sobre qual pasta é mais indicada para você.
Vamos combinar, um sorriso bonito e saudável vale todo esse cuidado, né?
Mitos Comuns Sobre Clareamento Dental
Clarear os dentes pode danificar o esmalte?
Fica tranquila! Quando feito corretamente e sob orientação profissional, o clareamento dental é seguro para o esmalte. Os produtos modernos contêm agentes protetores para minimizar qualquer sensibilidade.
Qual a frequência ideal para clarear os dentes?
A frequência varia muito de pessoa para pessoa e depende do seu estilo de vida e dieta. O ideal é conversar com seu dentista, ele vai te orientar sobre o melhor cronograma para você.
Posso clarear meus dentes se tiver restaurações ou lentes?
Isso é algo que precisa ser avaliado por um profissional. Restaurações e lentes de contato não clareiam. Seu dentista vai verificar se o procedimento é indicado e como ele pode afetar a cor desses materiais.
O clareamento caseiro é tão eficaz quanto o profissional?
Vamos combinar, o clareamento feito em consultório tem resultados mais rápidos e visíveis. Os kits caseiros podem funcionar para manutenção ou casos mais leves, mas sempre com cautela e preferencialmente com indicação do seu dentista.
Clarear os dentes amarelos é totalmente possível com a abordagem certa. Lembre-se que a higiene bucal diária e a escolha de métodos seguros fazem toda a diferença. Cuidar do seu sorriso nunca foi tão prático, né? Se você curtiu essas dicas, que tal dar uma olhada em como manter a saúde das gengivas em dia? Assim, seu sorriso fica completo!

