Quer saber como clarear os dentes com laser e gel? Se você se incomoda com manchas e busca um sorriso mais branco e radiante, chegou ao lugar certo! Este post vai te contar tudo sobre o procedimento. Vamos desmistificar essa técnica para você entender se ela é a melhor opção para conquistar o sorriso dos seus sonhos.
Sorriso Radiante: O Poder do Clareamento a Laser e Gel
Você quer um sorriso mais branco e iluminado? O clareamento a laser e gel é uma técnica que tem ganhado muitos adeptos por aqui. Funciona assim: um gel clareador, geralmente à base de peróxido de hidrogênio ou carbamida, é aplicado nos seus dentes. Depois, um laser específico é usado para ativar esse gel. Essa ativação acelera o processo de clareamento, desprendendo o oxigênio que penetra no esmalte e dentina, quebrando as moléculas de pigmento que causam o amarelamento.
O grande benefício é a rapidez. Em poucas sessões, você já percebe uma diferença significativa. Essa tecnologia permite um tratamento mais eficaz e, geralmente, com menos sensibilidade pós-procedimento comparado a outros métodos. É uma ótima opção para quem busca resultados visíveis e duradouros para aquele sorriso que você sempre quis.
Confira este vídeo relacionado para mais detalhes:
Desmistificando o Clareamento Dental: Um Guia Completo

O que é o Clareamento a Laser e Gel?
O clareamento a laser e gel é um procedimento bem moderno para quem quer dar um up no sorriso. Basicamente, funciona assim: o dentista aplica um gel clareador potente nos seus dentes. Depois, usa um laser especial para ativar esse gel. Essa combinação acelera o processo de remoção das manchas, deixando os dentes mais brancos rapidinho.

É importante saber que o gel usado é mais concentrado que aqueles que você compra para usar em casa. O laser, por sua vez, tem um papel de intensificar a ação do gel, mas sem danificar o esmalte do dente. Por isso que os resultados costumam ser tão visíveis e rápidos.
Muita gente me pergunta se dói. Geralmente, o desconforto é mínimo. Às vezes, pode dar uma sensibilidade nos dentes depois, mas é passageiro. O legal é que o dentista acompanha tudo de perto, garantindo que seja seguro para você.
Dica Prática: Converse abertamente com seu dentista sobre sua expectativa e sobre qualquer sensibilidade que você já tenha, assim ele pode ajustar o tratamento para você.

Como o Laser Potencializa o Gel Clareador?
Imagina: o gel clareador tem ingredientes ativos que penetram no esmalte do dente para quebrar as manchas. Mas ele sozinho leva um tempinho, sabe? É aí que o laser entra como um verdadeiro super-herói. A luz do laser, quando atinge o gel, acelera a reação química. É como dar um gás no processo, tornando tudo mais rápido e eficiente para clarear os dentes.

A gente sabe que o esmalte é a camada mais externa do dente, e é nela que as manchas se acumulam. O gel clareador age nesse esmalte, e o laser, com sua energia controlada, potencializa essa ação. Ele não só acelera a quebra das moléculas que causam as manchas, mas também ajuda o gel a penetrar de forma mais eficaz. Por isso, o resultado é visível em menos tempo e, geralmente, com um clareamento mais profundo e duradouro.
É importante entender que essa combinação é feita por profissionais. O dentista aplica o gel e usa o laser, garantindo que o procedimento seja seguro e traga o melhor resultado. Eles controlam a intensidade e o tempo de exposição. O processo é bem tranquilo, e o feedback de quem faz é super positivo.
Dica Prática: Converse com seu dentista sobre o seu histórico e expectativas. Ele poderá indicar se o clareamento a laser com gel é o ideal para você.

Procedimento Passo a Passo: O Que Esperar no Consultório?
Vamos falar sobre clarear os dentes com laser e gel? É um procedimento bem comum e que traz resultados bacanas. Eu já vi muita gente se surpreender com o antes e depois. Basicamente, você vai até o consultório e o dentista vai aplicar um gel clareador nos seus dentes. Esse gel tem umas substâncias que removem aquelas manchinhas mais profundas que o dia a dia causa, sabe? Tipo café, vinho, cigarro…

Depois que o gel está no lugar, vem a parte do laser. Ele funciona como um ativador. O dentista usa um aparelho que emite uma luz especial, direcionada para os dentes. Essa luz intensifica a ação do gel, acelerando o processo de clareamento. O procedimento em si não costuma ser dolorido, mas é normal sentir um pouco de sensibilidade depois, especialmente se seus dentes já são mais sensíveis naturalmente.
O tempo total no consultório varia, mas geralmente fica em torno de uma hora. O resultado é um sorriso mais branco e radiante. É importante conversar com seu dentista antes, ele vai avaliar se o procedimento é o ideal para você e quais cuidados tomar. Ele também vai te orientar sobre o que comer e beber nas primeiras horas após o clareamento, para manter o resultado por mais tempo.
Dica Prática: Para potencializar o efeito e cuidar do seu sorriso após o clareamento a laser, evite alimentos e bebidas pigmentadas por pelo menos 48 horas. Isso inclui café, vinho tinto, refrigerantes escuros e até molhos como shoyu.

Tipos de Gel Clareador Utilizados
Você quer saber sobre os géis usados no clareamento a laser, né? Pois é, são eles que fazem a mágica acontecer! Geralmente, a gente encontra géis com peróxido de hidrogênio ou peróxido de carbamida. São esses compostos que liberam oxigênio e quebram as moléculas de pigmento que deixam seus dentes amarelados. A concentração varia, e o dentista escolhe a ideal pra você, levando em conta a saúde dos seus dentes e o resultado que você espera. Fica tranquila que é um processo seguro quando feito por um profissional.

O gel clareador funciona assim: ele é aplicado diretamente sobre a superfície dos dentes. A luz do laser, que é usada para ativar o gel, potencializa a ação dele. Isso significa que o processo pode ser mais rápido e eficiente do que com outros métodos. O laser ajuda a acelerar a reação química do gel, permitindo que ele penetre melhor no esmalte e remova as manchas mais profundas. É uma tecnologia que realmente faz a diferença.
Na prática, o gel pode ter uma consistência mais líquida ou em pasta, dependendo da formulação. Ele é aplicado com cuidado pelo profissional, que protege sua gengiva para evitar qualquer desconforto. A sensação pode ser de um leve formigamento, mas nada demais. Vamos combinar, o resultado de ter um sorriso mais branco e brilhante compensa!
Dica Prática: Para potencializar os efeitos do clareamento a laser, evite alimentos e bebidas muito pigmentados (como café, vinho tinto e açaí) por pelo menos 48 horas após o procedimento. Assim, você garante que os resultados durem mais!

Diferença Entre Clareamento a Laser e Outros Métodos Caseiros
Muita gente me pergunta sobre clareamento dental, e a dúvida sobre laser versus métodos caseiros é super comum. Vamos direto ao ponto: a grande diferença é a potência e a velocidade. O clareamento a laser, combinado com um gel clareador específico, age de forma muito mais intensa. Ele atinge camadas mais profundas do dente, removendo manchas que os métodos caseiros, por mais que a gente tente, não conseguem alcançar.

Pensa assim: os kits caseiros, como as pastas de dente branqueadoras ou as fitas, têm uma concentração bem menor dos agentes clareadores. Eles funcionam mais na superfície do esmalte, tirando manchas superficiais e dando um brilho. Já o laser, com o gel, acelera o processo químico. A luz amplifica a ação do gel, penetrando no esmalte e na dentina para quebrar as moléculas que causam as manchas. É por isso que os resultados são mais rápidos e visíveis com o procedimento a laser.
No fim das contas, se você busca um resultado mais expressivo e rápido, o clareamento a laser com gel é o caminho. Ele exige acompanhamento profissional, claro, e por isso é feito no consultório. Métodos caseiros podem ajudar a manter o branco ou dar um up leve, mas para uma transformação notável, a tecnologia a laser faz toda a diferença. Se você está pensando em ter um sorriso mais branco, vale a pena conversar com seu dentista sobre essa opção.
Dica Prática: Para manter os resultados do clareamento a laser, evite consumir alimentos e bebidas com corantes fortes (café, vinho tinto, açaí) nas primeiras 48 horas após o procedimento. Isso ajuda a preservar o branco por mais tempo.

Quem Pode Fazer o Clareamento a Laser e Gel?
Muita gente me pergunta sobre clareamento a laser e gel, né? E a primeira coisa que eu penso é: quase todo mundo pode fazer! Se seus dentes estão saudáveis, sem muitas cáries ou problemas de gengiva, a chance de você ser um bom candidato é enorme. A gente quer dentes mais branquinhos, mas a saúde bucal vem em primeiro lugar, sempre.

A gente sabe que o clareamento a laser e gel funciona bem em dentes manchados por café, vinho, cigarro… Aquelas manchas mais externas, sabe? Mas se o seu dente já tem restaurações grandes ou canal, a cor não vai mudar. Nesses casos, eu sempre sugiro conversar com o dentista para ver as melhores opções.
O legal desse método é que ele costuma ser mais rápido. A luz do laser ou um aparelho especial ativa o gel clareador, acelerando o processo. É importante lembrar que quem tem dentes muito sensíveis precisa ter um cuidado extra. O profissional vai avaliar isso e, se for o caso, usar técnicas para diminuir essa sensibilidade.
Dica Prática: Antes de começar qualquer clareamento, faça uma consulta com seu dentista para uma avaliação completa. Ele vai te dizer se é o método ideal para você e quais cuidados tomar.

Cuidados Essenciais Antes e Depois do Procedimento
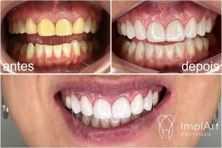
Vamos falar sobre como clarear os dentes com laser e gel. Esse procedimento tem ganhado muita atenção, e por um bom motivo! O resultado pode ser um sorriso visivelmente mais branco e radiante. Mas, como tudo na vida, exige alguns cuidados antes e depois para garantir que tudo corra bem e o efeito dure.

Antes de pensar em clarear os dentes com laser e gel, é fundamental uma consulta com seu dentista. Ele vai avaliar se você é uma boa candidata para o procedimento, verificando a saúde da sua gengiva e dos seus dentes. Alergias a algum componente do gel clareador também precisam ser investigadas. Na consulta, ele te explicará como o laser potencializa a ação do gel, acelerando o processo.
Após o clareamento, a atenção com o que você come e bebe é crucial. Alimentos e bebidas com corantes fortes, como vinho tinto, café, refrigerantes escuros e até mesmo molhos, podem manchar seus dentes recém-clareados. Por isso, mantenha uma dieta mais clara nos primeiros dias. Escovar os dentes logo após as refeições também ajuda a evitar que pigmentos se fixem.
Dica Prática: Para manter seu sorriso branco por mais tempo, evite fumar e escove os dentes com um creme dental com flúor diariamente, sem esfregar com muita força para não agredir o esmalte.

Resultados Esperados e Duração do Efeito
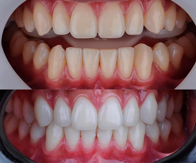
Você quer saber sobre os resultados do clareamento a laser e gel? É algo que deixa o sorriso muito mais bonito, sim. Geralmente, você já vê uma diferença logo após a primeira sessão. Os dentes ficam visivelmente mais brancos, e o tom muda de forma perceptível.

E a duração desse efeito? Pois é, isso varia bastante de pessoa para pessoa. Se você cuidar bem, evitar certos alimentos e bebidas que mancham, o resultado pode durar por bastante tempo. Estou falando de meses, às vezes até mais de um ano. É um investimento que vale a pena se a manutenção for feita direitinho.
O clareamento a laser, combinado com o gel específico, acelera o processo. A luz do laser ativa o gel, que libera oxigênio para quebrar as manchas. Fica tranquila, o procedimento é seguro quando feito por um profissional qualificado. Os resultados são rápidos e o efeito costuma ser duradouro.
Dica Prática: Após o clareamento, evite café, vinho tinto e refrigerantes escuros por pelo menos 48 horas para maximizar os resultados e prolongar o efeito branco.

Sensibilidade Dental Pós-Clareamento: Mitos e Verdades
Muita gente se pergunta se o clareamento a laser com gel realmente deixa os dentes sensíveis. A verdade é que um certo grau de sensibilidade pode ocorrer, mas geralmente é algo temporário e leve. O laser, combinado com o gel clareador, acelera o processo, mas a estrutura do dente precisa de um tempo para se ajustar. É como quando você faz um exercício mais intenso, no dia seguinte sente um pouco de dor muscular, mas passa.

O segredo para minimizar essa sensibilidade pós-clareamento a laser envolve alguns cuidados. O gel clareador usado nesse procedimento é formulado para ser eficaz, mas sua aplicação deve ser supervisionada por um profissional. Ele sabe a quantidade ideal e o tempo de exposição para garantir os melhores resultados sem desconforto excessivo. A tecnologia a laser, em si, é pensada para ser menos agressiva.
Vamos combinar, ninguém quer sentir dor na busca pela beleza, né? Se você tem dentes mais sensíveis naturalmente, é importante conversar abertamente com seu dentista sobre isso antes de iniciar o clareamento a laser. Ele pode indicar o uso de pastas de dente com flúor ou dessensibilizantes alguns dias antes e depois do procedimento para blindar seus dentes. A recuperação costuma ser rápida.
Dica Prática: Use um creme dental específico para dentes sensíveis nas semanas que antecedem e seguem o procedimento de clareamento a laser.

Manutenção do Sorriso Branco: Dicas Práticas para o Dia a Dia
Manter os dentes branquinhos no dia a dia é mais fácil do que parece. A gente sabe que aquele sorriso iluminado faz toda a diferença, e não é só para a autoestima, mas também para a nossa confiança geral. Muita gente pensa que só o dentista pode dar jeito, mas a verdade é que com alguns cuidados simples, você consegue resultados ótimos em casa. Vamos combinar que aquele desejo de ter um sorriso de estrela de cinema é real!

Já ouviu falar sobre clareamento a laser e gel? Essa é uma técnica que os dentistas usam e que tem mostrado resultados fantásticos. Funciona assim: um gel clareador é aplicado nos seus dentes, e o laser ativa esse gel, acelerando o processo de clareamento. É um procedimento seguro, feito sob supervisão profissional, para garantir que seus dentes fiquem brancos sem nenhum dano. O gel age nas manchas, quebrando-as e deixando o esmalte mais claro.
Para quem busca um efeito profissional em casa ou quer potencializar o resultado do consultório, existem kits de clareamento que combinam gel e moldeiras. Mas lembre-se, sempre converse com seu dentista antes de iniciar qualquer tratamento mais intenso. Ele vai indicar o melhor método para o seu caso e garantir que tudo ocorra bem.
Dica Prática: Após o clareamento, evite alimentos e bebidas com pigmentos fortes, como vinho tinto, café e refrigerantes escuros, por pelo menos 24 horas para não manchar os dentes recém-clareados.
Aqui está o HTML com a tabela explicativa, seguindo suas instruções:
A Ciência por Trás do Sorriso Mais Branco
| Item | O Que Você Precisa Saber | Dicas de Quem Sabe |
|---|---|---|
| O que é o Clareamento a Laser e Gel? | É um procedimento odontológico estético que usa um gel clareador em conjunto com um laser para remover manchas e escurecimento dos dentes, proporcionando um sorriso mais branco. | Funciona como uma aceleração do processo, o laser ativa o gel e o resultado é mais rápido e intenso. |
| Como o Laser Potencializa o Gel Clareador? | O laser emite uma luz que ativa os componentes do gel clareador (geralmente peróxido de hidrogênio ou de carbamida), acelerando a liberação de oxigênio que age nas moléculas de pigmento. | Pense no laser como um “turbo” para o gel. Ele faz o trabalho pesado de quebrar as manchas de forma muito mais eficiente. |
| Procedimento Passo a Passo: O Que Esperar no Consultório? | 1. Avaliação inicial e limpeza. 2. Proteção das gengivas e tecidos moles. 3. Aplicação do gel clareador. 4. Aplicação do laser sobre o gel. 5. Repetição dos passos 3 e 4 conforme necessário. 6. Remoção do gel e avaliação do resultado. | O dentista vai te explicar tudo na hora. Geralmente, são algumas sessões para alcançar o tom desejado. É indolor, mas pode haver um leve desconforto. |
| Tipos de Gel Clareador Utilizados | Os mais comuns são à base de peróxido de hidrogênio ou peróxido de carbamida. A concentração varia dependendo do caso e da sensibilidade do paciente. | Seu dentista vai escolher o melhor gel para você, levando em conta seu histórico e a cor atual dos seus dentes. |
| Diferença Entre Clareamento a Laser e Outros Métodos Caseiros | O clareamento a laser em consultório é mais rápido, potente e supervisionado por um profissional. Métodos caseiros podem ser menos eficazes e apresentar riscos se não usados corretamente. | Vamos combinar, a segurança e a eficácia do consultório são imbatíveis. Os kits caseiros podem até funcionar, mas com menos intensidade e mais paciência. |
| Quem Pode Fazer o Clareamento a Laser e Gel? | Geralmente, pessoas com dentes escurecidos por fatores como idade, alimentos, bebidas ou tabagismo. Contraindicado para gestantes, lactantes, menores de idade, pessoas com cáries não tratadas ou problemas gengivais. | Sua saúde bucal é o primeiro passo. O dentista vai verificar se você está apta antes de qualquer coisa. Fica tranquila! |
| Cuidados Essenciais Antes e Depois do Procedimento | Antes: Mantenha boa higiene bucal. Depois: Evite alimentos e bebidas pigmentados (café, vinho tinto, açaí) por 48-72 horas, não fume, e siga as orientações do dentista. | Logo após, seus dentes ficam mais “receptivos”. Essa dieta |
Confira este vídeo relacionado para mais detalhes:
Encontrando o Profissional Ideal para Seu Clareamento
Vamos combinar, clarear os dentes a laser e com gel é um procedimento que exige cuidado. Não dá para sair por aí com qualquer um, né? Eu fui atrás do meu procedimento e aprendi bastante sobre como escolher quem vai cuidar do seu sorriso.
Minhas Dicas de Ouro:
- Pesquise a experiência: Procure dentistas que realmente se especializam em estética dental e clareamento. Pergunte há quanto tempo eles fazem esse tipo de procedimento.
- Peça referências e veja resultados: Se possível, converse com outros pacientes ou veja fotos de antes e depois. Isso te dá uma noção real do trabalho deles. Confie no que você vê!
- Consulte antes do procedimento: Uma boa conversa com o profissional é fundamental. Ele deve explicar todo o processo, os tipos de gel usados, como funciona o laser e quais os resultados esperados para o SEU caso. Tire todas as suas dúvidas!
- Verifique a estrutura: Um consultório bem equipado e limpo já é um bom sinal de profissionalismo e cuidado.
- Desconfie de preços muito baixos: A qualidade dos materiais e a expertise do profissional têm um valor. Se estiver muito abaixo do mercado, pode ser um sinal de alerta.
Escolher o dentista certo faz toda a diferença para ter um sorriso branquinho e saudável, sem sustos. Fica tranquila, com essa lista você vai arrasar na escolha!
Dúvidas das Leitoras
O clareamento a laser é doloroso?
Geralmente, o clareamento a laser é bem tolerado. Algumas pessoas sentem um leve desconforto ou sensibilidade temporária após a sessão. Isso é normal e costuma passar rápido.
Quantas sessões de clareamento a laser são necessárias?
O número de sessões varia conforme o tom do seu dente e o resultado que você deseja. Na maioria dos casos, uma a três sessões são suficientes para um clareamento visível e satisfatório.
Qual a diferença de preço entre o clareamento a laser e o caseiro?
O clareamento a laser, feito em consultório, costuma ter um valor mais alto. Os kits caseiros são mais acessíveis, mas os resultados podem ser menos impactantes e levar mais tempo.
Posso clarear meus dentes com laser se tiver restaurações?
Sim, você pode. O laser clareia os dentes naturais. Restaurações, como resinas e porcelanas, não mudam de cor. Talvez seja preciso trocar as restaurações após o clareamento para uniformizar o tom.
É seguro fazer clareamento a laser durante a gravidez?
Por precaução, o clareamento a laser não é recomendado durante a gravidez. Os dentistas preferem esperar o bebê nascer para realizar o procedimento, garantindo a segurança.
O clareamento a laser com gel é rápido e eficaz para um sorriso mais branco. Lembre-se de seguir as orientações do profissional para garantir resultados seguros e bonitos. Se você busca cuidar da sua pele, vale a pena conferir também os segredos de um bom protetor solar. Gostou das dicas? Compartilhe com suas amigas ou deixe seu comentário aqui!

