Como clarear os dentes com gel clareador pode ser seu novo segredo para um sorriso radiante. Sei que manchas podem incomodar, e um sorriso branco faz toda a diferença. Se você busca um método prático e eficaz, este post vai te mostrar o caminho. Vamos desvendar os passos simples para um resultado que você vai amar.
Sorriso Brilhante: Descubra o Poder do Clareamento com Gel
O gel clareador é um dos métodos mais eficazes e acessíveis para quem deseja um sorriso mais branco. Ele age diretamente nos pigmentos que causam as manchas nos dentes, sejam elas por café, vinho, cigarro ou simplesmente pelo tempo. O grande benefício é a praticidade e a possibilidade de usar em casa, com orientação profissional.
Quando usamos o gel clareador, o peróxido de carbamida ou peróxido de hidrogênio presente na fórmula penetra no esmalte dental. Ele decompõe as moléculas das manchas, deixando seus dentes visivelmente mais claros. É uma solução que devolve a confiança e a beleza ao seu sorriso, de forma segura.
Confira este vídeo relacionado para mais detalhes:
Guia Completo: Como Usar Gel Clareador para Dentes Mais Brancos

O que é o gel clareador e como ele age?
Sabe aquele desejo de ter um sorriso mais branco e iluminado? Pois é, o gel clareador entra em cena pra te ajudar nessa missão. Ele é um produto formulado com agentes clareadores, como o peróxido de hidrogênio ou o peróxido de carbamida, que agem lá dentro do esmalte e da dentina do dente. A ideia é quebrar as moléculas que causam as manchas, sabe? Por isso ele é tão eficaz.

A forma como ele age é bem direta: você aplica o gel sobre os dentes, geralmente com uma moldeira personalizada feita pelo dentista, ou em canetas aplicadoras. O tempo de uso varia bastante, dependendo da concentração do gel e da sua necessidade. Ele vai penetrando nas camadas do dente e liberando oxigênio, que é o responsável por clarear a cor natural. É um processo gradual, mas os resultados costumam ser bem visíveis.
O mais legal é que o clareamento com gel pode ser feito tanto no consultório do dentista quanto em casa, sob supervisão dele, viu? Essa segunda opção te dá mais liberdade. Mas atenção: é fundamental seguir as orientações profissionais à risca para garantir a segurança e a eficácia do tratamento. Não é algo para fazer de qualquer jeito.
Dica Prática: Antes de começar qualquer tratamento clareador, converse com seu dentista. Ele vai avaliar se seus dentes estão saudáveis para o procedimento e indicar o gel mais adequado para o seu caso.

Selecionando o gel clareador ideal para você
Sabe aquele sorriso que ilumina tudo? Pois é, se você busca um clareamento dental em casa, o gel clareador pode ser seu aliado. A gente sabe que a oferta é grande, mas calma! Escolher o certo faz toda a diferença. Pense no seu tipo de mancha e na sensibilidade dos seus dentes. Alguns géis são mais fortes, outros mais suaves. O ideal é começar com algo que cuide bem do seu sorriso sem causar desconforto.

Na hora de comprar, olhe a composição. Géis com peróxido de carbamida ou peróxido de hidrogênio são os mais comuns e eficazes. A concentração também importa: para quem nunca clareou, um percentual menor é mais seguro. Se suas gengivas são sensíveis, procure fórmulas com ingredientes calmantes, como aloe vera ou nitrato de potássio. Fica tranquila, essas informações geralmente estão na embalagem. E sempre, sempre, siga as instruções do fabricante!
Vamos combinar: o resultado vem com consistência e cuidado. Não adianta usar o gel clareador e depois atacar um café forte ou vinho tinto logo em seguida. Mantenha uma boa higiene bucal e evite alimentos que mancham os dentes durante o tratamento. E lembre-se, antes de começar, uma conversa rápida com seu dentista pode te dar ainda mais segurança para escolher o produto perfeito para o seu sorriso.
Dica Prática: Antes de aplicar o gel, escove bem os dentes e use fio dental. Isso garante que o produto alcance todas as áreas.

Passo a passo para aplicação segura em casa
Vamos falar sobre como clarear os dentes com gel clareador em casa. É mais simples do que parece, mas exige atenção. O segredo é a aplicação correta para ter um resultado bacana e, claro, seguro.
Primeiro, é fundamental seguir as instruções do fabricante à risca. Cada produto tem sua particularidade. Geralmente, você vai aplicar o gel nas moldeiras que vêm no kit. Elas precisam se encaixar perfeitamente nos seus dentes para que o gel atue só onde deve.

A aplicação do gel clareador em casa exige cuidado para evitar irritação nas gengivas. Antes de colocar a moldeira com o gel, certifique-se de que seus dentes estão limpos e secos. Isso ajuda o gel a aderir melhor e agir de forma uniforme.
Não exagere na quantidade de gel. Colocar demais pode fazer com que ele vaze e irrite a gengiva. Use uma pequena quantidade em cada dente da moldeira, cobrindo a superfície que entra em contato com o esmalte.
O tempo de uso é crucial. Siga o tempo indicado na embalagem. Usar por mais tempo não significa um clareamento mais rápido, pelo contrário, pode causar sensibilidade nos dentes e danos à gengiva. Depois de usar, remova a moldeira, limpe a boca e enxágue bem.
Dica Prática: Se sentir qualquer desconforto ou sensibilidade maior que o normal, pare o tratamento e consulte um dentista. É melhor prevenir do que remediar!

Frequência e tempo de uso: Encontrando o equilíbrio

Vamos combinar, ninguém quer passar perrengue com sensibilidade, né? Por isso, a frequência e o tempo de uso são seus melhores amigos nessa história. Se você optou por um gel de uso caseiro, a maioria pede para usar por um período determinado em cada aplicação, tipo de 30 minutos a uma hora, e em dias alternados ou uma vez ao dia. Fica tranquila, é mais simples do que parece. O importante é não esticar esse tempo achando que vai clarear mais rápido. A consistência é chave, mas sempre respeitando os limites do seu organismo.
Pois é, a paciência é uma virtude, ainda mais quando estamos falando de estética dental. Para quem busca como clarear os dentes com gel clareador de forma segura, a dica de ouro é não ter pressa. Use o produto conforme indicado pelo fabricante. Se sentir qualquer desconforto, diminua a frequência ou o tempo de uso, ou até mesmo suspenda por um dia. Seu dentista é o melhor amigo nessa empreitada, ele pode te orientar sobre o gel ideal para você e qual a melhor frequência para o seu caso.
Dica Prática: Antes de começar qualquer tratamento clareador com gel, faça uma visita ao seu dentista. Ele pode avaliar a saúde dos seus dentes e gengivas e indicar o melhor produto e plano de uso para você.

Cuidados essenciais antes e depois do clareamento
Vamos falar sobre como clarear os dentes com gel clareador e, mais importante, como manter esse sorriso brilhante por mais tempo! Sei que muita gente fica com receio dos cuidados. Mas fica tranquila, não é nenhum bicho de sete cabeças. Preparar os dentes para o clareamento e cuidar deles depois é o pulo do gato pra ter um resultado que realmente vale a pena.

Antes de começar a usar o gel clareador, é fundamental visitar seu dentista. Ele vai avaliar se seus dentes estão saudáveis e se o procedimento é indicado para você. Em alguns casos, pode ser preciso tratar alguma cárie ou sensibilidade antes. Depois do clareamento, a pele das gengivas pode ficar um pouco mais sensível, por isso, evite alimentos muito quentes ou frios logo de cara.
Para garantir que o clareamento dure, a alimentação é chave. Alimentos e bebidas com corantes fortes, como café, vinho tinto e refrigerantes escuros, podem manchar seus dentes. Tente reduzir o consumo ou escovar os dentes logo depois de consumi-los. A higiene bucal diária com um bom creme dental também faz toda a diferença.
Dica Prática: Após o clareamento, procure usar um canudo para tomar bebidas que possam manchar os dentes. Assim, o líquido passa direto, sem tanto contato.

Alimentos e bebidas a evitar para manter o branco
Você já parou para pensar que aquele cafezinho da manhã ou o vinho da noite podem estar manchando seus dentes? Pois é. Alimentos e bebidas com pigmentos fortes são os maiores vilões quando a gente quer manter o branco. Pense em molhos escuros como shoyu e o próprio extrato de tomate, frutas vermelhas, refrigerantes de cola e, claro, tudo que tem corante artificial. Eles grudam no esmalte dos dentes, e com o tempo, vão escurecendo o sorriso.

E não são só os alimentos e bebidas visivelmente escuros. Aquele suco de uva concentrado, o açaí batido com muita fruta, até mesmo o curry e açafrão, que parecem inofensivos, têm pigmentos capazes de deixar marcas. Se você usa gel clareador, sabe o quanto quer ver o resultado. Por isso, é essencial controlar a ingestão desses itens. Meu conselho? Se puder, alterne com água ou enxágue a boca logo depois.
A boa notícia é que não precisa cortar tudo para sempre. A moderação é a chave! Se você adora um café ou um vinho, tente espaçar o consumo. Beber com canudo também ajuda a diminuir o contato direto com os dentes. E lembre-se que a limpeza regular é sua grande aliada. Escovar os dentes logo após comer ou beber algo que possa manchar faz toda a diferença para manter a cor desejada.
Dica Prática: Para ajudar a neutralizar os efeitos de alimentos que mancham, tenha sempre uma garrafinha de água por perto e beba um pouco após as refeições coloridas.

Mitos e verdades sobre o clareamento com gel
Muita gente pensa que o gel clareador é um milagre instantâneo para ter um sorriso branquinho. Mas vamos combinar: não é bem assim. Ele age removendo manchas superficiais e clareando os dentes aos poucos. O segredo está na composição, que geralmente contém peróxido de hidrogênio ou peróxido de carbamida. Esses componentes liberam oxigênio que penetra no esmalte e na dentina, quebrando as moléculas pigmentadas que causam o escurecimento.

É importante saber que o resultado varia de pessoa para pessoa. Fatores como a causa do escurecimento (manchas por café, vinho, cigarro, ou mesmo o envelhecimento natural) e a espessura do seu esmalte dental influenciam muito. Por isso, não se assuste se o seu clareamento for diferente do da amiga. O gel pode vir em seringas, com moldeiras adaptáveis à sua boca, ou em kits com luzes que prometem acelerar o processo. O acompanhamento profissional, viu? É essencial para garantir que tudo corra bem e evitar sensibilidade ou danos.
E os mitos? Um deles é que o clareamento danifica o esmalte permanentemente. Isso pode acontecer se for feito de forma incorreta ou sem supervisão. Outro mito é que qualquer gel serve. Não, cada produto tem uma concentração específica e um modo de uso. É fundamental seguir as instruções e, idealmente, ter a orientação de um dentista. Ele vai avaliar seu caso e indicar o melhor tipo de gel e a duração do tratamento para você.
Dica Prática: Antes de começar qualquer tratamento com gel clareador, faça uma consulta com seu dentista. Ele pode te dizer se o clareamento é o ideal para você e qual a melhor opção para evitar desconfortos.

Resultados esperados e quando procurá-lo um profissional
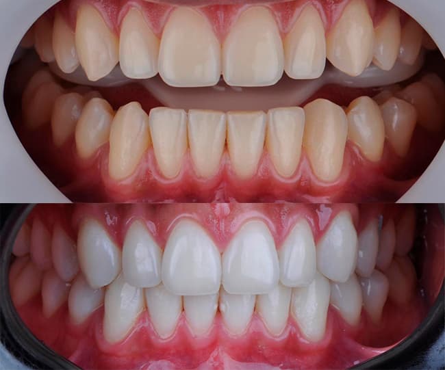
Você quer um sorriso mais branco e está pensando em usar gel clareador, né? Pois é, essa é uma solução que muita gente adora pela praticidade. O grande resultado que você busca é, claro, um clareamento visível dos seus dentes. Imagina só ter aquele sorriso mais radiante, sem manchas e com uma cor mais uniforme. Geralmente, a gente começa a notar uma diferença em poucas semanas de uso contínuo, mas isso varia de pessoa para pessoa e do tom inicial dos seus dentes.

É importante entender que o gel clareador age removendo manchas superficiais e também atuando um pouco mais profundamente, dependendo da concentração do ativo. Você vai notar que ele ajuda a diminuir o amarelado causado por café, vinho ou cigarro. Se você quer saber quando é hora de procurar um profissional, a resposta é simples: se as manchas forem muito escuras, persistentes ou se você tiver alguma sensibilidade incomum durante o uso, vale a pena uma consulta. Um dentista pode te orientar sobre o melhor tipo de tratamento e garantir que tudo ocorra de forma segura.
A expectativa é ter dentes visivelmente mais claros. Algumas pessoas veem o resultado em 2 a 4 semanas, outras precisam de um pouco mais. Se você tiver dúvidas sobre qual produto comprar ou se ele é adequado para o seu caso, converse com um especialista. Eles podem te guiar para o melhor resultado, evitando sensibilidade ou outros problemas.
Dica Prática: Use o gel clareador conforme as instruções do fabricante e da sua higiene bucal diária. Não pule a escovação e o uso do fio dental!

Alternativas e complementos para um sorriso ainda mais luminoso
Para quem busca um sorriso ainda mais luminoso, o gel clareador surge como uma excelente alternativa. Ele age de forma concentrada, mirando diretamente as manchas e a descoloração dos dentes. A grande vantagem é a sua capacidade de proporcionar resultados visíveis e progressivos, permitindo que você veja a transformação acontecer dia após dia. É uma ferramenta prática para quem deseja um clareamento mais expressivo.

O gel clareador geralmente vem em seringas ou tubos, e a aplicação é feita diretamente sobre os dentes. Muitas vezes, o uso é combinado com moldeiras personalizadas, que garantem que o produto fique em contato íntimo com a superfície dental por um período determinado. O ingrediente ativo, como o peróxido de carbamida ou peróxido de hidrogênio, age quebrando as moléculas de pigmento que causam o escurecimento. É um processo seguro quando seguido as orientações, tá?
Vamos combinar, o gel clareador é uma ótima pedida para quem quer turbinar o clareamento. Ele é eficaz e, com o uso correto, você nota a diferença. Mas lembre-se: o acompanhamento de um profissional é fundamental. Ele vai te indicar o melhor produto e a forma mais segura de usar, garantindo que seu sorriso fique lindo e saudável.
Dica Prática: Converse com seu dentista antes de iniciar o uso de qualquer gel clareador para garantir que é a opção certa para você e para receber as instruções de aplicação correta.

Manutenção do clareamento: Dicas para um sorriso duradouro
Seu sorriso clareado merece ser exibido, não é mesmo? Manter o branco dos dentes depois de usar o gel clareador é mais simples do que parece. A chave é criar uma rotina que proteja seu sorriso dos vilões do dia a dia. Pensa comigo: o que pode “roubar” o branco que você conquistou?

Alguns alimentos e bebidas são os principais suspeitos. Café, vinho tinto, refrigerantes escuros e até mesmo alguns molhos podem manchar seus dentes com o tempo. Eu sempre oriento minhas leitoras a tentar diminuir o consumo ou, quando consumir, a beber com um canudinho para minimizar o contato. E não se esqueça da higiene! Escovar os dentes logo após as refeições é fundamental para remover qualquer resíduo.
A manutenção do clareamento com gel clareador também envolve visitas regulares ao dentista. Ele pode avaliar como seus dentes estão reagindo e indicar reforços, se necessário. É um cuidado extra que faz toda a diferença para um resultado que dura muito mais tempo. Seu sorriso fica radiante e você se sente mais confiante.
Dica Prática: Tenha sempre em mãos um enxaguante bucal sem álcool. Ele ajuda a neutralizar ácidos e a remover partículas de comida que a escovação sozinha pode não alcançar, protegendo seu clareamento.
Claro! Aqui está a tabela explicativa em HTML, focada em clarear os dentes com gel clareador, com o H2 solicitado:
Além do Gel: Integrando Hábitos para um Sorriso Radiante
| O que você vai aprender | Entenda como funciona | Minhas dicas práticas |
|---|---|---|
| O que é o gel clareador e como ele age? | Explico a ciência por trás dos agentes clareadores, como o peróxido de hidrogênio ou de carbamida, que quebram as moléculas de pigmento nos seus dentes. | Pense no gel como um “limpador profundo” para o esmalte. Ele penetra suavemente para remover manchas internas. |
| Selecionando o gel clareador ideal para você | Detalhamos os tipos de géis disponíveis, concentrações e qual pode ser mais adequado para o seu caso. | Minha sugestão é começar com uma concentração mais baixa, se tiver dentes sensíveis. E sempre, sempre, leia o rótulo com atenção! |
| Passo a passo para aplicação segura em casa | Um guia detalhado sobre como preparar os dentes, aplicar o gel corretamente e o que fazer após o uso. | A higiene bucal antes é crucial. E jamais exagere na quantidade de gel. Menos é mais aqui, viu? |
| Frequência e tempo de uso: Encontrando o equilíbrio | Orientamos sobre a periodicidade ideal e a duração de cada aplicação para obter resultados sem prejudicar seus dentes. | Comece com poucas sessões e observe a resposta dos seus dentes. É um processo gradual. |
| Cuidados essenciais antes e depois do clareamento | Recomendações para preparar seus dentes e gengivas e os cuidados pós-procedimento para garantir a saúde bucal. | Evite escovar os dentes imediatamente após. Uma água fria para enxaguar já ajuda. |
| Alimentos e bebidas a evitar para manter o branco | Lista de itens que podem manchar seus dentes recém-clareados e como minimizar a exposição a eles. | Café, vinho tinto, refrigerantes escuros… Fique de olho neles! Usar um canudo pode ajudar com algumas bebidas. |
| Mitos e verdades sobre o clareamento com gel | Desmistificamos crenças comuns e trazemos informações baseadas em evidências sobre o procedimento. | Não, não vai danificar seu esmalte se feito corretamente. Mas a sensibilidade pode acontecer, e isso é normal. |
| Resultados esperados e quando procurar um profissional | O que você pode realisticamente esperar do clareamento com gel e os sinais de que é hora de consultar um dentista. | Se a sensibilidade for extrema ou persistente, pare e converse com seu dentista. Ele é seu melhor amigo nesse processo. |
| Alternativas e complementos para um sorriso ainda mais luminoso | Outras opções e tratamentos que podem ser combinados com o gel clareador para melhores resultados. | Uma boa higiene oral diária é o complemento número um. Clareadores case |
Confira este vídeo relacionado para mais detalhes:
Quando Procurar Ajuda Profissional: Segurança em Primeiro Lugar
Olha, usar gel clareador em casa é prático, mas tem horas que o melhor é deixar com quem entende, viu? Se você tem dentes muito sensíveis, restaurações antigas ou problemas na gengiva, o ideal é conversar com seu dentista antes de mais nada.
Ele vai avaliar a saúde da sua boca e dizer qual o método mais seguro e eficaz para você. Às vezes, o que parece uma solução rápida pode gerar mais dor de cabeça depois. A sua segurança vem sempre em primeiro lugar.
Minhas Dicas Especiais:
- Consulta é chave: Sempre que tiver dúvidas sobre a saúde dos seus dentes, marque uma consulta. É o seu sorriso que está em jogo!
- Atenção à sensibilidade: Se você sente aquele choque gelado em alguns dentes, converse com o dentista. Ele pode ter um gel clareador mais suave ou outra abordagem.
- Gengiva irritada? Pare! Se a gengiva ficar vermelha, doendo ou sangrando, suspenda o uso do gel clareador e procure o profissional.
- Cuidado com produtos milagrosos: Desconfie de kits muito baratos ou sem procedência. Dentes brancos não podem vir às custas da sua saúde.
Dúvidas das Leitoras
O gel clareador pode danificar meu esmalte dental?
Fica tranquila, quando usado corretamente e seguindo as instruções, o gel clareador não danifica o esmalte. É importante não exagerar na frequência ou tempo de uso para garantir a segurança dos seus dentes.
Quanto tempo leva para ver os resultados do clareamento com gel?
Os resultados variam, mas geralmente você começa a notar uma diferença em poucos dias ou semanas de uso regular. Para resultados mais expressivos, pode levar de 4 a 6 semanas.
Posso usar gel clareador se tenho dentes sensíveis?
Sim, mas com cautela. Procure por géis com menor concentração de peróxido ou formulações específicas para dentes sensíveis. Se sentir desconforto, diminua a frequência ou o tempo de uso.
O clareamento com gel afeta obturações ou coroas?
O gel clareador funciona apenas em dentes naturais, não clareando materiais como resina ou porcelana. Isso significa que obturações e coroas podem ficar com uma cor diferente dos dentes clareados.
Com que frequência devo retocar o clareamento com gel?
A frequência de retoque depende muito dos seus hábitos (café, vinho, cigarro). Geralmente, um retoque a cada 6 a 12 meses é suficiente para manter o sorriso branco.
Clarear os dentes com gel clareador é mais simples do que parece. Seguindo as instruções e mantendo a consistência, você consegue resultados visíveis. Lembre-se de que a saúde bucal vem sempre em primeiro lugar. Se você achou útil, compartilhe suas experiências nos comentários! Quem sabe você não se interessa também por como cuidar do esmalte dos dentes?

