Como clarear os dentes com clareamento caseiro supervisionado? Pois é, dentes amarelados incomodam muita gente. Mas sabia que você pode ter um sorriso mais branco sem sair de casa? Neste post, te conto os truques e cuidados essenciais para um clareamento caseiro seguro e eficaz. Fica comigo para desvendar esse segredo!
Sorriso dos Sonhos: Clareamento Caseiro Supervisionado ao Seu Alcance
Muita gente sonha com um sorriso mais branco, né? O clareamento caseiro supervisionado é uma ótima saída para isso. Basicamente, é um tratamento que você faz em casa, mas com a orientação do seu dentista. Ele te prescreve o gel clareador e as moldeiras personalizadas. Assim, o processo é seguro e eficaz, sem prejudicar seu esmalte ou gengiva.
O grande lance aqui é a supervisão profissional. Seu dentista vai acompanhar todo o processo, ajustando as doses e o tempo de uso se necessário. Isso garante que você atinja o resultado desejado sem riscos. Fica tranquila, é bem mais prático do que parece e os resultados valem a pena. Você consegue um sorriso mais iluminado sem sair de casa!
Confira este vídeo relacionado para mais detalhes:
Guia Prático para Clarear os Dentes em Casa com Segurança

Entendendo o Clareamento Supervisionado: O que você precisa saber antes de começar
Você já pensou em clarear os dentes em casa, mas ficou com um pé atrás com os produtos vendidos sem critério? Pois é, eu também já passei por isso! A boa notícia é que existe o clareamento supervisionado. Ele é a ponte perfeita entre a comodidade de fazer em casa e a segurança de um procedimento profissional. A gente sabe que ter um sorriso mais branco faz toda a diferença, né? Mas segurança em primeiro lugar, sempre!

O clareamento supervisionado funciona assim: o dentista te avalia, verifica se seus dentes estão saudáveis para o procedimento e, se tudo estiver ok, ele te entrega os materiais e as instruções certinhas. Geralmente são moldeiras personalizadas e um gel clareador com a concentração ideal para o seu caso. Você usa em casa, seguindo o tempo e a frequência que ele indicar. É o jeito de ter um resultado bacana sem se arriscar com produtos que podem danificar seu esmalte ou gengiva.
Fica tranquila que o dentista não te abandona depois de te dar o kit. Ele vai acompanhar seu progresso, ver como seus dentes estão reagindo e ajustar o tratamento se for preciso. É um cuidado extra que faz toda a diferença. Pensa que é um acompanhamento personalizado pra garantir o melhor resultado pro seu sorriso. Vamos combinar, vale a pena investir nesse cuidado!
Dica Prática: Antes de começar, tire todas as suas dúvidas com o dentista sobre a duração do tratamento, possíveis sensibilidades e os cuidados com a alimentação durante o processo.

Avaliação Profissional: Por que consultar seu dentista é o primeiro passo indispensável
Olha, vamos combinar: a gente adora um sorriso branco e iluminado, né? Mas antes de sair pensando em receitas milagrosas de internet para clarear os dentes em casa, eu preciso te falar algo super importante. Consultar o seu dentista é o primeiro passo, sem exceção. Ele é o profissional que vai avaliar a saúde da sua boca de verdade. Sabe aquelas manchas mais profundas ou um problema que a gente nem percebe? Só ele pra identificar e te dizer o que é seguro fazer.

Fica tranquila, não tô aqui pra assustar. Mas, pois é, usar produtos inadequados ou métodos sem supervisão pode trazer mais problema do que solução. A sensibilidade nos dentes aumenta, o esmalte pode ser danificado… e aí a gente acaba com um sorriso mais manchado e com dor. O dentista vai te mostrar as opções de clareamento seguro, seja em consultório ou um kit caseiro supervisionado, adaptado para você.
O clareamento caseiro supervisionado é uma ótima saída pra muita gente, mas sempre com orientação profissional. O dentista vai te receitar um gel clareador e moldeiras personalizadas. Você usa em casa, seguindo exatamente o tempo e a frequência que ele indicar. É um jeito de ter um resultado bacana sem colocar sua saúde bucal em risco.
Dica Prática: Pergunte ao seu dentista sobre o clareamento caseiro supervisionado. Ele vai te explicar se é o método ideal para o seu caso e como usá-lo corretamente.

Produtos de Clareamento Caseiro: Quais são as opções e como escolher a ideal para você
Quer um sorriso mais branco sem sair de casa? Pois é, os produtos de clareamento caseiro supervisionado podem ser seus aliados. Existem várias opções, e a escolha certa faz toda a diferença pro seu resultado. Vamos descobrir quais são elas?

Você encontra kits que vêm com moldeiras e gel clareador, para usar em casa por um tempo determinado. Outros são em formato de fitas, que você cola nos dentes. O segredo é sempre seguir as instruções do dentista. Ele vai te guiar sobre qual produto usar, a concentração ideal e por quanto tempo. Essa supervisão é fundamental para evitar sensibilidade ou danos ao esmalte.
O mais importante é que o clareamento caseiro supervisionado seja indicado por um profissional. Ele conhece seu histórico e pode avaliar qual método é mais seguro e eficaz para você. Não se aventure com produtos sem recomendação. O dentista vai te orientar sobre os cuidados pós-clareamento também.
Dica Prática: Antes de começar qualquer tratamento caseiro, marque uma consulta com seu dentista. Ele é a pessoa certa para te indicar o produto ideal e garantir a sua segurança.

A Concentração Certa: Como o dentista define o poder do clareador para seu caso
Sabe aquela dúvida sobre qual a concentração ideal de clareador para você? Pois é, o dentista é quem vai te guiar nessa! Ele avalia a saúde da sua boca, o tom atual dos seus dentes e o resultado que você busca. Cada caso é um caso, e a escolha da concentração certa garante um clareamento seguro e eficaz, sem danificar o esmalte. Fica tranquila, ele sabe o que faz para você ter o sorriso dos sonhos!

Geralmente, os clareadores que você usa em casa sob supervisão têm concentrações mais baixas. Isso é bom porque permite um controle maior durante o processo. O dentista pode prescrever diferentes tipos de géis, com peróxido de carbamida ou peróxido de hidrogênio, em concentrações variadas. Ele vai te explicar a diferença e qual se encaixa melhor no seu tempo e na sua necessidade. É tudo pensado para o seu bem-estar.
Vamos combinar, ninguém quer clarear os dentes e sentir dor ou ter sensibilidade depois, né? Por isso, a orientação profissional é fundamental. O dentista vai monitorar seu progresso e ajustar o tratamento, se necessário. Ele te ensina como usar o produto corretamente, a frequência e por quanto tempo. Se você tem alguma restauração ou problema gengival, ele saberá como proceder. Ele também pode indicar o uso de dessensibilizantes. Acompanhamento é a chave!
Dica Prática: Sempre siga as instruções do seu dentista à risca e não hesite em tirar todas as suas dúvidas com ele antes, durante e depois do clareamento.

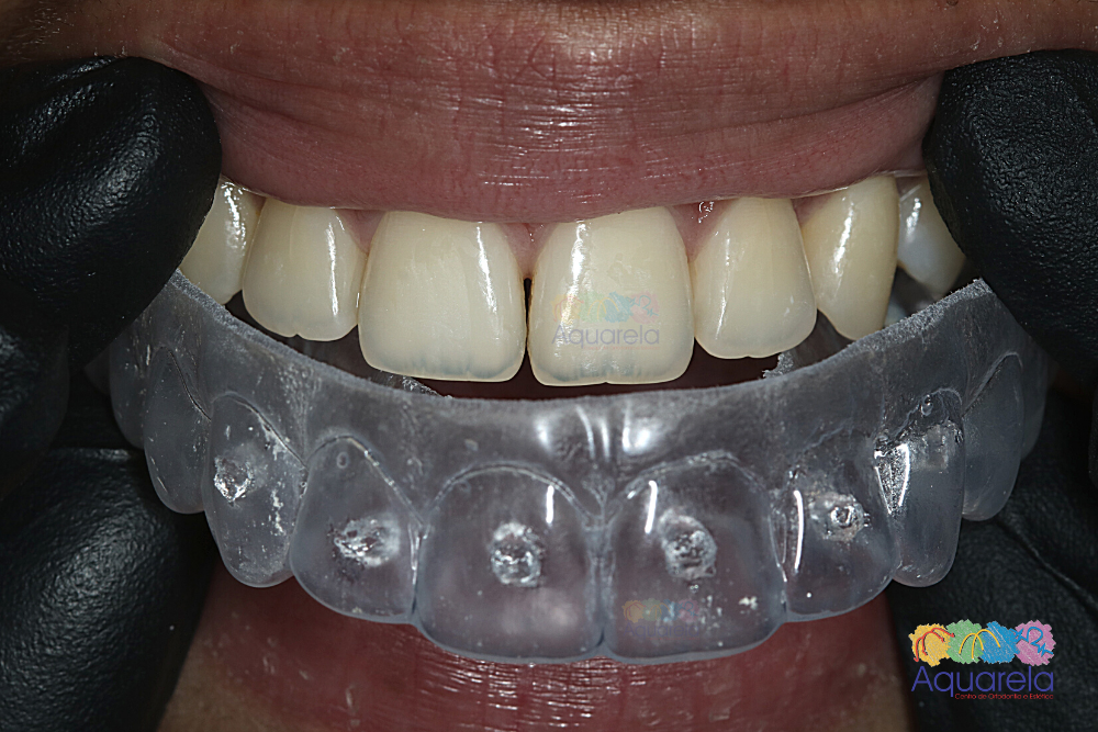
Aplicação Correta das Moldeiras: Dicas para um encaixe perfeito e sem vazamentos
Vamos falar de moldeiras para clareamento caseiro, sabe? Aquelas que acompanham o kit. Usar direitinho é chave para o tratamento dar certo. Se a moldeira não encaixar bem, o gel pode vazar, irritar a gengiva e, pior, não clarear os dentes por igual. Não é o que a gente quer, né?

O segredo de um encaixe perfeito começa antes de colocar o gel. A moldeira precisa se adaptar à sua boca. Na hora de vestir, veja se ela cobre todos os dentes, sem apertar demais ou ficar folgada. Se sentir que está saindo do lugar ou que o gel está escorrendo, algo não está certo. Pode ser preciso ajustar a quantidade de gel ou até verificar se a moldeira é do tamanho certo para você.
Uma dica de ouro é a paciência. Coloque o gel com calma, sem exagerar na quantidade. Uma linha fina já costuma ser suficiente. Depois, posicione a moldeira suavemente. Se sair um pouquinho de gel pelas bordas, limpe com cuidado. O mais importante é que o material fique em contato direto com seus dentes, sem escapar para outros lugares. Evitar vazamentos garante que o clareamento seja uniforme e seguro para sua gengiva.
Dica Prática: Para ter certeza de que a moldeira está bem posicionada, pressione suavemente cada lado com os dedos, para que ela se molde bem aos seus dentes, sem esforço excessivo.

Tempo de Uso: A duração correta para cada sessão e o total do tratamento
Você quer saber quanto tempo deixar o clareador nos dentes, né? Pois é, isso é crucial! Se deixar pouco tempo, não faz efeito. Se exagerar, pode sensibilidade ou até danificar o esmalte. A recomendação geral para tratamentos caseiros supervisionados pelo dentista varia. Geralmente, são de 30 minutos a 1 hora por dia. Fica tranquila, seu dentista vai te dar o tempo exato para o seu caso.

A duração total do tratamento também muda bastante. Pode ir de uma semana a um mês, tudo depende da cor inicial dos seus dentes e do resultado que você busca. O mais importante é seguir à risca o que o profissional indicou. Ele sabe o ponto certo para você clarear os dentes sem prejudicar a sua saúde bucal. Não inventa moda, viu?
Lembre-se que a supervisão do dentista é o que faz a mágica acontecer com segurança. Ele acompanha seu progresso e ajusta o tratamento se necessário. Assim, você garante que está clareando os dentes de forma eficaz e sem riscos. É o jeito mais inteligente de ter um sorriso mais branco.
Dica Prática: Anote o tempo de uso e a data de início do seu tratamento para ter um controle fácil e poder passar essa informação para o seu dentista.

Alimentação e Hábitos: O que evitar durante e após o clareamento para manter os resultados
Vamos combinar: depois de investir no clareamento dos seus dentes, a gente quer que esse sorriso branco dure o máximo possível, né? Pois é, a alimentação tem um papel crucial nisso. Certos alimentos e bebidas podem manchar o esmalte recém-clareado. Pense em tudo o que escurece a boca do fumante, sabe? Café, vinho tinto, açaí, molho de tomate… Esses são os vilões que você precisa dar um tempo.

E não é só durante o tratamento, viu? O período logo após o clareamento é quando seus dentes ficam mais suscetíveis a pigmentos. Então, se você fez um procedimento em casa supervisionado, é hora de reforçar os cuidados. Eu recomendo montar um “cardápio branco” nos primeiros dias. Sabe? Arroz, frango, peixe, queijo branco, frutas claras como pera e melão. Parece chato no começo, mas o resultado compensa!
Muitas vezes, a gente pensa que o clareamento é só fazer o procedimento e pronto. Mas o segredo para manter o branco por mais tempo está nesses pequenos ajustes diários. Beber líquidos com canudinho ajuda a minimizar o contato com os dentes. E escovar os dentes logo após as refeições também faz uma baita diferença. Lembre-se: consistência é chave.
Dica Prática: Tenha sempre à mão um kit de higiene bucal compacto para usar depois das refeições principais, especialmente se consumir algo mais escuro.

Cuidados Essenciais: Protegendo gengivas e esmalte durante o processo
Quando pensamos em clareamento caseiro supervisionado, a primeira coisa que me vem à cabeça é: segurança. Não adianta ter um sorriso mais branco se a saúde bucal vai para o beleléu. A gengiva pode ficar sensível, e o esmalte precisa de atenção especial. Por isso, seguir as orientações é fundamental. Fica tranquila que eu te conto como fazer isso sem susto.

A proteção começa na escolha dos produtos e na forma de usar. Gel clareador com concentração adequada, moldeiras que se encaixam perfeitamente na sua boca – isso evita que o produto escape para a gengiva. A frequência e o tempo de uso são cruciais, e o profissional que te acompanha vai te dar o mapa da mina. Ele sabe o que é melhor para o seu caso específico.
Se você sentir qualquer ardência ou sensibilidade que incomode, não force. Interrompa o uso e converse com seu dentista. Ele pode ajustar a concentração do gel ou o tempo de aplicação. O objetivo é sempre ter um resultado bonito e, acima de tudo, saudável.
Dica Prática: Antes de começar qualquer sessão de clareamento, aplique uma fina camada de vaselina sólida na gengiva. Isso cria uma barreira protetora.

Possíveis Sensações: Lidando com a sensibilidade dental de forma tranquila
Sabe quando a gente pensa em deixar o sorriso ainda mais branco e, de repente, vem aquele receio da sensibilidade? Pois é, isso é super comum! Muita gente evita o clareamento por medo de sentir dor ou desconforto nos dentes. Mas olha, tem jeito de clarear os dentes em casa, sim, com segurança e sem sofrimento. A chave está em fazer tudo do jeito certo e, principalmente, com o acompanhamento de quem entende do assunto: seu dentista.

Quando falamos de clareamento caseiro supervisionado, a ideia é que você use produtos específicos em casa, mas sob a orientação do seu dentista. Ele vai te indicar quais géis usar, a concentração correta para o seu caso e a frequência ideal. Isso é fundamental porque cada boca reage de um jeito. Com a supervisão, dá pra ajustar o tratamento se você começar a sentir qualquer incômodo, garantindo que o processo seja o mais confortável possível. A sensibilidade dental pode aparecer, mas ela é administrável quando feita dessa forma.
O mais importante é que o dentista vai avaliar a saúde da sua boca antes de tudo. Ele verifica se não há cáries, problemas na gengiva ou outros fatores que possam piorar a sensibilidade durante o clareamento. Assim, você tem a certeza de que o tratamento é seguro para você. Lidar com a sensibilidade dental não precisa ser um bicho de sete cabeças.
Dica Prática: Converse com seu dentista sobre géis dessensibilizantes para usar antes ou depois do clareamento, ou até mesmo produtos que já vêm com essa proteção na fórmula.

Manutenção do Sorriso Branco: Estratégias para um resultado duradouro
Manter o sorriso branquinho depois de clarear os dentes não é um bicho de sete cabeças, viu? A gente sabe que depois de investir tempo e, às vezes, um dinheirinho, a ideia é que o resultado dure o máximo possível. E a boa notícia é que isso é super possível com alguns cuidados no dia a dia. Vamos combinar, quem não quer aquele sorriso de estrela por mais tempo? É mais sobre constância do que sobre grandes sacrifícios.

Quando falamos em clareamento caseiro supervisionado, a chave é a orientação profissional. Seu dentista vai te indicar os produtos certos e a frequência de uso. Evitar alimentos e bebidas que mancham, como café, vinho tinto e açaí, logo após o clareamento, faz toda a diferença. E não se esqueça da escovação logo após consumir algo assim. Pequenos hábitos que protegem seu investimento no sorriso.
Outro ponto crucial é a higiene oral. Escovar os dentes direitinho pelo menos duas vezes ao dia, usar fio dental e, se o seu dentista recomendar, um enxaguante sem álcool, ajuda a remover os resíduos que podem escurecer os dentes. A visita periódica ao dentista também é fundamental para monitorar o clareamento e garantir que tudo está indo bem. Eles também fazem aquela limpeza profissional que dá um up extra.
Dica Prática: Use um canudo para beber líquidos que mancham, como café ou refrigerante. Assim, o líquido passa direto, sem ter tanto contato com os dentes da frente.
Mitos e Verdades Sobre Clareamento Caseiro
| Item | O Que Você Precisa Saber | Dicas da Autora |
|---|---|---|
| Entendendo o Clareamento Supervisionado | É o tratamento que usa produtos clareadores em casa, mas com a orientação e acompanhamento do seu dentista. Ele garante que você use os materiais corretos e na dosagem certa para o seu caso específico. | Fica tranquila, supervisionado não é sinônimo de complicado. É justamente o contrário: mais segurança para você! |
| Avaliação Profissional: O Primeiro Passo | Seu dentista vai examinar seus dentes para ver se o clareamento é indicado. Ele verifica a saúde das gengivas, o estado do esmalte e a causa das manchas. Só assim ele sabe o que é melhor para você. | Não pule essa etapa! Consultar o dentista é como ter um mapa antes de começar uma aventura. Ele te mostra o caminho seguro. |
| Produtos de Clareamento Caseiro: Opções e Escolha | Existem géis clareadores de diferentes concentrações e marcas. O dentista vai te indicar o produto ideal, considerando a sensibilidade dos seus dentes e o grau de escurecimento. | O barato pode sair caro aqui. Deixe o dentista te guiar na escolha. Ele sabe quais marcas são confiáveis e seguras. |
| A Concentração Certa | A força do clareador é definida pelo seu dentista. Concentrações mais altas podem agilizar o processo, mas exigem mais cuidado. O profissional sabe o equilíbrio certo para você. | Vamos combinar: a pressa pode prejudicar seus dentes. Confie na experiência do seu dentista para achar a concentração perfeita. |
| Aplicação Correta das Moldeiras | As moldeiras são feitas sob medida. Um bom encaixe impede que o gel escape e irrite a gengiva. A aplicação correta garante que o produto atue só nos dentes. | Preste atenção nas instruções do dentista. Se a moldeira não encaixar direitinho, avise ele. Um bom ajuste faz toda a diferença. |
| Tempo de Uso Correto | O tempo de uso de cada sessão e o total do tratamento variam. O dentista vai te passar o cronograma exato, com base na sua resposta ao clareador. | Seguir o tempo recomendado é crucial. Usar demais pode sensibilizar os dentes ou enfraquecer o esmalte. Menos é mais, quando bem orientado. |
| Alimentação e Hábitos: O Que Evitar | Alguns alimentos e bebidas (café, vinho tinto, corantes) podem manchar os dentes recém-clareados. Seu dentista te dará uma lista do que evitar, tanto durante quanto após o tratamento. | Pense nos seus dentes como uma tela nova. Evite sujeiras enquanto eles ainda estão “secando” para o resultado durar mais. |
| Cuidados Essenciais: Protegendo Gengivas e Esmalte | O dentista pode indicar pastas ou géis protetores. Eles ajudam a blindar a gengiva e o esmalte durante o uso do clareador, |
Confira este vídeo relacionado para mais detalhes:
Mantendo Seu Sorriso Impecável Após o Clareamento
Você chegou até aqui e agora quer saber como manter aquele sorriso branco e brilhante por mais tempo, né? Fica tranquila, eu te conto meus segredinhos! A verdade é que os cuidados pós-clareamento são essenciais para prolongar os resultados. Vamos combinar: um pouquinho de atenção agora vale ouro depois!
Para garantir que seu sorriso continue impecável, siga estas dicas práticas:
- Escovação Diária e Gentil: Escove os dentes no mínimo duas vezes ao dia. Use uma escova de dentes macia e um creme dental suave. A força pode desgastar o esmalte e até reverter o clareamento.
- Atenção à Alimentação: Evite alimentos e bebidas que mancham os dentes logo após o clareamento. Pense em vinho tinto, café, refrigerantes escuros, molho de tomate e frutas vermelhas. Se for consumir, tente beber com canudo ou escovar os dentes logo em seguida.
- Visitas Regulares ao Dentista: Mantenha suas consultas de rotina. Seu dentista pode avaliar a cor dos seus dentes, verificar a saúde bucal e indicar retoques se necessário. Ele é seu maior aliado nessa manutenção!
- Hidratação é Chave: Beber bastante água ajuda a manter a boca hidratada e a limpar os resíduos de alimentos. Água é vida, e para o seu sorriso também!
Dúvidas das Leitoras
O clareamento caseiro supervisionado pode danificar meus dentes?
Fica tranquila! Quando feito sob orientação do dentista, o risco de dano é mínimo. Ele vai te indicar os produtos certos e a forma correta de usar, protegendo seus dentes e gengivas.
Quanto tempo leva para ver os resultados?
Geralmente, você começa a notar uma diferença em uma ou duas semanas de uso contínuo. O resultado final depende da sua resposta ao tratamento e do tom original dos seus dentes.
Posso fazer clareamento se tiver restaurações ou coroas nos dentes?
Pois é, restaurações e coroas não clareiam. Se eles estiverem em dentes que você pretende clarear, podemos conversar sobre isso. O dentista vai avaliar a melhor estratégia para seu sorriso.
Quais alimentos devo evitar após o clareamento?
Vamos combinar: por uns dias após o tratamento, evite alimentos e bebidas muito pigmentados, como café, vinho tinto, molho de tomate e corantes. Eles podem manchar os dentes recém-clareados.
Com que frequência posso fazer o clareamento caseiro supervisionado?
Isso é algo que seu dentista vai determinar. Ele vai analisar seu sorriso e te dizer qual o intervalo ideal entre um tratamento e outro para manter os resultados sem prejudicar seus dentes.
Viu só? Clarear os dentes em casa, com o acompanhamento certo, é super acessível e seguro. O segredo é seguir as orientações à risca. Se quiser saber mais sobre cuidados com o sorriso, explore nossos conteúdos sobre saúde bucal.

