Como tratar a gengivite ulcerativa necrosante aguda em crianças? Ver seu pequeno com dor e desconforto na boca é angustiante. Essa condição, que causa feridas dolorosas na gengiva, precisa de atenção rápida. Mas não se preocupe! Neste post, eu te guio com passos claros e seguros para aliviar o sofrimento e cuidar da saúde bucal do seu filho.
Gengivite Ulcerativa Necrosante Aguda (GUNA) em Crianças: Um Guia Rápido para Pais Preocupados
Seu filho está com dor e a gengiva parece machucada? Pode ser GUNA, uma infecção gengival que aparece de repente. Ela causa feridas doloridas, mau hálito e às vezes febre. Fica tranquila, é mais comum do que parece, especialmente em crianças com baixa imunidade ou que não escovam os dentes direito. O tratamento é fundamental para evitar que a infecção se espalhe.
O principal benefício de tratar a GUNA rápido é aliviar o desconforto da criança e impedir complicações. O tratamento envolve higiene oral cuidadosa, muitas vezes com antibióticos e antissépticos prescritos pelo dentista. Consultar um profissional é o primeiro passo e o mais importante. Ele vai saber exatamente como agir.
Confira este vídeo relacionado para mais detalhes:
Como Identificar e Agir Imediatamente Diante da GUNA Infantil

Os Primeiros Sinais: O Que Procurar na Boca do Seu Filho
Sabe quando a gengiva da criança fica inchada, vermelha e até sangra fácil? Pois é, isso pode ser um sinal de alerta. No começo, pode parecer só uma irritação, mas em alguns casos, pode evoluir. Fica atenta a qualquer mudança na aparência da gengiva. A cor e o inchaço são os primeiros indicadores.

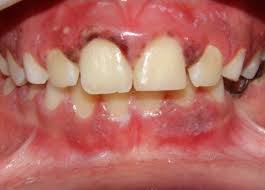
Em alguns casos mais sérios, a gengiva pode até apresentar umas “úlceras”, que são como pequenas feridinhas. Isso, junto com um hálito forte e desagradável, e às vezes até dor ao mastigar ou escovar, merece sua atenção imediata. Não ignore esses sintomas, viu?
A gengivite ulcerativa necrosante aguda (ou GUNA) em crianças precisa de cuidados específicos. É uma condição que pode causar bastante desconforto. Por isso, a higiene bucal tem que ser feita com muito cuidado, mesmo que a criança sinta dor. Escovar suavemente remove as bactérias que pioram a situação.
Dica Prática: Mantenha a escovação dental da criança delicada, mas caprichada, mesmo com a gengiva sensível. Use um creme dental adequado para a idade.

Diferenças Cruciais: GUNA versus Outros Problemas Bucais Comuns
Vamos falar sobre a GUNA, ou gengivite ulcerativa necrosante aguda. É algo que assusta, né? Muita gente confunde com uma gengivite comum, mas a GUNA tem umas características bem próprias. Sabe aquela dorzinha chata na gengiva, um vermelhidão? Na GUNA, a coisa vai além. São feridas que aparecem, a gengiva fica necrosada (a gente chama assim quando o tecido morre um pouco), e o cheiro… ah, o cheiro é bem desagradável, um bafo forte que não passa fácil. Isso afeta a gengiva de um jeito mais agressivo, com formação de úlceras profundas. Fica tranquila, mas é importante saber reconhecer para buscar ajuda logo.

Muita gente me pergunta qual a diferença disso para uma gengivite simples. A gengivite comum geralmente é causada por falta de higiene e causa inflamação e sangramento. Já a GUNA, além de tudo isso, vem com essa destruição tecidual e um desconforto bem maior. Em crianças, o que pode ser um sinal de GUNA é uma dor muito intensa na boca, dificuldade para comer por causa das feridas, salivação excessiva e, claro, o mau hálito característico. Às vezes, pode vir acompanhada de febre e mal-estar geral. É um quadro que pede atenção médica e odontológica, sem demora.
O tratamento da GUNA em crianças é focado em aliviar a dor, combater a infecção e restaurar a higiene bucal. Geralmente envolve limpezas profissionais realizadas pelo dentista e, em alguns casos, medicamentos prescritos. A higiene em casa se torna crucial, mas com cuidado para não machucar as áreas sensíveis. Vamos combinar, cuidar da saúde bucal dos pequenos é essencial.
Dica Prática: Se notar feridas dolorosas na gengiva do seu filho, mau hálito forte e dificuldade para se alimentar, procure um dentista o quanto antes.

O Papel Vital da Higiene Bucal na Prevenção e Recuperação
Pois é, quando falamos de gengivite ulcerativa necrosante aguda (GUNA) em crianças, a higiene bucal entra em cena como uma heroína. Não é só sobre ter um sorriso bonito, é sobre prevenir que infecções mais sérias se instalem. Uma limpeza caprichada, mesmo quando a gengiva está sensível, ajuda a remover as bactérias que causam esse quadro dolorido e desagradável. Manter essa rotina é o primeiro passo para evitar que a GUNA apareça ou para ajudar na recuperação mais rápida, reduzindo o desconforto.

Quando a GUNA se instala, a escovação pode parecer um bicho de sete cabeças para a criança, por causa da dor e do sangramento. Mas não se assuste, a ideia aqui é ser gentil. Usar uma escova de dentes com cerdas extra macias e uma técnica suave faz toda a diferença. Se a criança não tolera a escova, um limpador de língua de silicone ou até mesmo uma gaze úmida passada com delicadeza podem ajudar a manter a boca o mais limpa possível até que a dor diminua e a escovação normal possa ser retomada.
A recuperação da GUNA envolve cuidados específicos, e a higiene bucal é uma parte fundamental. Além de manter a boca limpa com gentileza, é importante observar se a criança está se alimentando bem, já que a dor pode diminuir o apetite. Banhos mornos e um ambiente tranquilo também ajudam no bem-estar geral. Lembre-se que um acompanhamento com o dentista é essencial para que ele possa orientar o tratamento correto e verificar a evolução.
Dica Prática: Se a dor for muito intensa, procure o dentista. Ele pode indicar um bochecho antisséptico específico para crianças ou um analgésico para aliviar o desconforto e facilitar a higiene.

A Alimentação Certa: Conforto e Nutrição para Gengivas Sensíveis
Quando falamos de gengivite, principalmente em formas mais agudas como a ulcerativa necrosante em crianças, o que comemos faz toda a diferença. A boca sensível e dolorida precisa de alimentos que acalmem e nutram, sem irritar. Esqueça comidas muito quentes, picantes ou ácidas. Pense em texturas macias e sabores suaves. Sabe aquele purê de batata cremoso? Ou um iogurte geladinho? Esses são ótimos exemplos de como trazer conforto e nutrição de um jeito gentil para a boca que está precisando de cuidado.

É fundamental garantir que seu pequeno esteja recebendo os nutrientes necessários para a recuperação. Vitaminas C e A são suas melhores amigas nesse processo, pois ajudam na cicatrização e fortalecimento das gengivas. Frutas amassadas como mamão, banana e abacate são fontes maravilhosas desses nutrientes. Caldos e sopas mornas, com legumes bem cozidos e macios, também entram no cardápio. O importante é que a alimentação seja fácil de mastigar e engolir, evitando qualquer desconforto adicional.
Além de escolher os alimentos certos, a forma como são servidos também conta. Sirva tudo em uma temperatura agradável, nem quente, nem fria demais. Pequenas porções e refeições mais frequentes podem ser mais fáceis para a criança lidar do que um prato cheio. A gente quer que o momento da comida seja de alívio e nutrição, não de mais dor. Fica tranquila, com essas escolhas, você ajuda muito no bem-estar do seu filho.
Dica Prática: Prepare smoothies com frutas macias, um pouco de iogurte natural e, se a criança aceitar, adicione um fiozinho de mel (para maiores de 1 ano) para um lanche refrescante e nutritivo.

Alívio para a Dor: Métodos Seguros e Eficazes para Casa
Quando falamos de dor de gengiva em crianças, especialmente algo como a gengivite ulcerativa necrosante aguda, o primeiro passo é buscar um profissional. Mas enquanto você não consegue ir ao dentista, existem formas de amenizar esse desconforto em casa. Foca em manter a boca da criança o mais limpa possível, sem agredir a área sensível. A ideia é não deixar bactérias se acumularem, mas com muito cuidado.

Para o alívio imediato, o mais recomendado são bochechos com água morna e sal. Eu sei, parece simples, mas funciona! Ajuda a limpar e tem um efeito suavemente antisséptico. Use uma colher de chá de sal em um copo de água morna. Peça para a criança bochechar delicadamente por uns 30 segundos e cuspir. Repita algumas vezes ao dia. É fundamental que a água não esteja quente para não piorar a inflamação.
Lembre-se, essa é uma medida temporária. A gengivite ulcerativa necrosante aguda precisa de diagnóstico e tratamento médico. Evite dar alimentos duros ou muito ácidos que possam irritar ainda mais a gengiva. Opte por comidas mais macias e frias, como iogurtes ou purês. O desconforto pode diminuir bastante com essas ações.
Dica Prática: Se a dor estiver incomodando muito e você não tiver acesso a um dentista imediatamente, um analgésico infantil na dosagem correta, conforme a indicação do pediatra ou a bula, pode ser um bom paliativo. Sempre priorize a orientação profissional.

Quando Procurar Ajuda Profissional Imediatamente
Seu filho está com dor de dente intensa, mau hálito forte e a gengiva está avermelhada, inchada e sangrando fácil? Na infância, esses sintomas podem indicar uma gengivite ulcerativa necrosante aguda (GUNA). É uma condição séria que exige atenção rápida. Ignorar esses sinais pode levar a complicações. Fica tranquila, estou aqui para te orientar sobre quando é hora de buscar ajuda sem demora.

A GUNA se manifesta com dor ao mastigar e escovar os dentes, febre e, em alguns casos, gânglios inchados no pescoço. A gengiva pode apresentar ulcerações cinzas e um cheiro desagradável bem característico. Diferente de uma gengivite comum, a GUNA pode progredir rapidamente e afetar os tecidos que sustentam os dentes. Por isso, a intervenção de um profissional é fundamental.
É crucial procurar um odontopediatra ou um dentista imediatamente se você notar esses sintomas no seu pequeno. O tratamento precoce com antibióticos e cuidados locais pode prevenir danos maiores. Vamos combinar, a saúde bucal do seu filho é prioridade.
Dica Prática: Mantenha a rotina de escovação suave, mesmo com a dor, e ofereça alimentos macios e frios para aliviar o desconforto.

O Tratamento Odontológico: O Que Esperar no Consultório
No consultório, o dentista vai começar com um exame bem minucioso. Ele precisa entender a extensão da GUNA e como seu pequeno está se sentindo. É provável que ele faça algumas perguntas sobre os sintomas, como dor, mau hálito e se a gengiva sangra fácil. Essa primeira conversa é fundamental para traçar o melhor plano de tratamento.

O tratamento principal geralmente envolve uma limpeza profissional para remover o tecido necrosado e as bactérias. Isso pode ser feito com anestesia local para garantir que a criança não sinta dor. Além da limpeza, o dentista vai prescrever um antibiótico, se necessário, para combater a infecção, e um enxaguante bucal específico para ajudar na cicatrização e higiene. A higiene oral em casa é a chave, mas precisa ser feita com cuidado, seguindo as orientações do profissional.
O acompanhamento é super importante. O dentista vai querer ver seu filho algumas vezes para garantir que a gengiva esteja cicatrizando bem e que a GUNA não volte. Ele também vai te orientar sobre como manter uma rotina de higiene oral eficiente, o que é essencial para prevenir futuros problemas. Lembre-se que a gengivite ulcerativa necrosante aguda em crianças precisa de atenção rápida e profissional.
Dica Prática: Ao escovar os dentes da criança durante o tratamento, use uma escova de dentes bem macia e movimentos suaves. Se a dor for intensa, converse com o dentista sobre analgésicos que podem ajudar.

Desmistificando a GUNA: Mitos e Verdades
Muitas vezes, ouvimos falar de “GUNA” e já bate um pânico, né? Essa gengivite ulcerativa necrosante aguda (GUNA) pode parecer assustadora, mas é um tipo de infecção que afeta a gengiva e, sim, pode aparecer em crianças. É importante saber que ela não surge do nada. Geralmente, está ligada a uma má higiene bucal, estresse ou até mesmo um sistema imunológico mais frágil. E pode causar dor, mau hálito e um desconforto que afeta o bem-estar dos pequenos.

Vamos falar a real: a prevenção é o melhor remédio. Escovar os dentes direitinho, usar fio dental e manter as visitas ao dentista em dia são os pilares para evitar que a GUNA se instale. Quando falamos de crianças, a atenção com a higiene oral precisa ser ainda maior. Educar desde cedo sobre a importância de cuidar dos dentes é fundamental. E, se você notar qualquer sinal diferente, como gengivas inchadas, avermelhadas ou com feridinhas, não espere. Procure um profissional.
Tratar a GUNA envolve cuidados específicos que só um dentista pode indicar. Geralmente, o tratamento inclui uma limpeza profissional mais cuidadosa na boca, antibióticos para combater a infecção e analgésicos para aliviar a dor. Além disso, o foco principal é reeducar a rotina de higiene oral em casa. Sei que parece muita coisa, mas, com orientação profissional e carinho, tudo se resolve.
Dica Prática: Mantenha a escovação e o uso do fio dental em casa como uma rotina agradável para a criança, transformando o momento em algo divertido e não uma obrigação.

Cuidados Pós-Tratamento: Mantendo a Saúde Bucal do Seu Filho
Seu filho passou por um tratamento para gengivite ulcerativa necrosante aguda (GUNA)? Que bom que você buscou essa informação! Agora, o foco é manter a saúde da boquinha dele em dia. Pense nisso como um cuidado extra para que tudo fique 100% e ele não sofra mais com isso.

A higiene oral é a rainha aqui. Escove os dentes dele com delicadeza, usando uma escova macia. A frequência é a mesma de sempre: após as refeições e antes de dormir. Se o dentista receitou algum enxaguante específico, siga à risca. O importante é remover os restos de comida e manter a gengiva limpa.
Alimentação também conta muito. Prefira alimentos mais macios e fáceis de mastigar nos primeiros dias, se ainda houver um pouco de sensibilidade. Evite comidas muito quentes, picantes ou ácidas. E, claro, mantenha as visitas ao dentista. Ele é seu maior aliado para garantir que a gengiva do seu filho volte ao normal e fique protegida.
Dica Prática: Deixe a escovação ser um momento divertido, com música ou até um pequeno jogo de recompensa, para que ele se sinta motivado a cuidar dos próprios dentes.

Prevenção é a Chave: Hábitos Saudáveis para um Sorriso Forte
Vamos falar de algo sério, mas sem pânico! A gengivite ulcerativa necrosante aguda, ou GUNA, pode assustar quando aparece em crianças, mas o importante é saber que a prevenção é o nosso melhor caminho. Manter a higiene bucal impecável desde cedo faz toda a diferença. Escovar os dentes direitinho, pelo menos duas vezes ao dia, e usar fio dental diariamente são os primeiros passos para um sorriso saudável e livre de problemas mais sérios.

A GUNA pode surgir em quadros de estresse, má nutrição ou baixa imunidade, sabe? Por isso, cuidar da alimentação da criança, oferecendo alimentos ricos em vitaminas e minerais, é fundamental. Além disso, atenção redobrada com o que causa estresse no pequeno. Um acompanhamento pediátrico regular também ajuda a identificar qualquer sinal de alerta precocemente. Fica tranquila, o dentista infantil é seu aliado nessa missão!
Se você notar qualquer sinal de gengivite em seu filho, como dor intensa, inchaço, mau hálito forte ou feridas na gengiva, procure um odontopediatra imediatamente. Ele é o profissional capacitado para fazer o diagnóstico correto e indicar o tratamento ideal, que geralmente envolve limpeza profissional e, em alguns casos, medicação. A recuperação costuma ser rápida com o cuidado certo. Vamos combinar que um sorriso saudável vale todo o cuidado?
Dica Prática: Enxaguar a boca com água morna e sal algumas vezes ao dia pode ajudar a aliviar o desconforto e limpar a área afetada, sempre sob orientação do dentista.
Entendendo as Causas e Fatores de Risco da GUNA em Crianças
| Item | O Que Observar | Dicas Práticas |
|---|---|---|
| Os Primeiros Sinais: O Que Procurar na Boca do Seu Filho | Gengivas vermelhas, inchadas, doloridas. Mau hálito forte. Gosto ruim na boca. Sangramento fácil ao escovar ou usar fio dental. Pontos brancos ou cinzas nas gengivas. Dor ao mastigar. | Observe atentamente a boca da criança. Compare com o que era normal antes. A gengiva parece diferente? A criança reclama de dor na boca? |
| Diferenças Cruciais: GUNA versus Outros Problemas Bucais Comuns | A GUNA é mais séria que uma gengivite comum. Ela causa úlceras (feridas) e necrose (morte de tecido) na gengiva. O mau hálito é intenso. A dor é mais forte. | Se notar feridas abertas na gengiva, vermelhidão intensa e dor significativa, pode ser GUNA. Não confunda com uma afta comum. |
| O Papel Vital da Higiene Bucal na Prevenção e Recuperação | Escovação suave e frequente. Uso de fio dental (se a criança permitir e não houver muita dor). Limpeza da língua. | Use escova de dentes macia e creme dental com flúor. Ensine a criança a escovar corretamente, mas com gentileza. A limpeza ajuda a remover bactérias. |
| A Alimentação Certa: Conforto e Nutrição para Gengivas Sensíveis | Alimentos macios, mornos ou frios. Evitar alimentos duros, crocantes, picantes ou ácidos. Muita água para manter a boca hidratada. | Ofereça sopas, purês, iogurtes, vitaminas. Gelatina e picolés caseiros (sem açúcar em excesso) podem aliviar a dor. |
| Alívio para a Dor: Métodos Seguros e Eficazes para Casa | Enxaguantes bucais suaves (indicados por profissional). Compressas frias na bochecha. | Siga a recomendação do dentista para enxaguantes. Compressas geladas ajudam a diminuir o inchaço e a dor. |
| Quando Procurar Ajuda Profissional Imediatamente | Febre. Inchaço que se espalha para o rosto ou pescoço. Dificuldade para engolir ou respirar. Dor muito intensa. Feridas extensas. | Esses são sinais de que a infecção pode estar piorando. Não hesite em ir ao pronto-socorro ou procurar o dentista urgentemente. |
| O Tratamento Odontológico: O Que Esperar no Consultório | Limpeza profissional cuidadosa. Prescrição de antibióticos e/ou antissépticos. Instruções detalhadas de higiene. | O dentista removerá o tecido morto e aplicará medicação. O tratamento pode envolver várias visitas. Siga as orientações médicas à risca. |
| Desmistificando a GUNA: Mitos e Verd |
Confira este vídeo relacionado para mais detalhes:
O Impacto da GUNA no Bem-Estar Infantil e a Importância do Tratamento
Pois é, a GUNA (Gengivite Ulcerativa Necrosante Aguda) em crianças é algo que assusta, né? Mas fica tranquila, não é o fim do mundo. O mais importante é agir rápido. Eu já vi de perto como essa inflamação pode deixar os pequenos incomodados, com dor e até afetar a alimentação. Por isso, saber como cuidar faz toda a diferença no bem-estar deles.
Vamos combinar, o tratamento é direto e focado em aliviar o desconforto e combater a infecção. Não tem mistério, mas exige atenção e cuidado.
Minhas Dicas Essenciais para Lidar com a GUNA Infantil:
- Busque o Dentista Imediatamente: Essa é a primeira e mais importante regra. O diagnóstico e o tratamento inicial devem ser feitos por um profissional. Ele vai avaliar a extensão do problema e indicar o melhor caminho.
- Higiene Oral Delicada: Com a gengiva inflamada, a escovação precisa ser gentil. Use uma escova de dentes com cerdas macias e passe com cuidado para não machucar. O dentista pode recomendar bochechos antissépticos específicos para ajudar na cicatrização.
- Alimentação Leve e Morna: Bebidas e comidas muito quentes ou frias podem irritar ainda mais. Opte por alimentos pastosos, mornos e fáceis de mastigar. Sopas, purês e iogurtes são ótimas opções para garantir a nutrição sem causar dor.
- Hidratação é Fundamental: Incentive a criança a beber bastante água. Isso ajuda a manter a boca limpa e auxilia no processo de recuperação.
- Siga as Orientações Médicas à Risca: Se o dentista prescrever medicamentos, como antibióticos ou analgésicos, use-os exatamente como ele indicou. Isso é crucial para a cura completa e para evitar complicações.
Dúvidas das Leitoras
A GUNA em crianças é contagiosa?
Sim, a GUNA pode ser contagiosa. É importante que a criança evite compartilhar talheres, copos e escovas de dente com outras pessoas durante a fase ativa da infecção. Lave bem as mãos após o contato com a boca da criança.
Quanto tempo leva para a GUNA cicatrizar?
Com o tratamento adequado, a dor e os sintomas agudos da GUNA costumam melhorar em poucos dias. No entanto, a cicatrização completa das gengivas pode levar uma ou duas semanas. Acompanhe de perto a recuperação do seu filho.
Quais os riscos se a GUNA não for tratada?
Se a GUNA não for tratada, pode evoluir para infecções mais graves na boca e até mesmo afetar outras partes do corpo. Complicações como abscessos, perda de tecido gengival e, em casos raros, problemas de saúde mais sérios podem ocorrer. Por isso, o acompanhamento médico é fundamental.
Posso dar analgésicos para meu filho com GUNA?
Sim, você pode administrar analgésicos infantis, como paracetamol ou ibuprofeno, para aliviar a dor e o desconforto do seu filho. Sempre siga a dosagem recomendada pelo pediatra ou as instruções da bula. Isso ajuda muito no bem-estar da criança.
Como manter a higiene bucal do meu filho durante o tratamento?
Mantenha a higiene bucal com muito cuidado. Use uma escova de dentes macia e enxágues bucais antissépticos suaves, se indicados pelo dentista. Escove os dentes gentilmente para não irritar as gengivas inflamadas. A limpeza é essencial para a recuperação.
Cuidar da gengivite ulcerativa necrosante aguda em crianças exige atenção médica imediata. Seguir as orientações de higiene e medicação prescritas é fundamental. Lembre-se, a saúde bucal infantil é um pilar importante. Se você se interessa por cuidados preventivos, vale a pena explorar também como manter a higiene bucal das crianças no dia a dia. Compartilhe suas experiências nos comentários!

