Como tratar a gengivite na gravidez? Sei que essa é uma preocupação para muitas futuras mamães. É comum que as gengivas fiquem sensíveis e sangrando nesse período. Fica tranquila! Neste post, eu vou te mostrar as melhores formas de cuidar disso, para você ter uma gestação mais tranquila e um sorriso saudável.
Cuidados Essenciais com a Boca na Gestação
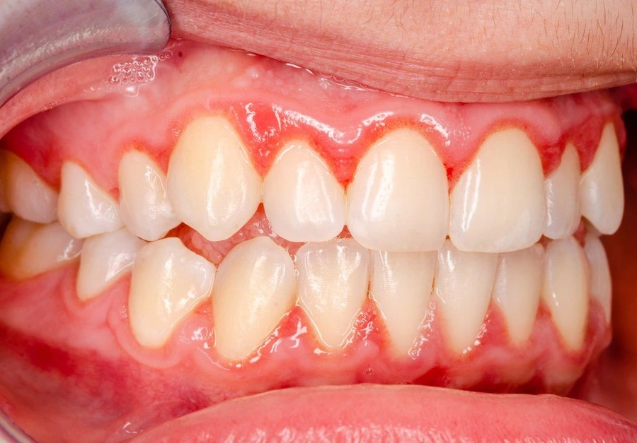
A gengivite na gravidez, também conhecida como gengivite gestacional, é uma inflamação comum nas gengivas que pode ocorrer devido às alterações hormonais. Se não tratada, pode evoluir e afetar a saúde bucal da mãe e do bebê. É fundamental manter uma rotina de higiene rigorosa.
Os benefícios de cuidar da sua gengiva durante a gestação são enormes. Uma boca saudável contribui para uma gravidez mais tranquila e um bebê com melhor desenvolvimento. Ignorar esses cuidados pode levar a problemas mais sérios, por isso, a atenção redobrada é essencial.
Confira este vídeo relacionado para mais detalhes:
Entendendo e Lidando com a Gengivite na Gravidez

Por que a gengivite surge mais nessa fase?
Sabe quando a gente fica mais sensível e até um pouco inchada durante a gravidez? Pois é, a gengiva também sente essa onda de mudanças. A gengivite aparece mais nessa fase principalmente por causa das alterações hormonais. A gente produz mais estrogênio e progesterona, e isso faz com que as gengivas fiquem mais reativas às bactérias da boca. É como se elas ficassem um “terreno fértil” para a inflamação. Se você já tinha uma tendência à gengivite, pode ser que ela se manifeste com mais força agora. Fica tranquila, mas é bom ficar atenta.

Esses hormônios deixam o fluxo sanguíneo nas gengivas mais intenso e também facilitam a proliferação de algumas bactérias específicas. Sem falar que, em algumas fases da gestação, a gente pode ter enjoos e comer coisas diferentes, o que pode mudar um pouco a higiene bucal. A gengiva inflamada fica vermelha, inchada e pode até sangrar fácil, sabe? Aquela sensaçãozinha de desconforto é um sinal de alerta para você redobrar os cuidados com a sua boca.
A boa notícia é que dá para controlar e tratar a gengivite. O segredo está na higiene bucal impecável. Escovar os dentes com cuidado pelo menos duas vezes ao dia, usar fio dental diariamente e, se o dentista indicar, enxaguantes bucais suaves podem fazer uma diferença enorme. Consultar seu dentista regularmente durante a gravidez é fundamental para ele te orientar direitinho e garantir que sua saúde bucal esteja em dia, o que é super importante para você e para o bebê. Vamos combinar, um sorriso saudável faz toda a diferença!
Dica Prática: Use uma escova de dentes com cerdas macias e troque-a a cada três meses para garantir uma limpeza eficaz sem machucar sua gengiva.

Os riscos de não tratar a gengivite durante a gestação
Você sabia que a gengivite na gravidez é mais comum do que parece e pode trazer uns probleminhas sérios se não for cuidada? Pois é, não é só uma questão de dente doendo, não. Ignorar essa inflamação na gengiva pode afetar não só a sua saúde bucal, mas também a do seu bebê. Fica tranquila, eu te conto os riscos aqui.

Quando a gengiva fica inflamada, ela sangra e incha. Se isso vira algo crônico, pode evoluir para algo mais sério, como a periodontite. E essa condição, que atinge os tecidos que dão suporte aos dentes, pode causar infecções que, acredite, chegam na corrente sanguínea. Para você, gestante, isso significa um risco maior de ter problemas como parto prematuro ou até bebês com baixo peso ao nascer. É sério, mas com cuidado, a gente evita.
A boa notícia é que o tratamento é geralmente simples e focado em higiene bucal impecável. Manter os dentes limpinhos, usar fio dental diariamente e visitar o dentista regularmente são os pilares. Ele vai te orientar sobre os melhores hábitos e, se necessário, indicar um tratamento específico para o seu caso, que é super seguro durante a gestação. Vamos combinar, a saúde do seu bebê vale todo esse cuidado extra, né?
Dica Prática: Use uma escova de dentes com cerdas macias e troque-a a cada três meses. Para a limpeza entre os dentes, o fio dental é seu melhor amigo, mesmo que a gengiva esteja sensível.

Identificando os primeiros sinais da gengivite gestacional
Sabia que a gravidez pode trazer algumas mudanças na boca? Uma delas é a gengivite gestacional. Ela aparece logo no começo, quando os hormônios dão aquela sobrecarregada. Fica tranquila, é mais comum do que você imagina. Os primeiros sinais são fáceis de notar se você ficar atenta. A gengiva começa a inchar um pouco, fica mais vermelhinha e pode até sangrar na hora de escovar os dentes ou usar o fio dental. Não ignore isso, tá? É o seu corpo dando um recadinho.

A gengivite gestacional nada mais é que uma inflamação na gengiva. Ela acontece porque as mudanças hormonais deixam a gengiva mais sensível e propensa a reações. Bactérias que já vivem na sua boca podem irritar ainda mais o tecido gengival. Pois é, essa inflamação pode piorar se não cuidarmos. A gengiva fica mais inchada, sensível ao toque e, como eu disse, o sangramento é um sinal clássico. Às vezes, você pode sentir até um mau hálito chatinho.
Se você notar que sua gengiva está avermelhada, inchada ou sangrando, não se desespere. O segredo é caprichar na higiene bucal. Escove os dentes com uma escova macia, pelo menos duas vezes ao dia, e use o fio dental com delicadeza. Uma visita ao dentista é fundamental nessa fase para ele avaliar e indicar o melhor cuidado. Ele pode recomendar enxaguantes específicos para gestantes e mostrar a forma correta de limpar todos os cantinhos.
Dica Prática: Use uma escova de dentes com cerdas bem macias e troque-a a cada três meses, ou antes se as cerdas estiverem abertas. Isso protege sua gengiva de mais irritação.

A escovação correta: seu maior aliada
Sabe aquela fase da gravidez em que tudo parece mais sensível? A gengiva não fica de fora! É super comum que ela fique mais inflamada, inchada e até sangrando. Muita gente acha que é normal ou que não tem o que fazer. Mas olha, a escovação correta é, de verdade, sua maior aliada nessa hora. Não adianta ter medo de machucar, pelo contrário: com a técnica certa, você limpa e ajuda a acalmar a inflamação.

Vamos direto ao ponto: o segredo é a delicadeza e a frequência. Use uma escova de dentes com cerdas macias e de cabeça pequena. Ela alcança todos os cantinhos sem agredir. O movimento deve ser suave, em círculos ou de cima para baixo (se for na parte de cima) e de baixo para cima (na parte de baixo), sempre da gengiva para a ponta do dente. Nada de esfregar com força, tá? Isso só piora.
É essencial escovar os dentes pelo menos duas vezes ao dia, e a limpeza com fio dental é indispensável para tirar aquela sujeirinha que a escova não pega. Se você sentir a gengiva muito sensível, pode alternar com um enxaguante bucal suave, sem álcool. Mas ó, antes de usar qualquer produto novo, vale a pena dar uma conversada com seu dentista. Ele pode te orientar direitinho sobre o que é seguro e eficaz.
Dica Prática: Se o sangramento te incomoda muito, experimente fazer bochechos mornos com água e um pouquinho de sal depois da escovação. Ajuda a desinflamar!

O papel crucial do fio dental no dia a dia

Pensando na gengivite na gravidez, a atenção com a limpeza entre os dentes se torna ainda mais importante. As alterações hormonais podem deixar a gengiva mais sensível e propensa a inflamações. O fio dental, usado diariamente, ajuda a prevenir o acúmulo de bactérias que causam essa irritação. Ele limpa de verdade, onde a escova não chega, protegendo sua gengiva de ficar inchada e sangrando.
Usar o fio dental é simples, mas faz uma diferença gigante. Ele não é um luxo, é uma necessidade para uma boca limpinha e saudável. Quando você cuida bem da sua higiene bucal, está cuidando da sua saúde geral, algo essencial em qualquer fase da vida, especialmente na gravidez.
Dica Prática: Se você tem dificuldade com o fio dental tradicional, experimente os modelos com haste ou os interdentais. Eles facilitam muito o alcance das áreas mais difíceis e te ajudam a não pular essa etapa tão importante!

Enxaguantes bucais: quando e quais usar?
Muitas vezes, a gente pensa em enxaguante bucal só pra refrescar o hálito, né? Mas ele vai muito além! Usar um bom enxaguante pode ser um passo extra pra manter sua boca saudável. Principalmente se você tá passando por mudanças, como na gravidez, que podem afetar a gengiva. Se a gengiva tá sensível ou inflamada, o enxaguante certo pode ajudar a acalmar e prevenir problemas maiores.

Quando escolher um enxaguante, é bom saber o que você precisa. Para quem quer combater bactérias e prevenir a gengivite, existem opções com clorexidina, por exemplo. Já para quem busca um alívio mais suave e não quer álcool, tem fórmulas com ingredientes naturais. Na gravidez, é fundamental conversar com seu médico ou dentista antes de usar qualquer produto, viu? Eles vão indicar o mais seguro e eficaz pra você nesse momento.
Se você tá lidando com gengivite durante a gravidez, um enxaguante antisséptico pode ser uma mão na roda. Ele ajuda a controlar as bactérias que causam a inflamação, que é bem comum nessa fase. Mas lembra: ele não substitui a escovação e o fio dental. É um complemento pra sua rotina de higiene bucal. A gente quer um sorriso lindo e uma gestação tranquila!
Dica Prática: Se a gengiva está inchada ou sangrando, opte por um enxaguante sem álcool e com propriedades calmantes, como os à base de camomila ou aloe vera, e sempre pergunte ao seu dentista qual o ideal para você.

A importância das visitas regulares ao dentista
Sabe, durante a gravidez, nosso corpo passa por tantas mudanças, né? E a saúde bucal não fica de fora. Muita gente acha que a gengivite é normal nessa fase, mas não é bem assim. É preciso atenção. Se não cuidar direitinho, pode virar um problema maior.

A gengivite na gravidez acontece por causa das alterações hormonais. Elas deixam a gengiva mais sensível e propensa a inflamações. Os sintomas são bem visíveis: a gengiva fica vermelha, inchada e sangra fácil, principalmente na hora de escovar os dentes ou usar o fio dental. Pois é, às vezes até um susto na hora de ver o sangue!
O mais importante é não deixar a situação se agravar. A boa notícia é que, com os cuidados certos, dá para controlar e tratar a gengivite. E claro, as visitas regulares ao dentista são essenciais. Ele vai saber indicar o melhor tratamento para você e seu bebê.
Dica Prática: Escove os dentes pelo menos duas vezes ao dia com uma escova macia e use fio dental diariamente. Se a gengiva sangrar muito, não pare de escovar, mas avise seu dentista.

Alimentação e gengivite: o que você precisa saber
Grávida e com gengivite? Fica tranquila, isso é mais comum do que você imagina. As alterações hormonais da gestação deixam a gengiva mais sensível e propensa a inflamações. Mas a boa notícia é que dá pra cuidar direitinho sem complicação. O segredo está em caprichar na higiene bucal e ficar de olho no que você come.

Alimentos muito doces ou ácidos podem piorar o quadro. Açúcar é o prato preferido das bactérias que causam a gengivite, e os ácidos atacam o esmalte dos dentes, deixando tudo mais vulnerável. Por isso, reduzir o consumo de refrigerantes, doces em geral e até sucos industrializados é um passo importante. Prefira frutas frescas, verduras e alimentos ricos em fibras, que ajudam a limpar a boca.
Manter a escovação e o uso do fio dental em dia são seus maiores aliados. Se a gengivite na gravidez persistir ou estiver te incomodando muito, não hesite em procurar seu dentista. Ele poderá indicar um tratamento seguro para você e seu bebê, como uma limpeza profissional ou um enxaguante específico.
Dica Prática: Inclua na sua rotina um enxaguante bucal suave, sem álcool, recomendado pelo seu dentista. Ele pode ajudar a controlar as bactérias e refrescar seu hálito.

Dicas para aliviar o desconforto e o inchaço
Eu sei, grávida a gente já se sente meio “cheia”, né? E aí, quando a gengiva começa a incomodar e inchar, parece que tudo piora. Mas fica tranquila, tem jeito de aliviar isso. A gengivite na gravidez é super comum, acontece por causa das mudanças hormonais. O importante é não deixar que ela atrapalhe seu bem-estar.

Para começar a tratar o desconforto e o inchaço, o primeiro passo é reforçar sua higiene bucal. Use uma escova de dentes com cerdas macias e troque a cada três meses. A escovação deve ser suave, mas completa, alcançando todos os cantinhos. O uso do fio dental diariamente é essencial, ele remove os restos de comida que a escova não consegue pegar. E se você sentir muita sensibilidade, experimente um enxaguante bucal sem álcool, que pode ajudar a acalmar a região.
Além da escovação e do fio dental, manter uma alimentação equilibrada faz toda a diferença. Evite alimentos muito doces ou ácidos, que podem irritar ainda mais a gengiva. Beba bastante água para manter a boca hidratada. E, claro, nada de pular as consultas com seu dentista. Ele é o profissional que vai te orientar direitinho sobre o que é melhor para você e para o bebê.
Dica Prática: Faça bochechos suaves com água morna e uma pitada de sal. Isso ajuda a desinflamar e a limpar a área afetada.

Quando procurar ajuda médica urgente?
Se você está grávida e notou que sua gengiva está inchada, vermelha ou sangrando mais que o normal, é importante ficar atenta. A gengivite na gravidez é comum, mas não deve ser ignorada. As mudanças hormonais do período deixam a gengiva mais sensível, facilitando a inflamação. Eu sei que a ideia de ir ao médico pode gerar um pouco de ansiedade, mas é fundamental cuidar disso para você e para o bebê.

Vamos combinar, ninguém gosta de dor ou desconforto, né? Se a gengivite apresentar sinais mais sérios, como pus, dor intensa ou se você perceber que o quadro não melhora com os cuidados básicos, é hora de procurar ajuda. Sangramento persistente após escovar os dentes ou usar o fio dental também é um sinal de alerta. Não espere o problema piorar, sua saúde bucal é parte essencial do seu bem-estar na gestação.
A boa notícia é que, na maioria das vezes, um bom dentista saberá exatamente o que fazer. Ele pode fazer uma limpeza mais profunda e indicar os produtos corretos para você usar em casa. Manter uma rotina de higiene bucal rigorosa é o primeiro passo. Escovar os dentes pelo menos duas vezes ao dia e usar o fio dental diariamente são hábitos que fazem toda a diferença.
Dica Prática: Use uma escova de dentes com cerdas macias e um creme dental com flúor. Se o sangramento for frequente, não deixe de conversar com seu dentista sobre isso o quanto antes.
Prevenção é a Chave: Mantenha seu Sorriso Saudável
| Item | Por que surge mais nessa fase? | Riscos de não tratar | Identificando os sinais | A escovação correta | O papel do fio dental | Enxaguantes bucais | Visitas ao dentista | Alimentação | Alívio do desconforto | Quando procurar ajuda |
|---|---|---|---|---|---|---|---|---|---|---|
| Por que a gengivite surge mais nessa fase? | As mudanças hormonais da gravidez deixam a gengiva mais sensível e propensa a inflamações. O fluxo sanguíneo também aumenta. | Pode afetar a saúde do bebê, causando parto prematuro ou baixo peso ao nascer. Compromete a saúde bucal geral. | Gengiva vermelha, inchada, sensível e que sangra facilmente ao escovar ou usar o fio dental. | Use escova de cerdas macias e creme dental com flúor. Escove suavemente em movimentos circulares, cobrindo todas as superfícies dos dentes. | Remova restos de comida e placa bacteriana entre os dentes e abaixo da linha da gengiva. Use diariamente. | Somente com indicação do dentista. Escolha produtos sem álcool para não ressecar. | Essenciais para monitorar a saúde bucal e tratar a gengivite precocemente. Faça antes do pré-natal e se necessário. | Evite excesso de açúcares e carboidratos refinados. Priorize frutas, verduras e alimentos ricos em cálcio. | Bochechos com água morna e sal podem ajudar. Mantenha a higiene rigorosa. | Sangramento intenso e persistente, dor forte, dificuldade para se alimentar ou sinais de infecção mais grave. |
Confira este vídeo relacionado para mais detalhes:
O Papel do Dentista e da Equipe de Saúde
Fica tranquila, lidar com a gengivite na gravidez é mais simples do que parece, e a equipe de saúde é sua maior aliada. Não é um bicho de sete cabeças!
Minhas Dicas Especiais
- Visite o Dentista Regularmente: Combinado, né? Essa é a regra de ouro. Faça consultas de acompanhamento com seu dentista durante toda a gestação. Ele vai monitorar a saúde da sua gengiva e identificar qualquer problema logo no início.
- Limpeza Profissional é Chave: Às vezes, a escovação em casa não dá conta. Uma limpeza feita pelo dentista ou higienista remove aquele tártaro chato que irrita a gengiva. Se precisar, repita quando ele indicar.
- Tire Suas Dúvidas Sem Medo: Pergunte TUDO ao seu dentista e ao seu médico obstetra. Eles podem orientar sobre os melhores produtos de higiene bucal para gestantes e quais cuidados específicos você precisa ter. Nada de vergonha!
- Comunicação é Essencial: Informe sua equipe de saúde sobre qualquer sintoma novo na sua boca, como sangramento ou inchaço. Quanto mais informação eles tiverem, melhor poderão te ajudar.
Vamos combinar: cuidar da sua saúde bucal é cuidar da saúde do seu bebê. Com a orientação certa, você passa por essa fase tranquila e com um sorriso lindo!
Dúvidas das Leitoras
Posso usar qualquer creme dental para gengivite na gravidez?
Fica tranquila, a maioria dos cremes dentais é segura. Procure por um com flúor e que seja suave, sem ingredientes muito fortes. O seu dentista poderá indicar a melhor opção.
Quais alimentos ajudam a prevenir a gengivite?
Alimentos ricos em vitaminas C e D são ótimos. Pense em frutas cítricas, vegetais verdes e laticínios. Manter uma dieta equilibrada é um grande passo.
É seguro fazer limpeza de tártaro durante a gestação?
Sim, é totalmente seguro e recomendado. Manter a higiene bucal em dia evita complicações. Converse com seu dentista sobre a melhor época para fazer o procedimento.
O que é a gengivite hiperplásica gravídica?
É um inchaço exagerado na gengiva, comum na gravidez. Isso acontece por causa das alterações hormonais. O controle da higiene bucal é essencial para amenizar.
Tratar a gengivite na gravidez é mais simples do que parece. Escovação e fio dental diários são seus maiores aliados. Visitas regulares ao dentista garantem que tudo permaneça sob controle. Cuidar da sua saúde bucal é cuidar do seu bebê. Se a sua dúvida era sobre como lidar com isso, agora você tem as ferramentas. Que tal explorar mais sobre cuidados com a saúde da gestante?

