Como tratar a gengivite expulsiva? Se você percebeu um recuo na gengiva, pode ser esse o problema. Essa condição merece atenção para evitar complicações maiores. Fique tranquila, pois neste post vou te explicar as melhores formas de cuidar disso. Vamos juntas redescobrir um sorriso mais saudável!
A Gengivite Que Ninguém Te Conta: O Que Você Precisa Saber
Vamos falar de gengivite. Sabe quando a gengiva fica inchada, vermelha e sangra fácil? Isso é um sinal de alerta que você não pode ignorar. Se não tratada, ela pode piorar e afetar a estrutura que segura seus dentes. Eu vejo muita gente negligenciando isso, mas é fundamental cuidar bem da sua boca.
O tratamento foca em remover o que causa a inflamação: a placa bacteriana. Uma boa higiene oral, com escovação correta e fio dental, é o primeiro passo e o mais importante. Em alguns casos, um profissional pode indicar limpeza mais profunda. Cuidar da gengiva é garantir um sorriso saudável por muito mais tempo.
Confira este vídeo relacionado para mais detalhes:
Guia Completo: Desvendando a Gengivite Expulsiva e Seus Tratamentos

O Que Realmente é a Gengivite Expulsiva? Entenda a Causa Raiz.
Fica tranquila, vamos entender direitinho o que é essa tal gengivite expulsiva. Muita gente ouve falar e já se assusta, né? Mas a verdade é que ela tem uma causa bem clara e que a gente pode controlar. Basicamente, quando a gente negligencia a higiene bucal, as bactérias se acumulam e criam uma placa bacteriana. Essa placa, se não for removida, irrita a gengiva. Com o tempo, essa irritação pode levar a um processo inflamatório mais sério, que é a gengivite. A “expulsiva” no nome vem justamente do fato de que o corpo tenta “expulsar” essa inflamação e as bactérias que a causam, causando o inchaço e, às vezes, sangramento.

Pois é, a raiz do problema é quase sempre a mesma: o acúmulo de placa bacteriana e tártaro. A escovação e o uso do fio dental diários são os seus maiores aliados aqui. Sem eles, as bactérias se proliferam e liberam toxinas que irritam o tecido gengival. Essa inflamação faz a gengiva ficar mais sensível, avermelhada e, em alguns casos, ela pode até se retrair um pouco, como se quisesse se afastar daquela agressão. É o corpo dando um sinal de alerta!
Vamos combinar, cuidar da saúde bucal é um hábito que faz toda a diferença no nosso bem-estar geral. A gengivite expulsiva não é um bicho de sete cabeças, e atacando a causa raiz, que é a higiene, você já resolve a maior parte. Manter uma rotina de limpeza rigorosa é o segredo. Consultar o dentista regularmente também é fundamental, pois ele pode identificar qualquer problema no início e te dar orientações personalizadas.
Dica Prática: Use o fio dental todos os dias, sem exceção. Ele alcança onde a escova não chega, removendo a placa bacteriana acumulada entre os dentes e na linha da gengiva, que é justamente onde a gengivite costuma começar.

Identificando os Primeiros Sinais: Não Ignore o Sangramento!
Vamos falar sério sobre gengiva. Você sabia que sangrar ao escovar os dentes ou usar fio dental não é normal? Pois é, muita gente ignora, mas esse é um dos primeiros sinais de que algo não vai bem. A gengivite, que começa com um simples incômodo, pode evoluir e virar um problemão se não cuidarmos. Se a sua gengiva anda machucando, fique atenta!

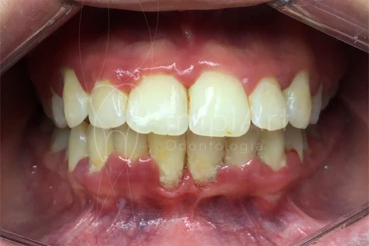
Quando a gengivite se agrava, ela pode causar o que chamamos de “gengivite expulsiva”. Isso significa que a gengiva começa a se afastar dos dentes, criando espaços onde sujeira e bactérias se acumulam ainda mais. Imagina só, os dentes parecem mais longos e até a sensibilidade pode aumentar. É um sinal claro de que a saúde bucal precisa de atenção urgente.
O tratamento para a gengivite expulsiva foca em eliminar a inflamação e reverter o dano o máximo possível. A higiene bucal correta é fundamental, com escovação suave e uso diário do fio dental. Em alguns casos, o dentista pode recomendar limpezas profissionais mais profundas ou até tratamentos específicos para ajudar a gengiva a se recuperar. Não deixe para depois!
Dica Prática: Use uma escova de dentes com cerdas macias e troque-a a cada três meses para garantir uma limpeza eficaz sem machucar sua gengiva.

A Ligação Secreta Entre Gengivite e Outras Condições de Saúde.
Pois é, a gengivite é mais séria do que parece. Não é só um incômodo na boca. Ela pode ser um sinal de alerta para outras condições de saúde. Fica tranquila, eu te explico a ligação!

A inflamação na gengiva, se não tratada direitinho, abre portas para bactérias entrarem na corrente sanguínea. Isso pode afetar o coração, por exemplo. Diabetes e até problemas na gravidez também podem ter relação com a gengivite crônica. Vamos combinar, cuidar da boca é cuidar do corpo todo.
Para tratar a gengivite de forma eficaz, o primeiro passo é uma higiene bucal caprichada. Escovar os dentes pelo menos duas vezes ao dia e usar o fio dental todos os dias são essenciais. Consultar um dentista regularmente também é fundamental para um acompanhamento profissional e para garantir que a gengivite não avance para algo mais grave. O dentista poderá indicar o melhor tratamento para o seu caso específico.
Dica Prática: Use um enxaguante bucal antisséptico recomendado pelo seu dentista, mas lembre-se que ele é um complemento, não substitui a escovação e o fio dental.

Tratamento Caseiro Eficaz: O Que Funciona de Verdade?
Você já ouviu falar em gengivite expulsiva? Pois é, esse nome pode assustar um pouco, mas a boa notícia é que dá pra cuidar disso em casa com o que funciona de verdade. Muita gente acha que só dentista resolve, mas com os cuidados certos, a gente consegue aliviar e até reverter o quadro.
O principal aqui é entender que não é mágica, é cuidado diário mesmo. E pode acreditar, faz toda a diferença. A gente vai ver juntas como manter essa área saudável e longe dos incômodos.

A chave para tratar a gengivite expulsiva em casa está na higiene bucal caprichada e em produtos que ajudam a acalmar a gengiva. Uma escovação gentil, mas completa, é fundamental. Use uma escova de cerdas macias e não esqueça de limpar todos os cantinhos. A escolha do creme dental também importa; procure por opções com flúor e que sejam voltadas para sensibilidade ou problemas gengivais.
Outra coisa que ajuda muito é o uso regular do fio dental. Eu sei que às vezes dá preguiça, mas ele alcança onde a escova não chega, removendo restos de comida e placa bacteriana que são os vilões da história. E, claro, enxaguantes bucais sem álcool podem ser grandes aliados para manter a boca limpa.
Para quem busca alívio rápido e eficaz, a combinação de uma boa escovação com creme dental adequado e o uso diário do fio dental é imbatível. Para potencializar, alguns enxaguantes bucais específicos podem trazer um conforto extra e ajudar na cicatrização. O importante é a consistência.
Dica Prática: Misture água morna com uma colher de chá de sal e use essa solução para bochechar por cerca de 30 segundos, duas vezes ao dia. Isso ajuda a desinflamar e limpar a região da gengiva de forma natural.

O Papel Essencial da Higiene Bucal Correta no Combate.
O principal para dar um chega pra lá na gengivite expulsiva é a limpeza caprichada. Sabe aquela sensação de boca limpa mesmo? É isso que você busca. Escovar os dentes direitinho, usando o fio dental todos os dias, faz uma diferença brutal. Essa rotina ajuda a remover aquela placa bacteriana que adora se instalar onde não devia e causa todo o problema.

Muita gente pensa que é só passar a escova, mas o fio dental é fundamental. Ele alcança os cantinhos que a escova não chega, tirando restos de comida e impedindo o acúmulo de bactérias ali pertinho da gengiva. E tem mais: usar uma pasta de dente com flúor também fortalece o esmalte e ajuda a prevenir mais problemas. Ah, e não esquece de trocar sua escova de dentes a cada três meses, tá? Escova velha não limpa direito!
A gengivite expulsiva, quando não cuidada, pode piorar e trazer outros incômodos. Por isso, a consistência na sua rotina de higiene é a chave. Não adianta caprichar um dia e depois esquecer. É no dia a dia que você realmente protege sua gengiva e mantém seu sorriso lindo e saudável. Isso vale pra todo mundo, viu?
Dica Prática: Use um enxaguante bucal sem álcool após a escovação e o fio dental para um reforço extra na limpeza e um hálito mais fresco.

Medicamentos e Soluções Tópicas: Quando Usar e Como?
Vamos falar sobre gengivite expulsiva e como os medicamentos e soluções tópicas podem ser seus aliados. Quando a gengivite se manifesta de forma mais intensa, esses produtos entram em cena para ajudar a controlar a inflamação e a dor. É como dar um chega pra lá nos sintomas chatos, sabe?

Existem diferentes tipos de medicamentos e soluções. Alguns vêm em forma de enxaguante bucal, outros em géis ou pomadas. Eles geralmente contêm ingredientes que agem diretamente na área afetada, combatendo as bactérias e aliviando o desconforto. É importante seguir a recomendação do seu dentista, pois ele vai indicar o melhor produto para o seu caso específico.
O uso correto desses produtos faz toda a diferença. Não adianta só usar de vez em quando, é preciso criar uma rotina. E lembre-se, eles são um complemento ao tratamento, não substituem a escovação e o uso do fio dental. A limpeza diária é fundamental para a saúde da sua boca.
Dica Prática: Se o seu dentista receitou um enxaguante, use-o após a escovação e fio dental, e evite comer ou beber por pelo menos 30 minutos depois. Isso garante que o medicamento aja por mais tempo.

A Importância da Consulta ao Dentista: Não Deixe Para Depois.
Vamos falar sério sobre a gengiva? Aquele “puxadinho” que parece que tá querendo fugir dos dentes? Pois é, isso é algo que a gente não pode ignorar. Muitas vezes, a gente só pensa em ir ao dentista quando a dor aperta, mas com a gengiva é diferente. Ignorar os primeiros sinais de que ela não está legal pode trazer problemas maiores lá na frente. Fica tranquila, eu sei que dá uma preguiça, mas cuidar disso agora é um baita investimento no seu sorriso.

Essa tal de gengivite, quando começa a dar trabalho e a gengiva parece que se afasta do dente, pode ser um sinal de que algo não vai bem. Na maioria das vezes, a causa é a má higienização, sabe? Aquela placa bacteriana que a gente não tira direito e que vai irritando tudo. Com o tempo, essa inflamação pode ir “expulsando” a gengiva, deixando a raiz do dente exposta. Isso não é legal e pode até doer.
O mais importante é entender que não dá pra resolver isso sozinho com remédio caseiro. A consulta com o dentista é essencial. Ele vai te explicar direitinho o que está acontecendo e qual o melhor tratamento para o seu caso. Geralmente, uma limpeza profissional e ajustes na sua rotina de higiene bucal resolvem a situação. Não deixe para depois, sério mesmo!
Dica Prática: Invista em uma escova de dentes de cerdas macias e use o fio dental todos os dias, sem exceção, para remover toda a placa bacteriana que a escova não alcança.

O Que Evitar Para Não Piorar Seu Caso de Gengivite Expulsiva.
Você tá querendo tratar a gengivite expulsiva e quer saber o que não fazer, né? Pois é, tem umas coisas que a gente faz sem perceber e que só pioram a situação. Vamos combinar: ninguém quer que a gengiva fique mais inflamada. Evitar certas atitudes é tão importante quanto o tratamento, acredite.

Primeiro ponto: não vá com muita sede ao pote na hora da higiene. Escovar com força ou usar escova muito dura pode machucar ainda mais a gengiva sensível. O mesmo vale para o fio dental. Sem pressão demais, sem agressividade. Queremos limpar, não agredir. E se você fuma, esse é o momento de pensar seriamente em parar. O cigarro prejudica a cicatrização e a saúde bucal em geral.
Outra coisa a evitar são os “remédios caseiros” sem orientação. Às vezes a gente ouve por aí que algo funciona, mas pode ser que irrite sua gengiva. O melhor caminho é sempre seguir o que seu dentista indicar. Fica tranquila, ele sabe o que é melhor para o seu caso específico. Para essa condição que estamos falando, a gengivite expulsiva, é fundamental ter paciência e constância no tratamento.
Dica Prática: Se sentir dor ou sangramento ao escovar, mesmo com cuidado, procure seu dentista. Não ignore esses sinais.

Prevenção é a Chave: Mantenha Sua Gengiva Saudável Sempre.
Gengivite é um assunto sério, mas vamos falar de um tipo específico: a gengivite expulsiva. O nome já dá uma pista, né? Ela pode fazer a gengiva parecer que está “expulsando” algo, como se estivesse se afastando demais dos dentes. É aquele inchaço que, se não for cuidado, pode começar a dar espaço para outras questões. Fica tranquila, a prevenção é a melhor amiga aqui.

O segredo para manter a gengiva saudável, e longe da gengivite expulsiva, está na rotina. Higiene bucal caprichada é essencial. Escovar os dentes direitinho, sem esquecer de passar o fio dental todos os dias, faz toda a diferença. É como cuidar da sua pele, precisa de atenção diária para não dar brecha para problemas.
Quando a gengiva começa a mostrar sinais de que não está feliz – um inchaço leve, um vermelho que não some – é hora de agir. Ignorar pode piorar a situação. Lembre-se que a saúde bucal reflete a saúde geral do corpo. Cuidar bem da sua gengiva é um investimento em você.
Dica Prática: Use um enxaguante bucal sem álcool após a escovação, especialmente se sua gengiva estiver um pouco sensível. Ele ajuda a manter tudo limpo e calmo.

Mitos e Verdades Sobre o Tratamento da Gengivite Expulsiva.
Muita gente pensa que gengivite expulsiva é algo que simplesmente some sozinho, mas isso é um mito danado! A gengivite, de modo geral, é uma inflamação que precisa de atenção. Quando ela causa um recuo visível da gengiva, o termo “expulsiva” entra em jogo, indicando que algo está “expulsando” ou afastando o tecido gengival. Não é algo para se ignorar, viu?

E quanto a tratamentos milagrosos? Pois é, outro ponto que gera muita confusão. Não existe uma única fórmula mágica que sirva para todo mundo. O tratamento da gengivite expulsiva depende muito da causa. Pode ser desde uma escovação muito agressiva até questões mais complexas. Por isso, o ideal é sempre procurar um dentista. Ele vai saber diagnosticar o motivo e indicar o melhor caminho para você.
Fica tranquila que a gente vai resolver isso! O mais importante é entender que a gengivite expulsiva não é um bicho de sete cabeças, mas exige cuidado e acompanhamento. Ignorar pode levar a problemas maiores, como a retração gengival se agravar. Vamos combinar: saúde bucal é fundamental!
Dica Prática: Se você percebeu sua gengiva recuando, mesmo que um pouquinho, marque uma consulta com seu dentista. Ele é a melhor pessoa para te guiar no tratamento correto.
Transformando Sua Rotina de Cuidados Bucais Para Sempre
| O Que Vamos Entender | Por Que Isso Importa Para Você | O Que Fazer (Minhas Dicas!) |
|---|---|---|
| O Que Realmente é a Gengivite Expulsiva? Entenda a Causa Raiz. | Saber a origem do problema é o primeiro passo para resolvê-lo. É como desvendar um mistério bucal! | Foco na higiene. A placa bacteriana é a vilã aqui. Limpe bem os dentes, especialmente na linha da gengiva. |
| Identificando os Primeiros Sinais: Não Ignore o Sangramento! | Gengiva que sangra ao escovar ou usar fio dental não é normal. É um alerta do seu corpo. | Observe sua gengiva diariamente. Se notar vermelhidão, inchaço ou sangramento, atenção redobrada! |
| A Ligação Entre Gengivite e Outras Condições de Saúde. | A saúde da boca reflete a saúde do corpo todo. Ignorar a gengivite pode afetar outras áreas. | Mantenha seu dentista informado sobre seu estado geral de saúde. E cuide bem da sua gengiva! |
| Tratamento Caseiro Eficaz: O Que Funciona de Verdade? | Tem coisas que você pode fazer em casa que fazem muita diferença, sem precisar de complicação. | Capriche na escovação e no fio dental. Enxaguantes bucais com clorexidina (com orientação!) podem ajudar. Água morna com sal também alivia. |
| O Papel Essencial da Higiene Bucal Correta no Combate. | Essa é a base de tudo. Sem uma boa limpeza, nenhum tratamento dura. | Escove os dentes pelo menos duas vezes ao dia, com capricho. Use fio dental todos os dias, sem falhar. |
| Medicamentos e Soluções Tópicas: Quando Usar e Como? | Às vezes, um reforço extra é necessário. Mas com cuidado e orientação. | Use apenas se o dentista receitar. Siga as instruções à risca para não ter efeitos colaterais. |
| A Importância da Consulta ao Dentista: Não Deixe Para Depois. | O dentista tem as ferramentas e o conhecimento para um diagnóstico preciso e um plano de tratamento eficaz. | Marque sua consulta. Uma limpeza profissional pode remover o que a escova não alcança. E ele vai te orientar direitinho. |
| O Que Evitar Para Não Piorar Seu Caso de Gengivite Expulsiva. | Alguns hábitos podem estar sabotando seu tratamento sem você perceber. | Evite fumar. Reduza o consumo de açúcar. Cuidado com escovas de dente muito duras. |
| Prevenção é a Chave: Mantenha Sua Gengiva Saudável Sempre. | O melhor tratamento é não precisar dele. Manter a gengiva saudável é mais fácil do que curar! | Crie uma rotina de higiene rigorosa. Visite o dentista regularmente. Alimente |
Confira este vídeo relacionado para mais detalhes:
O Impacto da Gengivite Expulsiva na Sua Saúde Geral
Pois é, a gengivite expulsiva não afeta só a sua boca. Ela pode ser um sinal de que algo maior não vai bem com a sua saúde. Ignorar os primeiros sinais é um erro que a gente não pode cometer. Mas a boa notícia é que dá pra reverter isso com atitude e cuidado.
Minhas Dicas Especiais para Lidar com a Gengivite Expulsiva:
- Higiene Impecável: Escove os dentes pelo menos duas vezes ao dia, com uma escova de cerdas macias. Use fio dental diariamente. Isso remove a placa bacteriana, que é a vilã da história.
- Enxaguante Bucal: Um bom enxaguante antisséptico, sem álcool de preferência, pode ajudar a controlar as bactérias. Converse com seu dentista para saber qual o ideal para você.
- Visitas Regulares ao Dentista: Não espere a dor apertar. Consultas semestrais são essenciais para uma limpeza profissional e para identificar problemas no início.
- Alimentação Consciente: Evite alimentos muito açucarados e ácidos. Uma dieta rica em vitaminas e minerais fortalece suas defesas.
- Pare de Fumar: Se você fuma, sabe que isso prejudica a saúde bucal (e geral). Parar é um dos melhores presentes que você pode dar para si mesma.
Seguindo esses passos, você não só trata a gengivite, mas também cuida da sua saúde como um todo. Vamos combinar, sua saúde vale cada esforço!
Dúvidas das Leitoras
A gengivite expulsiva pode causar a perda dos dentes?
Sim, se não for tratada, a gengivite pode afetar o osso que segura seus dentes. Isso pode levar à perda dentária. Cuide logo para evitar maiores problemas.
Existe um tratamento natural para a gengivite expulsiva?
Alguns cuidados caseiros, como bochechos com água morna e sal, podem aliviar os sintomas. No entanto, eles não substituem a avaliação e o tratamento profissional. Procure seu dentista.
Quanto tempo leva para tratar a gengivite expulsiva?
O tempo de tratamento varia. Depende da gravidade da sua gengivite e da sua dedicação aos cuidados. Geralmente, com acompanhamento e higiene, a melhora é rápida.
Posso continuar usando fio dental se minha gengiva sangra?
Com certeza! O sangramento é um sinal de que você precisa usar o fio dental com mais atenção. Use-o com delicadeza para remover a placa bacteriana.
É possível que a gengivite expulsiva volte depois de tratada?
Sim, ela pode voltar se você não mantiver uma boa higiene bucal. A gengivite é influenciada pelos seus hábitos diários. Mantenha a escovação e o fio dental em dia.
Tratar a gengivite expulsiva começa com uma higiene bucal impecável e visitas regulares ao dentista. Não deixe a inflamação avançar, viu? Cuidar bem da sua gengiva é essencial para um sorriso saudável e bonito por mais tempo. Se você curtiu essas dicas, que tal conferir também sobre como escolher a escova de dente ideal?

