Como tratar a periodontite agressiva juvenil? É frustrante ver a gengiva retrair e os dentes ficarem moles, especialmente quando é algo que afeta os mais novos. Mas fica tranquila, tem jeito! Neste post, eu vou te mostrar as abordagens mais eficazes para lidar com essa condição. Vamos descomplicar esse assunto e cuidar da saúde bucal!
Periodontite Agressiva Juvenil: Entendendo a Situação
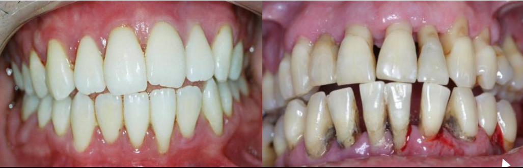
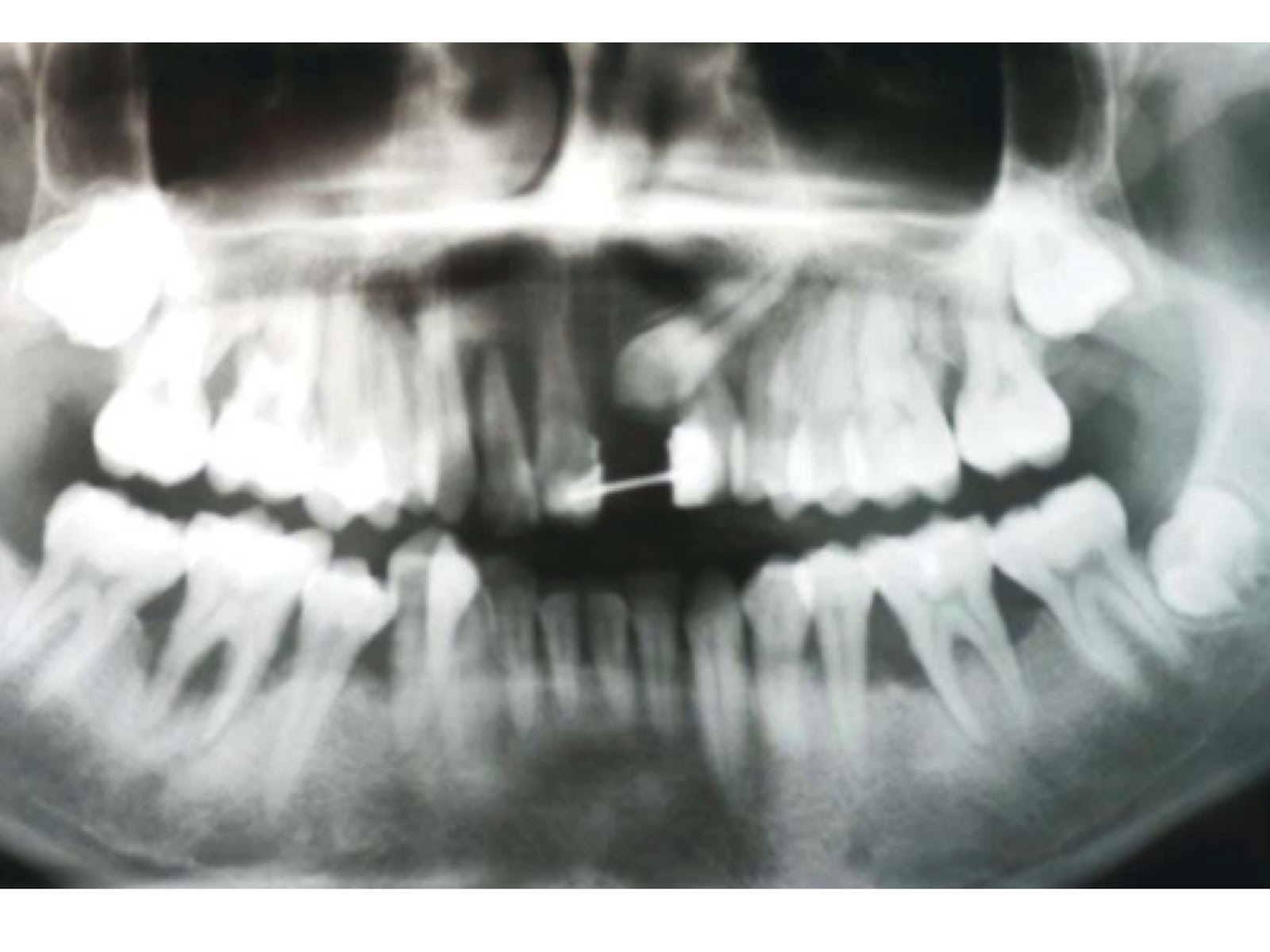
A periodontite agressiva juvenil é uma doença gengival séria que afeta jovens. Ela causa destruição rápida do osso e dos tecidos que sustentam os dentes. O diagnóstico precoce é crucial para evitar a perda dentária.
O tratamento foca em controlar a infecção bacteriana e restaurar a saúde periodontal. Um plano personalizado, com higiene oral rigorosa e acompanhamento profissional constante, é essencial para o sucesso a longo prazo. Ignorar os sinais pode ter consequências graves.
Confira este vídeo relacionado para mais detalhes:
O Que Fazer Para Combater a Periodontite Agressiva Juvenil?

O primeiro passo: Diagnóstico Preciso e Rápido
Vamos direto ao ponto sobre como tratar a periodontite agressiva juvenil. O primeiro passo é crucial: um diagnóstico rápido e preciso. Não dá para brincar com isso, sabe? Um dentista experiente vai ser capaz de identificar os sinais logo de cara. Ele vai olhar para as gengivas, verificar a perda óssea e avaliar a velocidade com que isso acontece. Isso é fundamental porque a periodontite agressiva juvenil tem suas particularidades e precisa de uma abordagem específica.

Entender a causa raiz é parte desse diagnóstico. Às vezes, fatores genéticos podem estar envolvidos, e isso a gente não controla. Mas outras vezes, o acúmulo de placa bacteriana e a dificuldade em fazer a higiene correta acabam contribuindo. O dentista vai investigar tudo isso com exames clínicos e, se necessário, radiografias. Ele vai querer saber o histórico familiar, seus hábitos de higiene e se você tem alguma condição de saúde que possa influenciar.
A partir daí, ele planeja o tratamento. Pode envolver limpeza profunda para remover bactérias e tártaro, e em alguns casos, até o uso de antibióticos para controlar a infecção. O acompanhamento é contínuo, pois o objetivo é estabilizar a doença e prevenir que ela avance. Fica tranquila, o importante é agir rápido e seguir as orientações médicas à risca.
Dica Prática: Converse abertamente com seu dentista sobre todas as suas preocupações e tire todas as suas dúvidas. Saber o que está acontecendo é o primeiro passo para se sentir mais segura no tratamento.

Entendendo a Higiene Bucal Adequada para Casos Específicos
Oi! Vamos falar sobre um assunto sério, mas super importante: a periodontite agressiva juvenil. Se você tem filhos nessa fase, ou conhece alguém, fica atenta. Essa condição afeta os mais jovens e pode trazer sérios problemas se não for tratada direitinho. É um tipo de doença periodontal que avança rápido e mexe com a estrutura de suporte dos dentes. Pois é, dói falar, mas é preciso.

Entender como tratar a periodontite agressiva juvenil é crucial. O primeiro passo, e o mais importante, é buscar um dentista. Essa não é uma daquelas coisas que a gente resolve com dica caseira. O profissional vai avaliar o quadro, identificar a bactéria e indicar o tratamento correto. Isso geralmente envolve limpeza profunda, às vezes com antibióticos, e um acompanhamento bem de perto. Fica tranquila, com o tratamento certo, dá para controlar.
O segredo aqui é a disciplina. Depois do tratamento profissional, a higiene bucal em casa tem que ser impecável. Escovação caprichada e uso de fio dental todos os dias são essenciais. O dentista vai te orientar sobre os melhores produtos e técnicas para o caso específico. E claro, as consultas de retorno são sagradas. Vamos combinar: cuidar da saúde bucal dos nossos jovens é um ato de amor.
Dica Prática: Incentive seu filho a escovar os dentes e usar fio dental com o mesmo empenho que ele tem nos estudos ou no esporte. Transforme isso em um hábito diário inegociável.

O Papel Fundamental da Limpeza Profissional
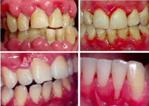
A periodontite agressiva juvenil, quando não tratada, pode trazer sérias consequências para a saúde bucal. Por isso, a limpeza profissional não é só um cuidado estético, é a base para o controle dessa condição. Dentistas e higienistas têm as ferramentas e o conhecimento para remover aquela placa bacteriana e o tártaro que o dia a dia em casa não alcança. É um passo fundamental para frear a progressão da doença.

Nesse tratamento, o foco é a remoção minuciosa das bactérias. Os profissionais utilizam instrumentos específicos para limpar profundamente as bolsas periodontais, que são aquelas espaços que se formam entre o dente e a gengiva quando a doença avança. O objetivo é criar um ambiente bucal mais saudável, onde a gengiva possa começar a se recuperar e a inflamação diminua. É um trabalho delicado, que exige precisão.
Entender o que causa a periodontite agressiva juvenil é tão importante quanto o tratamento. Fatores genéticos podem ter um papel, mas a higiene bucal inadequada e a presença de bactérias específicas são os grandes vilões. O acompanhamento regular com o dentista é o que garante que você esteja no caminho certo, ajustando o tratamento conforme a necessidade do seu filho ou filha.
Dica Prática: Ensine desde cedo a importância de escovar os dentes e usar fio dental todos os dias, focando nas áreas próximas à gengiva, mesmo que pareça saudável.

Opções de Tratamento Tópico e Sistêmico
Se você ou alguém que você conhece está lidando com periodontite agressiva juvenil, saiba que existem caminhos eficazes para o tratamento. A primeira linha de ataque geralmente envolve procedimentos feitos no consultório do dentista. São eles que vão limpar profundamente as bolsas periodontais, removendo o máximo possível da bactéria que causa o problema. Isso é crucial para frear a progressão da doença.

Além da limpeza profissional, o tratamento pode incluir medicamentos. Antissépticos tópicos, como enxaguantes bucais específicos, ajudam a controlar a quantidade de bactérias na boca. Em alguns casos, o dentista pode prescrever antibióticos sistêmicos (tomados por via oral) para combater a infecção de forma mais intensa. A escolha do medicamento e a forma de uso são sempre individualizadas, levando em conta o quadro clínico de cada paciente.
O acompanhamento regular com o dentista é fundamental. Ele vai monitorar a resposta ao tratamento e ajustar as condutas se necessário. Manter uma higiene bucal rigorosa em casa, com escovação e uso de fio dental adequados, é sua parte nessa batalha. Para quem tem periodontite agressiva juvenil, o controle da placa bacteriana é o grande segredo para o sucesso a longo prazo. Fique atenta aos sinais e procure ajuda profissional.
Dica Prática: Use escovas interdentais para limpar os espaços entre os dentes, pois são áreas que a escova comum não alcança e onde as bactérias adoram se esconder.

O Uso Estratégico de Antibióticos e Antimicrobianos
Quando falamos em periodontite agressiva juvenil, o uso de antibióticos e antimicrobianos é uma parte super importante do tratamento. Não é uma escolha aleatória, viu? O dentista vai avaliar a situação da sua boca, quais bactérias estão causando a inflamação e qual o melhor caminho para combatê-las. Geralmente, o objetivo é controlar a infecção e ajudar a gengiva a se recuperar. Fica tranquila que é tudo feito com muito cuidado.

Essa abordagem com medicamentos não age sozinha. Ela vem junto com a limpeza profissional que o dentista faz e, claro, com a sua rotina de higiene em casa. O antimicrobiano entra para dar aquele reforço onde a escova e o fio dental não conseguem chegar com tanta eficácia. É uma combinação pensada para limpar a fundo e impedir que as bactérias voltem com força total.
É fundamental seguir à risca a prescrição do dentista, tanto a dose quanto o tempo de tratamento. Interromper antes do tempo ou usar de forma incorreta pode não resolver o problema e ainda criar resistência nas bactérias. A periodontite agressiva juvenil precisa de atenção especial, e essa medicação faz parte desse plano.
Dica Prática: Converse abertamente com seu dentista sobre todas as suas dúvidas em relação ao uso dos antibióticos. Entender o processo ajuda muito a seguir o tratamento direitinho.

Controle da Infecção e Regeneração Tecidual

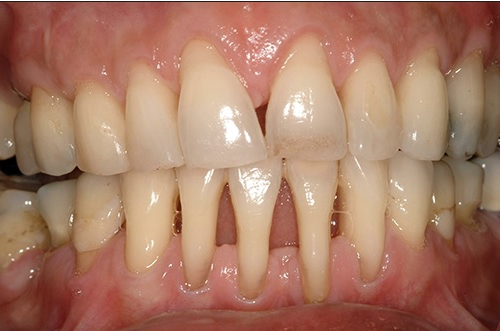
A regeneração tecidual entra em cena depois que a inflamação está sob controle. O objetivo é recuperar os tecidos que foram danificados pela doença. Isso pode envolver procedimentos como raspagem e alisamento radicular para limpar as bolsas periodontais. Em casos mais avançados, a gente pode pensar em enxertos ósseos ou de gengiva, tudo para ajudar o corpo a se reconstruir.
O acompanhamento profissional é fundamental. Consultas regulares com o dentista e o periodontista garantem que o tratamento esteja funcionando e que não haja recaídas. Eles vão monitorar a progressão, ajustar o plano de tratamento se necessário e te orientar em cada etapa. Vamos combinar, cuidar da saúde é sempre o melhor caminho!
Dica Prática: Use um creme dental com flúor e um enxaguante bucal antisséptico, mas sempre converse com seu dentista antes de usar qualquer produto novo.

A Importância do Acompanhamento Pós-Tratamento
É fundamental entender que o tratamento da periodontite agressiva juvenil não termina quando a inflamação diminui. O acompanhamento pós-tratamento é uma etapa crucial para garantir a saúde bucal a longo prazo. Sem ele, o risco de a doença retornar ou progredir é alto. Pense nisso como seguir um plano de manutenção depois de algo sério. Eu, por exemplo, sempre reforço com meus pacientes a importância de não abandonar o dentista depois que tudo parece bem. Essa constância faz toda a diferença.

Nessa fase, as visitas regulares ao dentista são o foco principal. O profissional irá monitorar a cicatrização dos tecidos, verificar se há acúmulo de placa e tártaro, e avaliar a saúde gengival. Ele pode ajustar as orientações de higiene bucal, que são super importantes no dia a dia. Em alguns casos, pode ser necessário um retratamento ou a adaptação do plano de cuidados. Cada caso é único, por isso o acompanhamento é personalizado.
A frequência dessas consultas será definida pelo seu dentista, mas geralmente são mais próximas no início. A boa notícia é que, com o acompanhamento correto, a periodontite agressiva juvenil pode ser controlada. É um compromisso com a sua saúde. Vamos combinar, cuidar dos dentes é cuidar da saúde como um todo. Se você busca como tratar a periodontite agressiva juvenil, saiba que o acompanhamento é a chave para o sucesso.
Dica Prática: Agende suas consultas de acompanhamento assim que terminar o tratamento inicial. Não espere sentir algum desconforto para retornar.

Quando Considerar a Cirurgia Periodontal
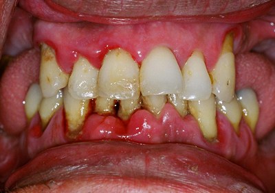
Vamos falar sério agora sobre periodontite agressiva juvenil. Se você ou alguém que você conhece está lidando com isso, sabe que é um assunto delicado. Basicamente, quando a doença periodontal avança e a inflamação já causou perdas ósseas significativas, a cirurgia pode ser o caminho. É aquela situação em que a limpeza profunda que fazemos não consegue mais alcançar as bactérias mais problemáticas.

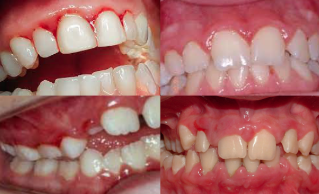
Eu já vi casos onde a gengiva se retrai muito, deixando a raiz do dente exposta. Isso não é só questão estética, viu? Aumenta a sensibilidade e o risco de cáries nessa área. A cirurgia periodontal entra para tentar recuperar o suporte dos dentes, removendo as bolsas periodontais e, em alguns casos, até regenerando o osso perdido. É um procedimento para quando outras abordagens não foram suficientes, entende?
O objetivo principal da cirurgia é tornar a área mais fácil de limpar, removendo as bactérias que se escondem nas bolsas profundas. Isso ajuda a parar a progressão da doença e a salvar os dentes. É um passo importante para quem busca um tratamento mais completo contra a periodontite agressiva juvenil, pensando na saúde bucal a longo prazo.
Dica Prática: Converse abertamente com seu dentista sobre as opções cirúrgicas. Ele poderá te explicar qual técnica é a mais indicada para o seu caso e o que esperar do pós-operatório.

Nutrição e Seu Impacto na Saúde Gengival

A gente sabe que o corpo todo reage ao que a gente ingere. Na periodontite agressiva juvenil, o sistema imunológico pode estar um pouco desregulado, e uma dieta rica em vitaminas e minerais ajuda a dar um gás nesse combate. Coisas como vitamina C, vitamina D, cálcio e antioxidantes são aliadas e fazem uma baita diferença para a saúde gengival. Elas ajudam a reduzir a inflamação e fortalecem os tecidos.
Vamos combinar, ninguém quer ter problemas com a gengiva. Focar em uma alimentação equilibrada, com muitas frutas, verduras e grãos integrais, é um passo e tanto. Evitar o excesso de açúcar e alimentos processados também ajuda a manter a inflamação sob controle. Lembre-se que o dentista é seu melhor amigo nessa hora, ele vai te guiar no melhor tratamento. E não se esqueça de cuidar da higiene bucal direitinho!
Dica Prática: Inclua mais folhas verdes escuras e frutas cítricas na sua rotina. Elas são fontes incríveis de vitaminas que suas gengivas agradecem!

Apoio Psicológico e Motivação Contínua
Quando falamos de periodontite agressiva juvenil, o impacto vai muito além da saúde bucal. Para você, que está passando por isso ou cuidando de alguém, o lado emocional é forte. A preocupação, o desconforto e às vezes até a vergonha podem pesar. É fundamental reconhecer que esse apoio psicológico é uma parte importante do tratamento. Não é só sobre os dentes, é sobre o bem-estar completo da pessoa.

Manter a motivação em dia, especialmente com um tratamento que exige constância e cuidados diários, pode ser um desafio. A gente sabe que o caminho às vezes parece longo. Por isso, buscar conversar com profissionais que entendem não só do assunto, mas também do impacto psicológico, faz toda a diferença. Ter um espaço para expressar seus medos e angústias é libertador.
O acompanhamento psicológico ajuda a criar estratégias para lidar com a ansiedade e a frustração. Além disso, fortalece a confiança para seguir o plano de tratamento. Lembre-se que você não está sozinha nessa. Existem recursos e pessoas dispostas a ajudar a atravessar essa fase com mais leveza.
Dica Prática: Encontre um grupo de apoio ou um terapeuta especializado em saúde e bem-estar para compartilhar suas experiências e receber suporte.
Prevenindo o Avanço da Doença
| Item | O Que Significa? | Dicas da Autora |
|---|---|---|
| O primeiro passo: Diagnóstico Preciso e Rápido | Identificar a periodontite agressiva o quanto antes é crucial. Isso envolve exames clínicos e radiográficos detalhados. | Não hesite em procurar um especialista. Quanto mais cedo o diagnóstico, maiores as chances de sucesso no tratamento. Confie nos seus instintos se algo não parece certo com sua gengiva ou dentes. |
| Entendendo a Higiene Bucal Adequada para Casos Específicos | Higiene personalizada para conter a agressividade da doença. Escovação e uso de fio dental específicos para sua condição. | Seu dentista vai te indicar as melhores ferramentas e técnicas. Use e abuse das orientações, pois a escovação em casa faz toda a diferença. Pergunte sem medo como fazer certo. |
| O Papel Fundamental da Limpeza Profissional | Tartar e placa bacteriana que não saem com a escovação em casa precisam ser removidos por um profissional. | As limpezas no consultório são essenciais para remover o que você não consegue em casa. Mantenha a frequência que seu dentista recomendar, é para o seu bem. |
| Opções de Tratamento Tópico e Sistêmico | Medicamentos aplicados diretamente na área afetada (tópico) ou que agem no corpo todo (sistêmico). | Geralmente são géis, pastas ou enxaguatórios específicos. A medicação sistêmica é para infecções mais avançadas. Siga à risca o que o médico ou dentista prescrever. |
| O Uso Estratégico de Antibióticos e Antimicrobianos | Medicamentos para combater as bactérias responsáveis pela inflamação e destruição dos tecidos. | São ferramentas importantes quando a infecção é severa. O uso deve ser sempre sob orientação profissional para evitar resistência. E o tratamento deve ser completo. |
| Controle da Infecção e Regeneração Tecidual | Eliminar as bactérias e estimular a recuperação dos tecidos danificados pela doença. | O controle da infecção é o primeiro passo para a cicatrização. Em alguns casos, existem técnicas que podem ajudar a regenerar o osso e a gengiva perdidos. |
| A Importância do Acompanhamento Pós-Tratamento | Visitas regulares ao dentista para monitorar a saúde bucal e prevenir o retorno da doença. | O tratamento não termina com a última consulta. Acompanhamento é vital para manter a doença sob controle a longo prazo. Não se afaste do seu dentista. |
| Quando Considerar a Cirurgia Periodontal | Procedimentos cirúrgicos para tratar casos mais avançados, onde a doença já causou perda óssea significativa. | A cirurgia é para situações específicas onde outros tratamentos não foram suficientes. É uma forma de parar a progressão e, em alguns casos, recuperar estruturas perdidas. |
| Nutrição e Seu Impacto na Saúde Gengival | Uma dieta equilibrada fortale |
Confira este vídeo relacionado para mais detalhes:
Mitos e Verdades Sobre a Periodontite Juvenil
Vamos desmistificar um pouco essa questão da periodontite agressiva juvenil. Eu sei que o nome assusta, mas com as informações certas, a gente lida com isso de boa. Fica tranquila, vou te dar umas dicas práticas que funcionam.
- Mito: É só um problema de adulto. Não é verdade! Essa forma mais agressiva pode aparecer sim em jovens, até na adolescência. Por isso, o acompanhamento cedo é fundamental.
- Verdade: A genética tem um papel. Pois é, se tem histórico na família, o risco aumenta. Mas isso não é sentença! Cuidando direitinho, a gente controla.
- Mito: Não tem jeito, o dente vai cair. Pelo amor de Deus, não é bem assim! Com tratamento correto e o seu empenho nos cuidados em casa, dá para segurar esses dentes firmes no lugar. Confia em mim.
- Verdade: Higiene bucal impecável é a chave. E não é só escovar e usar fio dental de qualquer jeito. É preciso uma técnica certinha e regularidade máxima.
Para você colocar a mão na massa em casa, o segredo é a disciplina:
- Escovação Rigorosa: Use uma escova de dentes macia e capriche em todos os ângulos, especialmente na linha da gengiva. Faça isso no mínimo duas vezes ao dia.
- Fio Dental Diário: Não pule essa etapa, mesmo que pareça trabalhoso. O fio dental remove o que a escova não alcança, que é justamente onde a sujeira mais se acumula.
- Visitas ao Dentista: Consultas regulares não são opcionais. É na clínica que se faz a limpeza profissional e o dentista avalia se o tratamento está funcionando.
- Evite Fumar: Se o jovem fuma, parar é uma das melhores coisas que ele pode fazer pela saúde
Dúvidas das Leitoras
A periodontite agressiva juvenil é hereditária?
Pode haver uma predisposição genética, sim. Se há histórico familiar de problemas periodontais, fique mais atenta aos seus filhos.
Quais são os primeiros sinais que devo observar?
Gengivas que sangram facilmente, inchaço e vermelhidão são os primeiros alertas. Mau hálito persistente também pode indicar algo. Observe o sorriso do seu filho atentamente.
Posso tratar em casa sem ir ao dentista?
Não, de jeito nenhum. A periodontite agressiva juvenil exige acompanhamento profissional. Somente um dentista pode diagnosticar e indicar o tratamento correto.
Esse tipo de periodontite pode voltar após o tratamento?
Com o tratamento adequado e acompanhamento regular, as chances de retorno são baixas. A higiene bucal em casa é fundamental para manter os resultados.
Existe alguma dieta específica que ajude no tratamento?
Uma dieta balanceada, rica em vitaminas e minerais, fortalece o sistema imunológico e contribui para a saúde geral. Evite excesso de açúcar e alimentos processados.
Tratar a periodontite agressiva juvenil exige acompanhamento profissional constante. Siga o tratamento odontológico rigorosamente e mantenha uma higiene bucal impecável em casa. Lembre-se que pequenas mudanças diárias fazem uma grande diferença. Se você se interessou por cuidados com a saúde bucal, explore também como manter o esmalte dos dentes forte. Compartilhe suas experiências nos comentários!

