Você busca saber como tratar a periodontite avançada e sente que sua saúde bucal está em risco? A periodontite avançada pode ser assustadora, mas a verdade é que existem caminhos claros para reverter o quadro e salvar seus dentes. Neste conteúdo, eu vou te guiar pelos tratamentos essenciais e pelas estratégias que realmente funcionam para recuperar seu sorriso e sua saúde. Prepare-se para entender a fundo o que fazer.
Entendendo a Profundidade: A Raspagem e Alisamento Radicular como Base do Tratamento da Periodontite Avançada
O primeiro passo, e talvez o mais crucial, é a raspagem e o alisamento radicular. Pense nisso como uma limpeza profunda, indo muito além do que você faz em casa.
Nós removemos o tártaro e a placa bacteriana que se acumulam debaixo da linha da gengiva, onde a escova e o fio dental não alcançam.
Essa intervenção limpa as chamadas “bolsas periodontais”, criando um ambiente menos hostil para suas gengivas e ossos.
É o alicerce para qualquer outro tratamento e essencial para conter a progressão da doença.
“O tratamento da periodontite avançada foca no controle da infecção bacteriana e na estancagem da perda óssea, com acompanhamento vitalício.”

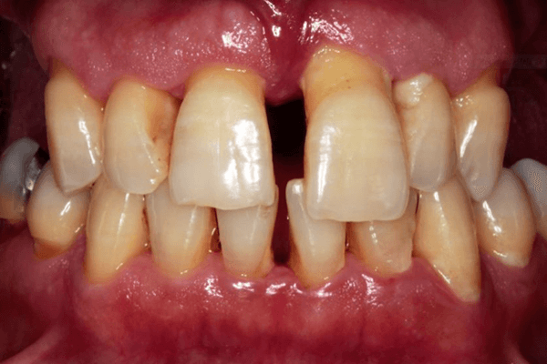
Periodontite Avançada: A Verdade Que Seu Dentista Não Conta
A periodontite avançada é um estágio sério da doença periodontal, onde a inflamação e infecção atingiram tecidos de suporte profundos dos dentes, como o osso alveolar e o ligamento periodontal. Ignorar os primeiros sinais pode levar a consequências irreversíveis, incluindo a perda dentária. Compreender a fundo o que acontece e quais são as abordagens de tratamento é o primeiro passo para reverter ou, no mínimo, controlar essa condição devastadora.
Este guia explora as verdades por trás da periodontite avançada, desmistificando os procedimentos e apresentando as estratégias mais eficazes para combatê-la. Meu objetivo é fornecer um panorama completo, desde as intervenções iniciais até as cirurgias reconstrutivas, capacitando você a tomar decisões informadas sobre sua saúde bucal.
| Característica | Descrição |
| Doença | Periodontite Avançada |
| Causa Principal | Acúmulo de placa bacteriana e tártaro, inflamação gengival crônica |
| Impacto | Perda óssea, mobilidade dentária, retração gengival, perda dentária |
| Tratamento Inicial | Limpeza profunda, controle de fatores sistêmicos |
| Tratamentos Avançados | Cirurgias periodontais, enxertos, regeneração tecidual |
| Manutenção | Consultas regulares, higienização rigorosa |

Etapa Não Cirúrgica (Controle Inicial)
Antes de qualquer intervenção cirúrgica, o foco está em controlar a inflamação e a infecção de maneira menos invasiva. Esta fase é crucial para estabilizar o quadro e preparar os tecidos para procedimentos futuros, se necessários. O sucesso aqui depende muito da colaboração do paciente na higienização diária.

Raspagem e Alisamento Radicular
Este é o procedimento base no tratamento da periodontite. Consiste em uma limpeza profunda que vai além do que a escovação diária alcança. Remove-se meticulosamente o tártaro e a placa bacteriana que se acumularam abaixo da linha da gengiva, incluindo o raspagem das raízes dos dentes. O objetivo é criar uma superfície radicular lisa, dificultando o reestabelecimento das bactérias e permitindo que a gengiva se una novamente ao dente.

Uso de Antibióticos
Em casos de infecção mais severa ou quando a doença se manifesta de forma agressiva, os antibióticos tornam-se aliados importantes. Eles podem ser prescritos tanto de forma sistêmica (oral) quanto local (diretamente nas bolsas periodontais). Sua função é eliminar as bactérias mais resistentes que persistem mesmo após a raspagem, controlando a infecção e auxiliando na cicatrização dos tecidos.

Controle de Doenças Sistêmicas
A saúde bucal e a saúde geral estão intrinsecamente ligadas. Condições como o diabetes descompensado e o tabagismo são fatores que agravam significativamente a periodontite, acelerando a perda óssea e dificultando a recuperação. Portanto, um controle rigoroso dessas doenças, com ajustes no tratamento do diabetes e a cessação do tabagismo, é fundamental para o sucesso a longo prazo do tratamento periodontal.

Etapa Cirúrgica (Intervenções Avançadas)
Quando a doença periodontal já causou danos significativos no osso e nos tecidos de suporte, as abordagens cirúrgicas se tornam necessárias. Elas visam reparar os danos, regenerar o tecido perdido e restabelecer a estrutura de suporte dos dentes, devolvendo estabilidade e saúde.

Cirurgia de Retalho
Esta técnica cirúrgica permite um acesso mais direto às raízes dos dentes e ao osso alveolar. A gengiva é cuidadosamente afastada, como um retalho, expondo a área afetada. Isso possibilita uma limpeza mais minuciosa e a remoção de tártaro e inflamação que estavam inacessíveis. Após a limpeza, a gengiva é reposicionada, muitas vezes com suturas, para facilitar a cicatrização e a adesão gengival.

Enxerto Ósseo
Em situações de perda óssea considerável, o enxerto ósseo é uma solução reconstrutiva. Fragmentos de osso do próprio paciente, de doadores ou materiais sintéticos são utilizados para preencher os defeitos ósseos. O objetivo é restabelecer o suporte ósseo perdido, o que é essencial para estabilizar dentes que se tornaram móveis devido à doença periodontal.

Enxerto de Tecido Mole (Gengival)
A retração gengival severa, comum na periodontite avançada, expõe as raízes dos dentes, causando sensibilidade e aumentando o risco de cáries. O enxerto de tecido mole, geralmente retirado do palato do paciente, é utilizado para cobrir essas raízes expostas. Ele reforça a gengiva, protege a raiz e melhora a estética do sorriso.

Regeneração Tecidual Guiada
Esta técnica utiliza membranas especiais, biocompatíveis, que são posicionadas entre a gengiva e o osso perdido. A membrana atua como uma barreira física, impedindo que o tecido gengival invada o espaço onde o osso e o ligamento periodontal deveriam se regenerar. Isso cria um ambiente controlado para que as células ósseas e do ligamento periodontal possam se multiplicar e reconstruir o tecido destruído pela doença.
Manutenção e Casos Extremos
Mesmo após os tratamentos mais complexos, a periodontite avançada exige vigilância constante. A fase de manutenção é tão importante quanto o tratamento ativo para prevenir a recidiva da doença.
Extração Dentária
Quando a perda de suporte ósseo é total e o dente não apresenta mais condições de ser salvo, a extração torna-se a única opção. O objetivo é eliminar um foco infeccioso que poderia comprometer a saúde geral e os dentes vizinhos, além de preparar o local para futuras reabilitações, como implantes dentários.
Consultas Periódicas
Após o tratamento ativo, seja ele cirúrgico ou não, as consultas de manutenção são indispensáveis. Eu recomendo retornos a cada três a seis meses para limpezas profissionais e um monitoramento rigoroso. Essa frequência permite identificar precocemente qualquer sinal de recidiva e intervir antes que a doença avance novamente.
Higienização Diária Impecável
Vamos combinar, o sucesso de qualquer tratamento periodontal depende, em grande parte, da sua rotina de higiene bucal em casa. Uma higienização diária impecável, que vai além da escovação básica, é essencial. O uso de fio dental diariamente e, em muitos casos, de escovas interdentais, é fundamental para remover a placa bacteriana e os restos de alimentos das áreas de difícil acesso, impedindo a progressão da doença.
Resultados Esperados
O tratamento da periodontite avançada visa, primordialmente, parar a progressão da doença e salvar os dentes que ainda podem ser mantidos. Os resultados esperados incluem a redução ou eliminação das bolsas periodontais, a diminuição da inflamação gengival e o controle da mobilidade dentária. A regeneração óssea e gengival pode ocorrer em graus variados, dependendo da técnica utilizada e da resposta individual do paciente.
É importante ter expectativas realistas. Em muitos casos, o objetivo é a estabilização da doença e a manutenção da saúde bucal a longo prazo, e não uma reversão completa dos danos. A chave para o sucesso é o compromisso contínuo com a higiene oral e as consultas de acompanhamento. Pois é, cuidar da sua boca é um compromisso para a vida toda, mas os resultados – dentes saudáveis e um sorriso bonito – valem cada esforço.
Dicas Extras
- Mantenha a calma: O diagnóstico de periodontite avançada pode assustar, mas com o tratamento correto e acompanhamento, é possível controlar a doença e preservar seus dentes.
- Comunicação é chave: Converse abertamente com seu dentista sobre suas preocupações, o que você sente e quais são suas expectativas. Tire todas as suas dúvidas.
- Não se culpe: A periodontite é uma doença complexa, influenciada por diversos fatores. O importante agora é focar no tratamento e na prevenção futura.
- Pacote completo: Lembre-se que o tratamento não é só na clínica. A higienização diária impecável em casa é a sua principal arma contra a progressão da doença.
- Estilo de vida: Se você fuma ou tem diabetes, o controle dessas condições é fundamental para o sucesso do tratamento periodontal. Converse com seu médico e dentista sobre isso.
Dúvidas Frequentes
A periodontite avançada pode ser curada?
A periodontite avançada é uma condição crônica que pode ser controlada, mas não completamente curada. O objetivo do tratamento é interromper a progressão da doença, eliminar a inflamação e regenerar os tecidos perdidos, sempre que possível. A manutenção periodontal regular é essencial para evitar a reincidência.
Quais os riscos de não tratar a periodontite avançada?
Não tratar a periodontite avançada pode levar à perda óssea significativa, mobilidade dentária e, eventualmente, à perda dos dentes. Além disso, a inflamação crônica na gengiva pode afetar a saúde geral, estando associada a problemas cardíacos, diabetes descontrolado e outras condições sistêmicas.
Existe alguma cirurgia para regenerar o osso perdido na periodontite?
Sim, existem procedimentos cirúrgicos como o enxerto ósseo e a regeneração tecidual guiada que visam restaurar o suporte ósseo perdido. Essas técnicas podem ajudar a estabilizar os dentes e criar um ambiente mais saudável para a gengiva, sendo parte importante das fases do tratamento periodontal em casos específicos.
O Caminho Para um Sorriso Saudável
Enfrentar a periodontite avançada exige comprometimento, mas os resultados valem a pena. Com o tratamento adequado, que envolve desde limpezas profundas até possíveis cirurgias para periodontite, e um cuidado diário rigoroso, você pode recuperar a saúde da sua gengiva e manter seus dentes. Lembre-se de que o acompanhamento profissional e a atenção aos detalhes, como a importância do controle de doenças sistêmicas no tratamento periodontal, são seus maiores aliados nessa jornada. Explore mais sobre as opções de regeneração óssea para periodontite e mantenha-se informado.

