Como tratar a periodontite crônica moderada? Se você está lidando com gengiva sangrando e retração, saiba que não está sozinha. Essa condição afeta muita gente e pode piorar se não cuidarmos direito. Mas calma! Neste post, eu vou te mostrar o caminho para reverter esse quadro e ter um sorriso saudável de volta. Vamos lá?
Periodontite Crônica Moderada: Entendendo o Que Acontece e Por Que Ignorar Não é Uma Opção
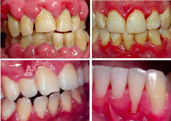
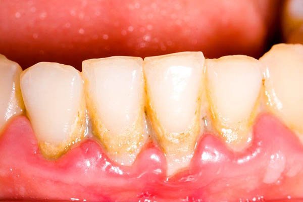
A periodontite crônica moderada é uma inflamação séria das gengivas e estruturas que sustentam os dentes. Ela avança, podendo levar à perda óssea e, consequentemente, à perda dos dentes. É uma condição que se desenvolve gradualmente, sem dar muitos sinais no início. Por isso, identificar e tratar é essencial.
Ignorar a periodontite crônica moderada só piora o quadro. Ela pode afetar sua saúde geral, não apenas a bucal. O tratamento adequado, com acompanhamento profissional, reverte ou estabiliza o quadro. Manter a higiene oral rigorosa e seguir as orientações do dentista são passos fundamentais para recuperar a saúde do seu sorriso.
Confira este vídeo relacionado para mais detalhes:
Seu Guia Passo a Passo Para Recuperar a Saúde Bucal

Diagnóstico Preciso: O Primeiro Passo Para a Cura
Você sabe, a periodontite crônica moderada não some sozinha. O primeiro passo, e eu bato muito nessa tecla, é ter um diagnóstico preciso. Sem isso, a gente fica dando murro em ponta de faca. É o dentista, com um bom exame clínico e, se precisar, radiografias, que vai te dizer exatamente o que tá acontecendo. Só assim dá pra traçar o caminho certo pra cuidar da sua saúde bucal de verdade.

Essa fase moderada significa que a doença já avançou um pouco. Os tecidos que sustentam seus dentes estão mais comprometidos. Por isso, o tratamento é focado em parar o avanço. Remover o tártaro profundo, que é aquela sujeira endurecida que a escova não alcança, e limpar bem as bolsas periodontais é essencial. Seu dentista vai usar instrumentos específicos pra isso. Pode ser que ele recomende limpezas mais frequentes ou até um tipo de cirurgia.
O tratamento da periodontite crônica moderada exige acompanhamento. Não é uma coisa que se resolve em uma única consulta. A gente precisa manter essa limpeza em dia e, claro, melhorar muito a higiene em casa. Você vai aprender técnicas específicas de escovação e o uso correto do fio dental. Fica tranquila, com dedicação e o apoio profissional certo, é totalmente possível controlar essa condição e manter seus dentes saudáveis.
Dica Prática: Use um fio dental com mais firmeza, deslizando ele em todos os lados de cada dente e um pouco abaixo da linha da gengiva.

Limpeza Profunda (Raspagem e Alisamento Radicular): Removendo a Causa
Quando a gente fala de periodontite crônica moderada, a raiz do problema são as bactérias que se acumulam e causam inflamação. Para tratar, o primeiro passo é uma limpeza profunda, sabe? É a raspagem e o alisamento radicular. Pensa nisso como dar um jeito na casa: a gente tira toda a sujeira que se acumulou debaixo da linha da gengiva. Isso remove o tártaro e as bactérias que ficam presas nas raízes dos dentes, que é o que causa a doença.

Esse procedimento, o dentista faz com instrumentos especiais. É super importante para parar a progressão da doença. Não é só uma limpeza superficial, é algo mais minucioso, que vai lá nas raízes para deixar tudo lisinho e sem os bichinhos que fazem mal. É nesse momento que a gente remove a causa raiz da inflamação gengival. Depois disso, a gengiva começa a se recuperar e a ficar mais firme.
Manter a higiene em casa depois dessa limpeza é essencial para o sucesso do tratamento. Escovar direitinho, usar fio dental todos os dias, e seguir as recomendações do seu dentista são passos cruciais para garantir que a periodontite não volte com tudo. É um cuidado contínuo, mas que faz toda a diferença para a saúde bucal.
Dica Prática: Invista em uma escova interdental para limpar os espaços entre os dentes, especialmente se a gengiva já deu uma retraída. Ela alcança onde o fio dental às vezes tem dificuldade.

Medicações Essenciais: O Aliado No Controle da Infecção
Quando a gente fala de periodontite crônica moderada, é crucial entender que a base do tratamento envolve controlar a inflamação e as bactérias. As medicações entram em cena para dar um reforço nesse processo. Geralmente, o dentista pode prescrever antibióticos, que são fundamentais para eliminar as bactérias nocivas que estão atacando a gengiva e os ossos que sustentam os dentes. A escolha do antibiótico e a dosagem correta são pensadas para cada caso, visando a máxima eficácia.

Além dos antibióticos, outras medicações podem ser indicadas. Anti-inflamatórios, por exemplo, ajudam a reduzir o inchaço e o desconforto, que são sintomas bem chatinhos da periodontite. Em alguns casos, o dentista pode sugerir o uso de antissépticos bucais específicos, que complementam a higiene diária e ajudam a manter a carga bacteriana sob controle. O importante aqui é seguir à risca as orientações médicas, pois o uso indevido dessas substâncias pode não trazer o resultado esperado.
A combinação de medicamentos com uma boa higiene bucal é o que realmente faz a diferença. Não adianta usar a medicação certinha e descuidar da escovação e do fio dental, viu? É um trabalho em equipe entre você e seu dentista. Lembre-se que o tratamento da periodontite é contínuo e exige acompanhamento regular para garantir que a doença esteja sob controle e seus dentes e gengivas saudáveis.
Dica Prática: Se seu dentista receitou antibióticos, complete todo o ciclo do tratamento, mesmo que você já se sinta melhor antes do tempo. Interromper a medicação cedo pode fazer com que as bactérias mais resistentes sobrevivam e a infecção retorne.

Antibióticos: Quando e Como Usar Com Segurança
Sabe aquela dorzinha chata no dente que insiste em voltar? Ou o sangramento que aparece na escovação e parece não ter fim? Pois é, isso pode ser um sinal de periodontite crônica moderada. E quando a coisa aperta, a gente logo pensa em remédio, né? Mas olha, com antibiótico não dá pra brincar. Usar por conta própria é um erro grave. A gente precisa entender que ele só funciona para combater bactérias e que, no caso da periodontite, ele é um complemento, não a cura principal. O dentista é quem vai avaliar se ele é mesmo necessário.

A periodontite crônica moderada tem como base uma inflamação que destrói os tecidos que sustentam nossos dentes. Isso acontece por conta de bactérias que se acumulam na boca. O tratamento principal envolve limpeza profunda feita pelo dentista, removendo o tártaro e a placa bacteriana que estão ali há tempos. Só depois dessa limpeza é que o dentista pode considerar um antibiótico. Ele vai escolher o tipo certo e a dosagem correta para o seu caso específico. Nada de pedir receita na farmácia, tá?
Se você foi diagnosticada com periodontite crônica moderada e seu dentista prescreveu um antibiótico, é fundamental seguir as instruções à risca. Tome o remédio exatamente como foi indicado, nos horários certos e pelo tempo total receitado. Interromper o tratamento antes da hora pode fazer com que as bactérias voltem mais fortes. E lembre-se, a escovação diária e o uso do fio dental são seus maiores aliados no dia a dia para manter a gengiva saudável.
Dica Prática: Para uma boa higiene bucal em casa, alie a escovação com creme dental com flúor a um enxaguante bucal antisséptico recomendado pelo seu dentista, especialmente se você tem gengivite associada à periodontite.

Antissépticos Bucais: Um Reforço Importante
A periodontite crônica moderada pede uma atenção especial, e os antissépticos bucais podem ser um reforço e tanto nessa luta. Eles não substituem a escovação e o fio dental, mas ajudam a controlar as bactérias que causam a inflamação nas gengivas e no osso que sustenta os dentes. Pensa neles como um time extra para manter a boca mais limpa e protegida.

Na hora de escolher, o ideal é conversar com seu dentista. Ele vai indicar um produto que realmente funcione para o seu caso específico. Alguns antissépticos contêm clorexidina, que é excelente para reduzir placa bacteriana, mas precisa ser usado com cuidado e sob orientação profissional para não manchar os dentes. Outros têm ingredientes que ajudam a refrescar o hálito e a combater a inflamação de forma mais suave.
Usar o antisséptico corretamente faz toda a diferença. Lembre-se que ele é um complemento na sua rotina de higiene bucal. Faça o bochecho pelo tempo indicado na embalagem, sem engolir, e evite comer ou beber logo depois para que ele aja com mais eficácia. Fique atenta a qualquer sensibilidade ou alteração, e não hesite em voltar ao dentista.
Dica Prática: Se estiver usando um antisséptico com clorexidina, tente não usá-lo imediatamente após escovar os dentes com pasta de dente com flúor. Espere um pouco para não interferir na ação de nenhum dos dois.

A Importância Crucial da Higiene Bucal Diária e Correta
Sabe, cuidar bem da boca todos os dias faz toda a diferença. Uma higiene bucal correta vai muito além de um sorriso bonito. Ela é essencial para prevenir e controlar doenças gengivais, como a periodontite. Essa condição, quando está em um estágio moderado, exige atenção especial para evitar que avance e cause problemas mais sérios, como a perda dos dentes.

Tratar a periodontite crônica moderada envolve uma rotina rigorosa em casa e acompanhamento profissional. Estou falando de escovação diária e cuidadosa, usando o fio dental todos os dias para limpar onde a escova não alcança, e talvez até um enxaguante bucal indicado pelo seu dentista. Esses cuidados ajudam a remover a placa bacteriana, que é a grande vilã nessas doenças.
É fundamental entender que a periodontite não some sozinha, mas ela pode ser controlada com o tratamento certo. Seu dentista vai te guiar com as melhores técnicas e produtos para o seu caso específico. Vamos combinar que investir tempo na sua saúde bucal hoje é garantir mais qualidade de vida no futuro. Fica tranquila, com disciplina tudo se resolve!
Dica Prática: Ao escovar os dentes, dedique tempo para a região próxima à gengiva, fazendo movimentos suaves e circulares para não machucar, mas garantindo a limpeza.

Visitas Regulares ao Dentista: Monitoramento é Chave
Falar sobre periodontite crônica moderada envolve mais do que só tratar a inflamação. O ponto principal aqui é o acompanhamento. Imagina ter um problema que pode voltar se você não ficar de olho? É mais ou menos isso. Visitas regulares ao dentista são essenciais para ver como seu tratamento está indo e se a doença está sob controle. É o jeito mais seguro de evitar que ela piore.

Quando a periodontite é moderada, significa que já houve um certo dano, sabe? Mas a boa notícia é que dá pra controlar. O dentista vai avaliar o nível da doença, verificar se há perda óssea e a profundidade das bolsas periodontais. Ele usa esses dados para ajustar seu plano de tratamento. Pode envolver limpezas mais profundas, o famoso raspagem e alisamento radicular, e até procedimentos para ajudar na recuperação.
Manter a higiene oral em casa é fundamental, claro. Escovar os dentes direitinho, usar fio dental todos os dias – isso é básico. Mas o monitoramento profissional é o que realmente faz a diferença na periodontite crônica moderada. É o dentista que vai te guiar e garantir que tudo esteja caminhando bem. Sem isso, o risco de progressão é alto. Vamos combinar que vale a pena esse cuidado extra.
Dica Prática: Agende sua próxima consulta de acompanhamento antes mesmo de sair do consultório. Assim, você garante que o monitoramento não será esquecido.

Mudanças no Estilo de Vida: Pequenas Atitudes, Grandes Diferenças
A periodontite crônica moderada afeta as estruturas de suporte dos dentes, como o osso e o ligamento periodontal. Diferente da gengivite, que é reversível, a periodontite já causa danos mais profundos. A inflamação crônica pode levar à perda óssea e, consequentemente, ao amolecimento e até à perda dos dentes. É um processo que geralmente é silencioso no início, por isso a importância de conhecer os sinais e não adiar a consulta ao dentista.

O tratamento para a periodontite crônica moderada envolve, primeiramente, a remoção cuidadosa do tártaro e das bolsas periodontais que se formam entre a gengiva e o dente. Eu costumo dizer que é uma limpeza profunda, que vai além do que a escovação do dia a dia consegue fazer. Esse procedimento, chamado raspagem e alisamento radicular, é feito em consultório e pode precisar de mais de uma sessão, dependendo da extensão do problema. O objetivo é deixar as raízes dos dentes bem limpas para que a gengiva possa se recuperar e se reaproximar.
Depois da limpeza profissional, o acompanhamento em casa é o que vai fazer toda a diferença. A higiene bucal precisa ser impecável, usando escova de dentes macia, fio dental diariamente e, em alguns casos, um enxaguante bucal específico que o seu dentista pode indicar. Consultas regulares ao dentista para controle e novas limpezas são essenciais para evitar que a doença retorne ou progrida. Vamos combinar, um pouco de esforço diário vale muito a pena pela saúde do seu sorriso!
Dica Prática: Use um fio dental todos os dias, sem exceção, e dedique pelo menos dois minutos à escovação, prestando atenção em todas as superfícies dos dentes, inclusive na linha da gengiva.

Opções de Tratamento Adicionais Para Casos Específicos
Quando a periodontite atinge o estágio moderado, o tratamento vai além da limpeza básica. O dentista vai focar em remover o tártaro e a placa bacteriana acumulados mais profundamente, inclusive abaixo da linha da gengiva. Isso pode envolver o que chamamos de raspagem e alisamento radicular. O objetivo é deixar as raízes dos dentes limpas para que a gengiva possa se aderir novamente, dificultando o retorno das bactérias.

Para casos específicos de periodontite crônica moderada, o profissional pode receitar antibióticos, tanto tópicos (aplicados diretamente na bolsa gengival) quanto orais. Isso ajuda a controlar a infecção e a inflamação. Em algumas situações, terapias a laser também podem ser consideradas, pois auxiliam na cicatrização e na redução da inflamação. É tudo muito pensado para o seu caso particular.
Além dos procedimentos no consultório, o seu empenho em casa é fundamental. Uma higiene bucal rigorosa, com escovação correta e uso diário de fio dental, é o seu maior aliado. Acompanhamento regular com o dentista também é crucial para monitorar a evolução e ajustar o plano de tratamento se necessário. Ele vai te orientar direitinho.
Dica Prática: Use um enxaguante bucal antisséptico receitado pelo seu dentista, seguindo exatamente as instruções de uso, para complementar sua higiene diária.

Prevenção de Recaídas: Mantendo Seu Sorriso Saudável a Longo Prazo
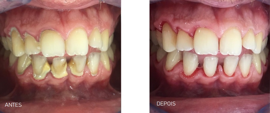
Tratar a periodontite crônica moderada é um compromisso com a saúde do seu sorriso. A ideia é controlar a inflamação e evitar que ela avance, o que pode levar à perda de dentes. Não se assuste, é totalmente possível ter um sorriso saudável a longo prazo com os cuidados certos.

O tratamento geralmente envolve a limpeza profunda por um profissional para remover o tártaro e a placa bacteriana abaixo da linha da gengiva. Depois disso, a higiene oral em casa se torna sua grande aliada. Escovação correta e uso diário do fio dental são essenciais para manter a área limpa.
O acompanhamento regular com o dentista é fundamental para monitorar a progressão da doença e ajustar o tratamento se necessário. Ele vai te orientar sobre as melhores técnicas de higiene e quais produtos usar. Lembre-se, a consistência nos cuidados faz toda a diferença.
Dica Prática: Use um enxaguante bucal antibacteriano recomendado pelo seu dentista, especialmente após procedimentos de limpeza, para ajudar a controlar as bactérias.
Claro, vamos organizar essas informações valiosas em uma tabela explicativa! Sei que entender como tratar a periodontite crônica moderada pode parecer muita coisa, mas acredite, com as informações certas, fica bem mais tranquilo.
## O Impacto da Periodontite Crônica Moderada na Sua Saúde Geral
| Item | O Que É e Por Que É Importante | Como Funciona na Prática | Dicas da Autora |
|---|---|---|---|
| Diagnóstico Preciso: O Primeiro Passo Para a Cura | Identificar corretamente a periodontite moderada é fundamental. Sem um diagnóstico exato, o tratamento não será eficaz. O dentista avalia a profundidade das bolsas gengivais, a perda óssea e a mobilidade dos dentes. | Exame clínico detalhado, radiografias (raio-x) para ver o osso, e às vezes, tomografias. | Não pule essa etapa! Confie no seu dentista. Um diagnóstico errado é como tentar consertar um carro sem saber qual a peça quebrada. |
| Limpeza Profunda (Raspagem e Alisamento Radicular): Removendo a Causa | É a limpeza minuciosa abaixo da linha da gengiva. Remove o tártaro (cálculo dental) e as bactérias que causam a inflamação e a destruição do osso. | O dentista ou higienista usa instrumentos especiais para raspar e alisar a raiz do dente, deixando-a lisa para dificultar a adesão de novas bactérias. | Pode ser desconfortável, mas é essencial. Converse com seu dentista sobre anestesia local se precisar. É um alívio saber que você está se livrando do problema pela raiz, literalmente! |
| Medicações Essenciais: O Aliado No Controle da Infecção | Em alguns casos, o dentista pode prescrever medicamentos para ajudar a controlar a infecção e a inflamação que persistem após a limpeza. | Podem ser enxaguantes bucais com ação antibacteriana ou medicamentos tópicos aplicados diretamente nas bolsas gengivais. | Use exatamente como o dentista indicar. Não interrompa o uso sem falar com ele, mesmo que sinta melhora. |
| Antibióticos: Quando e Como Usar Com Segurança | Usados para combater infecções bacterianas mais resistentes ou quando há sinais de infecção aguda. Não são a primeira linha de tratamento para todos os casos de periodontite. | Prescritos pelo dentista, geralmente por via oral, por um período específico. A escolha do antibiótico depende do tipo de bactéria e da gravidade. | Só use antibióticos sob prescrição médica/odontológica. O uso incorreto pode criar resistência bacteriana e outros problemas. É um recurso para casos específicos, não para todo mundo. |
| Antissépticos Bucais: Um Reforço Importante | Ajudam a reduzir a quantidade de bactérias na boca, complementando a escovação e o uso do fio dental. | Enxaguantes com clorexidina são comuns para controle bacteriano temporário, mas outros com ingredientes ativos também podem ser indicados. | Não substituem a escovação e o fio dental! Pergunte ao seu dentista qual o melhor para você e por |
Confira este vídeo relacionado para mais detalhes:
Mitos e Verdades Sobre a Periodontite Crônica
Vamos desmistificar a periodontite crônica. Muita gente acha que é só um sangramento na gengiva, mas vai bem além disso. E o pior: a gente acaba ouvindo cada coisa por aí que só piora a situação. Fica comigo que eu te conto o que é fato e o que é furada.
- Mito: “É só uma gengivite que piorou, não tem tanto problema.” Verdade: A periodontite crônica é mais séria. Ela afeta o osso que segura seus dentes. Se não tratada, pode levar à perda dos dentes.
- Mito: “Tratamento a laser ou com tecnologias novas é a única solução.” Verdade: A base do tratamento continua sendo a higiene bucal impecável e a limpeza profissional feita pelo dentista. Tecnologias ajudam, mas não substituem o básico.
- Mito: “Depois de tratar, nunca mais terei problemas.” Verdade: A periodontite crônica exige acompanhamento. A higiene em casa e as visitas regulares ao dentista são cruciais para manter a doença sob controle.
Minhas Dicas Essenciais Para Controlar a Periodontite Crônica
Acredite, cuidar da periodontite crônica é totalmente possível no dia a dia. Não tem segredo, mas exige disciplina. Eu mesma já passei por isso e sei o quanto um passo a passo simples faz diferença.
- Limpeza Rigorosa: Escove os dentes pelo menos duas vezes ao dia, com foco especial na linha da gengiva. Use uma escova de cerdas macias.
- Fio Dental Diário: Use o fio dental todos os dias. Ele alcança onde a escova não chega, removendo placa bacteriana e restos de comida entre os dentes e sob a gengiva.
- Visitas ao Dentista: Mantenha suas consultas regulares
Dúvidas das Leitoras
A periodontite crônica moderada pode ser curada completamente?
A periodontite crônica moderada pode ser controlada com tratamento adequado, mas a cura completa, no sentido de reverter totalmente o dano ósseo, nem sempre é possível. O objetivo principal é estabilizar a doença e impedir sua progressão.
Quais os primeiros sinais de alerta da periodontite crônica moderada que devo observar?
Fique atenta ao sangramento gengival frequente ao escovar os dentes ou usar fio dental, gengivas vermelhas, inchadas ou sensíveis, e mau hálito persistente. Outro sinal é a retração gengival, quando parece que os dentes estão “maiores”.
Posso continuar fumando durante o tratamento da periodontite crônica moderada?
Vamos combinar, fumar prejudica muito a saúde bucal e dificulta a cicatrização. Para um tratamento eficaz da periodontite, o ideal é reduzir ou parar de fumar, pois isso melhora a resposta ao tratamento e a recuperação.
Quais os riscos de não tratar a periodontite crônica moderada?
Se não tratada, a periodontite pode levar à perda óssea mais severa, resultando na mobilidade dos dentes e, eventualmente, na sua perda. Além disso, pode afetar sua saúde geral, estando associada a outras condições como diabetes e doenças cardíacas.
Existe algum tratamento caseiro eficaz para a periodontite crônica moderada?
Tratamentos caseiros não substituem a intervenção profissional. A higiene bucal rigorosa em casa é fundamental, incluindo escovação e uso de fio dental diários, mas o tratamento profissional, como raspagem e alisamento radicular, é essencial para controlar a doença.
Tratar a periodontite crônica moderada envolve acompanhamento profissional constante e cuidados diários em casa. A limpeza profissional e a higienização correta dos seus dentes são essenciais. Continue com seus hábitos de higiene, pois eles fazem toda a diferença. Se quiser saber mais sobre como manter um sorriso saudável, confira nossas dicas sobre cuidados com as gengivas!

