Como tratar a sinusite esfenoidal crônica te incomoda? Aquela dor persistente que parece não ter fim. Fica tranquila, pois aqui eu vou te mostrar o caminho para alívio. Vamos desmistificar esse problema e apresentar as melhores práticas para você recuperar sua qualidade de vida.
Sinusite Esfenoidal Crônica: Entendendo o Inimigo Invisível
A sinusite esfenoidal crônica afeta um dos seios paranasais mais profundos da face, o seio esfenoidal. Sua localização dificulta a drenagem e a limpeza natural, o que pode levar a inflamações persistentes. Os sintomas variam, mas dores de cabeça intensas, muitas vezes na região da nuca ou atrás dos olhos, são comuns. Sentir um gotejamento pós-nasal constante ou uma sensação de pressão também são sinais que você deve observar.
Compreender essa condição é o primeiro passo para o alívio. O tratamento busca reduzir a inflamação e restaurar a drenagem, melhorando sua qualidade de vida significativamente. Ignorar a sinusite esfenoidal crônica pode agravar os sintomas e gerar complicações. Por isso, buscar orientação médica é fundamental para um diagnóstico preciso e um plano de cuidados eficaz.
Confira este vídeo relacionado para mais detalhes:
Seus Próximos Passos: Como Lidar com a Sinusite Esfenoidal Crônica

Diagnóstico Preciso: O Primeiro Passo para a Cura
Se você está passando por aquela sensação incômoda de dor de cabeça persistente, pressão no rosto e talvez até um incômodo na garganta, pode ser que esteja lidando com a sinusite esfenoidal crônica. Pois é, essa condição pode ser bem chatinha. O segredo para acabar com isso de vez começa com um diagnóstico certeiro. Sem saber exatamente o que está acontecendo lá dentro, qualquer tratamento fica meio que “no escuro”. E ninguém quer perder tempo, né?

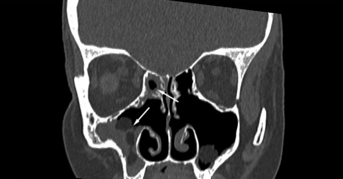
A sinusite esfenoidal crônica afeta os seios da face localizados bem lá no fundo, atrás dos olhos. Por isso, os sintomas podem ser diferentes da sinusite mais comum. A dor de cabeça, por exemplo, costuma ser mais profunda. O médico, geralmente um otorrino, vai te examinar e pode pedir exames como a tomografia computadorizada. É esse raio-x mais detalhado que vai mostrar direitinho a situação e guiar o melhor caminho para você.
Uma vez que o diagnóstico está batido o martelo, o tratamento pode envolver medicamentos para controlar a inflamação e infecções, se houver. Em alguns casos, pode ser que uma cirurgia seja recomendada para melhorar a drenagem dos seios da face. O importante é seguir as orientações médicas à risca. Vamos combinar, cuidar da sua saúde é a prioridade!
Dica Prática: Mantenha um diário dos seus sintomas, anotando quando pioram e o que parece aliviar. Isso ajuda muito o médico a entender seu quadro.

Tratamentos Medicamentosos: Aliados no Combate à Inflamação
Se você está lidando com a sinusite esfenoidal crônica, sabe o quanto a inflamação pode ser incômoda. Por isso, tratamentos medicamentosos são verdadeiros aliados. O objetivo principal é controlar essa inflamação e aliviar os sintomas. Para te ajudar a entender, pense nesses remédios como ferramentas que atuam diretamente no problema.

Para te dar uma ideia, os médicos geralmente prescrevem medicamentos para tratar a sinusite esfenoidal crônica com foco em diferentes frentes. Podem ser usados corticoides nasais, que agem diretamente na região inflamada, reduzindo o inchaço e a produção de muco. Em alguns casos, antibióticos são necessários se houver uma infecção bacteriana associada. E, claro, se as alergias forem a causa, anti-histamínicos entram em cena.
O acompanhamento médico é fundamental para saber exatamente qual medicamento e qual dosagem são ideais para o seu caso. Cada pessoa reage de um jeito, e o que funciona para um pode não ser o melhor para o outro. O importante é seguir a receita e as recomendações do seu otorrino. Fica tranquila que existem boas opções para te ajudar a viver melhor.
Dica Prática: Use seu corticoide nasal todos os dias, na hora certa, mesmo que se sinta melhor. A consistência é o segredo para manter a inflamação sob controle a longo prazo.

Lavagem Nasal: Uma Aliada Simples e Poderosa
Sabe aquela sensação de rosto pesado, dor que parece que vem de dentro da cabeça? Pois é, a sinusite esfenoidal crônica pode ser bem chata. Mas fica tranquila, porque a lavagem nasal é uma aliada que faz uma diferença enorme. Eu uso e garanto: é simples de fazer e ajuda demais a aliviar essa pressão toda.

Quando você faz a lavagem nasal, está limpando a secreção que fica acumulada ali nos seios da face, incluindo o esfenoidal, que é mais profundo. Isso desinflama a região, facilitando a respiração e diminuindo as dores de cabeça persistentes. É como dar um “reset” no seu nariz, sabe?
É importante manter a rotina para ter um bom resultado. Eu procuro fazer todos os dias, de manhã e à noite, principalmente se sinto que a sinusite está querendo dar as caras. A gente se acostuma rapidinho e o alívio que vem depois compensa qualquer coisa. Vamos combinar, cuidar de si é fundamental.
Dica Prática: Use soro fisiológico morno, em temperatura corporal. Ele limpa sem irritar e ainda tem um efeito calmante na mucosa nasal.

O Papel da Hidratação e da Alimentação
Para quem sofre com sinusite esfenoidal crônica, cuidar do corpo de dentro para fora faz toda a diferença. A hidratação é fundamental. Beber bastante água ajuda a manter as secreções nasais mais fluidas. Isso facilita a drenagem e alivia a pressão nos seios da face. Quando estamos desidratados, o muco fica mais espesso, grudando e dificultando a saída. Por isso, ter uma garrafinha de água sempre por perto é uma atitude simples que impacta muito.

A alimentação também tem seu papel. Uma dieta equilibrada, rica em frutas, verduras e legumes, fortalece seu sistema imunológico. Isso é crucial para combater inflamações e infecções que podem estar associadas à sua sinusite. Evitar alimentos que possam desencadear inflamação no seu corpo, como processados e excesso de açúcares, também é uma boa pedida. Pense em incluir alimentos anti-inflamatórios, como peixes ricos em ômega-3, gengibre e cúrcuma. Eles podem ser grandes aliados.
Quando o assunto é sinusite esfenoidal crônica, a combinação de boa hidratação e alimentação adequada pode ser muito eficaz no alívio dos sintomas. Não é uma cura mágica, mas um suporte para o seu corpo trabalhar melhor contra a inflamação. Lembre-se que o seu organismo responde ao que você oferece a ele. Uma rotina de cuidados com o que você come e bebe é um investimento na sua saúde a longo prazo.
Dica Prática: Prepare um chá de gengibre com umas rodelas de limão e um fio de mel. Beba morno ao longo do dia, especialmente nos dias mais frios ou quando sentir os sintomas mais intensos. O gengibre ajuda a desinflamar e o limão reforça a imunidade.

Quando a Cirurgia se Torna Necessária
A sinusite esfenoidal crônica é aquela inflamação que não dá trégua, localizada em um dos seios da face mais profundos. Quando o tratamento com medicamentos, como sprays nasais e antibióticos, não traz alívio duradouro, ou se há complicações como pólipos ou infecções recorrentes, a cirurgia entra em cena. É a hora de considerar um procedimento que vai direto na causa do problema.

O procedimento mais comum é a cirurgia endoscópica dos seios da face, ou FESS. É feita com um endoscópio, que é um tubinho fino com uma câmera, inserido pelo nariz. Ele permite ao médico visualizar a área afetada e remover tecidos inflamados ou bloqueios que impedem o muco de drenar. Geralmente é um procedimento minimamente invasivo, com recuperação mais tranquila.
É importante saber que a cirurgia tem o objetivo de restaurar a drenagem natural dos seios da face e melhorar a sua respiração. Depois do procedimento, o acompanhamento médico é fundamental. Você vai precisar seguir as recomendações, usar os medicamentos prescritos e comparecer às consultas de retorno para garantir que tudo está cicatrizando bem e que os sintomas diminuíram.
Dica Prática: Prepare uma lista detalhada de todos os seus sintomas e de quando eles começaram para conversar abertamente com seu médico. Isso ajuda muito no diagnóstico e na decisão sobre o melhor tratamento para você.

Cuidados Pós-Tratamento e Prevenção de Recaídas
Depois de passar por um tratamento para sinusite esfenoidal crônica, o cuidado não para por aí. É fundamental seguir à risca as orientações médicas para garantir que a inflamação não volte com tudo. Isso geralmente envolve medicação prescrita, como sprays nasais ou outros remédios, e evitar gatilhos que possam irritar seus seios da face.

Para prevenir que a sinusite esfenoidal crônica retorne, é bom ficar atenta a alguns hábitos. Manter o ambiente úmido, especialmente em épocas secas, ajuda bastante. Umedecer o ar com um umidificador ou até mesmo com bacias de água pelo quarto pode fazer uma grande diferença. A higiene nasal regular, com soro fisiológico, também é uma aliada poderosa.
Evitar mudanças bruscas de temperatura e exposição a fumaça, como a de cigarro, são outras medidas importantes. Se você tem alergias, tratá-las é essencial para não piorar o quadro da sinusite. Vamos combinar, cuidar da saúde em geral, com boa alimentação e sono, fortalece seu corpo e diminui as chances de novos episódios.
Dica Prática: Tenha sempre um spray nasal de soro fisiológico à mão para usar sempre que sentir a garganta ou o nariz secos, especialmente em ambientes com ar condicionado.

Manejo da Dor e do Desconforto
Se você está lidando com a sinusite esfenoidal crônica, sabe o quanto isso pode ser frustrante e doloroso. Aquele desconforto persistente na região da cabeça e do rosto não dá trégua, né? Mas fica tranquila, porque é possível aliviar esses sintomas e ter uma vida mais tranquila. O primeiro passo é entender o que está acontecendo aí dentro.

O principal aqui é buscar um diagnóstico médico certeiro. A sinusite esfenoidal crônica pode ser tratada de diversas formas, e o que funciona para uma pessoa pode não ser o ideal para outra. Geralmente, o tratamento envolve uma combinação de medicamentos, como corticoides nasais para reduzir a inflamação, antibióticos se houver infecção bacteriana, e em alguns casos, pode ser necessária uma intervenção cirúrgica para desobstruir os seios da face.
Vamos combinar, o incômodo de uma sinusite crônica é algo que a gente quer resolver o quanto antes. Além do tratamento médico, algumas medidas podem ajudar a complementar. Lavar as narinas com soro fisiológico regularmente ajuda a limpar e a umidificar a região, aliviando a sensação de congestão. Evitar ambientes com muita poeira, fumaça ou ar condicionado seco também faz uma diferença danada. Pense em como você pode cuidar melhor do seu ambiente.
Dica Prática: Mantenha a cabeça elevada ao dormir, usando travesseiros extras, isso pode ajudar a drenar melhor as secreções e reduzir a pressão na região dos seios da face.

Impacto na Qualidade de Vida e Estratégias de Enfrentamento
A sinusite esfenoidal crônica, sabe aquela que fica lá no fundo, perto do cérebro? Ela é particularmente chata porque os sintomas podem ser meio disfarçados. Dor de cabeça persistente, aquela sensação de pressão atrás dos olhos, e até dificuldade de concentração são comuns. Muitas vezes, a gente atribui tudo ao estresse ou cansaço, mas a raiz pode ser essa inflamação. Lidar com ela exige paciência e um olhar atento aos sinais que seu corpo dá.

O tratamento para a sinusite esfenoidal crônica geralmente envolve uma combinação de abordagens. Terapia medicamentosa, com antibióticos prescritos pelo médico para combater infecções, ou anti-inflamatórios para reduzir o inchaço, são passos comuns. Lavagem nasal com soro fisiológico também ajuda a limpar a secreção e aliviar a congestão. É fundamental seguir as orientações médicas à risca, pois cada caso é único e a automedicação pode piorar a situação.
Quando os sintomas são persistentes e não cedem com o tratamento clínico, procedimentos cirúrgicos podem ser considerados. A cirurgia endoscópica, por exemplo, é uma opção para drenar os seios paranasais e remover tecido inflamado ou pólipos. O acompanhamento com um otorrinolaringologista é essencial para avaliar a necessidade e o tipo de intervenção. Não se acostume com o desconforto, existem caminhos para o alívio.
Dica Prática: Mantenha um diário anotando seus sintomas, horários e o que você fez. Isso será uma mão na roda para o médico entender seu quadro.

A Importância do Acompanhamento Médico Contínuo
Pois é, a sinusite esfenoidal crônica pode ser bem chatinha. Muita gente acha que é só um resfriado que não passa, mas quando ela se torna crônica, a coisa muda de figura. O acompanhamento médico contínuo é fundamental aqui, viu? Não dá pra deixar de lado. É o médico que vai entender o que está acontecendo de verdade e como seu corpo reage a cada tratamento. Ele é o seu guia nessa situação.

Quando falamos de como tratar a sinusite esfenoidal crônica, o médico leva em conta vários fatores. Não é uma receita de bolo igual para todo mundo. Ele vai avaliar seus sintomas, histórico de saúde e pode até pedir exames específicos. O objetivo é sempre chegar na causa raiz e não só aliviar o que você está sentindo no momento. Essa abordagem mais completa faz toda a diferença para o seu bem-estar a longo prazo.
O acompanhamento médico não termina com a primeira receita. É preciso voltar, mostrar como você está se sentindo, se o tratamento está funcionando ou se precisa de ajustes. Às vezes, o que funciona para uma pessoa não funciona para outra, e isso é super normal. O importante é não desistir e manter o diálogo aberto com seu médico. Ele é seu parceiro nessa.
Dica Prática: Anote todos os seus sintomas e quando eles aparecem. Leve essa lista para a consulta, assim você não esquece nada e o médico tem um panorama mais claro.

Alternativas e Terapias Complementares (com cautela!)
Quando a sinusite esfenoidal se torna crônica, às vezes as abordagens convencionais podem não resolver completamente. É aí que a gente começa a procurar por outras saídas. Terapias complementares podem ser um caminho para ajudar a aliviar os sintomas e melhorar sua qualidade de vida. O importante é sempre ter um olhar cauteloso e conversar com seu médico antes de adotar qualquer nova prática.

Muitas pessoas buscam alívio em terapias como a acupuntura, que pode ajudar a modular a dor e a inflamação. A fisioterapia respiratória também é uma aliada interessante, auxiliando na drenagem das secreções. Algumas abordagens de medicina natural, com ervas e suplementos, também são exploradas, mas é crucial que sejam indicadas por um profissional qualificado para evitar interações ou efeitos indesejados.
A osteopatia e a quiropraxia podem ser consideradas por alguns, pois trabalham na estrutura óssea e muscular, o que, em alguns casos, pode influenciar a drenagem dos seios da face. A atenção à sua alimentação e a um estilo de vida mais saudável também são fundamentais. Reduzir o estresse e garantir um bom sono são passos simples que fazem uma grande diferença.
Dica Prática: Experimente inalações com soro fisiológico morno várias vezes ao dia para ajudar a fluidificar o muco e facilitar sua eliminação.
Vivendo Melhor: Dicas Práticas para o Dia a Dia
| Item | O Que É? | Como Ajuda? | Dicas de quem entende |
|---|---|---|---|
| Diagnóstico Preciso | Identificar exatamente o que está acontecendo com sua sinusite. | É o ponto de partida. Sem saber o problema certo, o tratamento fica sem rumo. | Pode ser que você precise de exames como tomografia. Não tenha receio, é para acertar no tratamento. Confie no seu médico. |
| Tratamentos Medicamentosos | Uso de remédios para controlar a inflamação e infecção. | Combatem os sintomas e a causa, aliviando a dor e o inchaço. | Corticoides nasais ajudam muito. Antibióticos só com prescrição, quando há infecção bacteriana. Use como o doutor mandar, viu? |
| Lavagem Nasal | Limpeza das cavidades nasais com soro fisiológico. | Remove secreções, vírus e bactérias. Desobstrui o nariz. | Faça todo dia! É simples, barato e faz uma diferença enorme. Use um aparelho adequado, como seringa ou garrafinha. |
| Hidratação e Alimentação | Beber bastante líquido e ter uma dieta balanceada. | A água ajuda a fluidificar o muco. Alimentos anti-inflamatórios fortalecem o corpo. | Água, chás, sucos naturais. Evite muito açúcar e laticínios em excesso, para algumas pessoas. Uma alimentação leve ajuda seu corpo a se recuperar. |
| Quando a Cirurgia se Torna Necessária | Procedimento para corrigir problemas estruturais ou remover tecido doente. | Resolve bloqueios persistentes ou infecções que não melhoram com remédio. | É a última opção, quando tudo mais falhou. A recuperação exige paciência, mas pode trazer um alívio imenso. |
| Cuidados Pós-Tratamento e Prevenção | Manter hábitos saudáveis para evitar que a sinusite volte. | Diminui as chances de novas crises e mantém o bem-estar. | Não abandone a lavagem nasal! Evite locais com muita poeira ou fumaça. Se possível, umidifique o ar do quarto. |
| Manejo da Dor e do Desconforto | Aliviar a dor de cabeça e a sensação de pressão. | Melhora seu conforto e disposição no dia a dia. | Compressas mornas no rosto podem ajudar. O médico pode indicar analgésicos se a dor for forte. Descansar é fundamental. |
| Impacto na Qualidade de Vida | Como a sinusite afeta seu dia a dia e como lidar com isso. | Ajuda a entender seus limites e a buscar o melhor para você. | A sinusite pode atrapalhar o sono, o trabalho, o humor. Aceitar isso e buscar ajuda é o primeiro passo para virar o jogo. Pequenas pausas ajudam. |
Confira este vídeo relacionado para mais detalhes:
Mitos e Verdades Sobre a Sinusite Esfenoidal Crônica
Fica tranquila, vamos desmistificar essa tal de sinusite esfenoidal crônica. Muita gente acha que é só uma gripezinha que não passa, mas a verdade é que ela exige atenção.
Pois é, nem tudo que parece é. Vamos a algumas verdades que eu aprendi na pele:
- É “só” um nariz entupido? Mito! A sinusite esfenoidal pode causar dores de cabeça fortes, pressão atrás dos olhos e até alterações na visão. É mais profunda que um resfriado comum.
- Antibiótico resolve sempre? Mito! Em casos crônicos, o uso prolongado e indiscriminado de antibióticos pode não ser a solução e ainda criar resistência. O tratamento precisa ser avaliado por um especialista.
- Cirurgia é a única saída? Mito! Dependendo da gravidade e das causas, um tratamento clínico bem acompanhado pode ser suficiente. A cirurgia é uma opção, mas nem sempre a primeira.
- Hidratação ajuda? Verdade! Beber bastante água e fazer lavagens nasais com soro fisiológico ajuda a fluidificar o muco e a aliviar a congestão. Isso eu garanto!
- Fatores ambientais importam? Verdade! Evitar fumaça, poeira e ar seco pode fazer uma grande diferença no seu dia a dia e na prevenção de crises.
Vamos combinar, cuidar da saúde é prioridade. Se você sente esses sintomas, não hesite em procurar um otorrino. Ele vai te guiar para o melhor tratamento. Pequenas mudanças de hábito já ajudam muito.
Dúvidas das Leitoras
A sinusite esfenoidal crônica pode causar dor de cabeça intensa?
Sim, a sinusite esfenoidal crônica pode ser uma grande vilã da dor de cabeça. Como o seio esfenoidal fica bem no fundo da cabeça, a inflamação ali pode irradiar, causando dores fortes e persistentes. Geralmente, essa dor piora ao se inclinar para frente.
Quais são os principais sintomas da sinusite esfenoidal crônica?
Além da dor de cabeça que já falamos, sinta-se atenta à secreção nasal espessa e amarelada ou esverdeada, que pode descer pela garganta (gotejamento pós-nasal). Você também pode notar diminuição do olfato, tosse persistente, e às vezes, uma sensação de pressão na parte de trás da cabeça.
É possível ter sinusite esfenoidal crônica sem sentir dor no rosto?
Pois é, com a sinusite esfenoidal é um pouco diferente. Como ela fica lá no fundo, a dor facial clássica que você sente nas bochechas ou testa nem sempre aparece. A dor de cabeça é o sintoma mais comum, e pode ser a única coisa te incomodando.
Existem alimentos que pioram a sinusite esfenoidal crônica?
Ainda não temos uma lista oficial de alimentos que pioram a sinusite esfenoidal. Mas, como regra geral, reduzir o consumo de laticínios e açúcar pode ajudar a diminuir a inflamação no corpo. Observar como seu corpo reage após comer certos alimentos é sempre uma boa ideia.
Quanto tempo dura o tratamento para sinusite esfenoidal crônica?
O tempo varia muito de pessoa para pessoa e da gravidade do caso. O tratamento geralmente envolve medicamentos para controlar a inflamação e, em alguns casos, cirurgia para melhorar a drenagem dos seios. O importante é seguir as orientações médicas e ter
Tratar a sinusite esfenoidal crônica exige paciência e acompanhamento médico. A combinação de medicamentos, lavagens nasais e, em alguns casos, procedimentos cirúrgicos, costuma ser o caminho mais eficaz. Lembre-se que cada caso é único, e o tratamento ideal é definido pelo seu médico.
Se você se interessou por esse tema, que tal explorar mais sobre cuidados com a saúde respiratória? Compartilhe suas experiências nos comentários e ajude outras pessoas!

