Saber como tratar a sinusite esfenoidal aguda é crucial para quem sofre com essa condição incômoda. Essa inflamação afeta um dos seios paranasais mais profundos, causando dores de cabeça intensas e outros sintomas que impactam seu dia a dia. Se você está buscando alívio eficaz e respostas claras, este guia foi feito para você. Vamos desmistificar o tratamento e apresentar as melhores estratégias para recuperar seu bem-estar em 2026.
Desvendando a Sinusite Esfenoidal: Entendendo os Pilares do Tratamento
A sinusite esfenoidal pode parecer um mistério, mas seu tratamento se baseia em pilares bem definidos. O objetivo principal é combater a inflamação e a infecção, aliviando a dor e prevenindo complicações. Vamos combinar: entender o que está acontecendo é o primeiro passo para se sentir melhor.
Frequentemente, a batalha começa com antibióticos. Fica tranquila, pois nem sempre é um processo simples. Muitas vezes, são necessários antibióticos de amplo espectro ou de segunda linha. Medicamentos como Amoxicilina com Clavulanato, cefalosporinas ou clindamicina entram em cena. O tratamento costuma durar de 10 a 14 dias, podendo ser estendido conforme a necessidade. A escolha do antibiótico leva em conta a resistência bacteriana, um fator importante na eficácia do tratamento.
“A sinusite esfenoidal aguda exige atenção médica imediata devido à proximidade com estruturas vitais, com risco de complicações graves como meningite ou trombose.”

O que você vai precisar
- Diagnóstico médico preciso
- Prescrição de antibióticos (se indicado)
- Analgésicos e antipiréticos
- Corticosteroides nasais (se prescritos)
- Soro fisiológico para lavagem nasal
- Atendimento médico de urgência (em caso de sinais de alerta)

Passo a Passo: Como resolver isso
- Consulte um médico: O primeiro e mais importante passo é buscar avaliação profissional. A sinusite esfenoidal exige diagnóstico correto para o tratamento adequado.
- Siga a antibioticoterapia: Se o médico prescrever antibióticos, como Amoxicilina com Clavulanato, cefuroxima ou clindamicina, use-os exatamente como orientado, pelo tempo total de 10 a 14 dias, ou o período que o profissional indicar. A escolha do antibiótico leva em conta a resistência bacteriana local.
- Gerencie os sintomas: Para aliviar a dor e a inflamação, utilize analgésicos e antipiréticos como paracetamol ou ibuprofeno. Se o médico receitar, use corticosteroides nasais (ex: fluticasona) e faça lavagem nasal com soro fisiológico. Isso ajuda a limpar as vias aéreas.
- Observe sinais de alerta: Fique atento a dores de cabeça súbitas e intensas, alterações na visão, vermelhidão ou inchaço ao redor dos olhos, rigidez na nuca ou confusão mental. Estes podem indicar complicações graves.
- Considere a cirurgia se necessário: Em casos onde o tratamento clínico não traz melhora, ou se houver risco de complicações, o médico pode indicar uma sinusotomia esfenoidal por endoscopia nasal.

Antibioticoterapia para Sinusite Esfenoidal
A escolha do antibiótico é crucial e muitas vezes recai sobre opções de “segunda linha” ou de amplo espectro. Medicamentos como Amoxicilina com Clavulanato são comuns. O tratamento geralmente dura de 10 a 14 dias, mas o médico pode estender esse período. A seleção do antibiótico é feita pensando na prevalência de resistência bacteriana na região. Consulte sinusite.org.br para mais detalhes sobre o tratamento.

Controle de Sintomas e Alívio da Dor
Para trazer conforto enquanto o tratamento principal age, o controle dos sintomas é fundamental. Analgésicos e antipiréticos como paracetamol e ibuprofeno ajudam a combater a dor e a febre. Corticosteroides nasais, como a fluticasona, podem ser prescritos para reduzir a inflamação. Não se esqueça da lavagem nasal com soro fisiológico; é um método simples e eficaz para desobstruir as passagens nasais. Veja mais em www.sinusitistreatmentnyc.com.

Indicações e Procedimento da Intervenção Cirúrgica
A cirurgia, como a sinusotomia esfenoidal endoscópica, é considerada quando o tratamento medicamentoso falha ou quando há risco de complicações sérias. O procedimento visa drenar o seio esfenoidal e remover tecido inflamado. É uma opção para casos mais persistentes ou complicados. O Hospital Ruben Berta detalha o procedimento em rubenberta.com.br.

Quando Buscar Atendimento Hospitalar Urgente
Alguns sinais indicam que a situação pode ter se agravado e requer atenção médica imediata. Dor de cabeça súbita e muito forte, mudanças na visão (visão turva, dupla), inchaço ou vermelhidão intensa ao redor dos olhos, rigidez na nuca ou confusão mental são sinais de alerta. Não hesite em procurar um hospital se notar qualquer um deles. A SciELO Brasil lista esses sintomas críticos.

Riscos e Complicações da Sinusite Esfenoidal
Ignorar ou tratar incorretamente a sinusite esfenoidal pode levar a problemas sérios. Complicações como meningite, uma infecção grave das membranas que cobrem o cérebro e a medula espinhal, podem ocorrer se a infecção se espalhar. A Rede D’Or São Luiz alerta sobre os perigos da sinusite aguda não tratada em rededorsaoluiz.com.br.

Diagnóstico e Avaliação Médica
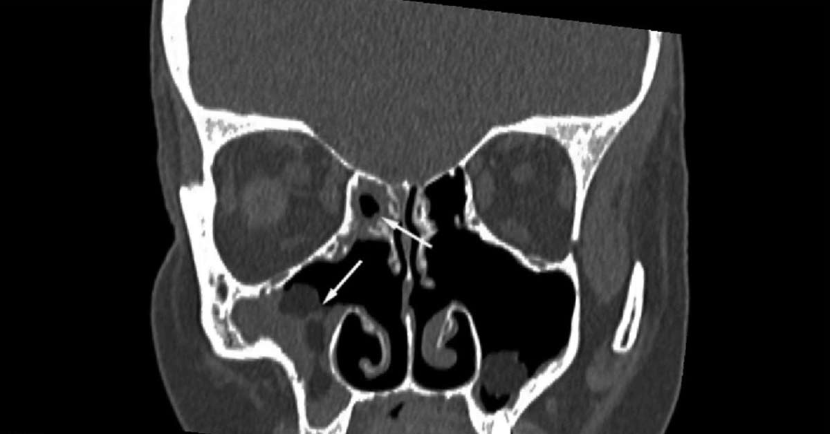
O diagnóstico da sinusite esfenoidal é feito pelo médico com base no seu histórico, exame físico e, frequentemente, em exames de imagem como tomografia computadorizada. É essencial uma avaliação detalhada para diferenciar de outros tipos de sinusite e definir o melhor curso de ação.

Prevenção e Cuidados Pós-Tratamento
Manter uma boa higiene nasal, especialmente com lavagens de soro fisiológico, pode ajudar a prevenir novas inflamações. Evitar exposição a alérgenos e irritantes, manter o sistema imunológico forte com uma dieta equilibrada e hidratação adequada também são medidas importantes. Após o tratamento, siga as orientações médicas para garantir a recuperação completa.

Diferenças entre Sinusite Esfenoidal e Outros Tipos
A sinusite esfenoidal afeta o seio esfenoidal, localizado no fundo da cavidade nasal, atrás dos olhos. Por isso, a dor pode ser sentida na região da testa, no fundo dos olhos ou na nuca, sendo diferente da dor mais frontal da sinusite maxilar ou etmoidal. O diagnóstico diferencial é chave para o tratamento correto.
Dicas Extras
- Hidratação é chave: Beber bastante água ajuda a fluidificar o muco, facilitando sua drenagem. Pense em chás mornos e sopas também.
- Evite irritantes: Fumaça de cigarro, perfumes fortes e poluição podem piorar a inflamação. Se possível, mantenha seu ambiente o mais limpo e livre de odores.
- Compressas mornas: Aplicar uma toalha morna sobre a área afetada pode trazer alívio temporário para a dor.
- Descanso é fundamental: O corpo precisa de energia para combater a infecção. Priorize o sono e evite esforços desnecessários.
- Umidade do ar: Usar um umidificador no quarto, especialmente durante a noite, pode ajudar a manter as vias aéreas úmidas e confortáveis.
Dúvidas Frequentes
Quais os primeiros passos ao suspeitar de sinusite esfenoidal?
Ao primeiro sinal de dor de cabeça intensa e persistente, especialmente na região profunda da face, procure um médico. Ele poderá avaliar seus sintomas e, se necessário, solicitar exames para confirmar o diagnóstico e iniciar o tratamento de sinusite profunda adequado.
Antibióticos são sempre necessários para sinusite esfenoidal aguda?
Nem sempre. O tratamento com antibióticos é indicado quando há suspeita de infecção bacteriana. O médico avaliará a necessidade com base nos seus sintomas e histórico. É importante seguir a prescrição médica à risca, mesmo que os sintomas melhorem antes do fim do tratamento.
Quando devo me preocupar com os sintomas da sinusite esfenoidal?
Sintomas como dor de cabeça súbita e muito forte, alterações visuais, inchaço ao redor dos olhos, rigidez na nuca ou confusão mental são sinais de alerta. Nesses casos, procure um hospital imediatamente, pois podem indicar complicações graves.
O Caminho Para o Alívio e a Recuperação
Enfrentar a sinusite esfenoidal pode ser desafiador, mas com o acompanhamento médico correto e as medidas adequadas, o alívio é totalmente possível. Lembre-se que o tratamento de sinusite esfenoidal aguda é individualizado e a persistência dos sintomas pode indicar a necessidade de investigar mais a fundo. Explorar como aliviar a dor da Sinusite Esfenoidal em casa e entender a importância da lavagem nasal no tratamento da Sinusite são passos valiosos na sua jornada de bem-estar.

