Como tratar a sinusite esfenoidal? Essa inflamação pode ser bem chatinha, mas calma! Sei que esse desconforto pode afetar seu dia a dia. Neste artigo, vamos desmistificar o tratamento e te dar dicas práticas. Você vai entender o que fazer para aliviar os sintomas e recuperar seu bem-estar. Fica comigo!
Sinusite Esfenoidal: Entenda a Incomodada Que Muda Seu Rosto
A sinusite esfenoidal é uma inflamação que afeta os seios paranasais esfenoidais, localizados bem no fundo da cabeça. Sabe aquela dor de cabeça que parece te esmagar por dentro e que nem os analgésicos comuns dão conta? Muitas vezes, ela pode ser um sinal dela. Além da dor, pode causar congestão nasal intensa e, acredite, até alterar a pressão dentro do crânio, mudando a sensação do seu rosto.
O tratamento foca em aliviar a inflamação e facilitar a drenagem do muco acumulado. Isso geralmente envolve medicamentos prescritos pelo médico, como corticoides nasais e, em alguns casos, antibióticos. É fundamental seguir à risca as orientações médicas. Ignorar essa condição pode levar a complicações sérias. Por isso, ao sentir esses sintomas, procure um otorrinolaringologista sem demora.
Confira este vídeo relacionado para mais detalhes:
O Que Fazer Para Aliviar Essa Dor Que Não Vai Embora

Identifique os Sinais: Não Ignore a Dor Profunda na Cabeça
Sabe aquela dor de cabeça que parece não ter fim, sabe? Aquela que te deixa irritada e sem foco? Pois é, pode ser mais do que um simples incômodo. Se você sente uma pressão intensa atrás dos olhos ou na parte de trás da cabeça, talvez seja hora de olhar com mais atenção para a sinusite esfenoidal.

Esse tipo de sinusite afeta um seio nasal mais profundo, o esfenoidal, que fica bem no meio do crânio. Por isso, a dor pode ser mais difícil de localizar e muitas vezes se confunde com enxaqueca ou tensão. Sinais como febre, secreção nasal amarelada ou esverdeada e até dor de garganta persistente também merecem sua atenção. Vamos combinar, não dá para ignorar esses alertas, né?
Quando a dor é profunda e persistente, a primeira atitude é buscar um médico. Ele é quem vai diagnosticar corretamente e indicar o melhor tratamento para a sinusite esfenoidal, que pode envolver lavagens nasais com soro fisiológico, medicamentos ou, em alguns casos, procedimentos mais específicos. Não se automedique, viu? Cuidar da sua saúde é prioridade.
Dica Prática: Mantenha seu ambiente úmido com um umidificador, especialmente em locais secos, para ajudar a fluidificar o muco e aliviar a pressão.

Busque Ajuda Médica: O Otorrino é Seu Melhor Amigo Agora
Sabe quando a dor de cabeça parece que não vai embora e fica pulsando atrás dos olhos ou nas têmporas? Se isso é algo recorrente para você, e junto vem aquela sensação de peso no rosto e nariz entupido que não melhora, pode ser que você esteja lidando com sinusite esfenoidal. Vamos combinar, ninguém merece conviver com esse incômodo, né? O primeiro passo para cuidar disso é procurar um médico especialista. O otorrinolaringologista é o profissional certo para te ajudar a entender o que está acontecendo e qual o melhor caminho para o tratamento.

O esfenoide é um osso que fica bem lá no fundo da sua cabeça, atrás do nariz e dos olhos. Quando ele inflama, a sinusite esfenoidal pode causar sintomas que parecem dor de cabeça comum, mas com uma intensidade maior e, muitas vezes, acompanhada de secreção que desce pela garganta. O diagnóstico preciso é fundamental. O otorrino poderá solicitar exames, como uma tomografia, se necessário, para visualizar a área afetada e confirmar a inflamação. Não se assuste, o objetivo é justamente chegar a um tratamento eficaz.
O tratamento para sinusite esfenoidal varia dependendo da gravidade e da causa. Pode incluir o uso de medicamentos para controlar a inflamação e combater infecções, como antibióticos, se for bacteriana. Lavagem nasal com soro fisiológico também é uma prática muito recomendada para ajudar a limpar as vias aéreas. É essencial seguir à risca as orientações médicas para garantir uma boa recuperação e evitar que o problema se torne crônico.
Dica Prática: Mantenha uma boa hidratação bebendo bastante água. Isso ajuda a fluidificar o muco, facilitando sua eliminação e aliviando a congestão.

Tratamento Medicamentoso: Remédios Que Fazem a Diferença
Quando a sinusite esfenoidal aperta, o médico geralmente vai receitar alguns medicamentos para te dar um alívio rápido. O objetivo principal é combater a inflamação e qualquer infecção que possa estar ali. Você pode ouvir falar de antibióticos, mas eles só entram em jogo se houver uma infecção bacteriana confirmada. Corticoides nasais também são queridinhos, pois ajudam a desinchar a mucosa e facilitar a respiração.

Além dos antibióticos e corticoides, dependendo do seu quadro, o profissional pode indicar anti-histamínicos para controlar alergias que agravam a situação, ou até mesmo descongestionantes. Mas cuidado com esses últimos, o uso prolongado não é recomendado. O importante é que o tratamento seja direcionado para o seu caso específico, pois cada sinusite tem sua particularidade. O uso de remédios deve ser sempre sob orientação médica, tá?
A combinação certa de medicamentos faz toda a diferença para você voltar a respirar aliviado. Não se trata apenas de tapar o sol com a peneira, mas de tratar a raiz do problema. Quando o médico prescreve, ele leva em conta o tipo de inflamação e se há presença de bactérias ou fungos. Seguir à risca o tratamento é o segredo para uma recuperação eficaz.
Dica Prática: Converse abertamente com seu médico sobre todos os sintomas e histórico para ele prescrever o melhor tratamento para você.

Cuidados Caseiros: Dicas Que Ajudam no Dia a Dia

Tratar a sinusite esfenoidal em casa foca em aliviar a inflamação e ajudar na drenagem. A gente pensa logo em umidificar o ar, né? Usar um umidificador no quarto, principalmente durante a noite, ajuda muito as vias aéreas a não ficarem tão secas e irritadas. Vaporizar também é uma mão na roda. Uma bacia com água quente, umas gotinhas de óleo essencial de eucalipto ou menta (se você não for sensível, claro) e uma toalha na cabeça fazem maravilhas para abrir tudo isso.
A lavagem nasal com soro fisiológico é um daqueles rituais que, embora pareça meio estranho no começo, acredite: é um dos jeitos mais eficazes de limpar os seios da face e remover secreções. Faça isso algumas vezes ao dia. Uma outra coisa que ajuda é manter a cabeça elevada quando for descansar, para facilitar o escoamento. Beber bastante água também é fundamental para manter tudo fluindo.
Dica Prática: Para a lavagem nasal, use um irrigador nasal ou uma seringa sem agulha. Incline a cabeça sobre uma pia, coloque o bico gentilmente em uma narina e deixe o soro sair pela outra. Repita do outro lado.

Lavagem Nasal Correta: A Chave Para Desobstruir
Fica tranquila, a lavagem nasal é um santo remédio quando a gente tá com o nariz entupido, principalmente por causa da sinusite esfenoidal. Muita gente acha que é complicado, mas não é. É um jeito simples e super eficaz de limpar tudo, sabe? Tirar aquele acúmulo de secreção que fica incomodando.

Vamos combinar, ninguém merece ficar com a sensação de peso na cabeça e o nariz sempre bloqueado. A sinusite esfenoidal mexe com a gente, né? A lavagem nasal funciona como uma limpeza profunda. Ela ajuda a remover o muco, os alérgenos e qualquer coisinha que esteja ali inflada, facilitando a respiração e aliviando a pressão.
O segredo é usar a solução salina correta e fazer a aplicação com cuidado. Se você sentir muita dificuldade ou incômodo, vale a pena pedir uma demonstração para o seu médico ou farmacêutico. Eles te mostram o jeitinho certo para você fazer em casa sem erro.
Dica Prática: Use água morna filtrada ou fervida e sal de qualidade própria para lavagem nasal. Nada de improvisos!

Umidificação do Ar: Seu Aliado Contra o Ressecamento
Você sabia que o ar seco pode ser um grande vilão para a sua saúde? Pois é, ele resseca as mucosas do nariz e da garganta, deixando a gente mais suscetível a inflamações e irritações. E se você sofre com sinusite, especialmente a esfenoidal, sabe o quanto um ambiente mais úmido pode fazer a diferença. A umidificação do ar não é só conforto, é um cuidado essencial para quem busca alívio.

Para combater o ar seco, especialmente em ambientes fechados com ar condicionado ou aquecimento, um umidificador de ar é um investimento que vale a pena. Ele devolve a umidade perdida para o ar, facilitando a respiração e ajudando a manter as vias aéreas mais saudáveis. Isso pode ser um grande aliado no tratamento e prevenção de problemas como a sinusite esfenoidal, que afeta os seios da face localizados atrás dos olhos.
Manter o umidificador limpo é fundamental para que ele funcione direitinho e não vire um foco de bactérias. Siga as recomendações do fabricante para a limpeza e troca de água. Um ar mais úmido e limpo facilita a drenagem do muco e pode aliviar a sensação de congestão. Fica tranquila que os resultados podem ser notados rapidamente.
Dica Prática: Se não tiver um umidificador, borrifar água no ambiente com um spray pode ajudar temporariamente, mas um aparelho específico trará resultados mais consistentes para aliviar a sinusite esfenoidal.

Repouso Inteligente: Ouça Seu Corpo Sem Culpa
A sinusite esfenoidal pode ser bem chatinha, né? Aquela dor que parece vir de dentro da cabeça, atrás dos olhos, incomoda demais. Muitas vezes, a gente acaba se sentindo mal por não conseguir fazer tudo o que planejou. Mas olha, aprender a dar um tempo quando o corpo pede é essencial. Não é fraqueza, é inteligência pura. Ouvir seu corpo sem culpa é o primeiro passo para se recuperar de verdade e evitar que o problema piore.

Quando a sinusite esfenoidal aperta, o descanso não é luxo, é tratamento. Seu corpo está te dizendo que precisa de uma pausa para lutar contra a inflamação. Isso significa, sim, reduzir o ritmo. Nada de forçar atividades físicas intensas ou se sobrecarregar no trabalho. Um ambiente calmo e tranquilo pode fazer toda a diferença na sua recuperação. Pense nisso como dar um respiro para seu sistema imunológico fazer o trabalho dele.
Se você tá sofrendo com sinusite esfenoidal, a primeira coisa é conversar com seu médico. Ele vai te orientar sobre os melhores medicamentos e tratamentos para o seu caso específico. Mas, enquanto isso, e como parte do cuidado diário, procure umidificar o ar do ambiente onde você fica mais tempo. Usar um umidificador ou até mesmo colocar uma bacia com água perto da sua cama pode ajudar a aliviar a congestão e o desconforto. Vamos combinar que essa é uma medida simples que alivia bastante.
Dica Prática: Quando sentir a dor da sinusite esfenoidal, experimente fazer uma compressa morna no rosto, focando na área dos seios da face. Isso pode ajudar a aliviar a pressão e trazer um pouco de conforto.

Alimentação: O Que Ajuda e o Que Piora
Vamos falar de alimentação para quem lida com sinusite esfenoidal. É aquele tipo de sinusite mais chatinha, né? Pois é, o que você come faz uma diferença danada. Alguns alimentos podem inflamar ainda mais a mucosa, piorando tudo. A ideia é desinflamar de dentro para fora.

Existem sim alimentos que pioram a sinusite esfenoidal. Laticínios em excesso, para muitas pessoas, podem aumentar a produção de muco. Açúcar refinado e alimentos processados são inflamatórios por natureza. O glúten, em alguns casos, também pode ser um gatilho. Na dúvida, vale observar como seu corpo reage.
Por outro lado, o que ajuda muito é investir em alimentos anti-inflamatórios. Frutas ricas em vitamina C, como laranja e kiwi, são ótimas. Vegetais verdes escuros, gengibre, cúrcuma e ômega-3 (encontrado em peixes como salmão e sardinha, e também em sementes de linhaça e chia) são seus melhores amigos. Hidratação também é fundamental, então abuse da água, chás e caldos quentinhos.
Dica Prática: Prepare um chá de gengibre com limão e mel todos os dias pela manhã. É um ritual simples que pode aliviar bastante os sintomas da sinusite esfenoidal.

Evite Gatilhos: O Que Te Faz Piorar?
Vamos falar sobre a sinusite esfenoidal. Sei que pode ser um incômodo e tanto, causando aquela dor de cabeça chata que parece não ir embora. Para te ajudar a lidar com isso, é fundamental identificar o que pode estar piorando seus sintomas. É como se houvesse um interruptor para a inflamação, sabe?

A sinusite esfenoidal afeta o seio esfenoidal, que fica bem no fundo da cabeça. Isso explica por que a dor pode ser tão profunda. Muitas vezes, o que parece ser apenas uma dor de cabeça comum pode ser um sinal de que algo não está bem aí. Reconhecer os seus gatilhos é o primeiro passo para um alívio real.
Ficar atenta a fatores que intensificam seu desconforto é essencial. Mudanças bruscas de temperatura, ficar exposta a muita poeira ou fumaça, até mesmo certos alimentos, podem ser os vilões. Descobrir seus gatilhos pessoais te dá o poder de evitá-los e, consequentemente, sentir-se muito melhor.
Dica Prática: Faça um pequeno diário de sintomas. Anote quando a dor piora e o que você estava fazendo ou consumindo antes. Isso vai te ajudar a identificar padrões e os seus gatilhos específicos.

Quando Procurar Ajuda Urgente: Alerta Vermelho!
Vamos falar sério agora sobre a sinusite esfenoidal. Sei que o nome pode soar complicado, mas é um tipo de inflamação que pega a região mais profunda dos seios paranasais, lá atrás dos olhos. A dor de cabeça costuma ser o principal sintoma, uma dor que parece vir de dentro da cabeça mesmo. Se essa dor fica muito intensa e não melhora com nada, é um sinal de alerta.

Outros sinais de que algo não vai bem incluem febre alta persistente, visão turva ou dupla, inchaço ao redor dos olhos, dificuldade para mover os olhos ou sensibilidade aumentada à luz. Pois é, esses sintomas indicam que a inflamação pode estar afetando estruturas importantes e precisa de atenção médica imediata. Não espere a situação piorar.
Quando a sinusite esfenoidal chega a esse ponto, com sintomas graves, procurar um pronto-socorro é o mais indicado. Os médicos vão avaliar a extensão da inflamação e iniciar o tratamento adequado, que pode envolver antibióticos intravenosos e, em alguns casos, drenagem. Fica tranquila, o importante é agir rápido para evitar complicações.
Dica Prática: Se sentir uma dor de cabeça que te impede de fazer suas atividades ou vem acompanhada de febre alta e alterações visuais, não hesite em buscar ajuda médica urgente.
Prevenção é o Melhor Remédio: Mantenha os Seios da Face Saudáveis
| Item | Características Essenciais | Minhas Dicas Pessoais |
|---|---|---|
| Identifique os Sinais: Não Ignore a Dor Profunda na Cabeça | A sinusite esfenoidal costuma doer fundo, atrás dos olhos ou na testa. É uma dor que não passa fácil. | Eu percebi que a dor piorava quando eu me abaixava. Fiquei atenta a isso. |
| Busque Ajuda Médica: O Otorrino é Seu Melhor Amigo Agora | Só um otorrino pode dar o diagnóstico certo. Ele vai ver seu histórico e te examinar. | Não demore para marcar a consulta. Quanto antes, melhor. Confie nele! |
| Tratamento Medicamentoso: Remédios Que Fazem a Diferença | Antibióticos, corticoides e anti-inflamatórios podem ser receitados. O médico vai indicar o ideal. | Siga a dose e o tempo certinho do remédio. Não pare antes, mesmo se sentir melhor. |
| Cuidados Caseiros: Dicas Que Ajudam no Dia a Dia | Compressas mornas no rosto e beber bastante líquido ajudam a aliviar. | Eu gostava de fazer uma compressa com uma toalhinha morna. Acalma mesmo. |
| Lavagem Nasal Correta: A Chave Para Desobstruir | Usar soro fisiológico ajuda a limpar o muco e a desinflamar. | Faça a lavagem com calma. É um ritual de limpeza, não uma luta. |
| Umidificação do Ar: Seu Aliado Contra o Ressecamento | Um ar mais úmido evita que suas vias nasais ressequem. Use um umidificador se precisar. | Colocar uma bacia com água no quarto antes de dormir funcionava pra mim. |
| Repouso Inteligente: Ouça Seu Corpo Sem Culpa | Seu corpo precisa de energia para se recuperar. Descanse o suficiente. | Tire um tempo para você. Não se sinta mal por parar um pouco. |
| Alimentação: O Que Ajuda e o Que Piora | Alimentos anti-inflamatórios como frutas e vegetais são bons. Evite o que causa inflamação. | Comer mais verde ajudou meu corpo a ficar mais forte. Percebi a diferença. |
| Evite Gatilhos: O Que Te Faz Piorar? | Fumaça, cheiros fortes, poeira podem irritar seus seios da face. | Descobri que perfume forte me atacava. Passei a evitar. |
| Quando Procurar Ajuda Urgente: Alerta Vermelho! | Febre alta, dor que piora muito, inchaço no rosto ou problemas de visão pedem atenção imediata. | Não hesite em ir para o pronto atendimento se esses sinais aparecerem. É melhor prevenir. |
Confira este vídeo relacionado para mais detalhes:
Vivendo Melhor com Sinusite Esfenoidal: Dicas Para o Cotidiano
Pois é, a sinusite esfenoidal pode ser bem chatinha, eu sei. Mas fica tranquila que com alguns cuidados diários, você pode sentir uma melhora significativa. Separei umas dicas que me ajudam bastante e que, com certeza, vão fazer a diferença pra você também. Vamos lá!
- Hidratação é Fundamental: Beba muita água! Parece básico, né? Mas ajuda a manter o muco mais fino, facilitando a drenagem. Chás mornos também são ótimos aliados.
- Umidificar o Ar: Use um umidificador no quarto, principalmente para dormir. Se não tiver, uma bacia com água perto da cama já ajuda. O ar seco piora a irritação.
- Lavagem Nasal Constante: Essa é a minha dica de ouro. Use soro fisiológico várias vezes ao dia. Eu faço pela manhã, à noite e sempre que sinto necessidade. Ajuda a limpar e aliviar a pressão.
- Evite Gatilhos: Observe o que piora seus sintomas. Poeira, fumaça, mudanças bruscas de temperatura? Tente se afastar o máximo possível.
- Descanso e Alimentação: Uma boa noite de sono e uma alimentação equilibrada dão um “up” na sua imunidade. Seu corpo agradece e responde melhor ao tratamento.
Dúvidas das Leitoras
A sinusite esfenoidal pode ser crônica?
Sim, a sinusite esfenoidal pode se tornar crônica. Isso acontece quando a inflamação persiste por mais de 12 semanas, mesmo com tratamento. Nesses casos, o acompanhamento médico é essencial para controlar os sintomas.
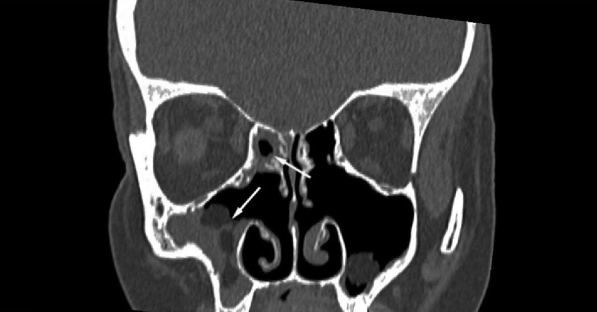
Existe algum exame específico para diagnosticar sinusite esfenoidal?
O diagnóstico geralmente envolve um exame físico e histórico médico. Exames de imagem como tomografia computadorizada são fundamentais para visualizar o seio esfenoidal. Eles ajudam a identificar a inflamação e possíveis obstruções.
É possível prevenir a sinusite esfenoidal com vacinas?
Não existe uma vacina específica para prevenir a sinusite esfenoidal. A melhor forma de prevenção é cuidar da saúde respiratória. Evitar alérgenos, manter o ambiente limpo e tratar infecções respiratórias agudas são medidas importantes.
Tratar a sinusite esfenoidal exige paciência e acompanhamento médico. Lembre-se de seguir o tratamento prescrito, manter a hidratação em dia e, se necessário, usar lavagens nasais. Cuide bem da sua saúde!

