Tratar a dermatite de contato alérgica pode ser um alívio! Sabe aquela coceira chata e vermelhidão que aparecem depois de usar um produto ou tocar em algo? Eu já passei por isso e sei como é frustrante. Neste post, vou te mostrar passos práticos para identificar os gatilhos e aliviar esses sintomas. Fica tranquila, vamos resolver isso juntas!
Dermatite de Contato Alérgica: O Que É e Como Identificar no Dia a Dia
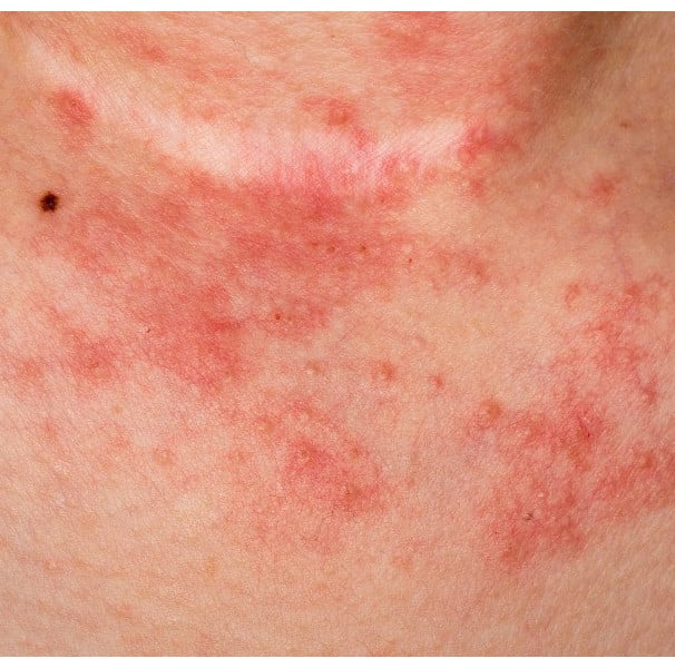
Sabe aquela coceira e vermelhidão que aparecem depois de usar um novo creme ou joia? Isso pode ser dermatite de contato alérgica. Ela acontece quando sua pele reage a algo que tocou. O sistema imunológico identifica a substância como um invasor e manda células de defesa para o local, causando inflamação.
Identificar é o primeiro passo. Preste atenção em quais produtos ou materiais novos você usou antes da reação. A causa comum inclui cosméticos, metais, látex e até plantas. O diagnóstico médico é importante para confirmar e iniciar o tratamento adequado.
Confira este vídeo relacionado para mais detalhes:
Passo a Passo para Aliviar e Tratar a Dermatite de Contato Alérgica

Identifique o Gatilho: O Primeiro Passo Essencial
A dermatite de contato alérgica acontece quando sua pele reage a algo específico. Pode ser um metal, um perfume, um cosmético, uma planta… a lista é grande! O grande desafio é justamente achar o culpado. Muitas vezes, a gente usa vários produtos ou tem contato com várias coisas diferentes ao mesmo tempo, e aí vira um mistério. Mas acredite, com um pouco de atenção, dá para desvendar.

A reação alérgica não é imediata. Ela pode demorar horas ou até dias para aparecer. Isso dificulta ainda mais a identificação. Por isso, é crucial observar os padrões. Onde apareceu a vermelhidão? Foi depois de usar um anel novo? Ou talvez depois de usar um determinado creme? Esses detalhes são ouro para começar a investigação. Tentar lembrar de tudo que você tocou ou usou nas horas e dias anteriores à reação é fundamental.
Quando a gente consegue identificar o que causa a alergia, o alívio é quase instantâneo, né? Porque aí é só tirar do caminho! Não é sobre se culpar, é sobre entender o seu corpo e dar a ele o que ele precisa para ficar tranquilo. Foca em observar sua rotina, os produtos que você usa e o que você toca. Esse é o caminho mais rápido para se livrar desse incômodo.
Dica Prática: Mantenha um diário de pele. Anote quando a irritação aparece, onde ela está e o que você usou ou fez nas 48 horas anteriores. Isso ajuda a criar um padrão e a identificar o gatilho mais facilmente.

Limpeza Suave: Mãos e Pele Livres de Irritantes
Sabe aquela sensação chata de pele irritada, que coça e fica avermelhada depois de usar um produto ou tocar em algo? Se você suspeita que pode ser dermatite de contato alérgica, a primeira coisa a fazer é garantir que suas mãos e pele fiquem livres de qualquer coisa que possa estar causando essa reação. Eu sei, às vezes a gente não tem ideia do que foi, mas o foco agora é acalmar a pele.

Para isso, escolha produtos de limpeza super suaves. Nada de sabonetes fortes ou com cheiros intensos, que podem piorar a situação. Opte por fórmulas hipoalergênicas e sem fragrâncias. Se a irritação for nas mãos, lave-as com água morna e um sabonete líquido bem delicado. Evite água quente, porque ela resseca a pele e pode agravar a vermelhidão e a coceira.
Quando falamos em tratamento, o objetivo é justamente evitar o contato com o agente causador e ajudar a pele a se recuperar. Se a dermatite de contato alérgica está te incomodando, focar em uma rotina de limpeza gentil é o passo inicial. Lembre-se de secar a pele com batidinhas leves, sem esfregar, após lavar.
Dica Prática: Se a sua pele estiver muito sensível, use um hidratante sem perfume logo após secar, para criar uma barreira protetora.

Uso de Corticoides Tópicos: Ação Anti-inflamatória Direta
Quando a pele reage, fica vermelha, coça e às vezes até incha. Isso é a inflamação agindo. Os corticoides tópicos são como um super-herói para essa situação. Eles agem direto no local, diminuindo essa resposta do corpo de forma rápida. É por isso que são tão indicados para a dermatite de contato alérgica.

A ação anti-inflamatória deles é direcionada. Eles interferem nos mecanismos que causam a vermelhidão e o inchaço. Assim, aliviam o desconforto. É essencial usar sob orientação médica, porque a potência e a frequência da aplicação variam muito. Cada pele e cada caso pedem uma abordagem específica.
O objetivo é controlar a reação e restaurar o conforto da sua pele. Eles ajudam a pele a se acalmar. Se você quer saber como tratar a dermatite de contato alérgica, lembre-se que essa é uma ferramenta poderosa. **Sempre siga as instruções do seu médico. Não se automedique.**

Antialérgicos Orais: Alívio Sistêmico para a Coceira Intensa

Esses remédios funcionam bloqueando a ação da histamina, que é a substância liberada quando o seu corpo reage a algo que te fez mal. O resultado? A coceira diminui, o inchaço vai embora e você consegue ter um respiro. Existem vários tipos, alguns mais antigos que dão um soninho (ótimo para dormir, inclusive!) e outros mais modernos que não causam essa sonolência. O médico vai te indicar o melhor para o seu caso.
A gente sabe que o desconforto pode ser grande, por isso, quando a coceira apertar e você já identificou o que causou a alergia, pode contar com o antialérgico oral. Lembre-se que ele é um paliativo para os sintomas, mas o fundamental mesmo é evitar o contato com a substância que causou a alergia. Se a reação for muito forte ou persistente, procure um dermatologista, ok? Ele é o profissional certo para te orientar.
Dica Prática: Se a coceira estiver te tirando do sério e você estiver com o diagnóstico de dermatite de contato alérgica, anote os horários em que você toma o antialérgico para não esquecer e manter a regularidade. Isso garante que o efeito seja contínuo.

Compressas Frias: Refrescância que Acalma a Pele Irritada
Quando a pele reage a algo, como uma joia, um cosmético ou até uma planta, o corpo libera substâncias que causam inflamação. Isso gera a coceira, a vermelhidão e o desconforto típico da dermatite de contato alérgica. As compressas frias funcionam como um anti-inflamatório natural. Elas diminuem o fluxo sanguíneo na área afetada, o que reduz a vermelhidão e o inchaço. Além disso, o frio tem um efeito anestesiante suave, ajudando a calmar a vontade de coçar, que é o pior de tudo, né?

Para fazer essa compressa, é super fácil. Você pode usar uma toalha limpa mergulhada em água fria, sem gelo, claro. Torça bem para não ficar pingando e aplique delicadamente na área irritada. Outra opção são aquelas bolsas de gel próprias para compressa, que você deixa no congelador por um tempo. O importante é não aplicar o gelo diretamente na pele, para evitar queimaduras. Deixe a compressa agir por uns 10 a 15 minutos. Repita algumas vezes ao dia, conforme sentir necessidade. Você vai ver como a sua pele agradece essa pausa refrescante.
Além de aliviar os sintomas no momento, as compressas frias são uma ferramenta segura para ajudar no tratamento da dermatite de contato alérgica, principalmente quando você ainda não identificou o que causou a reação. Elas não têm contraindicações e podem ser usadas sempre que a pele pedir socorro. Lembre-se que, se a irritação for muito intensa ou não melhorar, é fundamental procurar um dermatologista. Mas para os momentos de aperto, essa dica vale ouro.
Dica Prática: Se a coceira estiver insuportável, experimente mergulhar a toalha em água fria e adicionar uma colher de chá de bicarbonato de sódio antes de aplicar na pele. O

Hidratação Constante: Barreira de Proteção para a Pele Sensível
Quando a pele fica sensível por conta de uma alergia de contato, a barreira cutânea fica comprometida. Isso significa que ela perde a capacidade de reter água e se defender de agressores externos. É aí que a hidratação entra em cena. Usar um bom hidratante regularmente ajuda a reforçar essa barreira. Você vai sentir menos coceira e vermelhidão. É fundamental escolher produtos específicos para peles sensíveis, sem fragrâncias ou corantes, que podem piorar a situação.

A chave é a consistência. Não adianta hidratar só uma vez ou outra. Eu sei que dá preguiça às vezes, mas aplicar o hidratante logo após o banho, com a pele ainda úmida, potencializa o efeito. A água ajuda a selar a hidratação. Procure por ingredientes como ceramidas, ácido hialurônico e pantenol. Eles são conhecidos por suas propriedades restauradoras e calmantes. Eles ajudam a pele a se recuperar mais rápido.
Manter a pele bem hidratada ajuda muito no tratamento da dermatite de contato alérgica. Ela cria uma camada que protege contra novos contatos com o alérgeno e diminui a irritação. É um cuidado diário que faz toda a diferença para o seu bem-estar e para a saúde da sua pele. Fica tranquila, com a rotina certa, você vai notar a melhora.
Dica Prática: Se possível, use um hidratante com embalagem pump ou bisnaga. Assim, você evita o contato direto das mãos com o produto toda vez que for usar, o que diminui o risco de contaminação e mantém a qualidade.

Evitando Coçar: Quebrando o Ciclo de Inflamação e Dano
Sabe aquela vontade incontrolável de coçar uma área da pele que parece estar pegando fogo? Na dermatite de contato alérgica, isso é um pesadelo! Coçar, por mais que alivie na hora, é o pior inimigo. Isso porque você acaba machucando a pele, abrindo porta para mais inflamação e, acredite, piorando a alergia. É um ciclo vicioso que a gente precisa quebrar rapidinho.

Para tratar a dermatite de contato alérgica e evitar essa coceira intensa, o primeiro passo é identificar o que causou a reação. Pode ser uma nova joia, um creme, uma planta… a lista é grande! Depois de descobrir o vilão, a melhor coisa é se afastar dele. Enquanto isso, manter a pele hidratada e usar compressas frias pode trazer um alívio e tanto. Muita gente esquece que a pele precisa ser tratada com carinho para se recuperar.
Vamos combinar, ninguém merece sofrer com essa coceira sem fim. Se a irritação persistir ou piorar, procure um dermatologista. Ele vai te indicar os melhores produtos e tratamentos para acalmar a pele e acelerar a cicatrização. Existem ótimos cremes e loções que fazem milagres para acalmar a pele irritada e reduzir a inflamação, ajudando você a ter paz de volta.
Dica Prática: Se a pele estiver muito vermelha e inchada, compressas frias com chá de camomila (depois de esfriar!) podem ser um alívio rápido e natural.

Quando Procurar um Dermatologista: Sinais de Alerta
Se sua pele anda te dando sinais de que algo não vai bem, é hora de prestar atenção. Sabe aquela coceira que não para, vermelhidão que aparece do nada, ou bolinhas que parecem ter surgido em resposta a algo que você usou ou tocou? Pois é, esses são os primeiros sinais de alerta para a dermatite de contato alérgica. Ignorar esses sintomas pode fazer com que a irritação piore e se espalhe.

A dermatite de contato alérgica acontece quando sua pele reage a alguma substância específica. Pode ser um componente de um cosmético, uma joia, um tecido, uma planta, ou até mesmo um medicamento tópico. A pele fica sensível e, na próxima vez que tiver contato com o alérgeno, a reação vem com tudo. A pele fica inchada, coça demais e podem aparecer pequenas bolhas que, às vezes, até vazam líquido. É um incômodo danado!
É fundamental identificar o que está causando essa reação alérgica para evitar o contato futuro. Se os sintomas forem leves, você pode até conseguir controlar com algumas medidas em casa. Mas se a vermelhidão for intensa, a coceira insuportável ou a irritação não melhorar, não perca tempo. Procurar um dermatologista é o melhor caminho para um diagnóstico preciso e um tratamento eficaz. Ele vai te ajudar a descobrir o culpado e indicar o melhor para sua pele.
Dica Prática: Se suspeitar de dermatite de contato alérgica, evite coçar a pele. Use compressas frias e limpas para aliviar a coceira e aplique uma camada fina de hidratante sem fragrância nas áreas afetadas.

Tratamentos Alternativos e Complementares com Cautela
Eu sei que quando a gente descobre que tem dermatite de contato alérgica, bate um desespero pra achar um alívio rápido. A medicina tradicional é fundamental, claro, com os anti-histamínicos e corticoides que a gente conhece. Mas, muitas vezes, a gente busca um reforço, um cuidado a mais. Aí entram os tratamentos alternativos e complementares. É importante ter em mente que eles vêm pra somar, não pra substituir o que o médico indicou. Pense neles como um apoio extra pro seu bem-estar.

Quando falamos de tratamentos complementares, coisas como acupuntura podem ajudar a equilibrar o corpo e a reduzir a resposta inflamatória. Algumas pessoas relatam melhora com o uso de óleos essenciais, mas é preciso muita cautela. Use apenas os que são seguros para aplicação na pele e sempre diluídos. Pesquise muito sobre a procedência e nunca aplique puro. Fitoterapia também aparece, com chás e extratos de plantas que, em alguns casos, podem ter ação calmante ou anti-inflamatória. Mas, olha, nada de sair tomando qualquer coisa, viu?
O segredo aqui é sempre conversar com seu médico antes de experimentar qualquer coisa nova. Ele conhece seu histórico e pode te orientar sobre o que é seguro e o que pode até piorar seu quadro. A ideia é que esses tratamentos complementares ajudem você a se sentir melhor no geral, talvez até a reduzir a necessidade de medicação a longo prazo, mas isso é algo pra discutir com o profissional de saúde. Fique atenta a como seu corpo reage. Nem tudo funciona pra todo mundo.
Dica Prática: Antes de usar qualquer óleo essencial ou planta nova na pele ou para ingestão, faça um teste em uma pequena área e sempre consulte um profissional da saúde ou um fitoterapeuta qualificado para garantir a segurança e a eficácia.

Prevenção é a Chave: Mudanças de Hábito para Evitar Recaídas
Para tratar a dermatite de contato alérgica de vez, a primeira lição que aprendi na pele (literalmente!) é que a prevenção é a chave. Não adianta só cuidar quando a coceira aparece. É preciso identificar o que causa a alergia e, mais importante, evitar ao máximo o contato com essa substância. Isso pode parecer óbvio, mas nem sempre é fácil de colocar em prática. Vamos combinar: a gente se acostuma com certas coisas.

Quando a gente descobre um alérgeno, como um componente de perfume ou um metal, a dica de ouro é ler rótulos. Sim, aquela leiturinha chata, mas que salva sua pele. Procure por produtos “hipoalergênicos” ou específicos para peles sensíveis. Se for algo em casa, tipo um produto de limpeza, procure alternativas mais suaves. Fica tranquila, existem muitas opções no mercado que não vão te deixar na mão.
A rotina de cuidados também faz toda a diferença. Usar sabonetes neutros, hidratar a pele com frequência, principalmente depois do banho, e evitar água muito quente são hábitos que fortalecem a barreira da sua pele. Assim, ela fica mais resistente contra novos ataques alérgicos. A gente não pode deixar a pele desprotegida.
Dica Prática: Tenha sempre um kit de primeiros socorros para crises alérgicas em casa, com antialérgicos e hidratantes específicos recomendados pelo seu médico. Assim, você está preparada para agir rápido.
O Que Usar (e o Que Evitar) para Proteger Sua Pele Sensível
| Item | O Que Fazer / Usar | O Que Evitar | Dicas da Autora |
|---|---|---|---|
| Identifique o Gatilho: O Primeiro Passo Essencial | Observe sua rotina e os produtos que usa. Anote o que pode ter entrado em contato com a pele no momento em que a irritação começou. | Não ignore novas sensações na pele. A pressa em usar um produto para “cobrir” a vermelhidão sem saber a causa. | Seja uma detetive! Às vezes, o culpado é algo que usamos todos os dias, mas que de repente passou a irritar. Produtos de limpeza, cosméticos, até joias. |
| Limpeza Suave: Mãos e Pele Livres de Irritantes | Use sabonetes neutros, sem fragrância e corantes. Lave a área afetada delicadamente, sem esfregar. Enxágue bem. | Sabonetes agressivos, com álcool ou perfumes fortes. Água muito quente que resseca a pele. Esfregar a pele irritada. | Pense em um abraço para a sua pele. A água morna é sua amiga. Secar com toalha macia, dando batidinhas leves, é essencial. |
| Uso de Corticoides Tópicos: Ação Anti-inflamatória Direta | Use conforme a indicação médica. Geralmente aplicados em fina camada sobre a área inflamada. | Uso sem prescrição médica. Aplicação em áreas extensas ou por longos períodos sem acompanhamento. Usar em excesso. | Esses cremes são fortes e têm sua função. Siga à risca o que o médico receitou. Nada de “um pouquinho a mais porque está coçando muito”, tá? |
| Antialérgicos Orais: Alívio Sistêmico para a Coceira Intensa | Tome quando a coceira for difícil de controlar e atrapalhar o dia a dia. Sempre com orientação médica. | Usar antialérgicos sem saber se são indicados para o seu caso. Ignorar a sonolência que alguns causam. | Se a coceira te tira do sério, esses remédios podem ser um alívio. Mas atenção: alguns dão sono, então cuidado para dirigir ou operar máquinas. |
| Compressas Frias: Refrescância que Acalma a Pele Irritada | Molhe uma toalha limpa em água fria (não gelada!) e aplique sobre a área afetada por alguns minutos. | Usar gelo direto na pele. Compressas muito quentes. Esfregar a toalha. | É um socorro rápido e delicioso para a pele em chamas. O frescor alivia a ardência e a coceira. Use quantas vezes precisar. |
| Hidratação Constante: Barreira de Proteção para a Pele Sensível | Use hidratantes sem perfume, hipoalergênicos. Aplique várias vezes ao dia, especialmente após lavar a pele. | Hidratantes com álcool, fragrâncias, corantes. Deixar |
Confira este vídeo relacionado para mais detalhes:
Mitos e Verdades Sobre Dermatite de Contato Alérgica
A dermatite de contato alérgica pode ser bem chatinha, né? Muita gente se confunde com o que é verdade ou mito sobre ela. Eu já passei por cada situação que te falo, e depois de testar de tudo, aprendi algumas coisas valiosas que quero compartilhar contigo.
Minhas Dicas de Ouro para Lidar com a Dermatite de Contato Alérgica:
- Identifique o Vilão: O primeiro passo é descobrir o que causa sua reação. Pode ser um cosmético, uma joia, um tecido… Anote tudo o que você usou ou teve contato antes da crise aparecer. Isso ajuda muito a evitar futuras.
- Evite a Todo Custo: Uma vez que você sabe o que te faz mal, o segredo é fugir mesmo! Leia rótulos, pergunte sobre os ingredientes, se for preciso. Se uma blusa te deu alergia, por mais linda que seja, ela não vale o incômodo.
- Tratamento Tópico é Seu Aliado: Na crise, cremes e pomadas prescritos pelo dermatologista são essenciais. Use-os direitinho, conforme a receita. Eles aliviam a coceira e a inflamação rapidinho.
- Higiene Suave: Lave a área afetada com água fria ou morna e um sabonete bem suave, sem perfume. Esfregar pode piorar a irritação. Seque com batidinhas leves, sem fricção.
- Paciência é Fundamental: A pele precisa de tempo para se recuperar. Não se frustre se não melhorar de um dia para o outro. Continue com os cuidados e confie no processo.
Dúvidas das Leitoras
Quanto tempo leva para a dermatite de contato alérgica desaparecer?
O tempo varia, mas geralmente o desaparecimento total ocorre em duas a quatro semanas após evitar o gatilho. Siga o tratamento médico para acelerar a recuperação.
Posso usar maquiagem quando estou com dermatite de contato alérgica?
Evite maquiagem na área afetada. Se precisar, opte por produtos hipoalergênicos e sem fragrâncias, mas sempre com a aprovação do seu médico.
Quais são os alérgenos mais comuns que causam dermatite de contato?
Metais como níquel, fragrâncias em cosméticos e produtos de higiene, látex e algumas plantas, como a hera venenosa, são os culpados mais frequentes. Fique atenta aos rótulos e ingredientes.
A dermatite de contato alérgica pode se espalhar para outras partes do corpo?
Sim, pode. O contato com as mãos contaminadas pode levar a erupções em outras áreas. A prevenção é a melhor forma de controle.
Para cuidar da dermatite de contato alérgica, o segredo é identificar o gatilho e evitar o contato. Use os medicamentos que seu médico receitou e mantenha a pele hidratada. Fica tranquila, com as medidas certas, você controla essa situação! Se gostou das dicas, compartilhe com quem precisa saber. E se quiser saber mais sobre cuidados com a pele, temos outros conteúdos ótimos para você explorar.

