Sabe aquela dor de garganta que te impede de falar, engolir e até de pensar direito? Se você busca saber como tratar a faringite e livrar-se logo desse incômodo, chegou ao lugar certo. Eu vou te guiar pelos tipos de faringite e as melhores estratégias para um alívio rápido e eficaz, direto ao ponto. Vamos desmistificar essa condição e te colocar de volta nos trilhos.
Entendendo as Causas da Faringite: Viral, Bacteriana e Irritativa
A faringite pode ter origens bem diferentes, e entender isso é o primeiro passo para o tratamento certo. A causa viral é a mais comum e costuma passar em poucos dias. Já a bacteriana exige atenção médica, pois um tratamento incorreto pode complicar as coisas. Fatores como refluxo, alergias ou até mesmo o ar seco também podem inflamar sua garganta.
“O tratamento da faringite depende da causa (viral, bacteriana ou irritativa) e deve ser orientado por um médico.”

O que você vai precisar
- Analgésicos e antitérmicos de venda livre
- Anti-inflamatórios (se indicados para seu caso)
- Muita água, chás e líquidos claros
- Mel e limão (opcional, para gargarejos ou para adoçar bebidas)
- Sal (para gargarejos)
- Umidificador de ar (opcional, mas recomendado)
- Pastilhas para garganta (opcional)

Passo a Passo: Como resolver isso
- Repouso é fundamental: Seu corpo precisa de energia para combater a inflamação. Evite esforços e descanse o máximo que puder.
- Hidrate-se sem parar: Beba água, chás mornos (sem cafeína), sucos naturais e sopas. Líquidos ajudam a manter a garganta úmida e a fluidificar secreções. Evite bebidas muito quentes ou muito geladas.
- Alívio para a dor: Analgésicos e antitérmicos comuns podem ajudar a controlar a dor e a febre. Siga a dosagem recomendada na bula. Se tiver dor muito intensa, um anti-inflamatório pode ser necessário, mas sempre com orientação.
- Gargarejos que salvam: Misture meia colher de chá de sal em um copo de água morna. Faça gargarejos várias vezes ao dia. Isso ajuda a reduzir o inchaço e a limpar a garganta.
- Ambiente agradável: Se o ar estiver muito seco, use um umidificador. O ar úmido facilita a respiração e acalma a garganta irritada. Evite ambientes com fumaça ou poluídos.
- Alimentação leve: Prefira alimentos pastosos ou líquidos, como sopas, purês e vitaminas. Evite alimentos duros, crocantes ou muito condimentados que possam irritar ainda mais a garganta.

Faringite Viral
A maioria dos casos de faringite é viral. Os sintomas, como dor de garganta e febre baixa, costumam durar de 3 a 5 dias. O tratamento foca em aliviar esses desconfortos com analgésicos, antitérmicos e muito repouso e hidratação. Benegrip tem mais informações sobre isso.

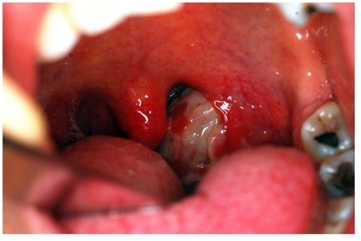
Faringite Bacteriana
Aqui a coisa pode ficar mais séria. A faringite bacteriana, muitas vezes causada pelo Estreptococo, vem com dor de garganta intensa, febre alta e, às vezes, aquelas placas de pus visíveis. Para essa, o caminho é um médico prescrever antibióticos. É crucial tomar o ciclo completo, tá? Parar antes pode gerar resistência. A Conexa Saúde explica direitinho.

Faringite Irritativa ou Alérgica
Sabe quando a garganta fica arranhando por causa de refluxo, ar seco, fumaça ou rinite? Isso é a faringite irritativa ou alérgica. O tratamento foca em resolver a causa: antialérgicos se for alergia, controle da acidez se for refluxo, e mudanças de hábito. Evitar cigarros, álcool e comidas muito apimentadas ajuda muito. A Rede D’Or São Luiz detalha essas causas.

Dicas para aliviar os sintomas em casa
- Gargarejos com água morna e sal são um clássico que funciona.
- Hidratação é a palavra de ordem: beba líquidos o tempo todo.
- Comidas e bebidas mornas (nunca quentes demais!) trazem conforto.
- Manter o ambiente úmido pode fazer uma grande diferença.
Essas medidas caseiras, indicadas pela Rede D’Or São Luiz, trazem um alívio prático no dia a dia.

Quando procurar um médico
Se a dor de garganta for muito forte, durar mais de uma semana, vier acompanhada de febre alta persistente, dificuldade para engolir ou respirar, ou se notar placas de pus, é hora de buscar ajuda médica. Não espere a situação piorar.

Complicações da Faringite
Embora a maioria dos casos se resolva sem problemas, a faringite bacteriana, se não tratada corretamente, pode levar a complicações como abcessos na garganta ou febre reumática. Por isso, o diagnóstico e tratamento corretos são tão importantes.

Diferenças entre Faringite e Amigdalite
Vamos combinar, é fácil confundir. A faringite é a inflamação da faringe, aquela parte mais ao fundo da garganta. Já a amigdalite é a inflamação das amígdalas, aquelas
Dicas Extras
- Mantenha a calma: Faringite viral costuma passar em poucos dias. O foco é o alívio dos sintomas.
- Evite irritantes: Fumaça de cigarro, poluição e ar muito seco pioram a irritação na garganta.
- Hidratação é chave: Beba água, chás mornos (sem açúcar em excesso) e sucos naturais. Isso ajuda a fluidificar o muco e a manter a garganta úmida.
- Repouso vocal: Falar pouco ou em tom baixo ajuda a garganta a se recuperar mais rápido.
Dúvidas Frequentes
Faringite viral e bacteriana são a mesma coisa?
Não. A faringite viral é a mais comum, geralmente dura de 3 a 5 dias e melhora com repouso e analgésicos. Já a bacteriana pode exigir antibióticos prescritos por um médico e costuma ter sintomas mais intensos. Entender a diferença entre faringite viral e bacteriana é crucial para o tratamento correto.
Qual o melhor remédio para dor de garganta?
Para dor de garganta viral, analgésicos e antitérmicos comuns ajudam a aliviar o desconforto. Se a causa for bacteriana, um médico poderá prescrever antibióticos. Para faringite alérgica, antialérgicos podem ser indicados. Sempre consulte um profissional de saúde para um diagnóstico preciso.
Posso comer normalmente se estiver com faringite?
É recomendado optar por alimentos mais pastosos ou líquidos, mornos ou frios, que não irritem a garganta. Evite alimentos muito quentes, picantes ou ácidos. Uma alimentação adequada pode auxiliar no processo de recuperação.
Conclusão
Lidar com a faringite pode ser desconfortável, mas com as informações certas, o alívio rápido é possível. Lembre-se que o repouso, a hidratação e os cuidados adequados são seus maiores aliados. Para um entendimento mais aprofundado, explore as diferenças entre faringite viral e bacteriana e descubra quando procurar um médico para dor de garganta.

