Como tratar a dor no ombro por tendinite calcária? Essa condição pode ser bem chata, limitando seus movimentos e tirando o sono. Pois é, a gente sabe como é. Mas fica tranquila, você não precisa conviver com isso para sempre. Neste post, vou te mostrar o caminho para se livrar dessa dor e recuperar seu bem-estar.
Dor no Ombro por Tendinite Calcária: O Que Você Precisa Saber
A tendinite calcária é quando cristais de cálcio se formam dentro dos tendões do ombro. Isso pode causar muita dor, especialmente na hora de levantar o braço. Não é algo incomum, muitas pessoas passam por isso, mas a boa notícia é que tem tratamento. O objetivo principal é diminuir a inflamação e aliviar essa dor chata que limita seus movimentos.
Entender o que está acontecendo é o primeiro passo. A dor pode variar, mas o diagnóstico correto é fundamental para o sucesso do tratamento. Existem várias abordagens, desde repouso e fisioterapia até procedimentos mais específicos para remover o cálcio. Vamos cuidar desse ombro para você voltar a se movimentar sem incômodos!
Confira este vídeo relacionado para mais detalhes:
Entendendo a Tendinite Calcária: Do Diagnóstico ao Bem-Estar

O Que Causa o Depósito de Cálcio no Ombro?
Sabe aquela dorzinha chata no ombro que parece não ir embora? Pois é, muitas vezes ela pode ser um depósito de cálcio. Isso acontece quando o cálcio, que normalmente está dissolvido, começa a se formar em pequenos cristais dentro dos tendões do ombro. Essa calcificação pode irritar o tendão e gerar bastante incômodo, especialmente com os movimentos.

A causa exata desse depósito ainda não é totalmente clara para a ciência, mas alguns fatores parecem contribuir. Problemas na circulação sanguínea local dentro do tendão e um desgaste natural com o tempo são teorias fortes. Às vezes, até mesmo um pequeno trauma pode iniciar o processo. Não é algo que acontece da noite para o dia, mas sim um desenvolvimento gradual que, quando causa dor, vira um grande problema na vida de quem sente.
O tratamento para essa dor causada pela tendinite calcária foca em aliviar a inflamação e a dor, além de ajudar o corpo a reabsorver esse cálcio, se possível. Geralmente, a gente começa com repouso, gelo e medicamentos anti-inflamatórios. Fisioterapia é fundamental para fortalecer os músculos e melhorar a mobilidade. Em alguns casos mais persistentes, procedimentos como ultrassom terapêutico ou até mesmo uma pequena intervenção para remover o depósito podem ser necessários. Fica tranquila, existem caminhos para se sentir melhor.
Dica Prática: Evite movimentos que forcem muito o ombro dolorido, mas não deixe de movimentá-lo suavemente em amplitudes sem dor para não ficar “travado”.

Sintomas Que Não Devem Ser Ignorados
Aquela dor no ombro que não passa, sabe? Se ela vier acompanhada de limitações nos movimentos, especialmente para levantar o braço, é um sinal de alerta. A tendinite calcária pode se manifestar assim, com um desconforto persistente que atrapalha o dia a dia. Ignorar isso só faz o problema se agravar.

É importante saber reconhecer quando o problema é mais sério. Se você sente dor que piora à noite, te impedindo de dormir, ou se a dor é tão forte que você não consegue realizar tarefas simples como se vestir ou pentear o cabelo, não deixe para depois. Esses são sintomas que precisam de atenção médica para um diagnóstico correto.
Existem tratamentos que podem aliviar esse quadro e te devolver a qualidade de vida. Fisioterapia, medicamentos e, em alguns casos, procedimentos específicos podem ser indicados pelo profissional de saúde. O segredo é buscar ajuda cedo. Fica tranquila, com o acompanhamento certo, a recuperação é totalmente possível.
Dica Prática: Experimente fazer compressas de gelo por 15-20 minutos, várias vezes ao dia, especialmente após atividades que causem dor. Isso ajuda a desinflamar e a aliviar o desconforto agudo.

Diagnóstico: Como o Médico Identifica a Tendinite Calcária?

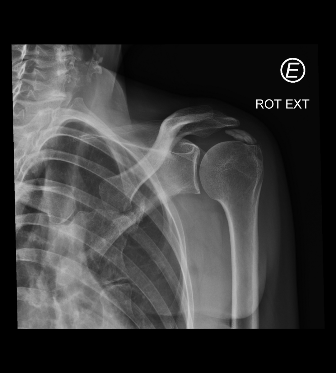
Depois dessa conversa inicial, o próximo passo é o exame físico. O médico vai movimentar seu braço em diferentes posições para ver quais movimentos desencadeiam a dor e onde ela é mais intensa. Ele pode pressionar certas áreas do ombro também. E para ter certeza absoluta, a radiografia (o raio-X) é quase sempre o exame principal. É nessa imagem que as famosas calcificações no tendão aparecem bem visíveis, confirmando o diagnóstico. Às vezes, se houver alguma dúvida, pode ser solicitado um ultrassom, que mostra os tecidos moles com mais detalhes.
A confirmação vem com a imagem certa, mostrando aquelas calcificações que causam a inflamação e a dor no ombro. É importante não se desesperar ao ouvir o diagnóstico. O tratamento para a dor no ombro por tendinite calcária existe e pode trazer muito alívio. Vamos combinar, ninguém merece ficar com dor, né? Buscar ajuda médica logo no início faz toda a diferença.
Dica Prática: Anote as suas principais queixas e quando elas aparecem para não esquecer nenhum detalhe na consulta.

Fases da Tendinite Calcária: Do Início à Resolução
Falar sobre tendinite calcária no ombro pode parecer assustador, mas entender as fases ajuda muito. Geralmente, começa com uma fase de formação, onde o cálcio começa a aparecer. Depois vem a fase de reabsorção, que é quando o corpo tenta dissolver esse depósito. É nessa fase que a dor costuma apertar mais.

Muita gente me pergunta sobre como lidar com essa dor, especialmente na fase em que o corpo está trabalhando para “limpar” o cálcio. Fica tranquila, porque existem maneiras de aliviar o desconforto enquanto isso acontece. O mais importante é não forçar o movimento que dói, ok?
Depois de um tempo, o corpo consegue reabsorver grande parte do cálcio e a dor vai diminuindo naturalmente. É um processo que varia de pessoa para pessoa, mas a resolução acontece. O segredo é ter paciência e seguir as orientações médicas.
Dica Prática: Se a dor no ombro estiver forte, experimente fazer compressas frias por cerca de 15 a 20 minutos, várias vezes ao dia. Isso pode ajudar a desinflamar e trazer um alívio rápido.

Tratamentos Conservadores: O Que Funciona de Verdade?
Pois é, a tendinite calcária no ombro pode ser bem chata, né? Mas fica tranquila, tem sim tratamentos conservadores que realmente ajudam. O objetivo aqui é diminuir a inflamação e a dor, pra você voltar a ter seu ombro funcionando sem sofrimento. Muitas vezes, o corpo se resolve sozinho, mas um empurrãozinho é sempre bem-vindo.

Quando falo de tratamentos conservadores, me refiro a opções que não envolvem cirurgia. A fisioterapia é uma das campeãs! Exercícios específicos ajudam a recuperar o movimento e a fortalecer os músculos ao redor, o que dá mais estabilidade pro seu ombro. A terapia por ondas de choque também tem mostrado ótimos resultados, especialmente pra quebrar esses depósitos de cálcio que causam a dor. É uma abordagem sem cortes, que foca em restaurar a função.
Ainda dentro do tratamento conservador, as infiltrações com corticoides podem ser usadas pra dar um alívio rápido da inflamação e da dor aguda. Mas vamos combinar, isso é mais pra controlar os sintomas em momentos de crise. O mais importante é ter consistência com a fisioterapia e os exercícios que você vai aprender. Lembre-se que cada caso é um caso, e o ideal é sempre ter o acompanhamento de um médico especialista.
Dica Prática: Não ignore a dor. Quando ela aparecer com mais intensidade, evite os movimentos que a pioram e aplique compressas frias na região afetada por cerca de 15 minutos, várias vezes ao dia. Isso ajuda a reduzir a inflamação.

A Fisioterapia Como Aliada Essencial
Se você está sentindo aquela dor chata no ombro por causa da tendinite calcária, saiba que não está sozinha. E o mais importante: tem jeito! A fisioterapia é, sem dúvida, a sua maior aliada nessa hora. Ela atua diretamente na causa da dor, ajudando a reabsorver o cálcio e a recuperar a mobilidade que você perdeu.

Aqui no Brasil, muitos profissionais já dominam as técnicas mais eficazes. Eles usam recursos como ultrassom terapêutico, laser, terapia manual e, claro, exercícios específicos. A ideia é reduzir a inflamação, aliviar a dor e fazer com que seu ombro volte a funcionar direitinho. Cada sessão é pensada para o seu caso.
O tratamento pode levar um tempinho, mas o resultado vale a pena. Com acompanhamento profissional e dedicação, você vai sentir a diferença. A fisioterapia devolve a qualidade de vida e te livra desse incômodo constante.
Dica Prática: Seja paciente com o processo. A melhora da tendinite calcária exige consistência nos exercícios e nas sessões, mas o alívio e a recuperação da funcionalidade são garantidos.

Quando a Cirurgia se Torna Necessária?
Sabe aquela dor chata no ombro que não passa de jeito nenhum? Se o diagnóstico for tendinite calcária, a cirurgia entra em cena quando os tratamentos conservadores não dão o resultado esperado. Eu falo de fisioterapia, medicação, injeções… tudo isso se esgota e a dor continua limitando seu dia a dia, é hora de pensar em outras opções. A cirurgia visa remover o depósito de cálcio que está ali, incomodando e causando a inflamação.

Existem diferentes técnicas cirúrgicas, mas o objetivo é sempre o mesmo: aliviar a pressão e permitir que o tendão se cure. Muitas vezes, o procedimento é feito de forma minimamente invasiva, por artroscopia. Isso quer dizer que o cirurgião faz pequenas incisões e usa instrumentos delicados, guiados por uma câmera. As vantagens são muitas: recuperação mais rápida, menos dor pós-operatória e cicatrizes bem pequenas. Eu mesma já vi pacientes voltarem às suas atividades em bem menos tempo do que imaginavam.
É importante lembrar que a cirurgia não é a primeira opção, mas quando ela se torna necessária, o alívio pode ser surpreendente. O tempo de recuperação varia, claro, mas a fisioterapia pós-cirúrgica é fundamental para recuperar a força e a mobilidade do seu ombro. Converse abertamente com seu médico sobre todas as suas dúvidas e expectativas. Ele é a pessoa certa para te guiar nesse processo.
Dica Prática: Após a cirurgia, siga à risca as orientações do seu fisioterapeuta. A reabilitação é tão importante quanto o procedimento em si para garantir um resultado duradouro.

Mitos e Verdades Sobre a Recuperação
Muita gente acha que dor no ombro por tendinite calcária é um bicho de sete cabeças, mas vamos desmistificar isso! Pois é, a principal verdade é que essa condição é mais comum do que se imagina, especialmente em mulheres. A calcificação nos tendões do ombro causa dor intensa e limita os movimentos, mas o tratamento existe e funciona. Fica tranquila, não é para sempre.

O mito de que só cirurgia resolve é furada. Na maioria dos casos, a tendinite calcária responde muito bem a tratamentos conservadores. Fisioterapia é fundamental, com exercícios específicos para aliviar a dor e recuperar a mobilidade. Medicamentos anti-inflamatórios também entram como aliados. E, claro, repouso relativo: nada de forçar o ombro, ok?
Se a dor persistir mesmo com os tratamentos iniciais, existem outras abordagens. A fisioterapia avançada pode usar técnicas como ultrassom terapêutico ou laser. Em alguns casos, injeções locais de corticoide podem ser recomendadas pelo médico para diminuir a inflamação. A cirurgia é o último recurso, geralmente feita por artroscopia, para remover os depósitos de cálcio. Vamos combinar, o importante é buscar ajuda profissional logo no início.
Dica Prática: Se o seu ombro está doendo muito, evite dormir sobre ele. Tente usar um travesseiro mais firme para apoiar o braço durante o sono, mantendo-o em uma posição mais confortável e menos pressionada.

Prevenção: Evitando Novas Calcificações
A tendinite calcária no ombro pode ser uma dor chata, né? Mas a boa notícia é que existem formas de evitar que novas calcificações apareçam. O segredo está em cuidar bem da saúde do seu ombro no dia a dia. A gente sabe que, muitas vezes, a gente só vai atrás de tratamento quando a dor aperta, mas prevenir é sempre o melhor caminho.

Para evitar que novas calcificações se formem, é fundamental manter os tendões saudáveis. Isso envolve uma boa postura, evitar movimentos repetitivos que sobrecarregam o ombro e, se você pratica esportes, caprichar no aquecimento. Ah, e não se esqueça de fortalecer a musculatura ao redor do ombro. Músculos fortes dão suporte e ajudam a distribuir melhor o esforço.
E, claro, se você já teve um episódio de tendinite calcária, preste atenção aos sinais do seu corpo. Qualquer incômodo persistente deve ser investigado. Não ignore dores que parecem pequenas. Cuidar da sua saúde física de forma geral também ajuda muito: alimentação equilibrada e hidratação adequada são essenciais para a saúde dos tecidos, incluindo os tendões.
Dica Prática: Faça alongamentos suaves para os ombros todos os dias, mesmo sem dor. Isso ajuda a manter a mobilidade e a circulação sanguínea na região.

Vivendo Bem Com o Ombro Saudável: Dicas de Longo Prazo
Falar de ombro saudável é falar de liberdade nos movimentos, né? E quando aparece aquela tendinite calcária, que deixa o ombro dolorido e sem mobilidade, parece que o mundo para. Pois é, esse tipo de calcificação no tendão causa uma inflamação danada. Mas a boa notícia é que, com as estratégias certas, você consegue aliviar essa dor e recuperar seu bem-estar.

O tratamento da tendinite calcária foca em duas frentes: diminuir a inflamação e ajudar o corpo a reabsorver o cálcio. Muitas vezes, fisioterapia é a chave. Exercícios específicos ajudam a fortalecer a musculatura do manguito rotador e melhorar a amplitude de movimento, o que é fundamental para que o seu ombro volte a funcionar direitinho. Fica tranquila, o progresso vem aos poucos.
Existem também abordagens que podem acelerar o processo, como a terapia por ondas de choque, que ajuda a quebrar os depósitos de cálcio, ou até mesmo infiltrações com corticoides em casos mais persistentes. Mas o acompanhamento médico é essencial para definir o melhor caminho para o seu caso. Vamos combinar, cuidar da saúde do seu ombro é investir na sua qualidade de vida.
Dica Prática: Aplique compressas frias na área dolorida por 15-20 minutos, várias vezes ao dia, para ajudar a controlar a inflamação.
Recuperação e Retorno às Atividades: Um Guia Passo a Passo
| Item | O Que Você Precisa Saber | Dicas Práticas e Insights |
|---|---|---|
| O Que Causa o Depósito de Cálcio no Ombro? | O acúmulo de cálcio nos tendões do ombro, geralmente por desgaste ou microtraumas repetitivos. Pode ser uma resposta do corpo a lesões ou envelhecimento. | Preste atenção a movimentos que causam desconforto repetitivo. Pequenas lesões podem acumular problemas ao longo do tempo. |
| Sintomas Que Não Devem Ser Ignorados | Dor intensa, que pode piorar à noite, limitação de movimento e fraqueza no ombro. A dor pode irradiar para o braço. | Se a dor te impede de fazer suas tarefas diárias ou te acorda à noite, procure um médico. Ignorar pode piorar a situação. |
| Diagnóstico: Como o Médico Identifica a Tendinite Calcária? | Exame físico e histórico médico são o primeiro passo. Radiografias e ultrassonografias confirmam a presença e localização dos depósitos de cálcio. | Seja detalhista ao descrever seus sintomas e quando eles começaram. Isso ajuda muito o profissional a chegar ao diagnóstico correto. |
| Fases da Tendinite Calcária: Do Início à Resolução | Geralmente, há uma fase de formação, uma fase de calcificação e uma fase de reabsorção, onde o corpo começa a eliminar o cálcio. A dor é mais comum nas fases de formação e calcificação. | Entender a fase em que você está ajuda a gerenciar as expectativas. Nem sempre a dor intensa significa que o problema é mais grave, às vezes indica que o corpo está agindo. |
| Tratamentos Conservadores: O Que Funciona de Verdade? | Repouso relativo, gelo, medicamentos anti-inflamatórios, e, em alguns casos, infiltrações. A fisioterapia é um pilar fundamental. | O repouso não é parar tudo, mas sim evitar os movimentos que pioram a dor. O gelo ajuda a controlar a inflamação. Ouça seu médico sobre os medicamentos. |
| A Fisioterapia Como Aliada Essencial | Exercícios específicos para restaurar a mobilidade, fortalecer os músculos do manguito rotador e reduzir a dor. Técnicas como ultrassom e ondas de choque também podem ser usadas. | A fisioterapia exige sua participação ativa. Faça os exercícios em casa com a mesma dedicação que faria na clínica. A consistência é a chave. |
| Quando a Cirurgia se Torna Necessária? | Em casos refratários aos tratamentos conservadores, quando a dor é persistente e limita muito a qualidade de vida, ou se os depósitos de cálcio forem muito grandes e compressivos. | A cirurgia é um último recurso. Converse abertamente com seu médico sobre os riscos e benefícios. A recuperação pós-cirúrgica também exigirá fisioterapia. |
| Mitos e Verdades Sobre a Recuperação | Mito: Dor forte significa que algo piorou. Verdade: A dor pode ser parte |
Confira este vídeo relacionado para mais detalhes:
O Que Fazer Para Acelerar a Cura e Aliviar a Dor?
Pois é, a tendinite calcária no ombro pode ser bem chatinha, mas tem sim o que você pode fazer para melhorar. Eu passei por isso e sei que a gente quer logo se livrar do incômodo, né? Separei algumas dicas que me ajudaram bastante e que acho que vão ser úteis para você também.
Repouso estratégico: Parece óbvio, mas é fundamental. Evite movimentos que piorem a dor. Não precisa ficar parado o tempo todo, mas preste atenção ao seu corpo. Se um movimento dói, não insista.
Gelo, sempre que precisar: A aplicação de gelo por uns 15-20 minutos, algumas vezes ao dia, ajuda a diminuir a inflamação e a dor. Enrole o gelo em um pano, viu? Nada de contato direto com a pele.
Fisioterapia é sua aliada: Se o médico indicar, invista na fisioterapia. Os exercícios guiados por um profissional são cruciais. Eles vão trabalhar o fortalecimento e a mobilidade do seu ombro de forma segura.
Alongamentos leves: Com a liberação do seu médico ou fisioterapeuta, alguns alongamentos suaves podem fazer maravilhas. Mas atenção: nada de forçar. O movimento tem que ser gentil.
Dúvidas das Leitoras
Quanto tempo dura a dor da tendinite calcária?
A dor pode variar muito. Algumas pessoas sentem alívio em algumas semanas com o tratamento adequado. Outras podem ter dor por meses, especialmente se não for tratada ou em casos mais crônicos.
Posso fazer exercícios com tendinite calcária?
Exercícios leves e específicos podem ajudar, mas é fundamental ter a orientação de um fisioterapeuta. Evite movimentos que causem dor ou piorem a inflamação no ombro.
A calcificação no ombro some sozinha?
Em muitos casos, sim. O próprio corpo pode reabsorver o cálcio com o tempo, especialmente se a inflamação diminuir. No entanto, isso pode levar meses ou até anos e nem sempre a dor some junto.
Quais os riscos de não tratar a tendinite calcária?
Não tratar pode levar a dor crônica, limitação de movimento e, em alguns casos, a lesões mais graves no tendão. O tratamento precoce geralmente resulta em uma recuperação mais rápida e completa.
Qual o melhor tipo de travesseiro para dormir com dor no ombro?
Travesseiros que ofereçam bom suporte e mantenham seu pescoço e coluna alinhados são ideais. Travesseiros mais firmes ou com formato que apoie o pescoço podem trazer mais conforto.
Tratar a tendinite calcária no ombro exige paciência e dedicação. As terapias que mencionei, como fisioterapia e exercícios específicos, são suas grandes aliadas. Lembre-se de seguir à risca as orientações médicas. Se você busca mais alívio para dores musculares, talvez se interesse por técnicas de relaxamento. Cuide bem do seu corpo!

