Como tratar a dor no calcanhar por esporão? Essa pontada chata no pé tira seu sossego? Você não está sozinha nessa! Muitas de nós sente essa dor que parece aumentar a cada passo. Fica tranquila, preparei um guia prático com dicas que funcionam de verdade para aliviar esse desconforto. Vamos descobrir juntas como andar sem dor?
Adeus, Dor no Calcanhar: Entenda o Esporão e Como Dizer Tchau Para Ele de Vez!
Aquele incômodo no calcanhar? Pode ser esporão de calcâneo. Essa é uma calcificação que surge no osso do calcanhar. Geralmente, a dor aparece ao levantar ou após ficar muito tempo em pé. É um problema comum, mas que tem solução. Ficar tranquila que eu te explico tudo!
O tratamento foca em aliviar a inflamação e a dor. Alongamentos específicos e o uso de palmilhas adequadas são essenciais. Assim, você recupera a mobilidade e diz adeus a essa dor chata. Vamos tratar isso juntas?
Confira este vídeo relacionado para mais detalhes:
Seu Guia Completo para Aliviar o Esporão no Calcanhar: Dicas Práticas Que Funcionam

O Que é o Esporão e Por Que Ele Aparece Justamente no Seu Calcanhar?
Sabe aquele esporão que insiste em aparecer no seu calcanhar? Pois é, ele é uma calcificação que surge no osso, bem na parte de baixo do calcâneo (o osso do seu calcanhar). Pensa nele como um pequeno “bico” de osso que se forma. Ele aparece justamente ali porque é um ponto de muita pressão e tensão na nossa pisada. A faixa de tecido que liga o calcanhar aos dedos, a fáscia plantar, sofre um estresse constante, e o corpo, na tentativa de proteger, cria essa estrutura óssea.

Por que ele resolve dar as caras justo no seu calcanhar? Geralmente, é uma resposta a um esforço repetitivo ou a uma sobrecarga nessa região. Atividades que exigem muito impacto, como correr ou ficar muito tempo em pé, podem ser gatilhos. Além disso, um tipo de pisada incorreta, sapatos inadequados (sem amortecimento ou muito apertados) e até o excesso de peso contribuem para que essa tal de fáscia plantar fique inflamada e, com o tempo, o esporão se forme. É o corpo pedindo socorro, de certa forma.
O mais importante é entender que nem sempre o esporão causa dor. A dor que você sente é, na verdade, uma inflamação na fáscia plantar. O esporão é só uma consequência. Mas quando a dor aparece, ela costuma ser mais forte pela manhã, ao dar os primeiros passos, ou depois de ficar um tempo sentada e levantar. O alívio nem sempre é imediato, mas com os cuidados certos, dá pra controlar e viver sem esse incômodo. Vamos cuidar desse calcanhar!
Dica Prática: Ao sentir a dor pela manhã, antes de levantar da cama, faça alguns alongamentos simples para os pés: gire os tornozelos em círculos e puxe a ponta dos pés em direção à sua canela. Isso já ajuda a preparar a fáscia plantar para o dia.

Identificando os Primeiros Sinais: Você Sente Essa Dor Que Te Incomoda?
Sabe aquela dor que aparece logo que você levanta da cama? Ou que te incomoda depois de um dia longo em pé? Pois é, essa pontada forte no calcanhar, muitas vezes vindo de um esporão de calcâneo, não é frescura. É um sinal claro de que algo ali precisa de atenção.

Essa dor nada mais é do que uma inflamação na fáscia plantar, que é aquele tecido que liga o calcanhar aos dedos do pé. O esporão em si é um depósito de cálcio que se forma nessa região. Com o tempo, ele pode irritar os tecidos ao redor, causando esse desconforto.
O tratamento foca em aliviar a inflamação e dar um descanso para o seu pé. Geralmente, envolve alongamentos específicos, repouso relativo (sem exagerar, claro!) e, se a dor for mais intensa, acompanhamento profissional para indicar o melhor caminho. Fica tranquila que tem solução!
Dica Prática: Use sapatos com bom amortecimento e evite andar descalça em superfícies duras. Se possível, coloque uma palmilha de silicone no sapato para dar um alívio extra.

O Poder dos Exercícios: Movimentos Simples Que Aliviam a Tensão
Sei bem como é essa dorzinha chata no calcanhar. Parece que a gente pisa em caco de vidro, né? Pois é, o esporão de calcâneo pode dar um sufoco danado. Mas fica tranquila, porque a boa notícia é que muitos movimentos simples podem trazer um alívio incrível. A gente vai focar em exercícios que realmente funcionam para soltar essa região e diminuir a tensão.

Vamos combinar, não dá pra ficar sofrendo sem fazer nada. O segredo está em alongar e fortalecer os músculos que sustentam o pé. Movimentar o tornozelo de um lado para o outro, girando suavemente, já ajuda a irrigar melhor a área. Outro exercício bacana é puxar a ponta do pé em direção à canela, sentindo aquele alongamento na panturrilha e no próprio calcanhar. Faça devagar, sinta o músculo trabalhar.
Você pode fazer esses movimentos em casa mesmo, sem complicação. O importante é ter constância. Quem sofre com dor no calcanhar por esporão sabe que cada pequena melhora é uma vitória. Esses alongamentos ajudam a dar um gás na recuperação e a prevenir que a dor volte com tudo. Vamos cuidar desse pezinho!
Dica Prática: Antes de levantar da cama, sente-se e faça 10 giros com o tornozelo para cada lado, e depois puxe a ponta do pé em direção à canela por 30 segundos, repetindo 3 vezes em cada pé.

Alongamento: Seu Novo Melhor Amigo Contra a Dor do Esporão
Pois é, a dor no calcanhar por esporão pode ser daquelas que tiram a gente do sério, né? Fica tranquila, que eu tenho uma dica que faz toda a diferença: alongamento! Pode parecer simples, mas acredite, é um dos seus maiores aliados contra essa dor chata. Eu mesma já testei e vi o quanto relaxar essa região ajuda a aliviar a tensão.

O esporão, basicamente, é um pequeno crescimento ósseo na parte de baixo do seu calcanhar. Quando a gente corre ou fica muito tempo em pé, essa área pode inflamar e causar aquela dor aguda. Os alongamentos ajudam a aliviar a pressão sobre o tendão e a fáscia plantar, que são os mais afetados.
Vamos combinar, uma dorzinha no pé atrapalha tudo. Mas com alguns alongamentos fáceis, você pode sentir um alívio rápido. Concentre-se em alongar a panturrilha e a sola do pé. Isso ajuda a soltar a musculatura e a reduzir a tensão acumulada.
Dica Prática: Sente-se e puxe a ponta do seu pé em direção à sua canela, segurando por uns 30 segundos. Repita duas a três vezes em cada pé. Faça isso antes de levantar da cama e antes de dormir.

Calçados Corretos: A Base para o Conforto do Seu Dia a Dia
A dor no calcanhar, muitas vezes ligada ao esporão, não precisa te parar. O segredo começa lá nos pés. Um bom tênis ou sapato tem que ter um amortecimento decente. Isso distribui o impacto quando você anda, corre ou fica em pé por horas. Pense no seu calçado como a primeira linha de defesa contra essa dor incômoda. Ele precisa absorver o choque e dar um suporte que alivie a pressão.

Quando falamos em “calçados corretos”, estou falando de modelos que não sejam nem totalmente planos, nem com saltos muito altos. A ideia é manter o arco do seu pé bem apoiado. Sapatos muito duros ou sem nenhuma flexibilidade também pioram a situação. Prefira materiais maleáveis e que permitam que seus pés respirem. Isso evita não só o desconforto do esporão, mas também o acúmulo de suor e outros problemas.
Se você já sente essa dor no calcanhar, é fundamental escolher um calçado com um bom sistema de amortecimento na sola. Palmilhas de gel ou feitas de materiais que absorvem impacto também ajudam demais. Vamos combinar, ninguém merece andar com dor. A gente quer mais é ter liberdade para fazer o que gosta.
Dica Prática: Ao comprar um tênis novo, teste-o no fim do dia, quando seus pés estão um pouco mais inchados. Assim, você garante que ele não vai apertar e causará mais desconforto ao longo do uso.

Palmilhas e Suportes: Aliados Indispensáveis para Distribuir a Pressão
Quando falamos em tratar a dor no calcanhar por esporão, as palmilhas e suportes surgem como verdadeiros heróis. O objetivo deles é simples, mas super eficaz: distribuir melhor a pressão que o seu pé exerce no chão. Sabe quando você fica em pé por muito tempo ou caminha bastante? Sem o suporte adequado, toda aquela força se concentra em um ponto só, geralmente no calcanhar, e aí a dor aparece. As palmilhas ajudam a amortecer esse impacto e a espalhar a carga pelo pé todo.

Existem vários tipos de palmilhas e suportes no mercado. Alguns são mais finos e cabem em qualquer sapato, outros são mais estruturados, com um arco de sustentação bacana ou um rebaixo especial para aliviar a pressão direta no calcanhar. Para quem tem esporão, especialmente, as palmilhas com um bom amortecimento na região do calcanhar fazem toda a diferença. Elas agem como um “colchãozinho” extra, absorvendo o choque a cada pisada.
Escolher a palmilha certa pode mudar o jogo. É importante que ela se encaixe bem no seu sapato e, claro, no seu pé. Não adianta ter a melhor palmilha do mundo se ela ficar apertada ou desconfortável. Vale a pena experimentar diferentes modelos e materiais até encontrar aquele que traz mais alívio para você. Vamos combinar, um passo mais leve faz toda a diferença no dia a dia!
Dica Prática: Se possível, procure uma loja especializada onde você possa experimentar as palmilhas e receber uma orientação sobre qual modelo é mais indicado para o seu caso de esporão de calcâneo.

Gelo ou Calor? O Que Usar Para Reduzir a Inflamação e a Dor
Pois é, a gente se depara com essa dúvida: calor ou gelo para dor no calcanhar causada por esporão? A resposta, muitas vezes, depende do momento. Se a inflamação está “quente” e com dor aguda, o gelo é seu melhor amigo. Ele ajuda a diminuir o inchaço e a anestesiar um pouco a região. Pensa nele como um “apagador de fogo” para aquela sensação de queimação.

Agora, se você sente aquela dor mais “chatinha”, tipo rigidez, e o local não está visivelmente inflamado, o calor pode ser mais indicado. Ele ajuda a relaxar a musculatura tensa e a melhorar a circulação local. Vamos combinar, quem nunca sentiu um alívio gostoso com uma bolsa de água quente nas costas? No calcanhar, é parecido.
Mas olha, a minha experiência me diz que é bom observar seu corpo. Se você tá começando a sentir aquela fisgada, pode ir direto no gelo. Se já é uma dor mais crônica, uma coisa mais muscular, tenta o calor. Lembre-se que cada um reage de um jeito. O importante é buscar o alívio para o seu esporão de calcâneo.
Dica Prática: Para aplicar o gelo, use uma toalha fina para não queimar a pele. E com o calor, se for usar bolsa térmica, nunca aplique direto na pele, sempre com uma proteção.

Evitando Atividades de Alto Impacto: Como Adaptar Sua Rotina Sem Parar
Sei bem como é ter uma dor que incomoda no calcanhar. O esporão, essa pontinha óssea que pode surgir, às vezes vira um pesadelo para caminhar. Mas fica tranquila, dá pra adaptar sua rotina sem precisar parar completamente. O segredo é entender o que causa a dor e agir para aliviá-la.

A gente sabe que correr, pular ou até ficar muito tempo em pé pode piorar a situação. Por isso, adaptar essas atividades de alto impacto é fundamental. Pense em atividades mais leves. Uma caminhada mais curta e em terreno plano já ajuda. E, claro, escute seu corpo! Se sentir que algo está incomodando demais, pare e descanse.
Outra coisa que faz toda a diferença é usar o calçado certo. Sapatos com bom amortecimento são seus melhores amigos agora. Evite andar descalça em superfícies duras. Lembre-se, o objetivo é dar um respiro para essa área inflamada do seu calcanhar, permitindo que ela se recupere sem sofrer tanto impacto.
Dica Prática: Tenha um par de chinelos confortáveis e com bom suporte para usar em casa.

Perda de Peso: Um Passo Crucial Para Aliviar a Carga Sobre Seus Pés
Vamos conversar sobre algo que faz uma diferença enorme no nosso bem-estar, especialmente quando estamos falando de dor no calcanhar: o controle do peso. Eu sei que nem sempre é fácil, mas pensa comigo: quanto mais peso seu corpo carrega, maior a pressão que seus pés, e consequentemente seu calcanhar, precisam suportar a cada passo. Isso pode ser um gatilho e tanto para a dor no calcanhar, especialmente se você já tem um esporão. Se livrar de uns quilinhos pode ser um alívio genuíno para essa região.

Quando o assunto é como tratar a dor no calcanhar por esporão, aliviar essa sobrecarga é um dos primeiros passos. Não é magia, é física mesmo! Cada quilo a menos representa menos estresse nas articulações e nos tecidos que sustentam o seu pé. Imagina que seus pés são os alicerces da sua casa. Se a estrutura em cima fica muito pesada, o que acontece? Pode começar a dar sinais de desgaste. Com a perda de peso, você diminui essa pressão constante, dando chance para que a inflamação e a dor diminuam.
Sei que a palavra “dieta” pode assustar, mas não precisa ser radical. Pequenas mudanças na alimentação, como reduzir o consumo de industrializados e aumentar a ingestão de frutas e vegetais, já fazem um efeito danado. Combinado com uma atividade física que você goste – e que não force demais seus pés no início –, o resultado vem. E acredite, quando a dor no calcanhar começa a ceder, você se sente mais disposta para outras coisas na vida.
Dica Prática: Comece adicionando mais caminhadas curtas ao seu dia, mesmo que seja só pelo quarteirão, e procure opções de alimentos mais leves para suas refeições principais.

Quando Procurar Ajuda Profissional: Sinais de Que É Hora de Consultar um Médico
Sabe aquela dorzinha chata no calcanhar que parece te acompanhar a cada passo? Pois é, pode ser um esporão de calcâneo. Eu sei bem como isso incomoda, e a primeira coisa que você precisa saber é: não precisa sofrer em silêncio! Se a dor está te impedindo de fazer suas coisas, atrapalhando seu dia a dia, é sinal de que a gente precisa prestar atenção. Não é algo para ignorar, porque quanto antes a gente cuida, mais rápido a melhora vem.

Mas quando exatamente procurar ajuda? Pense assim: se você já tentou descansar, usar um calçado mais confortável e nada parece aliviar essa dor persistente, é hora de acender o alerta. Aquela sensação de fisgada ao levantar da cama pela manhã, ou depois de ficar um tempo sentada, também é um indicativo importante. Lembra daquela dor que piora ao caminhar ou ficar em pé por muito tempo? Se isso virou rotina, não espere mais. É hora de ouvir seu corpo.
Muitas vezes, o que a gente precisa é de uma orientação profissional para entender o que está acontecendo e qual o melhor caminho para tratar a dor no calcanhar por esporão. Um médico, como um ortopedista, pode fazer o diagnóstico correto e indicar o tratamento mais adequado para você. E não se preocupe, geralmente não é nada complicado.
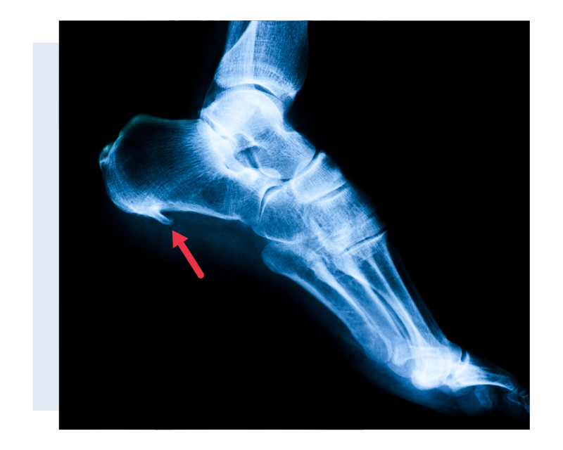
Dica Prática: Se a dor for muito intensa e persistente, procure um médico ortopedista. Ele poderá solicitar exames, como um raio-X, para confirmar o esporão e indicar o tratamento ideal, que pode incluir fisioterapia e o uso de palmilhas específicas.
Claro! Vamos organizar essas informações importantes em uma tabela. Assim, você tem tudo organizado e fácil de consultar.
Tratamentos Caseiros Que Fazem a Diferença no Seu Bem-Estar
| O Que Você Precisa Saber | Entendendo o Problema | Como Resolver | Meus Conselhos de Ouro |
|---|---|---|---|
| O Que é o Esporão e Por Que Ele Aparece Justamente no Seu Calcanhar? | É um crescimento ósseo na parte inferior do osso do calcanhar. Geralmente, surge por sobrecarga repetitiva, como ficar muito tempo em pé, usar calçados inadequados ou ter um tipo de pisada que força essa área. | Entender a causa é o primeiro passo para não piorar. Pense nas suas atividades diárias e nos seus sapatos. | Seu corpo está te dando sinais. Preste atenção nas suas rotinas para ver onde pode estar o exagero. |
| Identificando os Primeiros Sinais: Você Sente Essa Dor Que Te Incomoda? | A dor costuma ser mais forte ao acordar ou depois de ficar um tempo sentada. É como uma fisgada ou queimação no calcanhar. | Não ignore a dor! Ela é o seu alerta. Marque no seu dia quando ela aparece e qual a intensidade. | Eu mesma já senti essa dor e sei como é chata. No começo, a gente acha que é besteira, mas não é. Vá anotando tudo. |
| O Poder dos Exercícios: Movimentos Simples Que Aliviam a Tensão | Exercícios específicos ajudam a fortalecer a musculatura do pé e da panturrilha, além de melhorar a circulação. | Existem movimentos que você pode fazer em casa, como rolar uma bolinha sob o pé ou levantar e abaixar na ponta dos pés. | Esses exercícios parecem pequenos, mas o efeito é grande! Faça com calma e constância. Se sentir dor, pare e retome depois. |
| Alongamento: Seu Novo Melhor Amigo Contra a Dor do Esporão | Alongar a panturrilha e a fáscia plantar (tecido na sola do pé) é fundamental para reduzir a tensão. | Alongue a panturrilha contra a parede e puxe os dedos do pé para cima. Faça isso várias vezes ao dia. | O alongamento pode ser feito em qualquer lugar, até no trabalho, sentado. Não subestime o poder de esticar bem essas áreas. |
| Calçados Corretos: A Base para o Conforto do Seu Dia a Dia | Usar sapatos com bom amortecimento e suporte é essencial. Evite saltos altos, sapatos muito rasos ou que não firmam bem o pé. | Escolha tênis com sola mais grossa e que ofereçam bom acolchoamento. Sandálias com suporte também são boas opções. | Vamos combinar: um bom par de tênis muda tudo! Invista em calçados que realmente cuidem dos seus pés. E guarde os sapatos que te machucam para ocasiões bem curtas. |
| Palmilhas e Suportes: Aliados Indispensáveis para Distribuir a Pressão | Palmilhas específicas |
Confira este vídeo relacionado para mais detalhes:
Prevenção é o Melhor Remédio: Evite Que o Esporão Volte a Te Incomodar
Pois é, a gente sabe que a dor do esporão no calcanhar é chata e atrapalha a vida. Mas a boa notícia é que existem formas de evitar que ela volte a aparecer. Eu mesma já passei por isso e descobri que cuidar direitinho é fundamental. Fica tranquila, com estas dicas práticas, você vai conseguir manter seu calcanhar saudável.
Minhas dicas especiais para você não sofrer mais:
- Escolha o calçado certo: Nada de sapatos apertados ou sem amortecimento. Opte por tênis confortáveis, com bom suporte e solado macio. Se puder, use palmilhas ortopédicas. Isso faz uma diferença enorme!
- Alongamento diário é sagrado: Dedique uns minutinhos por dia para alongar a panturrilha e a planta do pé. Faça isso de manhã, antes de levantar da cama, e também depois de ficar muito tempo em pé ou sentada.
- Controle seu peso: O excesso de peso sobrecarrega os pés. Se você está um pouco acima do ideal, comece a pensar em uma reeducação alimentar. Pequenas mudanças fazem uma grande diferença.
- Evite ficar muito tempo em pé ou na mesma posição: Se seu trabalho exige isso, faça pausas frequentes. Levante, caminhe um pouco, movimente os pés. Seu calcanhar agradece.
- Cuidados pós-exercício: Se você pratica esportes, não esqueça de alongar e, se possível, usar gelo local por alguns minutos após a atividade física. Ajuda a desinflamar.
Vamos combinar, aplicar essas dicas no dia a dia não é complicado. Comece aos poucos e você vai sentir a melhora. Seu corpo é seu maior bem, cuide dele!
Dúvidas das Leitoras
Quanto tempo leva para a dor do esporão no calcanhar melhorar?
O tempo de melhora varia muito. Com tratamento correto, muitos sentem alívio em poucas semanas, mas casos mais persistentes podem levar meses. A chave é a consistência nas recomendações.
O esporão no calcanhar pode desaparecer sozinho?
O esporão em si, a formação óssea, geralmente não some. O que melhora é a inflamação e a dor associada. Tratamento focado na redução da inflamação é o que traz o alívio que você busca.
Quais são os principais fatores de risco para desenvolver esporão no calcanhar?
Excesso de peso é um grande vilão. Ficar muito tempo em pé, especialmente em superfícies duras, e o uso de calçados inadequados também pesam bastante. Falta de flexibilidade na panturrilha também contribui.
Tratar a dor no calcanhar por esporão exige paciência e consistência. Lembre-se que o repouso, gelo, exercícios de alongamento e o uso de calçados adequados são seus maiores aliados. Se a dor persistir, procure um profissional. E sabe, se você se interessou por bem-estar físico, pode ser que goste de ler sobre alimentação saudável também. Compartilhe suas experiências e ajude outras pessoas!

