Você busca respostas sobre como tratar a periodontite juvenil e sente que as informações são fragmentadas? É frustrante lidar com essa condição quando as gengivas afetam a saúde bucal e até o bem-estar. A boa notícia é que existe um caminho claro para reverter esse quadro, e eu vou te mostrar os passos essenciais que realmente funcionam. Prepare-se para entender o que fazer para ter um sorriso mais saudável e prevenir problemas futuros.
Entendendo a Terapias Não Cirúrgicas para a Periodontite Juvenil
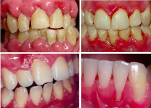
A base do tratamento da periodontite juvenil reside no controle rigoroso do biofilme bacteriano subgengival. Precisamos eliminar as bactérias que se escondem abaixo da linha da gengiva.
O primeiro passo é a raspagem e o alisamento radicular. O dentista faz uma limpeza profunda para remover todo o tártaro e a placa bacteriana acumulada nas raízes dos dentes.
Depois, a sua participação é fundamental. O uso diário e correto do fio dental, junto com uma escovação minuciosa, impede que as bactérias voltem a se proliferar e causem nova infecção.
“O tratamento da periodontite juvenil (agora classificada como periodontite agressiva ou de início precoce) foca na eliminação da bactéria Aggregatibacter actinomycetemcomitans, principal responsável pela destruição óssea rápida em jovens.”

O que você vai precisar
- Um diagnóstico preciso.
- Muita disciplina com a higiene bucal.
- Confiança no seu dentista.
- Paciência e acompanhamento profissional.

Passo a Passo: Como resolver isso
- Consulta e Diagnóstico: O primeiro passo é ir ao dentista. Ele vai examinar sua boca, talvez pedir exames de imagem, para confirmar se é periodontite e qual o tipo. Um diagnóstico preciso é a base de tudo.
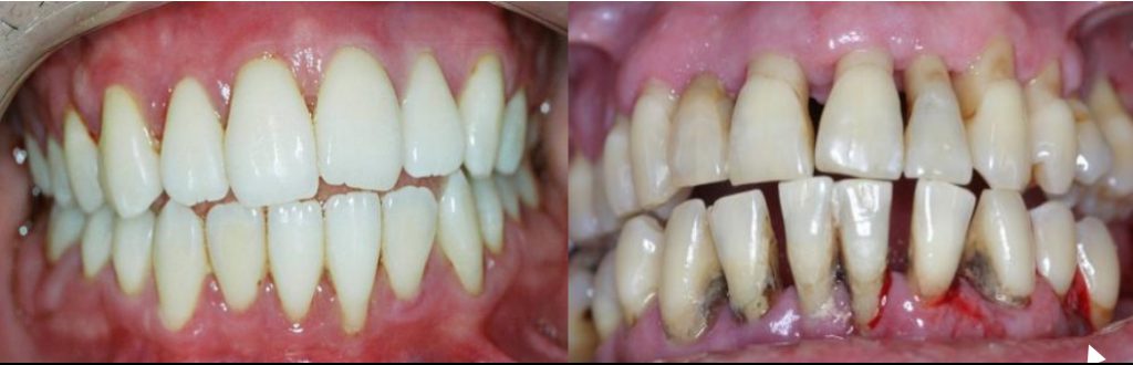
- Limpeza Profunda (Raspagem e Alisamento Radicular): O dentista fará uma limpeza detalhada para remover todo o tártaro e placa bacteriana que se acumularam abaixo da linha da gengiva. Isso pode ser feito com instrumentos manuais (curetas) ou ultrassom. O objetivo é deixar as raízes dos dentes bem lisas, dificultando a volta das bactérias.
- Controle do Biofilme Bacteriano: Após a limpeza, o foco é impedir que novas bactérias se instalem. Aqui entra a sua parte, com a higiene diária impecável.
- Tratamento Medicamentoso (quando necessário): Em casos mais avançados ou quando as bactérias estão mais infiltradas, o dentista pode prescrever antibióticos. Geralmente, são combinações como Amoxicilina e Metronidazol, por um período de 7 a 14 dias. Outras opções como Doxiciclina ou Tetraciclina também podem ser usadas. A combinação de Amoxicilina e Metronidazol é comum para combater essas bactérias específicas.
- Cirurgias e Regeneração (em casos específicos): Se a doença já causou perda óssea significativa, pode ser necessária uma intervenção cirúrgica. Isso pode envolver desde um simples retalho na gengiva para acessar melhor a raiz, até técnicas de regeneração óssea com enxertos ou membranas.
- Manutenção Constante: Depois de tratar a fase ativa, o acompanhamento é crucial. Consultas a cada 3 a 6 meses são importantes para monitorar a saúde da sua gengiva e a estabilidade do osso ao redor dos dentes. O acompanhamento regular é fundamental para evitar que o problema retorne.

Terapia Não Cirúrgica (Mecânica)
A base do tratamento para a periodontite juvenil é a remoção mecânica do biofilme e do tártaro. Sem essa limpeza profunda, nenhum outro tratamento tem chance de sucesso. É como tentar pintar uma parede suja: a pintura não vai aderir direito. O dentista usa instrumentos específicos para chegar onde a escova e o fio dental não alcançam, limpando as bolsas periodontais.

Terapia Medicamentosa (Antibióticos)
Pois é, nem sempre a limpeza mecânica resolve sozinha. Algumas bactérias são mais resistentes e se escondem bem fundo nos tecidos. Nesses casos, a terapia medicamentosa entra como um reforço. A combinação de Amoxicilina com Metronidazol, por exemplo, é uma arma poderosa contra as bactérias mais perigosas. Mas atenção: antibióticos só com prescrição e acompanhamento do dentista. O uso incorreto pode trazer mais problemas.

Intervenção Cirúrgica e Regenerativa
Se a periodontite já avançou e causou danos sérios ao osso que sustenta os dentes, a cirurgia pode ser a saída. Existem técnicas que buscam
Dicas Extras
- Mantenha a calma: A periodontite juvenil pode assustar, mas com o tratamento correto e acompanhamento, é possível controlar.
- Higiene bucal rigorosa é chave: Escove os dentes pelo menos duas vezes ao dia e use fio dental diariamente. Um bom enxaguante bucal pode complementar, mas não substitui a escovação e o fio.
- Alimentação balanceada: Uma dieta rica em vitaminas e minerais fortalece o sistema imunológico e auxilia na recuperação dos tecidos.
- Evite o tabagismo: Fumar agrava a doença periodontal e dificulta a cicatrização. Se você fuma, procure ajuda para parar.
- Controle o estresse: O estresse pode impactar a saúde geral, incluindo a gengival. Técnicas de relaxamento podem ajudar.
Dúvidas Frequentes
O que causa a periodontite juvenil?
Geralmente, é uma combinação de fatores. A presença de bactérias específicas, como a Aggregatibacter actinomycetemcomitans, em conjunto com uma resposta imunológica alterada do indivíduo e higiene bucal deficiente, contribui para o desenvolvimento da periodontite juvenil agressiva. Fatores genéticos também podem ter um papel importante.
Quais os primeiros sinais da periodontite de início precoce?
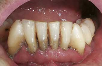
Fique atenta a gengivas que sangram facilmente durante a escovação ou ao usar fio dental, vermelhidão e inchaço nas gengivas, mau hálito persistente, e em casos mais avançados, retração gengival e mobilidade dos dentes.
A cirurgia é sempre necessária para tratar a periodontite juvenil?
Nem sempre. A terapia não cirúrgica, que inclui a raspagem e o alisamento radicular para remover o biofilme e o tártaro, juntamente com uma higiene bucal impecável, costuma ser o primeiro passo. Em casos mais severos, a terapia medicamentosa com antibióticos para periodontite juvenil ou intervenções cirúrgicas, como a cirurgia regenerativa periodontite, podem ser indicadas pelo especialista.
Conclusão
Lidar com a periodontite juvenil exige atenção e cuidado, mas não é um bicho de sete cabeças. O diagnóstico precoce na periodontite juvenil é fundamental para um tratamento eficaz. A combinação de higiene bucal rigorosa, acompanhamento profissional e, quando necessário, terapias medicamentosas ou cirúrgicas, pode trazer resultados excelentes. Explore mais sobre a importância do diagnóstico precoce na periodontite juvenil e entenda a periodontite agressiva: um guia completo para você ficar ainda mais informada e segura em seu tratamento.

