Descobrir como tratar a periodontite crônica é um passo crucial para quem enfrenta essa condição. Muitos sentem que a gengiva está recuando ou que há sangramento frequente, gerando desconforto e preocupação. A boa notícia é que, com as estratégias certas e o acompanhamento profissional adequado, é totalmente possível controlar e reverter os efeitos dessa doença. Neste post, eu vou te guiar pelos caminhos mais eficazes para um tratamento que realmente funciona, devolvendo a saúde ao seu sorriso. Fica comigo para entender tudo.
Entendendo a Periodontite Crônica: O Que Você Precisa Saber Para o Tratamento
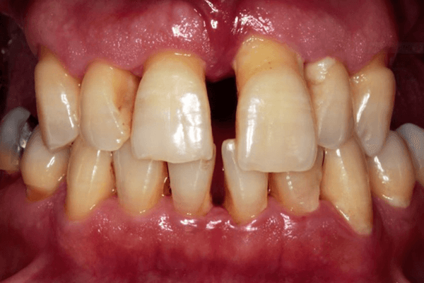
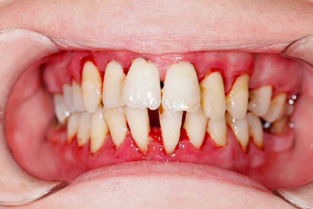
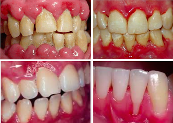
A periodontite crônica é uma inflamação séria das gengivas. Ela afeta os tecidos que dão suporte aos seus dentes.
Se não tratada, ela pode levar à perda óssea e, eventualmente, à perda dos dentes. É um processo que geralmente se desenvolve lentamente.
O principal culpado é a placa bacteriana. Essa película pegajosa se acumula nos dentes. Quando não removida, irrita as gengivas.
Isso desencadeia uma resposta inflamatória. Com o tempo, essa inflamação destrói o osso e os ligamentos que seguram os dentes. Vamos combinar, ninguém quer isso para seu sorriso!
“O tratamento da periodontite crônica é um processo contínuo que visa paralisar a destruição dos tecidos de suporte dos dentes, já que sequelas como a perda óssea são permanentes.”

O que você vai precisar
Para combater a periodontite crônica de forma eficaz, o principal aliado é o seu dentista. Mas você em casa também tem um papel fundamental. Pense nisso como um time: o profissional faz o trabalho mais técnico e você, o cuidado diário.
- Escova de dentes de cerdas macias
- Fio dental ou escovas interdentais
- Antisséptico bucal (com orientação profissional)
- Raspador de língua
- Atenção aos detalhes na sua rotina de higiene

Passo a Passo: Como resolver isso
- Consulta Inicial: O primeiro passo é ir ao dentista. Ele vai avaliar a extensão da doença, o que é crucial para definir o melhor caminho. Essa avaliação é baseada em exames clínicos e radiográficos.
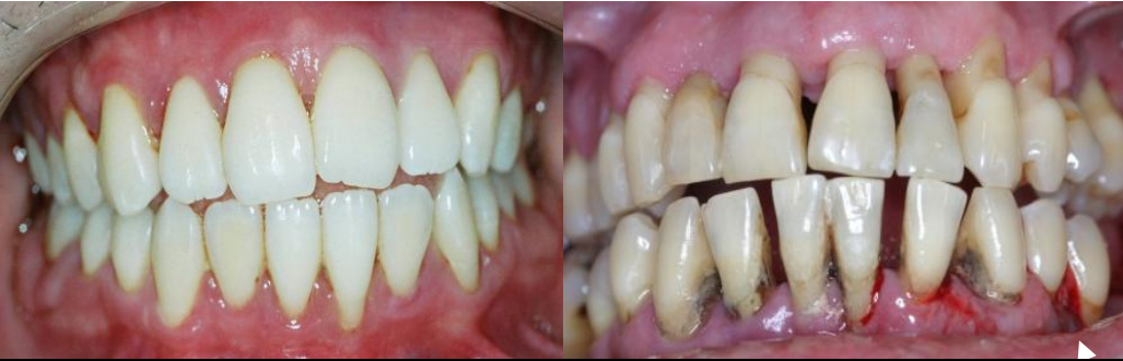
- Limpeza Profunda (Raspagem e Alisamento Radicular): Este é o procedimento central no tratamento não cirúrgico. O dentista remove o tártaro e a placa bacteriana que se acumularam abaixo da linha da gengiva. O alisamento radicular deixa a superfície da raiz do dente lisa, dificultando o acúmulo de novas bactérias. A CUF detalha bem essa etapa.
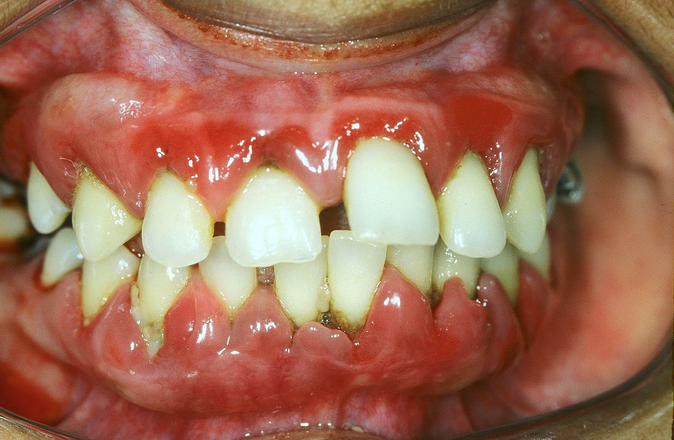
- Tratamento Cirúrgico (Se Necessário): Em casos mais avançados, quando a raspagem não é suficiente para limpar todas as bolsas periodontais, a cirurgia pode ser indicada. Procedimentos como cirurgia de retalho permitem ao dentista acessar áreas mais profundas para uma limpeza completa e, em alguns casos, procedimentos de regeneração tecidual, como menciona Luís Gustavo Leite.
- Uso de Antibióticos: Em situações específicas, o dentista pode prescrever antibióticos para controlar infecções bacterianas. A Colgate traz informações sobre isso. Mas atenção: isso é sempre sob orientação profissional.
- Manutenção e Acompanhamento: O tratamento não termina após a limpeza. Visitas regulares ao dentista são essenciais para monitorar a recuperação e prevenir o retorno da doença. A European Federation of Periodontology (EFP) reforça a importância das diretrizes clínicas.

Higiene e Controle de Fatores de Risco
A base de tudo é a higiene bucal impecável. Escovar os dentes corretamente, usar fio dental diariamente e, se recomendado, um antisséptico. Mas não para por aí. Fumar é um dos maiores vilões da periodontite. Parar de fumar faz uma diferença brutal. Controle do diabetes também é fundamental. A Rede Américas tem dados relevantes sobre periodontite avançada.
Dica de ouro: A escovação deve atingir a linha da gengiva, onde a placa mais se esconde. Use movimentos suaves e circulares.

Tratamento Não Cirúrgico (Raspagem)
Esse é o tratamento padrão para a maioria dos casos. A raspagem e o alisamento radicular, como explicado pela CUF, removem o que a escova não alcança: o tártaro e a placa bacteriana que se alojam nas bolsas periodontais. É um procedimento minucioso.
Por que é importante? Sem essa limpeza profunda, a inflamação continua, destruindo o osso e os tecidos que sustentam seus dentes.

Tratamento Cirúrgico (Se necessário)
Quando a doença avança e as bolsas ficam muito profundas, a cirurgia se torna necessária. O objetivo é limpar áreas de difícil acesso e, em alguns casos, tentar regenerar o osso perdido. Luís Gustavo Leite aborda a cirurgia gengival e a regeneração tecidual. Fica tranquilo, existem técnicas que minimizam o desconforto.
Ponto chave: A cirurgia é para casos específicos, quando o tratamento não cirúrgico não foi suficiente.

Manutenção Periodontal
A periodontite é uma condição crônica. Isso significa que, mesmo após o tratamento, o risco de ela voltar existe. A manutenção, com visitas periódicas ao dentista, é sua linha de defesa. O Scottish Dental Clinical Effectiveness Programme (SDCEP) descreve uma abordagem passo a passo para o tratamento, que inclui essa fase crucial.
Frequência: Geralmente, as consultas de manutenção são a cada 3 a 6 meses, dependendo do seu caso.

Instrução de Higiene Oral
Não adianta fazer a raspagem e voltar a ter os mesmos hábitos. O dentista ou higienista vai te ensinar as técnicas corretas de escovação e uso do fio dental. Cada boca é única, e a instrução personalizada faz toda a diferença.
Lembre-se: A técnica correta é mais importante que a força usada.

Controle de Fatores de Risco
Vamos combinar: a boca é um reflexo da saúde geral. Fatores como tabagismo, diabetes mal controlado, estresse e até certos medicamentos podem piorar a periodontite. Identificar e controlar esses fatores é parte essencial do tratamento. É um trabalho em conjunto com outros especialistas, se necessário.

Raspagem e Alisamento Radicular
Essa é a limpeza profunda que seu dentista realiza. Remove o tártaro (cálculo dental) e a placa bacteriana acumulada nas raízes dos dentes, mesmo abaixo da gengiva. O alisamento radicular deixa a superfície da raiz mais lisa, dificultando o reaparecimento da placa. É um procedimento delicado e fundamental.
O porquê: A superfície áspera do tártaro é um convite para as bactérias se instalarem e proliferarem, causando mais inflamação.

Uso de Antibióticos em Casos Específicos
Em algumas situações, especialmente quando há infecção ativa ou risco de disseminação, o dentista pode prescrever antibióticos. A Colgate menciona a amoxicilina, por exemplo. Contudo, essa decisão é tomada caso a caso, sempre visando o controle da infecção e a redução da inflamação.
Atenção: Antibióticos não substituem a limpeza mecânica e a higiene bucal. São um complemento em situações pontuais.
Este conteúdo é informativo, consulte um especialista.
Dicas Extras
- Mantenha a calma: O tratamento da periodontite crônica exige tempo e dedicação. Seja paciente consigo mesmo.
- Hidratação é chave: Beber bastante água ajuda a manter a boca úmida, o que favorece a cicatrização e a limpeza natural.
- Evite alimentos duros e pegajosos: Durante o tratamento, especialmente após procedimentos, prefira alimentos mais macios para não irritar a gengiva.
- Gerencie o estresse: O estresse pode afetar seu sistema imunológico, dificultando a recuperação. Busque técnicas de relaxamento.
- Acompanhe seu progresso: Anote suas observações, como sensibilidade gengival ou sangramentos, para discutir com seu dentista.
Dúvidas Frequentes
O tratamento não cirúrgico da periodontite crônica é suficiente?
O tratamento não cirúrgico, que inclui a limpeza profunda (raspagem e alisamento radicular), é a base para controlar a periodontite crônica. Ele remove o tártaro e as bactérias das bolsas periodontais. No entanto, em casos mais avançados, pode ser necessário o tratamento cirúrgico para acessar áreas de difícil limpeza e reparar os danos. O acompanhamento profissional é essencial para definir a melhor abordagem.
Quais fatores de risco para periodontite crônica eu preciso controlar?
O controle de fatores de risco é crucial para o sucesso do tratamento da periodontite crônica. O principal é a higiene oral rigorosa e diária. Outros fatores importantes incluem parar de fumar, controlar o diabetes e ter atenção a medicamentos que possam afetar a saúde bucal. Seu dentista pode ajudar a identificar e gerenciar esses riscos.
A periodontite crônica pode voltar após o tratamento?
Sim, a periodontite crônica é uma doença que pode ser controlada, mas não curada totalmente. Se os cuidados de higiene oral e as visitas de manutenção não forem mantidos, a doença pode progredir novamente. A manutenção periodontal regular é fundamental para prevenir a recidiva e manter a saúde gengival a longo prazo.
A Jornada para um Sorriso Saudável
Tratar a periodontite crônica é um compromisso com sua saúde geral. Lembre-se que o sucesso do tratamento não se resume apenas aos procedimentos em consultório, mas à sua dedicação diária. A higiene oral impecável e o controle dos fatores de risco são seus maiores aliados. Explore mais sobre como a higiene oral afeta a periodontite e entenda a importância do controle do tabagismo na saúde gengival. Sua saúde bucal agradece!

