Descobrir como tratar a periodontite agressiva é fundamental para quem enfrenta essa condição séria. Essa forma rápida de doença periodontal pode surpreender pela velocidade com que avança, mas existe um caminho claro para o controle e a recuperação. Neste guia, vou te mostrar os passos essenciais, desde os tratamentos iniciais até as estratégias de longo prazo, para que você possa retomar a saúde do seu sorriso com confiança.
Os Primeiros Passos Cruciais no Tratamento da Periodontite Agressiva: Raspagem e Alisamento Radicular (RAR)
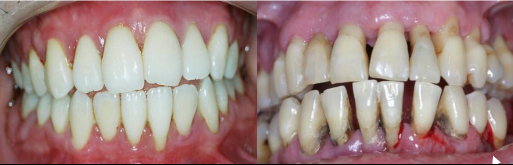
O ponto de partida para combater a periodontite agressiva é uma limpeza profunda. A Raspagem e Alisamento Radicular, conhecida como RAR, é essencial.
Este procedimento remove o tártaro endurecido e o biofilme bacteriano acumulado nas raízes dos dentes.
É a fase inicial para interromper o avanço da infecção e permitir a recuperação dos tecidos.
“O tratamento da periodontite agressiva (atualmente classificada como Periodontite Estágio III ou IV, Grau C) é focado em interromper a destruição rápida dos tecidos de suporte dos dentes, exigindo uma abordagem mais intensiva e sistêmica.”

O que você vai precisar
- Um diagnóstico preciso: isso é fundamental. Sem saber exatamente o que você está enfrentando, qualquer tratamento é um tiro no escuro.
- Um dentista de confiança: alguém que entenda de periodontia e que esteja preparado para um caso mais complexo.
- Seu comprometimento total: a periodontite agressiva exige dedicação.

Passo a Passo: Como resolver isso
- Diagnóstico e Planejamento Detalhado: Antes de tudo, seu dentista precisa confirmar o diagnóstico de periodontite agressiva. Isso envolve exames clínicos e radiográficos para entender a extensão da perda óssea e gengival. Um plano de tratamento personalizado é traçado aqui.
- Raspagem e Alisamento Radicular (RAR): Este é o ponto de partida. Seu dentista fará uma limpeza profunda para remover todo o tártaro e o biofilme bacteriano que se acumularam abaixo da linha da gengiva. O objetivo é deixar as raízes dos dentes o mais lisas possível para dificultar a adesão de novas bactérias. É um processo minucioso e essencial. Saiba mais sobre a importância dessa etapa em www.gov.br.
- Protocolo “Full Mouth Disinfection” (FMD): Em casos mais agressivos, para evitar que as bactérias se espalhem e causem reinfecção em outras áreas da boca, o FMD pode ser uma estratégia eficaz. Basicamente, o tratamento de raspagem e alisamento é feito em todas as áreas da boca em um curto período, geralmente em 24 horas, combinado com o uso de antissépticos. A ideia é reduzir a carga bacteriana total rapidamente. Entenda essa abordagem em BVS.
- Uso de Antibióticos Sistêmicos: Frequentemente, a periodontite agressiva não responde bem apenas à limpeza mecânica. Por isso, antibióticos orais são prescritos. Associações comuns incluem Amoxicilina e Metronidazol, que atuam em diferentes tipos de bactérias. A Azitromicina também é uma alternativa considerada eficaz. A escolha do antibiótico e a duração do tratamento dependem da gravidade do seu caso. Consulte informações sobre combinações em National Institutes of Health (.gov) e sobre a Azitromicina em Revista Brasileira de Odontologia.
- Cirurgias Periodontais: Se, após a fase inicial de tratamento, as bolsas periodontais (espaços profundos entre dente e gengiva) não diminuírem ou se houver perda óssea significativa, procedimentos cirúrgicos podem ser necessários. Isso inclui cirurgia de retalho, para ter acesso melhor à raiz e remover bactérias e tártaro remanescentes, e enxertos ósseos ou gengivais, para tentar regenerar o tecido perdido. Veja mais em Luís Gustavo Leite.
- Manutenção e Suporte Permanente: O tratamento da periodontite agressiva não termina com a última consulta. O acompanhamento rigoroso com seu dentista, com consultas de manutenção frequentes (a cada 3-6 meses, dependendo do caso), é crucial. Além disso, o controle da higiene bucal em casa deve ser impecável. Escovação correta, uso de fio dental e, se necessário, limpadores interdentais são seus maiores aliados para o sucesso a longo prazo. A manutenção é a chave para evitar que a doença retorne. Saiba mais sobre a importância do acompanhamento em National Institutes of Health (.gov).

Terapia Não Cirúrgica (Padrão Ouro)
A base do tratamento para qualquer doença periodontal é a remoção mecânica das causas: placa bacteriana e cálculo (tártaro). A terapia não cirúrgica, que inclui a Raspagem e Alisamento Radicular (RAR), é o primeiro e mais importante passo. Ela visa criar um ambiente bucal limpo para que a gengiva possa cicatrizar e se reaproximar do dente.

Raspagem e Alisamento Radicular (RAR)
Pense na RAR como uma limpeza profunda e detalhada. O dentista remove cuidadosamente todo o acúmulo de placa e tártaro, tanto na coroa do dente quanto nas raízes, abaixo da linha da gengiva. O alisamento radicular é a parte onde a superfície da raiz é polida para torná-la lisa, dificultando a aderência de novas bactérias. É um procedimento que pode exigir anestesia local, pois é feito em consultório.

Protocolo “Full Mouth Disinfection”
Em cenários de periodontite agressiva, onde a infecção pode ser mais generalizada e o risco de recontaminação é alto, o protocolo “Full Mouth Disinfection” (FMD) pode ser adotado. A ideia é tratar toda a boca de forma intensiva em um curto período, geralmente em 24 horas, combinando a raspagem completa com o uso de antimicrobianos tópicos ou sistêmicos. O objetivo é reduzir drasticamente a quantidade de bactérias patogênicas em toda a boca, minimizando o risco de disseminação e recidiva.

Uso de Antibióticos Sistêmicos
A periodontite agressiva, por sua natureza, muitas vezes requer um reforço além da limpeza mecânica. Antibióticos sistêmicos (tomados por via oral) são frequentemente prescritos para combater as bactérias específicas que causam essa forma mais severa da doença. Combinações como Amoxicilina e Metronidazol são escolhas comuns, mas a decisão final sobre qual antibiótico usar, a dose e a duração do tratamento é sempre do seu dentista, baseada no seu quadro clínico.

Cirurgias Periodontais
Quando a doença periodontal é muito avançada ou não responde completamente às terapias não cirúrgicas, procedimentos cirúrgicos podem ser indicados. Cirurgias de retalho permitem ao dentista acessar áreas mais profundas para remover tártaro e inflamação. Em casos de perda óssea significativa, enxertos ósseos ou o uso de materiais regenerativos podem ser tentados para tentar recuperar parte do suporte perdido.

Manutenção e Suporte Permanente
Vamos combinar: a periodontite agressiva é uma condição crônica. Isso significa que o controle é para a vida toda. Após o tratamento inicial, as consultas de manutenção periodontal são essenciais. Elas envolvem limpezas regulares e avaliação para detectar precocemente qualquer sinal de retorno da doença. Sua higiene bucal em casa, feita de forma correta e consistente, é a sua principal arma para manter a saúde gengival e óssea.
Dicas Extras
- Foco na Prevenção Contínua: Mesmo após o tratamento, a higiene bucal diária rigorosa é sua maior aliada. Use fio dental todos os dias e escove os dentes corretamente após as refeições.
- Visitas Regulares ao Dentista: Consultas de acompanhamento são essenciais para monitorar a saúde das suas gengivas e intervir precocemente caso haja qualquer sinal de retorno da doença.
- Atenção à Dieta: Alimentos ricos em açúcar e carboidratos refinados podem favorecer o crescimento bacteriano. Priorize uma dieta equilibrada e rica em nutrientes.
- Não Fume: O tabagismo é um fator de risco significativo para a periodontite agressiva e dificulta a cicatrização. Buscar ajuda para parar de fumar é um passo importante.
- Gerenciamento do Estresse: O estresse pode afetar seu sistema imunológico, tornando-o mais suscetível a infecções. Encontre maneiras saudáveis de gerenciar o estresse no seu dia a dia.
Dúvidas Frequentes
Qual a principal diferença entre o tratamento da periodontite crônica e a agressiva?
A periodontite agressiva geralmente requer uma abordagem mais intensiva e rápida devido à sua natureza destrutiva. Enquanto a crônica pode ter uma progressão mais lenta, a agressiva exige intervenções mais focadas para interromper a destruição dos tecidos periodontais em estágio avançado, como os estágios III e IV, e pode envolver protocolos como a ‘Full Mouth Disinfection’ com mais frequência.
Os antibióticos são sempre necessários no tratamento da periodontite agressiva?
Nem sempre, mas são frequentemente indicados em casos de periodontite agressiva, especialmente quando há sinais de infecção ativa ou para complementar procedimentos como a raspagem e alisamento radicular. A escolha e a associação de antibióticos, como amoxicilina com metronidazol ou azitromicina, dependem da avaliação clínica individual e da gravidade da infecção.
O que acontece se a periodontite agressiva não for tratada adequadamente?
A falta de tratamento adequado pode levar à perda óssea severa, mobilidade dentária e, eventualmente, à perda dos dentes. Além disso, a infecção pode se espalhar e afetar a saúde geral do corpo, sendo fundamental buscar o tratamento para a interrupção da destruição dos tecidos periodontais.
O Caminho para a Saúde Periodontal
Cuidar da periodontite agressiva é uma jornada que exige compromisso e acompanhamento profissional. Lembre-se que a informação é sua aliada. Entendendo a periodontite agressiva: causas e sintomas, você se torna mais apto a identificar os sinais. A importância da higiene bucal no controle da periodontite agressiva é inegável, e o acompanhamento pós-tratamento da periodontite agressiva: o que esperar, garante que você mantenha os resultados a longo prazo. Não hesite em procurar seu dentista para um plano de tratamento personalizado.

