Tratar a gengivite crônica pode parecer um desafio, né? Seus dentes sensíveis e o desconforto te incomodam? Pois é, muita gente passa por isso. Mas calma! No post de hoje, eu vou te mostrar como lidar com essa situação de vez, com dicas práticas que realmente funcionam para sua saúde bucal.
Gengivite Crônica: Entenda o Que Acontece e Por Que Não Ignorar
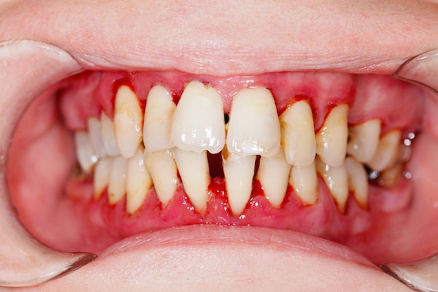
A gengivite crônica é a inflamação da gengiva que, se não tratada, pode evoluir. Ela acontece pelo acúmulo de placa bacteriana. Isso causa vermelhidão, inchaço e até sangramento ao escovar os dentes. Ignorar pode levar a problemas mais sérios, como a periodontite, que afeta os ossos que sustentam os dentes.
Cuidar da gengivite é fundamental para a saúde bucal geral. A melhor forma de tratar é com higiene rigorosa e visitas regulares ao dentista. Ele pode indicar tratamentos específicos e orientar sobre os cuidados necessários. Um sorriso saudável começa com gengivas bem cuidadas.
Confira este vídeo relacionado para mais detalhes:
Seu Guia Completo Para Combater a Gengivite Crônica em Casa

A Higiene Bucal Impecável é o Primeiro Passo Fundamental
A gengivite crônica pode parecer uma coisa pequena, mas se não for tratada, ela pode se agravar e trazer outros problemas. É aquela inflamação persistente que deixa a gengiva inchada e às vezes sangrando. O principal culpado? Acúmulo de placa bacteriana. Pois é, aquela sujeirinha que não sai com uma escovação básica. Precisamos ser mais eficientes na limpeza diária.

Se você notar que sua gengiva está sempre vermelha, sensível ou até mesmo recuando, pode ser gengivite crônica. Não ignore esses sinais! A boa notícia é que, na maioria das vezes, com os cuidados certos em casa e, claro, acompanhamento do dentista, a situação melhora muito. Ele poderá te orientar sobre os produtos e técnicas mais adequados para o seu caso.
O tratamento em casa foca em eliminar a placa bacteriana de forma completa. Isso significa escovar os dentes com atenção, especialmente na linha da gengiva, e usar o fio dental todos os dias, sem exceção. A persistência é chave para reverter o quadro. Lembre-se que a prevenção é sempre o melhor remédio, mas quando a gengivite aparece, a dedicação à higiene é o que vai fazer a diferença.
Dica Prática: Use um enxaguante bucal sem álcool recomendado pelo seu dentista, especialmente após as refeições, para ajudar a controlar as bactérias e manter sua boca mais protegida.

A Pasta de Dente Certa Faz Toda a Diferença
Sabe aquela sensação chata de gengiva que sangra fácil ou fica sensível? Pois é, muitas vezes o problema pode ser mais sério do que parece, como a gengivite crônica. E o primeiro passo, que faz uma diferença enorme, é escolher a pasta de dente certa. Não é só para refrescar o hálito, viu?

Existem pastas formuladas especialmente para quem sofre com problemas gengivais. Elas costumam ter ingredientes que ajudam a combater as bactérias causadoras da inflamação e a proteger a gengiva. Se você tem gengivite crônica, procure por aquelas que são recomendadas para esse fim. Eu já vi muita gente melhorando só de trocar a pasta!
Escolher a pasta errada pode até piorar a situação, causando mais irritação. Fica tranquila, o mercado oferece boas opções. Preste atenção aos rótulos, e se tiver dúvida, converse com seu dentista. Ele é a pessoa certa para te indicar o melhor produto para o seu caso específico. Vamos combinar, um sorriso saudável começa com cuidado!
Dica Prática: Procure pastas de dente com flúor e que indiquem ação anti-inflamatória ou para gengivas sensíveis.

O Poder do Enxaguante Bucal no Seu Tratamento
Pois é, se você está buscando entender como tratar a gengivite crônica, vai gostar de saber que o enxaguante bucal pode ser um grande aliado. Não pense nele como um substituto da escovação e do fio dental, viu? Ele entra como um complemento, ajudando a controlar as bactérias que causam a inflamação. A ideia é que ele alcance aqueles cantinhos que a escova às vezes não pega tão bem, dando uma forcinha extra para a saúde da sua gengiva.

Quando falamos de enxaguantes para gengivite, procure opções com agentes antissépticos. Eles funcionam combatendo os micro-organismos nocivos na boca. É importante conversar com seu dentista antes de escolher um produto. Ele poderá indicar a melhor fórmula para o seu caso, considerando se há necessidade de ingredientes específicos para aliviar a inflamação ou ajudar na cicatrização. Lembra que cada boca é um universo, né?
Usar o enxaguante certo faz uma diferença notável na rotina de cuidados. Ele ajuda a refrescar o hálito e, mais importante, a manter a gengiva mais saudável. Lembre-se de seguir as instruções do rótulo ou a recomendação do seu profissional. Não adianta exagerar na dose, o uso correto é que garante o benefício.
Dica Prática: Após escovar os dentes e usar o fio dental, aguarde um pouco antes de usar o enxaguante. Assim, você não remove o flúor do creme dental recém-aplicado.

Raspagem Manual: Uma Técnica Que Você Pode Dominar
Sei que o assunto “raspagem” pode soar um pouco assustador, mas fica tranquila! A raspagem manual é uma técnica que você pode aprender e dominar em casa para te ajudar a controlar a gengivite crônica. É um passo a passo bem simples para remover aquela placa bacteriana que se acumula e causa o problema. Eu mesma já me preocupei com isso e posso te dizer: faz toda a diferença!

Pois é, o acúmulo de placa é o grande vilão da gengivite. Com a raspagem manual, você vai aprender a usar instrumentos específicos para alcançar e retirar essa placa, especialmente em áreas onde a escovação comum não chega com tanta eficácia. Isso inclui a linha da gengiva e entre os dentes. É uma forma de cuidado extra que seu sorriso vai agradecer.
Vamos combinar: manter uma boa higiene bucal é fundamental para a saúde geral. A raspagem manual entra como um reforço nesse cuidado diário. Ao remover a placa de forma consistente, você diminui a inflamação da gengiva e previne que a gengivite crônica piore.
Dica Prática: Para começar, utilize um raspador de língua ou um kit específico para raspagem dental de boa qualidade. Faça movimentos suaves e sem forçar, sempre seguindo a anatomia dos seus dentes e gengivas.

A Importância da Limpeza Entre os Dentes (Fio Dental ou Escova Interdental)
Muita gente esquece, mas limpar entre os dentes é tão importante quanto escovar. É aí que o fio dental ou a escova interdental entram, sacando? A escovação sozinha não alcança tudo, e essas sujeirinhas acumuladas podem causar problemas sérios. A gengivite crônica, por exemplo, adora se instalar nesse cantinho esquecido. Ignorar essa etapa é convidar a inflamação e, lá na frente, complicações maiores.

Pense no fio dental como um passe de mágica para tirar os restos de comida e a placa bacteriana que a escova não consegue remover. Se seus dentes são muito juntinhos, o fio é ideal. Já para quem tem espaços maiores entre eles, ou usa aparelho, a escova interdental é uma campeã. O importante é não deixar o espaço entre os dentes ser um paraíso para as bactérias. Isso afeta diretamente a saúde da sua gengiva, prevenindo inflamações persistentes.
Quando a gengiva fica inflamada por muito tempo, a gente chama de gengivite crônica. Os sintomas podem ser sutis no começo: um sangramento leve ao escovar, um inchaço discreto. Mas, com o tempo, essa inflamação pode evoluir e comprometer a estrutura que sustenta os dentes. A limpeza interdental regular é uma arma poderosa para evitar que isso aconteça, mantendo sua gengiva saudável e sua boca feliz.
Dica Prática: Crie o hábito de usar o fio dental ou a escova interdental pelo menos uma vez ao dia, preferencialmente antes de dormir, para garantir que a boca fique limpa durante a noite.

Alimentos Que Ajudam e Que Prejudicam Sua Gengiva
Falar sobre gengivite crônica pode parecer chato, mas é fundamental pra manter o sorriso bonito e a saúde em dia. Muita gente pensa que é só uma inflamaçãozinha, mas quando ela vira crônica, a coisa aperta. O que você come tem um papel enorme nisso. Certos alimentos pioram a situação, enquanto outros ajudam bastante a gengiva a se recuperar.

Vamos combinar: ninguém quer uma gengiva que sangra ou incha, né? Açúcares e alimentos processados são os vilões aqui. Eles alimentam as bactérias ruins na boca, que atacam a gengiva. Por outro lado, frutas e verduras ricas em vitaminas, como vitamina C e K, fazem um bem danado. Elas ajudam a reduzir a inflamação e fortalecem os tecidos gengivais. Pensa num escudo natural!
Manter a higiene bucal em dia é o primeiro passo, mas a alimentação complementa o tratamento da gengivite crônica. Incluir alimentos mais naturais na sua rotina faz uma diferença gigante. É um jeito prático de cuidar de você.
Dica Prática: Para ajudar sua gengiva, inclua alimentos ricos em fibras na sua dieta, como maçãs e cenouras cruas, e aposte em chás sem açúcar, como o de camomila, que tem propriedades calmantes.

Hidratação: Um Aliado Surpreendente Para Sua Saúde Bucal
Você sabia que a água pode ser sua maior aliada para combater a gengivite crônica? Pois é, muita gente não dá a devida atenção, mas manter o corpo hidratado reflete diretamente na sua boca. A saliva é uma defesa natural importantíssima. Ela limpa os resíduos de alimentos, neutraliza ácidos e ajuda a controlar as bactérias. Quando você está desidratada, a produção de saliva diminui, criando um ambiente perfeito para a proliferação de germes que causam inflamação e pioram a gengivite.

Uma boca seca, ou xerostomia, é um convite para problemas bucais. Além da gengivite, o mau hálito se intensifica e o risco de cáries aumenta. Por isso, beber água ao longo do dia não é só bom para a pele ou para os rins, é fundamental para manter a umidade ideal na sua boca. Isso ajuda a diluir as toxinas e facilita a remoção de placa bacteriana, que é a principal causa da gengivite crônica.
Vamos combinar: um copo d’água entre as refeições faz uma diferença enorme. Não precisa ser um litro de uma vez, vá aos poucos. Se você sente a boca seca com frequência, perceba se está bebendo água o suficiente. É um hábito simples, mas que impacta muito na saúde da sua gengiva e no seu bem-estar geral. Fica tranquila, seu corpo agradece essa atenção.
Dica Prática: Tenha sempre uma garrafinha de água por perto e beba pequenos goles a cada hora, mesmo que não sinta sede.

O Que Evitar Para Não Piorar a Situação
Sabe quando a gengiva fica inchada, vermelha e sangra fácil? Se isso já virou rotina, é sinal de gengivite crônica. E olha, ignorar isso só piora o quadro. Muita gente acha que é normal, mas não é. Se você não cuidar, a inflamação pode avançar e virar algo mais sério, como periodontite. Essa é a fase em que o osso que segura seus dentes começa a ser afetado. Ninguém quer chegar nesse ponto, né?

Para não agravar a gengivite crônica, evite algumas coisas que parecem inofensivas. Usar escovas de dente com cerdas muito duras é um erro clássico. Elas machucam a gengiva, piorando a inflamação e o sangramento. Outro ponto é o fio dental. Se você pula essa etapa, a sujeira e as bactérias se acumulam, alimentando o problema. E cuidado com cremes dentais muito abrasivos ou com ingredientes que podem irritar sua gengiva sensível. Leitura atenta do rótulo ajuda.
Vamos combinar, a saúde da sua boca reflete em todo o corpo. Ignorar a gengivite crônica é um caminho que não leva a lugar nenhum de bom. A chave é a atenção diária e os cuidados certos. Não se automedique nem confie em receitas caseiras sem orientação. O dentista é seu melhor amigo nessa hora. Ele pode diagnosticar corretamente e indicar o tratamento ideal para você.
Dica Prática: Use uma escova de dentes com cerdas macias e faça movimentos suaves ao escovar, sempre em direção à gengiva, nunca contra ela.

Quando a Ajuda Profissional é Essencial
Vamos falar sério agora sobre gengivite crônica. Se você sente que já tentou de tudo em casa e a coisa não melhora, é hora de ligar o alerta. Ignorar a gengivite crônica pode levar a problemas maiores, como a periodontite, que afeta o osso que segura seus dentes. Pois é, a situação pode ficar mais complicada se a gente não der a devida atenção.

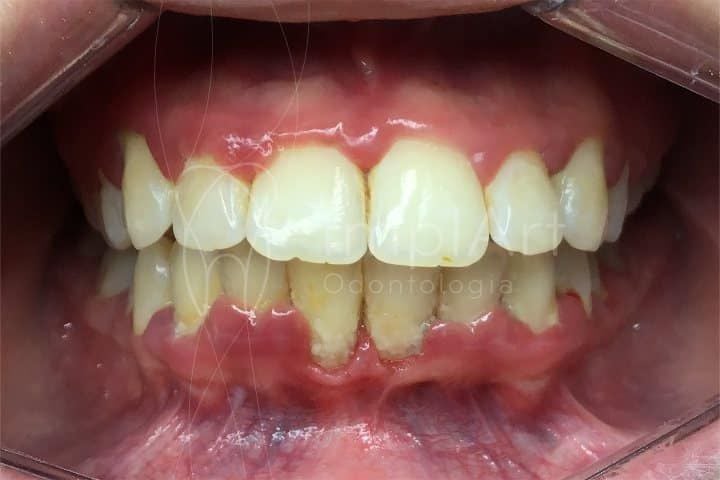
A gengivite crônica se caracteriza por uma inflamação persistente na gengiva, que fica vermelha, inchada e pode até sangrar com facilidade. Muitas vezes, a causa é o acúmulo de placa bacteriana que não foi removida corretamente com a escovação e o fio dental. Quando ela se torna crônica, os cuidados caseiros podem não ser suficientes para reverter o quadro, e a ajuda profissional se torna indispensável.
Se você está nessa situação, o melhor caminho é procurar um dentista. Ele poderá avaliar a extensão do problema, fazer uma limpeza profissional mais profunda (raspagem) para remover a placa e o tártaro acumulados, e indicar o tratamento mais adequado para o seu caso. Fique tranquila, o dentista está ali para te ajudar a reconquistar a saúde bucal.
Dica Prática: Não adie a visita ao dentista se seus sintomas de gengivite persistem; a intervenção profissional é chave para evitar complicações.

Manutenção: Como Evitar Que a Gengivite Volte
Pois é, a gengivite pode ser chata e insistente. Se você já tratou e não quer que ela volte, a chave é a manutenção. Não adianta só tratar na crise e depois relaxar. O cuidado diário é seu melhor amigo para manter a gengiva saudável.

O segredo está na higiene bucal. A escovação deve ser feita direitinho, todos os dias, sem falhar. E não esqueça do fio dental! Ele alcança onde a escova não chega, removendo restos de comida e placa bacteriana, que são os vilões da gengivite. Se sentir que a escova não está dando conta, uma escova de dentes elétrica pode ser uma aliada.
Além da higiene em casa, as visitas regulares ao dentista são essenciais. Ele pode fazer aquela limpeza mais profunda que a gente não consegue em casa e identificar qualquer sinal precoce de que a gengivite está querendo dar as caras de novo. Assim, você age antes que o problema se agrave. Vamos combinar, cuidar da saúde bucal é cuidar da saúde geral!
Dica Prática: Use um enxaguante bucal sem álcool recomendado pelo seu dentista para um cuidado extra, mas lembre-se que ele não substitui a escovação e o fio dental.
Quando Procurar um Dentista? Sinais de Alerta Que Você Não Deve Ignorar
| Item | Características | Dicas Práticas |
|---|---|---|
| A Higiene Bucal Impecável é o Primeiro Passo Fundamental | Remover placa bacteriana e restos de alimentos. Prevenir o acúmulo de bactérias que causam inflamação. | Escove os dentes pelo menos duas vezes ao dia, com foco nas margens da gengiva. Use uma escova de cerdas macias. |
| A Pasta de Dente Certa Faz Toda a Diferença | Fórmulas com flúor fortalecem o esmalte. Pastas específicas para gengivite ajudam a reduzir a inflamação. | Escolha pastas com flúor. Se a gengivite for recorrente, converse com seu dentista sobre opções com agentes antibacterianos. |
| O Poder do Enxaguante Bucal no Seu Tratamento | Auxilia na redução de bactérias. Pode acalmar a gengiva inflamada. Não substitui a escovação e o fio dental. | Use enxaguantes sem álcool para evitar ressecamento. Siga a recomendação do seu dentista sobre a frequência e tipo. |
| Raspagem Manual: Uma Técnica Que Você Pode Dominar | Remoção mecânica da placa e tártaro acumulados. Atinge áreas difíceis para a escova. | Use movimentos suaves e controlados. Concentre-se na linha da gengiva. Se sentir dor, pare e consulte um profissional. |
| A Importância da Limpeza Entre os Dentes (Fio Dental ou Escova Interdental) | Essencial para remover placa e restos de comida onde a escova não alcança. Evita a inflamação na região entre os dentes. | Passe o fio dental diariamente, contornando cada dente. Para espaços maiores, prefira escovas interdentais adequadas. |
| Alimentos Que Ajudam e Que Prejudicam Sua Gengiva | Alimentos ricos em vitaminas e minerais fortalecem a gengiva. Açúcares e alimentos processados alimentam as bactérias. | Consuma frutas, verduras, legumes e proteínas magras. Reduza o consumo de doces, refrigerantes e alimentos industrializados. |
| Hidratação: Um Aliado Surpreendente Para Sua Saúde Bucal | A água ajuda a limpar a boca e estimula a produção de saliva. A saliva protege contra bactérias e neutraliza ácidos. | Beba água ao longo do dia, especialmente após as refeições. Mantenha a boca sempre úmida. |
| O Que Evitar Para Não Piorar a Situação | Fumar, consumir álcool em excesso, escovação agressiva e não seguir a rotina de higiene. | Se você fuma, busque ajuda para parar. Modere o consumo de bebidas alcoólicas. Seja gentil com suas gengivas. |
| Quando a Ajuda Profissional é Essencial | Sangramento persistente, inchaço acentuado, dor forte, mau hálito crônico, retração geng |
Confira este vídeo relacionado para mais detalhes:
Prevenção é o Melhor Remédio: Crie Hábitos Saudáveis Agora
Pois é, a gente sabe que gengivite crônica pode ser chata. Mas a boa notícia é que a gente pode dar um jeito nisso com um bom cuidado em casa. Nada de mistério, viu? É questão de criar uma rotina que funciona.
Eu, particularmente, percebi uma melhora enorme quando comecei a dar mais atenção a alguns pontos. Fica tranquila, não é nada complicado e você vai sentir a diferença.
Aqui estão as minhas dicas de ouro para você:
- Escovação Rigorosa: Vá com calma, mas com firmeza. Escove todos os lados dos dentes, incluindo a linha da gengiva. Use uma escova de cerdas macias para não machucar. Faça isso pelo menos duas vezes ao dia, e sempre depois das refeições principais.
- Fio Dental é Essencial: Não adianta escovar e esquecer do fio dental. Ele remove o que a escova não alcança, que é justamente onde a sujeira e as bactérias gostam de se acumular. Use todos os dias, sem falhar.
- Enxaguante Bucal: Um bom enxaguante sem álcool pode ser um aliado. Ele ajuda a controlar as bactérias. Mas lembre-se, ele complementa a escovação e o fio dental, não substitui.
- Visitas Regulares ao Dentista: Essa é a regra de ouro. Só o dentista pode avaliar direitinho a sua gengiva e fazer aquela limpeza profissional que a gente não consegue em casa. Marque suas consultas a cada seis meses, no máximo.
Vamos combinar, cuidar da gengiva é cuidar da saúde geral. Com esses hábitos, você vai ver sua gengivite dar uma trégua.
Dúvidas das Leitoras
A gengivite crônica pode virar algo mais grave?
Sim, pode. Se não tratada, a gengivite crônica pode evoluir para periodontite, uma doença mais séria que afeta os ossos e tecidos que sustentam os dentes. Isso pode levar à perda dentária.
É possível tratar a gengivite crônica apenas com remédios caseiros?
Remédios caseiros podem ajudar a aliviar alguns sintomas, mas não tratam a causa raiz. A higiene bucal rigorosa e a avaliação profissional são essenciais para a cura.
Com que frequência devo escovar os dentes para tratar a gengivite?
A escovação deve ser feita pelo menos duas vezes ao dia, após as refeições. O mais importante é a técnica correta e o uso do fio dental diariamente para remover a placa bacteriana.
O sangramento na gengiva some logo depois de começar o tratamento?
Geralmente, o sangramento diminui em poucos dias após o início do tratamento e da melhora da higiene bucal. Se o sangramento persistir, procure seu dentista.
Cuidar da gengivite crônica exige disciplina. Escovação correta e fio dental são seus aliados diários. Consultas regulares ao dentista fazem toda a diferença. Não descuide da sua saúde bucal, viu? Se a questão do cuidado diário te pegou, sugiro dar uma olhada em como manter a higiene bucal perfeita. Vamos conversar mais sobre isso nos comentários!

