Sabe quando você quer um sorriso mais branco, mas seus dentes protestam com sensibilidade? Pois é, essa é uma barreira comum para muita gente. Descobrir como clarear os dentes sensíveis sem sentir aquela dor incômoda parece um desafio, né? Mas a boa notícia é que existem caminhos inteligentes para alcançar o clareamento desejado, protegendo sua saúde bucal. Neste artigo, eu vou te mostrar exatamente como fazer isso, com dicas práticas e segredos que vão te surpreender.
Entendendo a Sensibilidade Dental Durante o Clareamento e Como Evitá-la
A sensibilidade pós-clareamento acontece quando o esmalte dental fica temporariamente mais permeável. Isso expõe a dentina, a camada abaixo, que tem terminações nervosas.
Agentes clareadores, mesmo os mais modernos, podem intensificar essa exposição. Vamos combinar, ninguém quer um sorriso lindo com um desconforto persistente.
A chave aqui é escolher produtos e métodos que já consideram essa fragilidade. Marcas como Sensodyne oferecem linhas específicas. Elas unem o poder clareador à proteção contra a sensibilidade.
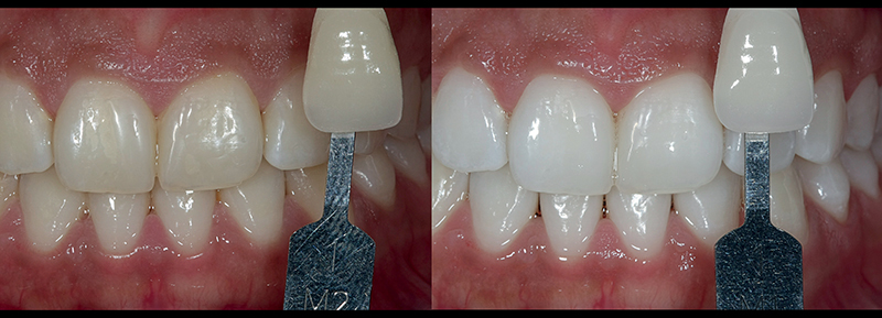
“Gel de peróxido de carbamida a 10% é indicado para alta sensibilidade dentária em moldeiras caseiras.”

O que você vai precisar
- Pasta de dente para dentes sensíveis (como Sensodyne ou Elmex)
- Creme dental branqueador formulado para sensibilidade (como Sensodyne True White)
- Gel clareador de baixa concentração (10% de peróxido de carbamida)
- Tecnologia de clareamento com baixo risco de dor (como Clareamento a Laser Fotona)
- Enxaguante bucal suave (opcional)
- Escova de dentes de cerdas macias

Passo a Passo: Clareie Seus Dentes Sem Dor
- Preparação Essencial: Comece usando uma pasta de dente focada em sensibilidade por, no mínimo, duas semanas antes de qualquer procedimento clareador. Isso ajuda a dessensibilizar seus dentes, preparando-os para o processo. Use essa pasta diariamente, substituindo sua pasta habitual. O objetivo é criar uma barreira protetora e acalmar as terminações nervosas expostas.
- Escolha do Clareador Certo: Opte por géis clareadores com baixa concentração, como 10% de peróxido de carbamida. Essa concentração é ideal para quem tem alta sensibilidade. Evite produtos com concentrações mais elevadas, pois podem intensificar o desconforto. A ideia é agir gradualmente, minimizando o choque nos nervos dentais.
- Aplicação Consciente: Siga rigorosamente as instruções do produto. Se o gel clareador indicar um tempo de uso, reduza pela metade, especialmente nas primeiras aplicações. Observe a reação dos seus dentes. Se sentir qualquer desconforto, remova o produto imediatamente. É melhor clarear um pouco mais devagar do que sofrer com a dor.
- Gerenciamento da Dor Pós-Clareamento: Após o uso do clareador, aplique novamente sua pasta de dente para sensibilidade ou use um creme dental branqueador específico para dentes sensíveis. Isso ajudará a aliviar qualquer sensibilidade residual. Alguns profissionais recomendam o uso de um enxaguante bucal suave para finalizar a higiene sem agredir.
- Monitoramento Contínuo: Preste atenção a qualquer sinal de dor ou sensibilidade aumentada. Se o desconforto persistir ou piorar, suspenda o uso do clareador e consulte seu dentista.

Gel de Baixa Concentração (10%)
Quando se trata de clarear dentes sensíveis, a chave está na paciência e na moderação. Por isso, um gel clareador com 10% de peróxido de carbamida é seu maior aliado. Essa concentração mais baixa permite que o agente clareador aja de forma mais suave, sem agredir tanto as estruturas dentais e os nervos.
Pois é, o segredo é não ter pressa. A ideia não é obter resultados drásticos em um dia, mas sim um clareamento seguro e confortável.

Cremes Dentais Branqueadores para Sensibilidade
Você sabia que existem cremes dentais que já unem o benefício do branqueamento com o cuidado para dentes sensíveis? Marcas como Sensodyne True White são formuladas exatamente para isso. Elas contêm ingredientes que ajudam a remover manchas superficiais e, ao mesmo tempo, protegem a dentina e reduzem a sensibilidade.
Use-os no dia a dia, mesmo quando não estiver fazendo um tratamento clareador mais intensivo. É um cuidado contínuo que faz toda a diferença.

Clareamento a Laser Específico
Para quem busca uma solução mais rápida e com menor risco de dor pós-operatória, tecnologias como o Clareamento a Laser Fotona podem ser uma excelente opção. Esses procedimentos são realizados em consultório e utilizam lasers específicos que minimizam o aquecimento do dente, o que geralmente causa a sensibilidade.
Claro, essa é uma abordagem que exige acompanhamento profissional e um investimento maior, mas os resultados em termos de conforto e eficácia podem ser notáveis.

Preparação com Pasta de Sensibilidade
Este é um dos segredos mais importantes: a preparação. Antes de sequer pensar em usar um gel clareador, dedique de duas a três semanas usando diariamente uma pasta de dente formulada para dentes sensíveis. Produtos como Elmex ou Sensodyne criam uma camada protetora e ajudam a bloquear os túbulos dentinários, que são a causa da sensibilidade.
Fica tranquila, esse passo é fundamental para que o clareamento ocorra sem o incômodo que você tanto teme.

Reduza o Tempo de Uso
Seja com gel clareador ou moldeiras, a tentação é deixar o produto agindo o máximo de tempo possível. Com dentes sensíveis, o caminho é o oposto. Comece com metade do tempo recomendado pelo fabricante. Se não sentir dor, aumente gradualmente em sessões futuras, mas sempre com cautela.
Vamos combinar, um clareamento um pouco mais demorado vale muito a pena se o preço for o seu conforto.

Evite Receitas Caseiras Abrasivas
Você pode ter visto por aí dicas de clareamento com ingredientes como bicarbonato de sódio ou limão. Eu não recomendo. Esses materiais são abrasivos e podem desgastar o esmalte dos seus dentes. Esmalte desgastado significa dentes mais sensíveis e um risco maior de problemas futuros.
Pois é, o barato pode sair caro. Aposte em produtos desenvolvidos para essa finalidade.

Acompanhamento Profissional
A automedicação e os tratamentos caseiros sem orientação podem trazer mais riscos do que benefícios, especialmente para quem já lida com sensibilidade. Seu dentista é a pessoa mais indicada para avaliar a saúde dos seus dentes e gengivas, identificar a causa da sensibilidade e recomendar o método de clareamento mais seguro e eficaz para o seu caso.
Ele poderá indicar o gel clareador ideal, a concentração certa e até mesmo opções de clareamento profissional, como o a laser, que causam menos sensibilidade.

Hábitos para Manter o Clareamento
Depois de conquistar seus dentes mais brancos e sem dor, o desafio é manter o resultado. Uma dica de ouro é observar sua alimentação. Evite alimentos e bebidas com alta pigmentação, como café, vinho tinto, açaí e molhos escuros, logo após o clareamento. Se consumir, beba água logo em seguida para ajudar a remover os resíduos.
Manter uma boa higiene bucal com escova de cerdas macias e fio dental, além de usar sua pasta para sensibilidade, também contribui para a longevidade do clareamento e a saúde dos seus dentes.
Dicas Extras
- Use pastas de dente específicas: Opte por cremes dentais formulados para dentes sensíveis e com efeito branqueador, como a Sensodyne True White. Elas ajudam a tratar a sensibilidade enquanto clareiam.
- Hidratação é chave: Beba bastante água ao longo do dia. Isso ajuda a manter a boca hidratada e pode minimizar a sensação de sensibilidade.
- Cuidado com a temperatura: Evite alimentos e bebidas muito quentes ou muito frios. Espere que esfriem ou aqueçam um pouco antes de consumir.
- Consulte seu dentista regularmente: Ele é o profissional ideal para avaliar a causa da sua sensibilidade e indicar o melhor tratamento.
Dúvidas Frequentes
Posso usar bicarbonato de sódio para clarear dentes sensíveis?
Não é recomendado. O bicarbonato de sódio, apesar de abrasivo, pode desgastar o esmalte dental, aumentando a sensibilidade e os riscos para a saúde bucal. É melhor focar em métodos seguros.
Qual a concentração ideal de gel clareador para quem tem gengiva sensível?
Para casos de alta sensibilidade, como em quem tem gengiva sensível, o ideal é optar por géis clareadores com concentrações menores, como 10% de peróxido de carbamida. Converse com seu dentista para uma indicação precisa.
Clareamento a laser é uma boa opção para dentes sensíveis?
Sim, algumas tecnologias, como o Clareamento a Laser Fotona, são desenvolvidas para minimizar o risco de dor pós-operatória, sendo uma alternativa a ser considerada para dentes sensíveis. Mas sempre discuta com seu dentista.
Conclusão
Clarear os dentes sensíveis é totalmente possível com os cuidados certos. Lembre-se que a chave está na escolha de produtos adequados e na paciência. Explore mais sobre como escolher o melhor creme dental para dentes sensíveis e entenda os riscos do bicarbonato de sódio para o esmalte dental. Seu sorriso branco e saudável está ao seu alcance!

