Você se pergunta como clarear os dentes com morango e açafrão? Muitos buscam soluções naturais e acessíveis para um sorriso mais branco. Essa combinação viralizou nas redes sociais como um método caseiro rápido. Mas será que funciona mesmo? Eu vou te contar a verdade por trás dessa promessa, desvendando os riscos e a real eficácia desses ingredientes na sua saúde bucal. Prepare-se para ter a informação completa antes de experimentar.
Por Que Morango e Açafrão São Promovidos Como Clareadores Dentais Caseiros?
A ideia de usar morango e açafrão para clarear os dentes surge da observação de algumas características desses alimentos. Vamos combinar: o apelo de um tratamento natural e barato é enorme.
O morango é citado por conter ácido málico. Acredita-se que essa substância possa ajudar a remover manchas superficiais. Parece promissor, não é?
Já o açafrão, uma especiaria conhecida por sua cor vibrante, também entra na jogada. Sua fama de corante natural forte leva à especulação de que ele poderia, de alguma forma, reverter o amarelado dos dentes.
No entanto, a ciência tem um olhar diferente sobre essas aplicações caseiras. O que parece simples na teoria pode trazer complicações na prática, especialmente quando falamos da saúde do seu esmalte dental.
“Estudo da USP concluiu que métodos caseiros como a cúrcuma são ineficazes e podem causar prejuízos significativos à saúde bucal.”

O que você vai precisar
- Morango fresco
- Açafrão em pó (cúrcuma)
- Escova de dentes
- Creme dental

O Mito do Morango para Clareamento Dental
Muita gente ouve por aí que o morango pode ajudar a clarear os dentes. A ideia é que o ácido málico presente na fruta removeria manchas superficiais. Pois é, o morango tem esse ácido, que pode dar um brilho temporário. Mas vamos combinar, o risco é alto.
O morango também carrega ácido cítrico e bastante açúcar. Esses componentes podem, com o tempo, corroer o esmalte do seu dente. Esmalte desgastado não volta, viu? Isso pode até deixar os dentes mais amarelados a longo prazo, o oposto do que a gente quer.
A Belmont Dentistry aponta que, embora possam haver resultados de branqueamento de curto prazo, os riscos são reais.

Os Riscos do Açafrão (Cúrcuma) nos Dentes
Agora, o açafrão, ou cúrcuma. Ele é famoso pelas suas propriedades anti-inflamatórias. Muita gente pensa em usar como clareador natural. Só que o açafrão é um corante natural potente.
Se seus dentes têm alguma porosidade, o açafrão pode grudar neles. E aí, em vez de branquear, ele pode acabar deixando seus dentes mais amarelados. A American Dental Association (ADA) é clara: não há evidências científicas que comprovem o açafrão como clareador.
A MouthHealthy, da ADA, inclusive desmistifica o uso de especiarias como o açafrão para clareamento.

Por Que Receitas Caseiras Falham?
Vamos ser diretos: a maioria das receitas caseiras para clarear os dentes falha porque tenta imitar procedimentos profissionais com ingredientes inadequados.
Esses métodos caseiros muitas vezes usam substâncias ácidas ou abrasivas demais. Elas podem dar uma sensação de limpeza ou polimento inicial, mas o dano ao esmalte é o preço.

Danos Potenciais ao Esmalte Dental
O esmalte é a camada protetora dos seus dentes. Quando ele é corroído ou desgastado, a parte interna do dente, que é mais amarelada (a dentina), fica mais exposta.
Isso não só prejudica a estética, mas também aumenta a sensibilidade e o risco de cáries. Proteger o esmalte é fundamental para a saúde bucal.

A Opinião de Especialistas e Instituições
A ciência já investigou isso. Um estudo da Faculdade de Odontologia de Ribeirão Preto (USP) concluiu que métodos caseiros, incluindo o uso de cúrcuma, são ineficazes.
Pior ainda, podem causar prejuízos significativos à saúde bucal. Essa é uma informação importante para você considerar.
O Jornal da USP também reforça que cúrcuma, casca de banana e carvão ativado não funcionam para clareamento dental.

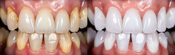
Alternativas Seguras para Dentes Brancos
Se você busca dentes mais brancos, existem caminhos seguros e eficazes.
O clareamento profissional, realizado no consultório odontológico, utiliza agentes como o peróxido de hidrogênio ou carbamida. Eles agem de forma controlada e segura, com supervisão profissional.
A Ideal Odonto, por exemplo, menciona o açafrão como alternativa natural, mas ressalta a necessidade de cuidados. Isso mostra que até mesmo fontes que exploram o natural alertam para os riscos.

A Importância da Consulta Odontológica
A melhor pessoa para te orientar sobre clareamento dental é o seu dentista.
Ele vai avaliar a saúde da sua boca, identificar a causa do escurecimento e indicar o tratamento mais adequado para o seu caso.
Ignorar a opinião profissional pode levar a resultados insatisfatórios ou até danos à sua saúde bucal.

Comparativo: Métodos Caseiros vs. Profissionais
Métodos Caseiros (Morango, Açafrão, etc.):
- Eficácia duvidosa e temporária.
- Alto risco de danos ao esmalte.
- Podem manchar os dentes permanentemente.
- Não há comprovação científica.
Métodos Profissionais:
- Resultados comprovados e duradouros.
- Segurança garantida sob supervisão.
- Tratamento personalizado para suas necessidades.
- Baseado em ciência e tecnologia odontológica.
Portanto, para um sorriso branco e saudável, o caminho mais seguro e eficaz é sempre o profissional. Cuide bem do seu sorriso!
Este conteúdo é informativo, consulte um especialista.
Dicas Extras
- Cuidado com a Frequência: Se ainda assim decidir experimentar, use a receita de morango com muita moderação. O ácido málico pode ajudar a remover manchas superficiais, mas o uso frequente pode desgastar seu esmalte dental.
- Açafrão: Atenção à Porosidade: O açafrão é um corante potente. Dentes com esmalte mais poroso ou com restaurações podem absorver mais facilmente a cor, resultando em um amarelamento indesejado.
- Hidratação Pós-Receita: Após usar qualquer método caseiro com frutas ácidas, como o morango, enxágue bem a boca com água. Isso ajuda a neutralizar o ácido e minimizar danos ao esmalte.
- Observe seu Sorriso: Preste atenção a qualquer sensibilidade ou alteração na cor dos seus dentes. Se notar algo incomum, suspenda o uso imediatamente e procure um profissional.
Dúvidas Frequentes
Morango clareia os dentes de verdade?
O morango contém ácido málico, que pode remover manchas superficiais temporariamente. No entanto, o ácido cítrico e o açúcar presentes na fruta podem corroer o esmalte dental, trazendo riscos. Não há comprovação científica robusta de que ele seja um clareador eficaz e seguro a longo prazo.
O açafrão pode manchar os dentes?
Sim, o açafrão é um corante natural forte. Ele pode se aderir a dentes porosos, especialmente se houver restaurações ou um esmalte mais desgastado, causando manchas amareladas. A American Dental Association (ADA) não encontra evidências de que ele funcione como clareador.
Quais os riscos de métodos caseiros para clarear os dentes?
Métodos caseiros, como os que usam morango e açafrão, podem causar danos ao esmalte dental devido à acidez ou pigmentação. Um estudo da USP comprovou que a cúrcuma (açafrão) e outros métodos caseiros são ineficazes e podem prejudicar a saúde bucal. É importante considerar os perigos dos remédios caseiros para a saúde bucal.
Conclusão: A Busca por um Sorriso Mais Branco
Embora a ideia de um clareador dental caseiro com ingredientes acessíveis como morango e açafrão pareça tentadora, a ciência e a experiência profissional indicam cautela. Os riscos de danos ao esmalte e o surgimento de manchas podem superar os benefícios temporários. Para um sorriso verdadeiramente branco e saudável, a consulta com um dentista é o caminho mais seguro e eficaz. Explore também como manter seu sorriso branco após o clareamento profissional e entenda os 5 alimentos que causam manchas nos dentes para um cuidado completo.

