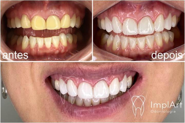
Quer saber como clarear os dentes com gel clareador e laser e conquistar um sorriso radiante? Muitas vezes, o amarelado ou manchas nos dentes nos deixam inseguros, né? Pois é, mas a boa notícia é que essa combinação de gel e laser é realmente eficaz. Neste post, vou te contar tudo sobre esse tratamento que pode devolver o brilho que você tanto deseja.
Sorriso Radiante: Seu Guia Completo para Clareamento Dental Profissional
Você sonha com um sorriso mais branco e confiante? O clareamento dental profissional combina gel clareador e laser para resultados visíveis. O gel, com peróxido de carbamida ou hidrogênio, age nas manchas. O laser, ou luz LED, acelera a reação química, intensificando o efeito. É um procedimento seguro e eficaz para realçar seu sorriso.
Os benefícios vão além da estética. Um sorriso mais claro pode aumentar sua autoconfiança e melhorar sua imagem pessoal e profissional. Essa técnica moderna oferece uma maneira rápida e segura de conquistar dentes mais brancos, revitalizando sua aparência de forma surpreendente. Vamos combinar, quem não quer um sorriso de estrela?
Confira este vídeo relacionado para mais detalhes:
Gel Clareador e Laser: Uma Dupla Imbatível para Dentes Mais Brancos

Entendendo o Mecanismo do Gel Clareador
Você quer saber como clarear os dentes usando gel clareador e laser? Pois é, o processo parece mágica, mas tem uma explicação bem lógica. Basicamente, o gel clareador contém substâncias que, quando ativadas, quebram as moléculas que causam as manchas nos seus dentes. Pense nelas como pequenas “agentes de limpeza” que vão aos poucos removendo o amarelado e deixando seu sorriso mais brilhante.

Agora, o laser entra como um acelerador desse processo. Ele não clareia os dentes sozinho, sabe? A luz do laser ativa o gel, potencializando a ação dele. É como se o laser desse um gás a mais para o gel trabalhar mais rápido e de forma mais eficiente na remoção dessas moléculas pigmentadas. Por isso, a combinação gel e laser costuma trazer resultados mais visíveis em menos tempo.
É fundamental que esse procedimento seja feito por um profissional. O dentista vai aplicar o gel e usar o laser de forma controlada, garantindo que você tenha o resultado desejado sem prejudicar seus dentes ou gengivas. Eles sabem a concentração certa do gel e o tempo de exposição do laser.
Dica Prática: Antes de qualquer procedimento, converse abertamente com seu dentista sobre suas expectativas e tire todas as suas dúvidas sobre como clarear os dentes com gel clareador e laser.

Como o Laser Potencializa o Tratamento
Você já ouviu falar que o laser pode turbinar o clareamento dental? Pois é, essa tecnologia não é só para filmes de ficção científica! Quando falamos de como clarear os dentes com gel clareador e laser, estamos falando de um método que acelera o processo e, muitas vezes, entrega resultados mais visíveis. O gel clareador, com seu princípio ativo, já tem o poder de remover manchas. O laser entra como um “acelerador” desse processo.

A luz do laser, quando aplicada sobre o gel clareador na sua boca, ativa ainda mais os componentes do produto. Essa ativação faz com que o gel trabalhe mais rápido e de forma mais intensa na remoção dos pigmentos que escurecem seus dentes. É como dar um “boost” no tratamento. Por isso, muitas vezes, com o laser, você consegue um sorriso mais branco em menos tempo do que em métodos que usam apenas o gel.
A grande sacada aqui é que a combinação de gel e laser pode otimizar o resultado. A luz direcionada ajuda o gel a penetrar melhor no esmalte do dente, agindo nas manchas mais profundas. Isso significa que as manchas mais teimosas, aquelas que o gel sozinho teria mais dificuldade em remover, respondem melhor a essa associação. É uma forma eficiente de ter um sorriso mais claro.
Dica Prática: Converse sempre com seu dentista para saber se o clareamento a laser é indicado para o seu caso e para entender os resultados esperados.

O Processo Passo a Passo no Consultório
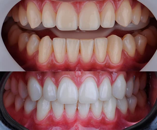
Sabe quando a gente se olha no espelho e pensa: “queria um sorriso mais branquinho”? Pois é, o clareamento a laser no consultório é um daqueles tratamentos que realmente fazem a diferença. Ele funciona com um gel clareador que a gente aplica nos dentes e, aí, entra o laser. O laser acelera a ação do gel, deixando seus dentes mais claros em uma única sessão. Fica tranquila, o procedimento é seguro e o resultado é visível rapidinho.

O processo começa com uma limpeza profissional para tirar qualquer sujeirinha ou placa que possa atrapalhar o gel. Depois, o dentista protege suas gengivas e lábios. Aí sim, o gel clareador é aplicado sobre os dentes. O laser é passado suavemente sobre o gel. Você pode sentir um leve calorzinho, mas é bem tranquilo. Geralmente, repetimos a aplicação do gel e do laser algumas vezes na mesma sessão.
Ao final, removemos todo o material. Seus dentes já estarão visivelmente mais claros. A sensação é de limpeza e aquele sorriso renovado que a gente adora. Lembre-se que o resultado exato varia de pessoa para pessoa. Depois do clareamento, é bom evitar alimentos e bebidas que mancham por um tempo. Vamos combinar, vale a pena o cuidado para manter o sorriso brilhando!
Dica Prática: Para potencializar o resultado e garantir que ele dure mais, evite consumir café, vinho tinto, refrigerantes escuros e fumar nos primeiros dias após o procedimento.

Avaliação Inicial: O Que Esperar do Dentista?
Sabe quando você olha no espelho e pensa: “Queria dar um UP no meu sorriso?”. Pois é, o desejo de dentes mais branquinhos é super comum. Quando a gente decide por um clareamento a laser, é natural ter um milhão de perguntas. A primeira delas é: o que esperar daquela primeira conversa com o dentista? Ele vai ser o seu guia nessa missão. Pode perguntar tudo, viu? Desde o tipo de laser que ele usa até como será o procedimento no seu caso específico. Um bom profissional vai te explicar passo a passo, mostrando o que é seguro e o que funciona melhor para o seu tipo de dente e o resultado que você busca.

Vamos combinar, a ideia do laser assusta um pouquinho, né? Mas fica tranquila! Geralmente, o dentista aplica um gel clareador nos dentes, e o laser é usado para ativar esse gel. É isso que acelera o processo e deixa os dentes mais claros. A sensação durante o procedimento pode variar, mas na maioria das vezes é só um leve desconforto ou calor. A sensibilidade nos dentes após o clareamento também é algo a se conversar com o dentista. Ele pode indicar produtos específicos ou cuidados para minimizar isso. É tudo pensado para o seu conforto e segurança.
O gel clareador utilizado é formulado com substâncias que penetram no esmalte do dente e quebram as moléculas que causam o escurecimento. A luz do laser, então, potencializa a ação desse gel, acelerando as reações químicas responsáveis pelo clareamento. O resultado é um sorriso mais iluminado. É importante lembrar que cada pessoa reage de um jeito, então o resultado pode variar. O acompanhamento profissional é fundamental para garantir que você tenha o melhor resultado possível e que seus dentes permaneçam saudáveis.
Dica Prática: Converse abertamente com seu dentista sobre qualquer sensibilidade ou desconforto que sentir durante ou após o clareamento. Ele tem as melhores soluções para você.

A Escolha do Agente Clareador Ideal para Você
Escolher o agente clareador certo é super pessoal. Não é uma decisão de “tamanho único”. O gel clareador, por exemplo, costuma ser uma opção mais acessível e que você pode usar em casa, com supervisão do seu dentista, claro. Existem vários tipos, e o que funciona maravilhosamente para uma pessoa pode não ser o ideal para outra. Pense nas suas necessidades e no seu estilo de vida.

Quando o assunto é tratamento a laser, a gente fala de um procedimento mais rápido e, geralmente, com resultados mais visíveis em menos tempo. O laser potencializa a ação do agente clareador. É feito no consultório, então a intensidade e o tempo de exposição são controlados pelo profissional. Se você busca um resultado mais imediato e não se importa de fazer algo no consultório, o laser pode ser um caminho.
Vamos combinar, o mais importante é conversar com seu dentista. Ele vai avaliar a saúde dos seus dentes, a causa do escurecimento e indicar o método mais seguro e eficaz para o seu caso. Ele pode te explicar as diferenças entre os géis, as concentrações e como o laser funciona para te dar o sorriso que você deseja.
Dica Prática: Antes de qualquer procedimento, peça para seu dentista mostrar fotos de antes e depois de outros pacientes com casos parecidos com o seu.

Sensibilidade Pós-Procedimento: Mitos e Verdades
Vamos falar sobre a sensibilidade que pode rolar depois de clarear os dentes, especialmente com gel e laser. Muita gente fica com medo, né? Pois é, é normal sentir um pouquinho de incômodo. O gel clareador age removendo manchas, e o laser acelera esse processo. Algumas pessoas sentem mais, outras menos. É tudo muito particular do seu organismo.

A verdade é que a sensibilidade pós-clareamento é algo temporário, na maioria dos casos. O “gel clareador” que o dentista usa é bem controlado. Quando combinamos com o “laser”, o objetivo é justamente potencializar o efeito de forma segura. Se você sentir um desconforto, pode ser que os túbulos dentinários estejam mais expostos momentaneamente. Mas calma, isso passa.
O mito de que clarear os dentes com gel clareador e laser causa danos permanentes não é verdade para procedimentos feitos corretamente. O segredo é seguir as orientações do seu dentista. Ele vai avaliar seu caso e indicar o melhor tratamento. E sim, é totalmente possível ter um sorriso mais branco e saudável com esses métodos.
Dica Prática: Use um creme dental para dentes sensíveis alguns dias antes e depois do procedimento, conforme a recomendação do seu dentista.

Cuidados Essenciais Após o Clareamento
Pronto, seus dentes estão mais branquinhos! Agora é hora de atenção especial para manter esse resultado lindo por mais tempo. A gente sabe que você quer um sorriso impactante, e os cuidados pós-clareamento são cruciais pra isso. É a fase onde a gente garante que o investimento valeu a pena e que o efeito vai durar.

Vamos combinar, ninguém quer ver as manchas voltando ou a sensibilidade atrapalhando, né? Por isso, o segredo é evitar tudo o que pode pigmentar os dentes nas primeiras 48 horas. Sabe aquele cafezinho ou o vinho tinto que a gente adora? Eles entram na lista dos vilões momentaneamente. Até molhos coloridos como ketchup e shoyu pedem um tempo. Fica tranquila, é só um período curto de cuidado.
A higienização também ganha um reforço. Usar o fio dental diariamente e escovar os dentes logo após as refeições ajuda a remover qualquer resíduo que possa ter ficado. Ah, e se você sentir alguma sensibilidade, é super normal. Geralmente passa em poucos dias. Seu dentista pode recomendar um creme dental específico para dentes sensíveis, caso precise de um help extra.
Dica Prática: Mantenha uma rotina de higiene bucal rigorosa, escovando e usando fio dental após cada refeição, mesmo que precise levar seu kit na bolsa. Um bom enxaguante bucal sem álcool também pode ser um aliado.

Durabilidade do Resultado: O Que Influencia?
Sabe, a durabilidade do clareamento dental com gel e laser varia bastante de pessoa para pessoa. Não é uma regra fixa, mas tem alguns pontos que fazem toda a diferença. Uma coisa é certa: seguir as recomendações do dentista é o primeiro passo para garantir que você aproveite seu sorriso branquinho por mais tempo.

O que mais influencia? Seus hábitos alimentares e de higiene bucal, sem dúvida! Consumir alimentos e bebidas que mancham os dentes, como café, vinho tinto, açaí e refrigerantes escuros, pode comprometer o resultado mais rápido. Da mesma forma, se a higiene em casa não for caprichada, o esmalte pode ser afetado. E, claro, o tipo de esmalte de cada um também tem seu papel. Alguns tipos retêm a cor por mais tempo que outros.
Fica tranquila que não é nenhum bicho de sete cabeças. Com os cuidados certos, você pode manter seu sorriso mais branco por muito mais tempo. Pense nisso como um investimento na sua autoestima! A manutenção em casa é chave, e o dentista pode te guiar nisso.
Dica Prática: Use um bom creme dental com flúor e escove os dentes logo após consumir alimentos ou bebidas que possam manchar.

Manutenção do Sorriso Branco em Casa
Pois é, você já fez o clareamento profissional e agora quer manter aquele sorriso branco lindo, né? Fica tranquila, dá pra fazer bastante coisa em casa! Usar o gel clareador que seu dentista indicou é o primeiro passo. Ele age aos poucos, mas com constância, você vê a diferença.

O segredo é a disciplina. Aplique o gel conforme as instruções, geralmente uma vez ao dia. Evite alimentos e bebidas que mancham, como café, vinho tinto e refrigerantes escuros, logo após a aplicação e, se possível, no dia. A manutenção em casa prolonga os resultados do laser, que você fez no consultório.
Vamos combinar, manter o clareamento não é um bicho de sete cabeças, mas exige um pouco de atenção na sua rotina. Pequenas mudanças fazem toda a diferença para que seu sorriso continue radiante. Seu dentista é a melhor pessoa para te orientar sobre os produtos e a frequência ideal.
Dica Prática: Se sentir qualquer sensibilidade com o gel, converse com seu dentista. Ele pode ajustar a concentração ou a frequência de uso.

Riscos e Contraindicações: Quem Deve Ter Cautela?
Falar sobre como clarear os dentes com gel clareador e laser é ótimo, mas é fundamental saber quem precisa ter um cuidado extra. Pense assim: nem todo procedimento é para todo mundo, e com o clareamento dental não é diferente. Existem algumas condições que pedem mais atenção.

Se você tem sensibilidade dental que já incomoda no dia a dia, é bom investigar antes. Gravidez e amamentação também são momentos em que o corpo está passando por muitas mudanças, e muitas clínicas preferem esperar. Pessoas com problemas gengivais, como gengivite ou periodontite, precisam tratar a saúde da boca primeiro. Restaurações antigas nos dentes da frente também podem ser um ponto de atenção, pois o gel clareador age no dente natural, e não na restauração.
Outro ponto é sobre o esmalte do dente. Se o seu esmalte for muito fino ou se você já passou por algum tratamento que o desgastou, pode ser que a sensibilidade aumente. Então, antes de pensar no clareamento com gel e laser, o ideal é sempre conversar com seu dentista. Ele vai avaliar sua saúde bucal, seu histórico e indicar o melhor caminho, garantindo que o procedimento seja seguro e eficaz para você.
Dica Prática: Antes de qualquer procedimento de clareamento, agende uma consulta com seu dentista para uma avaliação completa e personalizada.
Diferentes Técnicas, Um Único Objetivo: Clareza e Confiança no Seu Sorriso
| Item | O Que É? | Como Funciona? | Dicas da Autora |
|---|---|---|---|
| Entendendo o Mecanismo do Gel Clareador | O gel contém agentes como peróxido de hidrogênio ou carbamida. | Esses compostos liberam oxigênio. O oxigênio penetra no esmalte e quebra as moléculas de pigmento que escurecem o dente. | O segredo está na concentração e no tempo de contato. Um bom gel faz a mágica acontecer gradualmente. |
| Como o Laser Potencializa o Tratamento | O laser é uma fonte de luz. | Ele ativa o gel clareador. A luz acelera a liberação de oxigênio, tornando o processo mais rápido e eficiente. | É como dar um “boost” no tratamento. O resultado aparece mais rápido com o laser. |
| O Processo Passo a Passo no Consultório | É uma consulta clínica completa. | Primeiro, o dentista protege gengivas e lábios. Aplica o gel. Usa o laser (se for o caso). Remove e limpa. Pode repetir. | Fique tranquila, é um processo cuidadoso. O dentista explica cada etapa. |
| Avaliação Inicial: O Que Esperar do Dentista? | Uma conversa e exame. | O dentista analisa seu histórico, a saúde bucal e o tipo de mancha. Discute suas expectativas. | Seja sincera sobre o que você espera. Ele vai te orientar sobre o que é possível. |
| A Escolha do Agente Clareador Ideal para Você | A decisão entre diferentes géis e concentrações. | O dentista considera a sensibilidade dos seus dentes e o grau de escurecimento. Há opções para todos os casos. | Não adianta querer o mais forte se seus dentes são sensíveis. O ideal é o que funciona para você com conforto. |
| Sensibilidade Pós-Procedimento: Mitos e Verdades | É comum sentir um leve incômodo. | O gel pode irritar temporariamente os nervos do dente. Mas passa em pouco tempo. | Mito: que dói muito e dura dias. Verdade: um leve desconforto é normal, mas gerenciável com dicas do dentista. |
| Cuidados Essenciais Após o Clareamento | O que fazer nos primeiros dias. | Evitar alimentos e bebidas que mancham (café, vinho, molhos escuros). Higiene bucal rigorosa. | Essa fase é crucial! Pense em “dieta branca”. Ajuda o resultado a durar mais. |
| Durabilidade do Resultado: O Que Influencia? | O tempo que o sorriso fica branco. | Higiene, alimentação, hábitos (fumo) e o tipo de clareamento. | Quem se cuida e faz a manutenção em casa, tem resultados por muito mais tempo. Vamos combinar, né? |
| Man |
Confira este vídeo relacionado para mais detalhes:
Além do Consultório: Dicas de Manutenção para um Sorriso Duradouro
Pois é, depois de investir no clareamento com gel e laser no consultório, o cuidado em casa é essencial para manter o sorriso brilhante por mais tempo. Vamos combinar, ninguém quer ver o resultado sumindo rápido, né? Eu mesmo testei algumas coisas e percebi o que realmente funciona para prolongar esses efeitos.
Aqui vão minhas dicas práticas:
- Higiene Impecável: Escove os dentes logo após as refeições. Isso é ouro para evitar que pigmentos escureçam o esmalte. Use fio dental diariamente, sem falhar.
- Alimentação Consciente: Cuidado com alimentos e bebidas que mancham, como café, vinho tinto, açaí e refrigerantes escuros. Se consumir, beba água logo em seguida.
- Evite Maus Hábitos: O cigarro é um dos maiores vilões. Se fuma, pense seriamente em reduzir ou parar para proteger seu investimento.
- Manutenções Pontuais: Converse com seu dentista sobre sessões de manutenção anuais ou semestrais. Elas fazem toda a diferença para retoques e prevenção.
- Produtos Adequados: Use cremes dentais clareadores com moderação, conforme orientação profissional. Pasta de dente comum, mas com boa ação de limpeza, é uma ótima escolha diária.
Fica tranquila, com esses cuidados, seu sorriso continuará chamando atenção positivamente por muito, muito tempo.
Dúvidas das Leitoras
O clareamento dental a laser estraga o esmalte dos dentes?
Fica tranquila! Quando feito por um profissional qualificado, o clareamento a laser é seguro para o esmalte. O dentista usa produtos específicos e controla o tempo para proteger seus dentes.
Quanto tempo dura o efeito do clareamento com gel e laser?
A duração varia, mas geralmente o resultado pode durar de seis meses a dois anos. Tudo depende dos seus hábitos, como alimentação e higiene bucal.
Qual a diferença entre o clareamento caseiro e o feito no dentista?
O clareamento no consultório usa géis mais concentrados e o laser para acelerar o processo, com resultados mais rápidos e intensos. Em casa, os géis são mais fracos e levam mais tempo para agir.
Posso clarear meus dentes se tiver restaurações ou facetas?
Se você tem restaurações ou facetas nos dentes da frente, o clareamento não alterará a cor delas. O gel age apenas no esmalte natural dos dentes.
Existem alimentos que devo evitar após o clareamento?
Sim, nos primeiros dias após o procedimento, evite alimentos e bebidas com corantes fortes. Pense em café, vinho tinto, refrigerantes escuros e molhos como shoyu.
Clarear os dentes com gel clareador e laser é um procedimento eficaz para um sorriso mais branco. Lembre-se de seguir as orientações do profissional para resultados seguros e duradouros. Se você se interessou por tratamentos estéticos, talvez queira saber mais sobre cuidados com a pele.

