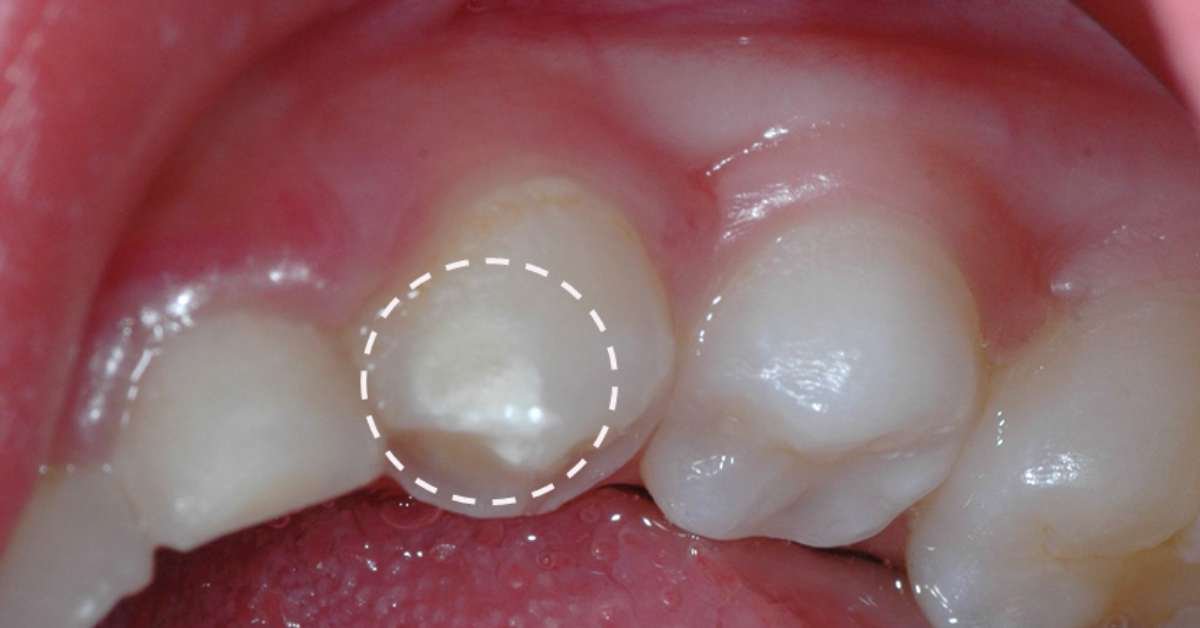
Saber como evitar a cárie em dentes de leite é crucial para um sorriso saudável desde cedo. Muitos pais se preocupam com essa questão, e é normal sentir-se assim. Felizmente, com as informações certas, você pode garantir a saúde bucal do seu pequeno. Neste guia, eu apresento as estratégias essenciais e práticas que funcionam, baseadas em anos de experiência e recomendações de especialistas. Vamos cuidar desses sorrisos radiantes!
Os Pilares Fundamentais para Prevenir Cáries em Dentes de Leite: Um Guia Prático
A base para dentes de leite sem cárie começa com cuidados diários e atenção aos detalhes. Vamos direto ao que importa para proteger o sorriso do seu filho.
O creme dental com flúor é seu maior aliado. Procure por um que tenha no mínimo 1.000 ppm. Essa concentração é comprovadamente eficaz na proteção contra os ácidos que causam a cárie.
A quantidade certa faz toda a diferença. Para bebês que ainda não sabem cuspir, use apenas um grão de arroz de creme dental. Para os maiorzinhos que já dominam a arte de cuspir, um grão de ervilha é suficiente.
Escovar os dentes pelo menos duas vezes ao dia é essencial. A escovação antes de dormir fecha o dia com chave de ouro, limpando todos os resíduos de alimentos.
O fio dental deve entrar em cena assim que dois dentes começarem a se tocar. Ele alcança onde a escova não vai, garantindo a limpeza completa.
“Utilize creme dental com flúor com no mínimo 1.000 ppm.”

O que você vai precisar
- Creme dental com flúor: Certifique-se de que tenha pelo menos 1.000 ppm de flúor. Essa é a dose certa para proteger os dentes.
- Escova de dentes: Escolha uma com cerdas macias e tamanho adequado para a boca do seu filho.
- Fio dental: Essencial para alcançar onde a escova não chega.
- Um aliado: O odontopediatra, para orientar e acompanhar a saúde bucal.

Passo a Passo: Cuidando dos Dentes de Leite
- Comece Cedo: A higienização deve iniciar assim que o primeiro dente de leite aparecer. Use uma gaze ou uma escova de dentes bem macia.
- A Quantidade Certa de Creme Dental: Para bebês com menos de 3 anos, use uma quantidade de creme dental do tamanho de um grão de arroz. A partir dos 3 anos, ou quando a criança já souber cuspir, passe para o tamanho de um grão de ervilha. Pois é, essa pequena quantidade já faz a diferença.
- Escovação Diária: Escove os dentes do seu filho pelo menos duas vezes ao dia. A escovação antes de dormir é a mais importante, pois durante o sono a produção de saliva diminui, deixando os dentes mais vulneráveis.
- O Fio Dental é Seu Amigo: Use o fio dental diariamente, assim que os dentes começarem a se tocar. Ele remove restos de alimentos e placa bacteriana entre os dentes, onde a escova não alcança.
- Enxágue e Cuspa: Ensine a criança a cuspir o excesso de creme dental após a escovação. Não é necessário enxaguar a boca com água logo em seguida, pois isso pode remover o flúor protetor.

Higiene Bucal Diária
Manter a boca do seu filho limpa é a base para dentes saudáveis. A escovação regular, com a técnica correta e o creme dental adequado, é sua principal arma contra a cárie.

Hábitos Alimentares e de Sono
O que seu filho come e quando come impacta diretamente a saúde dos dentes. Alimentos ricos em cálcio, como laticínios, ajudam a fortalecer os dentes. Frutas como a maçã também podem auxiliar na limpeza natural da boca. Evite oferecer líquidos açucarados e lanches fora de hora, especialmente antes de dormir.

Cuidados Profissionais
Não se esqueça que o acompanhamento com o especialista é fundamental. Ele pode identificar problemas precocemente e indicar os melhores tratamentos preventivos.

Início Precoce da Higienização
Quanto antes você começar a cuidar da boca do seu bebê, melhor. Isso cria um hábito desde cedo e previne as primeiras cáries, que podem ser muito agressivas nos dentes de leite.

Uso Correto do Flúor
O flúor é um escudo poderoso contra a cárie. Use o creme dental com a concentração recomendada (mínimo de 1.000 ppm) e na quantidade certa para cada idade. Ele ajuda a remineralizar o esmalte dos dentes e a torná-los mais resistentes aos ataques ácidos das bactérias.

Importância do Fio Dental
Vamos combinar: a escova sozinha não limpa tudo. O fio dental é indispensável para a remoção de resíduos alimentares e placa bacteriana nas áreas de contato entre os dentes. É uma etapa que não pode ser pulada.

Controle do Açúcar na Dieta
O açúcar é o principal combustível para as bactérias que causam a cárie. Reduza o consumo de doces, sucos industrializados e alimentos processados. Ofereça água como bebida principal.

Visitas Regulares ao Odontopediatra
A primeira visita ao odontopediatra deve acontecer no primeiro ano de vida. Essas consultas regulares, a cada seis meses, são essenciais para a prevenção, detecção precoce de problemas e para que seu filho se acostume com o ambiente do consultório. Saiba mais sobre a prevenção de cáries em Portal Drauzio Varella.
Dicas Extras
- Fique atento à alimentação: Alimentos açucarados e pegajosos grudam nos dentes e alimentam as bactérias. Ofereça frutas como a maçã, que ajudam a limpar os dentes naturalmente, e laticínios, ricos em cálcio para fortalecer o esmalte.
- Hidratação é chave: Incentive o consumo de água ao longo do dia. A saliva é uma barreira natural contra as cáries, e a água ajuda a manter a boca hidratada, auxiliando na produção de saliva.
- Evite compartilhar utensílios: A cárie é causada por bactérias que podem ser transmitidas. Evite compartilhar talheres, copos e escovas de dente com seu filho.
- Observe a água que ele bebe: Se a água da sua região não for fluoretada, converse com o odontopediatra sobre a necessidade de suplementação ou uso de cremes dentais específicos.
Dúvidas Frequentes
Qual a quantidade ideal de creme dental com flúor?
Para bebês até 3 anos, use uma quantidade equivalente a um grão de arroz cru. A partir dos 3 anos, se a criança já sabe cuspir, pode-se usar uma quantidade do tamanho de um grão de ervilha. Lembre-se que o creme dental deve ter no mínimo 1.000 ppm de flúor.
Meu bebê ainda não tem todos os dentes, preciso me preocupar com a higiene bucal?
Sim, a higiene bucal deve começar antes mesmo do primeiro dente nascer, limpando as gengivas com uma gaze úmida. Assim que o primeiro dente aparecer, inicie a escovação. Essa prática é fundamental na prevenção de cárie em dente de leite e estabelece hábitos saudáveis desde cedo.
Quando devo levar meu filho pela primeira vez ao odontopediatra?
A recomendação é que a primeira visita ao odontopediatra aconteça assim que o primeiro dente de leite irromper na boca do bebê, ou no máximo até ele completar um ano de idade. Essa consulta inicial é crucial para orientações sobre higiene bucal para bebês e crianças e para identificar precocemente qualquer necessidade.
Um Sorriso Saudável para o Futuro
Cuidar dos dentes de leite do seu filho é um investimento valioso na saúde dele. Com informação e rotina, a prevenção de cárie infantil se torna uma tarefa acessível. Lembre-se de que a jornada não para por aqui; explorar temas como a quantidade certa de pasta de dente para cada idade e entender a cárie de mamadeira são passos importantes para garantir um sorriso forte e saudável por muitos anos.

