Como evitar a cárie de mamadeira? Essa é uma preocupação real para muitos pais, e eu entendo perfeitamente. O sorriso dos pequenos é um tesouro, e proteger esses dentinhos que estão nascendo é fundamental. A boa notícia é que, com informação e cuidados simples, é totalmente possível blindar seu filho contra esse problema. Neste guia, eu vou te mostrar o caminho para garantir um sorriso saudável desde os primeiros anos.
O Que é Exatamente a Cárie de Mamadeira e Como Ela Surge?
Vamos combinar, o nome já diz muito, mas é essencial entender o mecanismo. A cárie de mamadeira, também conhecida como cárie precoce da infância, afeta os dentes de leite. Ela aparece quando os dentes são expostos repetidamente a líquidos que contêm açúcares. Esses açúcares podem vir de sucos, leites ou até mesmo de líquidos açucarados que são deixados na mamadeira.
O grande perigo acontece, principalmente, quando o bebê adormece com a mamadeira na boca. Durante o sono, a produção de saliva diminui, e os resíduos de açúcar ficam em contato prolongado com os dentes. Isso cria um ambiente perfeito para as bactérias se proliferarem e produzirem ácidos que corroem o esmalte dental. Pois é, essa praticidade pode virar uma dor de cabeça.
É importante saber que até mesmo o leite materno, se oferecido na mamadeira de forma inadequada, pode contribuir. O segredo está na frequência e no tempo de exposição dos dentes aos açúcares. O objetivo aqui é que você entenda o processo para poder agir preventivamente.
“A cárie de mamadeira pode ser prevenida com higiene bucal rigorosa, controle da alimentação e cuidados profissionais.”

O que você vai precisar
- Escova de dentes infantil de cerdas macias
- Pasta de dente com flúor (quantidade equivalente a um grão de arroz para bebês e crianças pequenas)
- Fio dental (quando os dentes estiverem juntos)
- Lenços umedecidos ou gaze (para higiene inicial)
- Recipiente para esterilização de mamadeiras

Passo a Passo: Como evitar a cárie de mamadeira
- Comece a higiene bucal assim que o primeiro dente aparecer. Use uma gaze úmida ou um lenço de algodão para limpar suavemente a gengiva e os dentes do seu bebê após cada mamada.
- Quando os dentes começarem a nascer, troque para uma escova de dentes infantil com cerdas macias. Escove os dentes do seu bebê duas vezes ao dia.
- Use uma quantidade mínima de pasta de dente com flúor, equivalente a um grão de arroz. O flúor é essencial para fortalecer o esmalte dos dentes e prevenir a cárie.
- Após a escovação noturna, evite que o bebê durma com a mamadeira na boca, especialmente se contiver líquidos que não sejam água. O contato prolongado com açúcares favorece a proliferação de bactérias.
- Ofereça água nos intervalos das mamadas e ao longo do dia. Evite sucos, achocolatados ou leite antes de dormir, a não ser que os dentes sejam escovados imediatamente após.
- Lave bem as mamadeiras, chupetas e bicos após cada uso com água e detergente neutro. Use uma escova específica para higienizar todas as partes.
- Periodicamente, esterilize as mamadeiras e acessórios. A fervura por alguns minutos é um método eficaz, conforme detalhado pela Prefeitura de Ribeirão Preto.
- Ao notar qualquer alteração na cor ou textura dos dentes do seu bebê, procure um odontopediatra. A detecção precoce é fundamental.

Higiene Bucal Rigorosa
A limpeza diária é seu maior aliado. Comece com uma gaze ou pano úmido para limpar a boca do bebê. Assim que o primeiro dente surgir, a escova com pasta de dente com flúor se torna indispensável.

Hábitos na Hora de Dormir
Jamais deixe o bebê adormecer com a mamadeira na boca. Líquidos açucarados, como leite ou suco, ficam em contato prolongado com os dentes, criando um ambiente propício para as bactérias causadoras da cárie. O giulianaodonto alerta sobre isso.

Controle da Alimentação
Atenção redobrada com o que seu filho consome, especialmente antes de dormir. Líquidos açucarados são os principais vilões. A Ideal Odonto reforça a importância de escovar os dentes após a ingestão desses líquidos.

Cuidados Profissionais e Esterilização
A higienização correta das mamadeiras é crucial. Lavar com água, sabão e escova específica, seguido de esterilização, garante a eliminação de germes. O Boston Children’s Hospital explica que a cárie de mamadeira pode ocorrer quando o bebê dorme com a mamadeira contendo líquidos açucarados.

O que é Cárie de Mamadeira?
Essa condição afeta os dentes de leite dos bebês e crianças pequenas. Ela é causada pela exposição frequente e prolongada dos dentes a açúcares presentes em mamadeiras, chupetas ou durante a amamentação noturna. A falta de higiene adequada agrava o quadro.

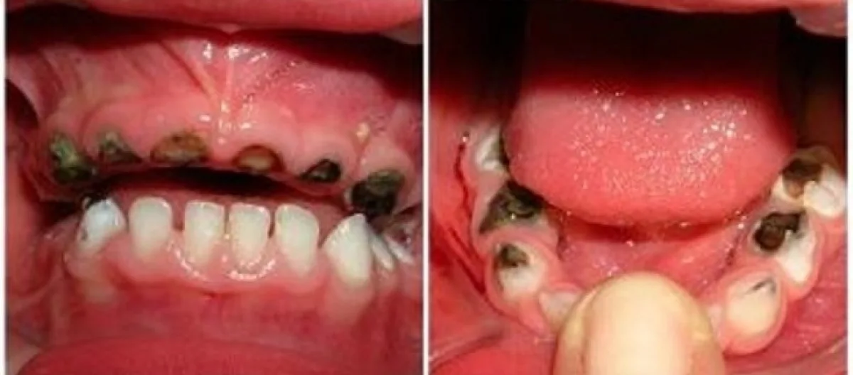
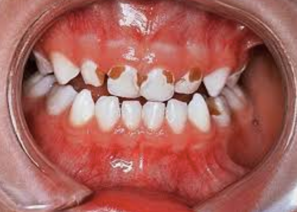
Sinais de Alerta da Cárie de Mamadeira
Fique atento a manchas brancas ou opacas nos dentes, especialmente na parte da frente. Com o tempo, essas manchas podem evoluir para cavidades e coloração marrom ou preta. A Ideal Odonto recomenda atenção a esses sinais.

Importância da Consulta com Odontopediatra
Levar seu bebê ao odontopediatra logo após o nascimento dos primeiros dentes ou, no máximo, até o primeiro ano de vida é fundamental. O Nescon destaca essa necessidade. Esse profissional poderá orientar sobre os cuidados ideais e identificar precocemente qualquer problema. Fatores socioeconômicos também podem influenciar a prevalência da cárie, como aponta o estudo do SciELO, mas a prevenção é acessível a todos com informação e dedicação.
Dicas Extras
- Ofereça água após a mamadeira: Se o bebê adormecer com a mamadeira, mesmo que seja água, o ideal é que os pais ofereçam um pouco de água logo em seguida para ajudar a limpar os resíduos de leite ou outros líquidos.
- Evite líquidos açucarados na mamadeira: Leite materno e fórmulas infantis já contêm açúcares naturais. Evite adicionar mel, açúcar ou sucos à mamadeira, pois isso aumenta drasticamente o risco de cáries.
- Observe a mamadeira: Verifique se a mamadeira está em bom estado, sem rachaduras ou partes desgastadas onde bactérias possam se acumular. A higienização correta, incluindo lavagem com escova e detergente e esterilização por fervura, é fundamental.
- Introduza o copo cedo: A partir dos 6 meses, comece a introduzir o copo de transição ou copo de treinamento. Isso ajuda o bebê a desenvolver novas habilidades e a reduzir a dependência da mamadeira, especialmente para dormir.
- Visite o odontopediatra regularmente: A recomendação é que o bebê vá ao odontopediatra logo após o nascimento dos primeiros dentes ou, no máximo, até o primeiro ano de vida. O profissional orientará sobre os cuidados com os dentes de leite e a prevenção da cárie infantil.
Dúvidas Frequentes
O que causa a cárie de mamadeira?
A cárie de mamadeira ocorre quando os dentes do bebê ficam expostos por longos períodos a líquidos que contêm açúcares. Isso inclui leite, fórmulas, sucos e até mesmo leite materno se o bebê adormecer com a mamadeira na boca. As bactérias na boca do bebê se alimentam desses açúcares e produzem ácidos que corroem o esmalte dos dentes.
Posso dar mamadeira para o bebê dormir?
Evite oferecer a mamadeira como um ‘chupeta’ para o bebê dormir. Se for necessário, ofereça apenas água. O contato prolongado dos dentes com qualquer líquido açucarado durante o sono aumenta muito o risco de cáries. Ficar tranquila com essa prática é um erro comum.
Quando devo começar a escovar os dentes do meu bebê?
A higiene bucal deve começar antes mesmo do nascimento dos dentes. Limpe as gengivas do bebê com uma gaze ou pano limpo e úmido após as mamadas. Assim que o primeiro dente nascer, comece a usar uma escova de dentes macia e pequena, com uma quantidade mínima de creme dental com flúor (do tamanho de um grão de arroz). A higiene bucal do bebê é crucial.
A amamentação no peito pode causar cárie?
A amamentação exclusiva no peito, sem adição de outros líquidos ou alimentos açucarados, geralmente não causa cárie. No entanto, se o bebê mamar por períodos muito longos durante a noite e não houver uma boa higiene bucal, o risco pode aumentar. O importante é manter a prevenção da cárie infantil como prioridade.
Um Sorriso Saudável Começa Agora
Vamos combinar, cuidar da saúde bucal do seu filho desde cedo é um ato de amor e responsabilidade. A cárie de mamadeira é prevenível com informação e atenção. Lembre-se que a visita ao odontopediatra é um passo fundamental para garantir que você está no caminho certo. Explore mais sobre os cuidados com os dentes de leite e a importância de uma dieta equilibrada para a prevenção da cárie infantil. Seu pequeno merece um sorriso brilhante e saudável!

